Niewłaściwe leczenie endodontyczne prowadzi do chronicznego zapalenia tkanek okołowierzchołkowych. Nierzadko prowadzi to do wytworzenia się torbieli. W takim wypadku leczeniem z wyboru jest leczenie chirurgiczne, które polega na wyłuszczeniu torbieli i często resekcji oraz wstecznym wypełnieniu kanału lub kanałów przyczynowych zęba. Czasami leczenie to okazuje się nie skuteczne. W opisanym przypadku pokazano tego typu leczenie, które w dłuższej perspektywie, po trzykrotnej resekcji korzenia zęba wraz z wyłuszczeniem torbieli, doprowadziło do znacznego zaniku kości wyrostka zębodołowego. Skutecznym leczeniem w takich sytuacjach jest przeszczep bloku kostnego pochodzenia ludzkiego (allogenny) wraz z konwencjonalną techniką GBR z zastosowaniem ksenogennego przeszczepu. W następnym etapie leczenia wykonano rekonstrukcję uzębienia pacjenta przy użyciu implantów BEGO Semados S.
Pacjenci zgłaszający w celu leczenia implantologicznego w strefie estetycznej oczekują perfekcyjnego efektu estetycznego zarówno w zakresie białej, jak i czerwonej estetyki. Zanim jednak przystąpimy do leczenia, musimy odpowiedzieć sobie na kilka pytań.
Jednym z nich jest to, czy jesteśmy w stanie spełnić oczekiwania naszego pacjenta, a następnie – czy istnieją odpowiednie warunki anatomiczne do wypełnienia powierzonego zadania. Jeżeli nie ma odpowiednich warunków do wszczepienia implantu, a tym bardziej brak jest możliwości do uzyskania ładnego końcowego efektu, musimy zastosować odpowiednie dla danego przypadku techniki augmentacyjne.
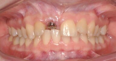
Do mojego gabinetu zgłosiła się 44-letnia pacjentka, u której na przestrzeni kilku lat trzykrotnie została wykonana resekcja korzenia zęba 22. Po każdym zabiegu dochodziło do odbudowywania się torbieli. Stan przed zabiegiem obrazują ryciny 1 i 2. Pacjentka została przysłana do mnie z rozpoczętą 3 dni wcześniej antybiotykoterapią, podany został Clindamicin a 600 mg 2 x 1. Pomimo rozpoczętej terapii antybiotykiem nadal utrzymywał się stan ropny. Jedynym rozwiązaniem było usunięcie korzenia wraz z koroną cyrkonową wykonaną na nim.
Korzeń został usunięty atraumatycznie przy użyciu urządzenia PiezoSurgery®. Na rycinie 3 pokazano stan po usunięciu zęba.
W następnym zabiegu po odwarstwieniu płata uwidocznił się ubytek kostny w blaszce przedsionkowej oraz torbiel (Ryc. 4). Po wyłuszczeniu torbieli uwidocznił się rozległy ubytek (Ryc. 5). Z powodu rozmiarów ubytku wyrostek zębodołowy wymagał rekonstrukcji mrożonym blokiem kostnym pochodzenia ludzkiego (przeszczep allogenny).
W celu uzyskania większej pewności powodzenia zabiegu przeszczepienia kości oraz lepszego końcowego efektu estetycznego, miejsce biorcze oraz sam blok kostny zostały ukształtowane przy użyciu kasety do bloków kostnych Osseo plus Transfer firmy BEGO. Dzięki temu urządzeniu uzyskuje się również lepszą stabilizację przeszczepu (kształt miejsca biorczego stabilizuje blok) oraz dużą powierzchnię kontaktu, a przez to ukrwienia przeszczepu. Czynniki te zwiększają prawdopodobieństwo powodzenia zabiegu augmentacji. Dzięki dobrej stabilizacji możliwe jest umocowanie bloku kostnego jedną śrubą do osteosyntezy.
Przeszczep został następnie obsypany ksenogennym materiałem kościozastępczym BEGO Oss pochodzenia wołowego i przykryty resorbowalną membraną wykonaną z włókien kolagenowych z osierdzia wieprzowego (Membrane BEGO). Następnie pole zabiegu zostało bez napięcia przykryte płatem śluzówkowo-okostnowym i zaszyte szwami o grubości 6,0 (Ryc. 7). Ryc. 8 przedstawia stan i kształt wyrostka zębodołowego po 6 miesiącach.
Po odpreparowaniu płata śluzówkowego uaunięto stabilizującą blok kostny śrubę do osteosyntezy. Dzięki zabiegowi regeneracyjnemu uzyskano 9,5 mm szerokości wyrostka zębodołowego (Ryc. 9), co pozwoliło na właściwe pozycjonowanie implantu BEGO Semados S o średnicy 3,75 mm (Ryc. 10 i 11).
Implant wszczepiony został we wgojony blok kostny, dlatego okres wgajania implantu, pomimo jego aktywnej powierzchni został wydłużony do 6 miesięcy. Wynika to z gorszego ukrwienia miejsc po augmentacji.
Ostatnim etapem rehabilitacji pacjentki było zaopatrzenie jej odbudową protetyczną. Ponieważ implant sąsiadował z cyrkonowym mostem 12021, jedynym możliwym zaopatrzeniem protetycznym była korona porcelanowa na podbudowie cyrkonowej wraz z łącznikiem indywidualnym wykonanym z cyrkonu w Centrum CAD/CAM BEGO w Bremie.
Efekt końcowy oraz zdjęcie rtg ostatniego etapu leczenia pokazują ryciny 12, 13, 14 i 15. Zdjęcie 14 zostało wykonane po 2 tygodniach od osadzenia korony.
embedImagecenter("Imagecenter_1_854",854, "large");
Wnioski
Planując zabieg na podstawie diagnostyki przedzabiegowej (kwalifikacja pacjenta, badanie wewnątrzustne, rtg pantomograficzne i CBCT) oraz stosując techniki augmentacyjne, dzięki którym możliwe jest prawidłowe pozycjonowanie implantu, możemy uzyskać idealny końcowy efekt estetyczny. Jak wiemy z literatury, dla większej pewności powodzenia osteointegracji należy stosować implanty z tytanu (IV klasy), o powierzchni piaskowanej i wytrawianej na gorąco. Wynika to z większej porowatości powierzchni trawionej na gorąco niż na zimno, co ma znaczenie przy implantacjach w miejscach augmentowanych, gdzie ukrwienie jest gorsze.
Niewłaściwe leczenie endodontyczne prowadzi do chronicznego zapalenia tkanek okołowierzchołkowych. Nierzadko prowadzi to do wytworzenia się torbieli. W...
Jedną z metod leczenia braków w uzębieniu stałym jest autotransplantacja. Przeszczepienie zawiązka zęba zapewnia jego wyrzynanie i utrzymanie ...
Wstęp
Ze względu na efektywność leczenia implantologia stanowi jedną z nowoczesnych metod zaopatrzenia protetycznego po częściowej utracie ...
W pracy przedstawiono przypadek pacjentki z defektem kostnym w odcinku przednim szczęki powstałym po zabiegu ekstrakcji zęba 11, połączonym z ...
Rehabilitacja implantoprotetyczna pacjentów z rozmaitymi brakami uzębienia czy wyrostka zębodołowego stała się standardem i dla wielu metodą z ...
Już po raz 7. Firma Denon Dental zaprasza lekarzy i techników dentystycznych na wyjątkowy Kongres Implantoprotetyczny BEGO Semados. Tegoroczna edycja ...
Rehabilitacja implantoprotetyczna pacjentów z rozmaitymi brakami uzębienia czy wyrostka zębodołowego stała się standardem i dla wielu metodą z ...
Denon Dental zaprasza do udziału w 6. Kongresie Implantologicznym BEGO Semados®. Tegoroczna edycja odbędzie się w dniach 6-7 października w Hotelu ...
W październiku br. w hotelu Sheraton w Warszawie odbyła się jedna z najciekawszych tegorocznych imprez implantologicznych – 4. edycja Kongresu ...
Wyłączny przedstawiciel BEGO Implant Systems w Polsce – firma Denon Dental już po raz czwarty zaprasza na Kongres Implantoprotetyczny BEGO Semados,...
Webinarium na żywo
wto. 19 maja 2026
5:00 (CET) Warsaw
Webinarium na żywo
wto. 19 maja 2026
7:00 (CET) Warsaw
Prof. Dr. med. dent. Ivo Krejci
Webinarium na żywo
śro. 20 maja 2026
1:00 (CET) Warsaw
Dr. Graham Carmichael BDSc (Hons), DClinDent (Pros), FRACDS, Dr. Robert Gottlander DDS
Webinarium na żywo
śro. 20 maja 2026
3:00 (CET) Warsaw
Webinarium na żywo
śro. 20 maja 2026
5:00 (CET) Warsaw
Webinarium na żywo
śro. 20 maja 2026
7:00 (CET) Warsaw
Prof. Dr. med. dent. Tim Joda PhD, MSc, eMBA
Webinarium na żywo
czw. 21 maja 2026
6:00 (CET) Warsaw
Dr. Leonardo Muniz DDS, MSC
To post a reply please login or register