Jedną z metod leczenia braków w uzębieniu stałym jest autotransplantacja. Przeszczepienie zawiązka zęba zapewnia jego wyrzynanie i utrzymanie potencjału wzrostowego kości. Niniejsza praca przedstawia opis procedur z zastosowaniem lasera Er:YAG i Nd:YAG oraz fibryny bogatopłytkowej, towarzyszących przeszczepieniu zawiązków zębów. Opisywany przypadek ukazuje odbudowę kości, zniszczonej przez przewlekły proces zapalny w bezpośrednim kontakcie z przeszczepionymi zawiązkami.
Jedną z metod leczenia braków w uzębieniu stałym jest autotransplantacja. Przeszczepienie zawiązka zęba zapewnia jego wyrzynanie i utrzymanie potencjału wzrostowego kości. Niniejsza praca przedstawia opis procedur z zastosowaniem lasera Er:YAG i Nd:YAG oraz fibryny bogatopłytkowej, towarzyszących przeszczepieniu zawiązków zębów. Opisywany przypadek ukazuje odbudowę kości, zniszczonej przez przewlekły proces zapalny w bezpośrednim kontakcie z przeszczepionymi zawiązkami.
Rozwijające się uzębienie warunkuje rozwój wyrostka zębodołowego, a co za tym idzie – wszystkich struktur anatomicznych w tym obszarze. Najważniejszym zagadnieniem w przypadku dzieci, które doznały urazu zębów przy niezakończonym rozwoju kości szczęki i żuchwy jest wybór metody, która zapewni długotrwały efekt terapeutyczny i estetyczny. Za celowe uważa się zarówno zachowanie zębów, jak i kości wyrostka zębodołowego. Standardem w tej sytuacji wydaje się być replantacja zęba, która zależnie od czasu przebywania zęba poza wyrostkiem zębodołowym, rodzaju urazu, sposobu przechowywania zęba czy też typu i sposobu unieruchamiania przynosi różne efekty terapeutyczne.1
Często spotykanym powikłaniem jest resorpcja korzeni zębów powodująca utratę nie tylko zęba, ale również objętość kości wyrostka albo w wyniku resorpcji zapalnej, albo postępującą w czasie, prowadząc do znaczącego zmniejszenia wymiarów wyrostka zębodołowego w danym obszarze. Brak zęba pociąga za sobą również inne powikłania: wpuklenie zatoki szczękowej czy kanału przysiecznego w miejsce ubytku zębowego. Inne postępowania, jak: dekoronacja, implantacja, augmentacja czy autotransplantacja są kolejnym etapem rozważań terapeutycznych. Każda z tych metod pociąga za sobą pewne ograniczenia czy możliwość rozwoju powikłań. Nie mniej jednak wydaje się, że autotransplantacja jest metodą, która niesie ich najmniej, przez co w wielu sytuacjach powinno uważać się ją za metodę z wyboru.2
Celem niniejszej pracy jest przedstawienie postępowania w przypadku powikłań po replantacji przyśrodkowych zębów siecznych szczęki.
Opis przypadku
Pacjent, chłopiec w wieku 12 lat zgłosił się wraz z rodzicami do Poradni Chirurgii Stomatologicznej Uniwersytetu Medycznego we Wrocławiu celem podjęcia leczenia. Z wywiadu uzyskano informacje o przebytym urazie zębów siecznych górnych 2 lata wcześniej i następowym postępowaniu. Bezpośrednio po wypadku przeprowadzono replantację zębów 11 i 21, a następnie wykonano leczenie kanałowe replantowanych zębów oraz dodatkowo 12 ze względu na utratę jego żywotności.
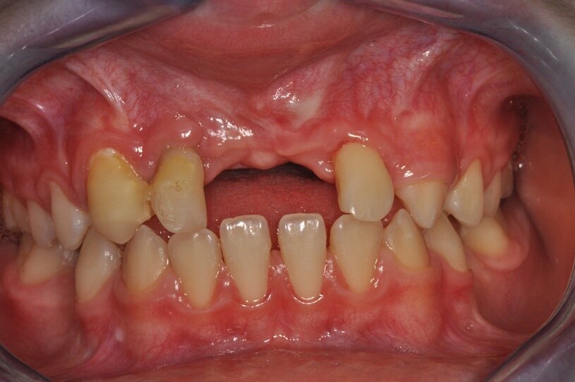
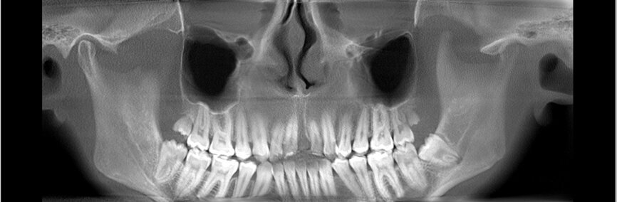
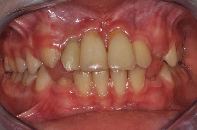
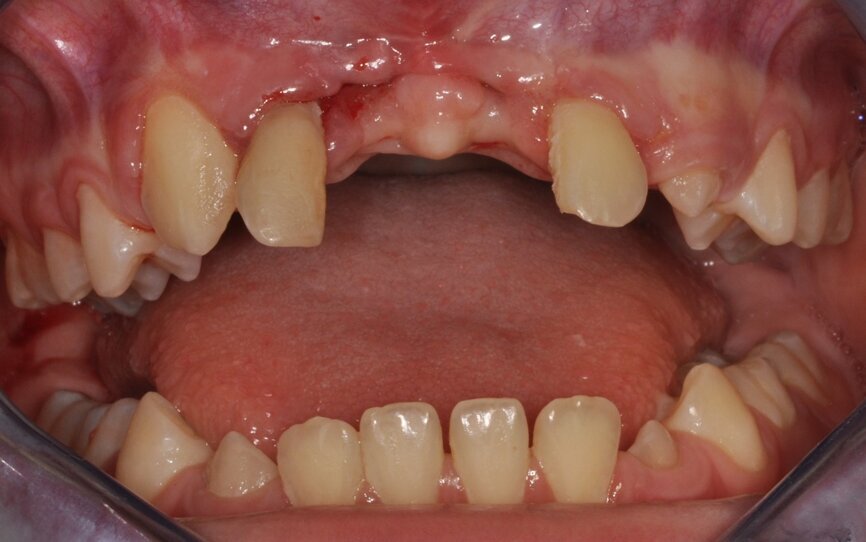
W dniu wizyty w poradni brak było oznak ostrego stanu zapalnego w okolicy 12-11. Widoczne były recesje dziąsła o wysokości 2 mm po stronie wargowej na zębach siecznych górnych przyśrodkowych, zmniejszona wysokość dziąsła zrogowaciałego do wartości 2 mm, spłycony przedsionek (Ryc. 1). Zęby były tkliwe na opukiwanie pionowe i poziome oraz wykazywały I stopień rozchwiania wg Entina. W przekrojach TK widoczny był rozległy przewlekły stan zapalny wokół wierzchołków korzeni zębów 11 i 21 (Ryc. 2), brak blaszki przedsionkowej wyrostka zębodołowego szczęki oraz resorpcja korzeni. Po wnikliwej analizie stanu miejscowego i rozmowie z rodzicami zadecydowano o ekstrakcji zębów 11 i 21 oraz w drugim etapie, ze względu na rozległy i zaawansowany proces zapalny, o autotransplantacji zawiązków 35 i 45.
W znieczuleniu nasiękowym 1 amp. 4% Ubistesin Forte nacięto i odwarstwiono płat trapezowy śluzówkowo-okostnowy w okolicy 13 do 23. Zęby 11 i 21 usunięto w całości (Ryc. 3 i 4). Wykonano ablację kości laserem Er:YAG (LightWalker® Fotona®), (2 W, 10 Hz, 200 mJ, QSP) usuwając ziarninę zapalną, a następnie laserem Nd:YAG (LightWalker®, Fotona®), (1,5 W, 10 Hz, MSP) przeprowadzono redukcję bakterii (Fotona®).
W kolejnym etapie, z wykorzystaniem tego samego lasera Nd:Yag, wytworzono skrzep w zębodołach (4 W, 20 Hz, VLP), (Ryc. 5). Ze względu na znaczącą utratę objętości tkanek miękkich, zastosowano matrycę kolagenową (Geistlich Mucograft®) nasączoną fibryną bogatopłytkową iPRF (Ryc. 6), pozwalającą na gojenie otwarte, a jednocześnie wpływającą na odbudowę szerokości dziąsła zrogowaciałego. Ranę zszyto szwami węzełkowymi z nierozpuszczalnego syntetycznego monofilamentu poliamidowego o rozmiarze 5,0 (Seralon®) tak, aby zapobiec spłyceniu przedsionka (Ryc. 7). Pacjentowi zaordynowano Doxycyclinum 100 mg (1 x 1 kaps.), Ibuprofenum 200 mg (3 x 1 tabl.), Reparil (3 x 2 tabl.), Enterol (2 x 1 tabl.) oraz zaopatrzono w szczoteczkę miękką pozabiegową (Elgydium Clinic® 7/100), płyn do płukania w postaci piany (Alfa) i zimny okład. Szwy zdjęto w 14. dniu po zabiegu. Gojenie przebiegało bez powikłań.
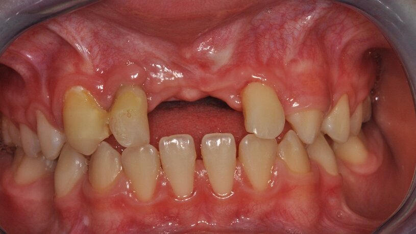
Miesiąc po ekstrakcji zębów przeprowadzono zabieg autotransplantacji (Ryc. 8). W znieczuleniu dożylnym krótkotrwałym i miejscowym nasiękowym 4 amp. 4% Ubistesin Forte nacięto płat pełnej grubości trapezowy od 12 do 22. Stwierdzono rozległy ubytek kostny o charakterze krateru, bez blaszki przedsionkowej. Wiertłem chirurgicznym i implantologicznym wykonano miejsce biorcze na donory (Ryc. 9). Kolejno usunięto zęby mleczne 75 i 85 oraz pobrano zawiązki zębów stałych 35 i 45 w fazie rozwoju korzenia R3/4 wg Moorresa. Wprowadzono na miejsce biorcze oraz całkowicie pokryto płatem, zszywając nierozpuszczalnym syntetycznym monofilamentem poliamidowym o rozmiarze 5,0 (Seralon®). Miejsce dawcze zaopatrzono gąbką kolagenową w kształcie stożka (Parasorb® Cone), (Ryc. 10). Po zabiegu zalecono Augmentin 1000 mg (2 x 1 tabl.), Ibuprofenum 200 mg (3 x 1 tabl.), Enterol (2 x 1 tabl.), Reparil (3 x 2 tabl.). Po 14 dniach usunięto szwy. Gojenie przebiegało bez powikłań. Kontrole radiologiczne i kliniczne przeprowadzono 1, 3, 6 (Ryc. 11), 12 i 18 miesięcy po zabiegu. Na czas leczenia pacjenta zaopatrzono płytka ortodontyczną uzupełniającą braki zębów 11 i 21.
Wyniki
18 miesięcy po zabiegu, na podstawie analizy przekrojów TK stwierdzono wgojone prawidłowo donory 34 i 35 z postępującym rozwojem korzeni zębów, brak zmian zapalnych wokół przeszczepionych zębów oraz widoczną postępującą obliterację kanałów korzeniowych. Dodatkowo stwierdzono odbudowę blaszki przedsionkowej wyrostka zębodołowego szczęki w okolicy zębów replantowanych (Ryc. 12) Pacjent obecnie jest w trakcie leczenia ortodontycznego, odbudowującego miejsce dla wyrzynających się zębów transplantowanych.
Dyskusja
Schorzenia jamy ustnej, w tym ubytki uzębienia mają negatywny wpływ na jakość życia dzieci i dorosłych. Zaburzenia funkcji narządu żucia przekładają się na przewlekle odczuwany dyskomfort i trudności w życiu społecznym.3,4 Dlatego też niezmiernie istotnym elementem jest dobór prawidłowej techniki postępowania w przypadku utraty zębów, co ma szczególne znaczenie w odcinku estetycznym. Jak już stwierdzono, istnieje wiele sposób leczenia w przypadku utraty zęba stałego: replantacja, implantacja natychmiastowa, zabiegi z zakresu augmentacji zębodołu z późniejszą odbudową implantologiczną, autotransplantacja lub zaopatrzenie ubytku zębowego stałą albo ruchomą odbudową protetyczną.5,6
Wymienione metody mają swoje ograniczenia, które należy rozważyć w każdej sytuacji przed przystąpieniem do zabiegu. W przypadku własnym, m.in. ze względu na istniejący już ubytek kostny i wiek pacjenta nie było możliwości przeprowadzenia zabiegu implantacji natychmiastowej, gdyż wiązałoby się to z brakiem uzyskania stabilizacji pierwotnej implantów, a co najważniejsze zatrzymaniem wzrostu otaczającej wszczep kości.7 Zabiegi z zakresu augmentacji zębodołu poekstrakcyjnego z wykorzystaniem materiałów kościozastępczych spowodowałoby również ograniczenie wzrostu wyrostka zębodołowego, a ze względu na wielkość ubytku kostnego utworzenie niepełnowartościowej kości, słabo unaczynionej, co skutkowałoby brakiem osteointegracji implantu wszczepionego po zakończeniu wzrostu kostnego pacjenta. Z kolei zaniechanie wszelkiego postępowania leczniczego spowodowałoby znaczny ubytek kości z prawdopodobnym wpuklaniem kanału nerwu przysiecznego w to miejsce (Ryc. 13). W konsekwencji pacjent obarczony byłby koniecznością przeprowadzenia wielu zabiegów z zakresu chirurgii regeneracyjnej wyrostka zębodołowego.
W związku z tym, zdaniem autorów, najwłaściwszym postępowaniem była autotransplantacja, mimo trudnych warunków miejscowych. Przez pojęcie autotransplantacji rozumie się chirurgiczne przeniesienie zęba do innego miejsca w łuku zębowym u tego samego pacjenta. Zabieg ten został po raz pierwszy dokładnie udokumentowany przez Hale w 1954 r.8 Idea przeszczepiania zębów od innego dawcy (allotransplantacja) sięga czasów starożytnych i była popularna wśród Egipcjan, jednak ze względów na możliwy konflikt immunologiczny i odrzucenie przeszczepu obecnie została zaniechana.9
Autotransplantacji poddawane są zarówno zęby w trakcie wyrzynania, zatrzymane lub w całości wyrznięte, które wprowadza się bezpośrednio do zębodołów poekstrakcyjnych albo do chirurgicznie wypreparowanego łoża.10,11 Najczęstsze wskazania do autotransplantacji stanowią zęby sieczne szczęki uszkodzone na skutek doznanego urazu mechanicznego, pierwsze trzonowce stałe dotknięte procesem próchnicowym, wrodzone braki w uzębieniu (szczególnie w strefie estetycznej) lub ektopia zęba stałego, którego pozycja nie stwarza możliwości zastosowania jedynie ortodontycznych technik sprowadzenia zęba do łuku.11
Warunkiem powodzenia zabiegu jest dobra współpraca ze strony pacjenta obejmująca przestrzeganie terminów wizyt kontrolnych oraz wysoki poziom higieny jamy ustnej. Ponadto miejsce biorcze powinno być wolne od stanu zapalnego, a przeszczepiany ząb znajdować się w odpowiednim stadium rozwoju. Najwyższy odsetek powodzeń dotyczy zębów, których korzenie rozwinięte są od połowy do trzech czwartych ich docelowej długości i posiadają szeroki otwór wierzchołkowy. Zęby o skomplikowanej morfologii korzeni nie powinny być wykorzystywane w autotransplantacji.11,12
W przypadku własnym wszystkie warunki do autotransplantacji zostały spełnione, łącznie z długością korzeni donorów. Parametr ten uważa się za krytyczny, zwłaszcza w przypadku odcinka przedniego szczęki, gdzie ograniczona ilość miejsca przez jamę nosową uniemożliwia niejednokrotnie wprowadzenie donora o zbyt długim korzeniu zęba. W opisywanym przypadku było to szczególnie istotne, gdyż wokół uprzednio replantowanych zębów rozwinęła się resorpcja zapalna powodująca powstanie rozległych ubytków kostnych ze zmniejszeniem wysokości wyrostka i całkowitym zniszczeniem blaszki przedsionkowej. Dodatkowo, proces ten spowodował utratę tkanek miękkich, niezbędnych do pokrycia chociażby częściowego donorów oraz powierzchowną demineralizację i nacieczenie zapalne kości gąbczastej w miejscu zębodołów.
Celem zwiększenia skuteczności i powodzenia zabiegów usunięcia zapalenie zmienionych tkanek, a docelowo autotransplantacji wykorzystano laser Er:YAG i Nd:YAG. Lasery te ułatwiają ablację kości i wykazują działanie bakteriobójcze, co zmniejsza ryzyko powikłań zapalnych rany pooperacyjnej,13,14 a dodatkowo umożliwiają powstanie stabilnego skrzepu w zębodole poekstrakcyjnym. Postępowanie to, wpływając na stymulację prawidłowej odbudowy struktury kostnej w obszarze objętym uprzednio zapaleniem, skraca dodatkowo czas tego procesu. Ponadto, iniekcyjna frakcja autologicznej fibryny bogatopłytkowej (iPRF), poprzez właściwości regeneracyjne, skraca czas gojenia, co umożliwiło szybsze przystąpienie do drugiego etapu leczenia.15 PRF posiada wysoką zawartość leukocytów, cytokin, m.in. TGF-ß1, IGF, PDGF i VEGF oraz matrycę fibrynową. Dzięki temu zapewnia kontrolę układu immunologicznego i umożliwia migrację komórek macierzystych. Inicjuje również angiogenezę, a poprzez kaskadę procesów, aktywuje neutrofile, które biorą udział w fagocytozie bakterii, co zmniejsza ryzyko zakażenia bakteryjnego w obrębie miejsca zabiegu.
O sukcesie przeprowadzonego zabiegu na tak wczesnym etapie świadczy brak zapalnej resorpcji korzenia, kontynuacja rozwoju przyzębia oraz indukcja samoistnego wyrzynania.9 Kolejnym wyznacznikiem powodzenia podjętej terapii jest zachowanie potencjału wzrostowego kości wokół przeszczepionego zęba. Umożliwiło to regenerację wyrostka zębodołowego we wszystkich wymiarach.16,17 Dodatkowo, obliteracja kanału korzeniowego przeszczepianych zawiązków jest kolejnym wyznacznikiem sukcesu autotransplantacji.
Wnioski
- Zabieg autotransplantacji powinien być rozważony we wszystkich sytuacjach, w których istnieje możliwość pobrania donora w odpowiednim stopniu rozwoju, a jednocześnie doszło do utraty zęba ze znacznym zniszczeniem wyrostka zębodołowego w sytuacji, w której nie znaleziono wybitego zęba lub uległ on zniszczeniu. Dodatkowo, dłuższe niż 2 godz. przebywanie poza jamą ustną może być wskazaniem do autotransplantacji ze względu na wysokie prawdopodobieństwo powikłania w postaci resorpcji zapalnej.
- Zastosowanie autotransplantacji zębów, ze względu na odbudowę kości wyrostka zębodołowego jest jedną z autogennych metod regeneracji struktury kostnej.
Ryc. 1_Stan miejscowy przed ekstrakcja zębów 11 i 21.
Ryc. 2_TK przedzabiegowe.
Ryc. 3_Zęby 11 i 21 po ekstrakcji.
Ryc. 4¬_Stan miejscowy po ekstrakcji i ablacji kości.
Ryc. 5_Stabilizacja skrzepu laserem Nd:YAG.
Ryc. 6_Mucograft nasączony iPRF.
Ryc. 7_Stan miejscowy bezpośrednio po pierwszym zabiegu.
Ryc. 8_Stan miejscowy bezpośrednio przed autotransplantacją.
Ryc. 9_Miejsce biorcze po wytworzeniu łoża.
Ryc. 10_Stan bezpośrednio po drugim zabiegu.
Ryc. 11_Stan miejscowy 6 miesięcy po zabiegu.
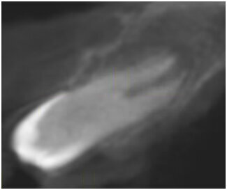
Ryc. 12_TK 18 miesięcy po zabiegu.
Ryc. 13_Kanał nerwu przysiecznego.
Autorzy:
Prof. Marzena Dominiak, lek. dent. Maciej Krawiec, lek. dent. Artur Pitułaj, lek. dent. Anna Smulczyńska, dr n. med. Iwona Bednarz
Zespół lekarzy dentystów UM we Wrocławiu pracuje pod kierownictwem prof. Marzeny Dominiak. Stosując nowoczesne rozwiązania kliniczne z zakresu chirurgii stomatologicznej i implantologii, oprócz zębów, przywraca pacjentom pewność siebie i jakość życia. W ostatnich latach prace zespołu z dziedziny biomateriałów i implantologii zostały wyróżnione i nagrodzone podczas międzynarodowych konferencji FDI Annual World Dental Congress w Poznaniu, DGZI Congress w Monachium. Ponadto, autorzy otrzymali nagrodę Dentsply Implants za pracę dotyczącą krótkich implantów, zaprezentowaną podczas międzynarodowego kongresu osteointegracji EAO w Paryżu. Główne kierunki badań naukowych w Katedrze i Zakładzie Chirurgii Stomatologicznej związane są z implantologią stomatologiczną, biomateriałami i możliwością wykorzystania ich w chirurgii stomatologicznej oraz zastosowaniem laserów w stomatologii.
Kontakt:
Prof. Marzena Dominiak
Katedra i Zakład Chirurgii Stomatologicznej Uniwersytetu Medycznego we Wrocławiu
- Krakowska 26, 50-425 Wrocław
Tel.: (71) 784 02 51
E- mail: marzena.dominiak@umed.wroc.pl
Piśmiennictwo:
- Bieszczad D, Wichliński J. Odległe następstwa wybicia zęba. Opis przypadku. Mag. Stom. 2015;10: 12-15.
2. Nolte D, Tschammler C, Henzler M, Linsenmann R, Angermair J. Two-Phase Transplantation (TPTX) Concept: A New Approach for Instant Rehabilitation of Young Children after Avulsion of Central Incisor. Open Journal of Stomatology 2017;7:136-146.
3. Dimberg L, Arnrup K, Bondemark L. The impact of malocclusion on the quality of life among children and adolescents: a systematic review of quantitative studies. Eur J Orthod. 2015;37(3):238-247.
4. Wrzyszcz-Kowalczyk A, Herman K, Kobierska-Brzoza J, Jankowska K. Uszkodzenia urazowe zębów u pacjentów do 18 roku życia leczonych w Katedrze i Zakładzie Stomatologii Zachowawczej i Dziecięcej Uniwersytetu Medycznego we Wrocławiu w latach 2010-2014. Mag.Stom. 2015;10:32-38.
5. Kinoshita S, Kojima R, Taguchi Y, Noda T. Tooth replantation after traumatic avulsion: a report of ten cases. Dent Traumatol. 2002 Jun;18(3):153-6.
6. Esposito M, Zucchelli G, Cannizzaro G, Checchi L, Barausse C, Trullenque-Eriksson A, Felice P. Immediate, immediate-delayed (6 weeks) and delayed (4 months) post-extractive single implants: 1-year post-loading data from a randomised controlled trial. Eur J Oral Implantol. 2017;10(1):11-26.
7. Agarwal N, Kumar D, Anand A, Surendrakumar Kaluram Bahetwar SK. Dental implants in children: A multidisciplinary perspective for long-term success. Natl J Maxillofac Surg. 2016 Jul-Dec;7(2): 122-126.
8. Hale ML. Autogenous transplants. Oral Surg Oral Med Oral Pathol 1956; 9:76-83.
9. Cohen AS, Shen TC, Pogrel MA. Transplanting teeth successfully: autografts and allografts that work. JADA 1995; 126(4):481-5.
10. Jaiswara C, Srivastava VK, Dhiman N. Autotransplantation of a Strange Positioned Impacted Central Incisor in a surgically Prepared Socket: A Miracle Esthetic Concept. Int J Clin Pediatr Dent 2016;9(3):269-272.
11. Nimčenko T, Omerca G, Varinauskas V, Bramanti E, Signorino F, Cicciù M. Tooth auto-transplantation as an alternative treatment option: A literature review. Dent Res J (Isfahan). 2013 Jan-Feb;10(1):1-6.
12. Northway WM, Konigsberg S. Autogenic tooth transplantation. The “state of the art”. Am J Orthod. 1980;77:146-62.
13. Vescovi P, Merigo E, Fornaini C, Rocca JP, Nammour S. Thermal increase in the oral mucosa and in the jawbone during Nd:YAG laser applications. Ex vivo study. Medicina Oral, Patología Oral y Cirugía Bucal. 2012;17(4):e697-e704.
14. Dominiak M, Hnitecka S. Intraprocedural evaluation of the quality and quantity of bacterial flora in pathological periodontal pockets treated using ER:YAG and ND:YAG lasers – case report. e-Dentico. 2017, 1(55): 154-163.
15. Miron RJ, Zucchelli G, Pikos MA, Salama M, Lee S, Guillemette V et al. Use of platelet-rich fibrin in regenerative dentistry: A systematic review. Clin Oral Investig. 2017;21:1913-27.
16. Anitua E, Mendinueva-Urkia M, Galan-Bringas S, Murias-Freijo A, Alkhraisat MH. Tooth autotransplantation as a pillar for 3D regeneration of the alveolar process after severe traumatic injury: A case report. Dent Traumatol. 2017, 33(5):414-419.
17. Hadzik J, Leszczyszyn A, Hnitecka S, Dominiak M. Autogenic management and/or regeneration of the alveolar bone after the loss of a permanent tooth. Implants 2017;2: 6-16.
Tagi:
Niewłaściwe leczenie endodontyczne prowadzi do chronicznego zapalenia tkanek okołowierzchołkowych. Nierzadko prowadzi to do wytworzenia się torbieli. W...
Niewłaściwe leczenie endodontyczne prowadzi do chronicznego zapalenia tkanek okołowierzchołkowych. Nierzadko prowadzi to do wytworzenia się torbieli. W...
Dzięki wprowadzeniu nowoczesnych biomateriałów i rozwojowi technik chirurgicznych, w chirurgii rekonstrukcyjnej (odtwórczej) pojawiły się ...
Zaniki kości powstałe po ekstrakcji zębów niejednokrotnie uniemożliwiają zastosowanie implantów w danej lokalizacji bez uprzedniej ...
Rehabilitacja implantoprotetyczna pacjentów z rozmaitymi brakami uzębienia czy wyrostka zębodołowego stała się standardem i dla wielu metodą z ...
Rehabilitacja implantoprotetyczna pacjentów z rozmaitymi brakami uzębienia czy wyrostka zębodołowego stała się standardem i dla wielu metodą z ...
W niniejszej pracy porównano skuteczność zniesienia doznań bólowych oraz czas uzyskania efektu analgezji u 19 pacjentów poddanych ...
Zaniki kości powstałe po ekstrakcji zębów niejednokrotnie uniemożliwiają zastosowanie implantów w danej lokalizacji bez uprzedniej ...
W ciągu 31 miesięcy autor wykonał 39 zabiegów podniesienia dna zatoki szczękowej od strony podniebienia twardego. Ponieważ opisywana metoda nie ...
W ciągu 31 miesięcy autor wykonał 39 zabiegów podniesienia dna zatoki szczękowej od strony podniebienia twardego. Ponieważ opisywana metoda nie ...
Webinarium na żywo
wto. 19 maja 2026
5:00 (CET) Warsaw
Webinarium na żywo
wto. 19 maja 2026
7:00 (CET) Warsaw
Prof. Dr. med. dent. Ivo Krejci
Webinarium na żywo
śro. 20 maja 2026
1:00 (CET) Warsaw
Dr. Graham Carmichael BDSc (Hons), DClinDent (Pros), FRACDS, Dr. Robert Gottlander DDS
Webinarium na żywo
śro. 20 maja 2026
3:00 (CET) Warsaw
Webinarium na żywo
śro. 20 maja 2026
5:00 (CET) Warsaw
Webinarium na żywo
śro. 20 maja 2026
7:00 (CET) Warsaw
Prof. Dr. med. dent. Tim Joda PhD, MSc, eMBA
Webinarium na żywo
czw. 21 maja 2026
6:00 (CET) Warsaw
Dr. Leonardo Muniz DDS, MSC
To post a reply please login or register