W ciągu 31 miesięcy autor wykonał 39 zabiegów podniesienia dna zatoki szczękowej od strony podniebienia twardego. Ponieważ opisywana metoda nie jest metodą z wyboru, należało stworzyć klasyfikację anatomiczną, która wskazywałaby, która z metod podniesienia dna zatoki szczękowej w danym przypadku jest najbardziej pożądana. W ten sposób powstał pilotażowy projekt stworzenia niniejszej klasyfikacji.
Zabieg podniesienia dna zatoki szczękowej celem augmentacji tkanek twardych przed planowanym leczeniem implantologicznym opisywany jest przez wielu autorów jako prosty, przewidywalny i prawie w 100% skuteczny zabieg. Jeżeli wziąć pod uwagę tylko cel, jakim jest odtworzenie objętości kości, to nie można zabrać im racji. Jeżeli jednak przyjmiemy dodatkowe kryteria do spełnienia, którymi są zminimalizowanie:
- obrzęku tkanek policzka lub brak obrzęku,
- prawdopodobieństwa wystąpienia krwiaka i/lub podbiegnięcia krwawego,
- bólu pozabiegowego,
- uszkodzenia struktur anatomicznych sąsiadujących z miejscem operowanym,
- prawdopodobieństwa przemieszczenia się augmentatu, np. przez otwór osteotomijny w kierunku przedsionka,
- prawdopodobieństwa zakażenia augmentatu,
- spłycenia przedsionka,wówczas zabieg ten staje się wyrafinowaną i precyzyjną techniką chirurgiczną.
Obecnie bezwzględnie wymagana jest diagnostyka tomograficzna przed każdym takim zabiegiem. Jednocześnie pożądaną jest ścisła współpraca i konsultacje z laryngologami, chociażby do oceny stanu błony śluzowej nosa i drożności anatomicznych ujść z zatok szczękowych do nosa. Przypomnijmy, że ich drożność ma kluczowe znaczenie dla powodzenia zabiegu i zminimalizowania prawdopodobieństwa zakażeń bakteriami beztlenowymi.
W świetle ogromnych wymagań pacjentów, aby spełnić powyższe kryteria, w metodzie powszechnie znanej od strony przedsionkowej należy umiejętnie zdiagnozować i zaplanować zabieg, ale również go wykonać, czyli:
- wykonać cięcie odciążające w okolicy trzonowców (np. wg Weisbremm’a, czyli od góry tyłu do przodu-dołu, czyli równolegle do naczyń biegnących w błonie śluzowej i bez uszkodzania mięśnia policzkowego),
- nie uszkodzić przyczepów mięśnia unoszącego kącik ust,
- nie podcinać okostnej,
- nie wykonywać drugiego cięcia odciążającego celem wykonania płata trapezowatego,
- nie spłycić przedsionka,
- zapobiec krwawieniu pod płatem po zaszyciu rany,
- nie uszkodzić pęczków naczyniowo-nerwowych przy zębach sąsiednich,
- nie uszkodzić gałązek drugiej gałęzi nerwu trójdzielnego,
- nie uszkodzić tętnic zębodołowych górnych tylnych ani policzkowej,
- starać się nie augmentować wyżej niż 1/3 wysokości od zachyłka zębodołowego do rozworu szczękowego,
- zapobiec wystąpieniu tzw. czarnych dziur w augmentacie,
- zapobiec perforacji membrany Schneidera, a jeśli dojdzie do niej lub całkowitego rozerwania, to mimo tego powikłania, augmentować i zakończyć z sukcesem zabieg.
Stosowanie metod zamkniętych, np.: metody osteotomijnej, balonikowej lub innych, jak np. SCAkit wymaga zebrania wywiadu o przeszłości chorobowej zatok, przyczynie utraty zębów, wykonanie badania CBCT, aby zminimalizować prawdopodobieństwo powikłań, związanych z bliznowatymi zaciągnięciami membrany Schneider’a, zrostami i jej zróżnicowaną grubością po przebytych chorobach i przerwaniem jej ciągłości. Należy pamiętać również o warunkach protetycznych, czyli stwierdzeniu, czy faktycznie istnieje konieczność podnoszenia dna zatoki szczękowej, czy augmentacji wertykalnej.
W świetle tego obszernego przypomnienia autor prezentuje doświadczenia własne w metodzie alternatywnej do powyższych, czyli zabiegu podniesienia dna zatoki szczękowej od strony podniebienia twardego.
Metody
Anatomiczna klasyfikacja została stworzona na podstawie analizy 200 obrazów tomografii wolumetrycznej u pacjentów z całkowitym bezzębiem lub z brakami skrzydłowymi. Każde z tych badań (CBCT) obejmowało 2 zatoki szczękowe: lewą i prawą. Jest to klasyfikacja ułatwiająca podjęcie decyzji, która z metod podnoszenia zatoki szczękowej będzie dla pacjenta odpowiednia i czyli pomaga w doborze metody do przypadku.
W ciągu 31 miesięcy wykonano 39 zabiegów podniesienia dna zatoki szczękowej od strony podniebienia twardego. W przypadku 7 pacjentów operowano jednocześnie 2 zatoki szczękowej, przy czym jedną od strony podniebiennej, a drugą z dostępu od strony przedsionkowej. Z kolei u 2 pacjentów wykonano zabieg jednoczesnego podniesienia dna zatoki szczękowej od strony podniebiennej w zatoce lewej i prawej. U 14 pacjentów wykonano jednoczesny SLoP z implantacją kości wyrostka zębodołowego.
Statystyka wg proponowanej klasyfikacji prezentuje się następująco:
- Liczba badanych CBCT: 200
- Liczba analizowanych zatok szczękowych: 400
class 0: 4%
class 1: 44%
class 2: 49%
class 3: 3%
- Liczba pacjentów: 28 operowanych
- Liczba zatok operowanych: 35
- Mężczyźni: 15
- Kobiety: 13
- Liczba SLoP: 35
- Liczba pacjentów z jednoczesnym SloP i Sinus-Lift Atrial Side (SLAS): – 7
- Liczba jednoczesnego SLoP z implantacją: 13
- Powikłania: 1 implant utracony z powodu złej pozycji.
- Wiek badanych: 24-61 lat.
Na podstawie tabeli 2 należy stwierdzić, że opisywana metoda ma więcej zalet dla pacjenta, ale jednocześnie więcej wad dla lekarza. Tym samym jest bardziej wymagająca.
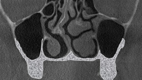
Klasyfikację oparto na obrazie z tomografii, jaki uzyskuje się w przekrojach czołowych (wieńcowych) lub prostopadłych do krzywej panoramicznej ułożonej równolegle do łuku zębowego górnego. Klasa „zero” (Tab. 1) została wyróżniona jako sytuacja kliniczna, w której brak bezwzględnych wskazań do zabiegu podniesienia dna zatoki szczękowej z 2 powodów:
- sytuacja, w której istnieje wystarczająca ilość kości wyrostka zębodołowego na wysokość,
- sytuacja, w której istnieje wskazanie do augmentacji wertykalnej celem stworzenia warunków do implantacji, ale nie ma wciąż konieczności augmentacji w dnie zatoki szczękowej.
Kolejne klasy wyróżnia się na podstawie grubości kostnej ściany przedsionkowej zatoki lub podniebiennej. Jeżeli ściana przedsionkowa jest cieńsza niż podniebienna, wówczas w domyśle łatwiejszy dostęp jest od przedsionka, więc przypadek klasyfikuje się do klasy pierwszej.
Występują jednak sytuacje, kiedy to w badaniu CBCT zauważamy jednakowej grubości ścianę przedsionkową oraz podniebienną. Jest to sytuacja, w której przypadek przyporządkowujemy do klasy drugiej.
W chwili, gdy ściana podniebienna jest cieńsza niż policzkowa, występuje klasa trzecia. U tego samego pacjenta może wystąpić anatomicznie klasa pierwsza po stronie prawej i klasa druga po stronie lewej. Różnice te związane są z takimi czynnikami, jak:
- różne czasookresy utraty zębów po stronie lewej i prawej,
- różna budowa anatomiczna zębodołów po obu stronach,
- różnie przebiegające ekstrakcje w/w zębów,
- różne zabiegi towarzyszące ekstrakcjom (np. zabiegi zachowania objętości zębodołu)
- wiele innych.
Zdecydowanie jednak należy podkreślić, iż w chwili, gdy chirurg ma jakiekolwiek wątpliwości związane z przewidywalnością zabiegu, jego stopniem trudności lub obciążenia dla pacjenta, wówczas metodą z wyboru pozostaje metoda od strony przedsionkowej.
W odniesieniu do tabeli nr 2, bardzo ważnym kryterium wyboru metody jest nie tylko klasyfikacja anatomiczna na podstawie wyłącznie tomografii komputerowej, ale również wyraźnie artykułowane życzenie pacjenta, aby nie było możliwości wystąpienia obrzęku policzka ani podbiegnięć krwawych po zabiegu. Wówczas, jeżeli sytuacja anatomiczna na to pozwala, należy rozważyć metodę SLoP. Obrzęk policzka występuje bowiem nie tylko w chwili, gdy przekracza się linię mukogingiwalną, ale również z powodu naruszenia przyczepów mięśnia policzkowego, krwawienia pod płatem po jego zaszyciu i zamknięcia powietrza pod płatem oraz jako reakcja na zastosowaną membranę kolagenową celem zamknięcia okna kostnego.
Na podstawie prowadzonej ankiety, której wyniki będą przedmiotem kolejnych artykułów, warto zaznaczyć, iż pacjenci, u których jednocześnie wykonano zabieg podniesienia dna zatoki szczękowej z dostępu przedsionkowego i podniebiennego twierdzą, iż zabieg od strony podniebiennej niósł ze sobą mniejszy komfort podczas jego trwania, jednakże znacząco większy komfort pozabiegowy odczuwali oni w miejscu SLoP niż od strony przedsionkowej.
U pacjentów z brakami skrzydłowymi lub międzyzębowymi, u których należy wykonać okno osteotomijne od strony przedsionkowej, istnieje realne ryzyko przerwania pęczka naczyniowo-nerwowego wnikającego do zęba mezjalnie położonego od okna ostetomijnego. Występują wtedy późne powikłania pod postacią konieczności leczenia endodontycznego takiego zęba po upływie nawet kilku miesięcy. Pęczki naczyniowo-nerwowe biegną do wierzchołków zębów przedtrzonowych i trzonowych w ścianie policzkowej zatoki szczękowej od góry tyłu do dołu przodu.
Podczas stosowania metody klasycznej, za jaką uznaje się metodę z dostępu przedsionkowego, często wykonuje się podcięcie okostnej celem mobilizacji płata śluzówkowo-okostnowego, aby zmobilizować płat i szczelnie zamknąć ranę. Jak akt ten jest usprawiedliwiony w chwili konieczności augmentacji nie tylko dna zatoki szczękowej, ale również horyzontalnej augmentacji wyrostka, tak całkowicie nie jest dopuszczalnym podcinanie okostnej w chwili konieczności tylko odbudowy wolumenu kości w dnie zatoki szczękowej. Wykonanie SLoP, z racji innej lokalizacji okna osteotomijnego, nigdy nie prowadzi do spłycenia przedsionka.
Ostatni punkt w tabeli nr 2 po stronie zalet, to możliwość wykorzystania własnej protezy pacjenta jako opatrunku, która utrzyma nie tylko kształt operowanego podniebienia, ale będzie też pełniła rolę opatrunku uciskowego i nigdy nie obetrze śluzówki policzka, co dzieje się w chwili wystąpienia obrzęku policzka, gdy operuje się metodą klasyczną. Wówczas należy albo korygować kształt takiej protezy, aby nie powstawały odleżyny lub perforacje błony śluzowej i nie generowały cierpienia pacjenta. W chwili SLoP takiego ryzyka powikłań nie ma oraz nie ma konieczności korygowania kształtu płyty protezy.
Metoda SLoP jest jednak metodą trudną technicznie. Istnieje konieczność wymuszonej pozycji u chirurga. Standardowe oświetlenie pola uzyskane przez lampę zintegrowaną z unitem stomatologicznym jest trudne do ustawienia, a nawet niewystarczające do oświetlenia wnętrza rany. Wskazane jest oświetlenie alternatywne, np. czołowe. Trudność polega też na samym zaplanowaniu zabiegu, diagnostyce, klasyfikacji oraz preparacji płata tak, aby nie spowodować krwawienia z tętnicy podniebiennej lub przysiecznej, bowiem one tworzą wzajemną anastomozę. Dlatego też cięcie odciążające może być wykonane na granicy zasięgu w/w tętnic, czyli na wysokości kła i pierwszego przedtrzonowca. Bez względu na rodzaj morfologii podniebienia (gotyckie lub płaskie), przebieg tętnicy podniebiennej łatwo zlokalizować. Analizując w płaszczyźnie czołowej (wieńcowej), biegnie ona zawsze w miejscu załamania się łuku sklepienia podniebienia. Często krwawienie z odgałęzień tej tętnicy mylone jest z przerwaniem ciągłości samej tętnicy. Techniki utrzymania hemostazy w różnych sytuacjach klinicznych przerwania tętnicy podniebiennej nie są przedmiotem niniejszej pracy.
Standardowe łyżeczki do odwarstwienia i podnoszenia membrany Schneider’a nie są odpowiednie i nie są wygodne do przeprowadzenia tej czynności od strony podniebienia twardego. Inna krzywizna ściany podniebiennej zmusiła autora do opracowania projektu nowych kształtów łyżek dedykowanych do SLoP. Brak narzędzi jest jednak minusem względnym, bowiem projekt tych narzędzi już istnieje, teraz należy znaleźć producenta, który je wykona. Jednakże, obiektywnym minusem w operowaniu od strony podniebiennej jest fakt, iż w chwili perforacji błony śluzowej zatoki szczękowej bardzo trudno tą perforację zaopatrzyć, natomiast w chwili całkowitego rozerwania membrany Schneider’a należy odstąpić od zabiegu i odczekać co najmniej 3 miesiące lub wykonać od razu okno osteotomijne od strony przedsionkowej i wykonać augmentację dna zatoki szczękowej z całkowitym pokryciem augmentatu membranami kolagenowymi.
Poważnym hipotetycznym powikłaniem jest wystąpienie przetoki podniebienno-zatokowej. W badanej grupie nie wystąpiło takie powikłanie ani razu, jednak jest ono możliwe i groźne, bowiem trudno taką przetokę zamknąć operacyjnie.
Przetoka ustno-zatokowa na podniebieniu twardym może wystąpić w chwili nieumiejętnego i nieostrożnego odwarstwiania płata, spowodowania perforacji respatorem lub skalpelem. Jeżeli dojdzie do perforacji płata na podniebieniu, to wówczas istnieje bezwzględne przeciwwskazanie do kontynuacji zabiegu. Nie wolno wykonać wówczas okna osteotomijnego. Można wykonać zabieg podniesienia dna zatoki szczękowej w krótkim czasie po nieudanej próbie, ale od strony przedsionkowej lub po upływie przynajmniej 4 miesięcy, ponownie od strony podniebiennej. Opisana w powyższym akapicie przetoka to powikłanie wczesne, ale istnieje również groźba wystąpienia powikłania późnego pod postacią wspomnianej przetoki. Może stać się tak w chwili, gdy operator wykona okno osteotomijne, którego krawędź dotyka linii cięcia odciążającego. W takiej sytuacji istnieje konieczność szycia brzegów rany nad oknem osteotomijnym, co jest bardzo groźne, bowiem może predysponować do wystąpienia przetoki ustno-zatokowej w tym miejscu. Krwawienie śródzabiegowe jest również możliwe z powodu obecności tętnicy podniebiennej i jej odgałęzień, jednak bardzo łatwo i szybko zaopatruje się i hamuje to krwawienie.
Warto opisać szczegółowo przeciwwskazania do SLoP zebrane w tabeli nr 3. Ponieważ opisywana metoda jest metodą alternatywną, nie należy jej przedkładać nad metodę klasyczną, czyli od strony przedsionkowej. Dlatego też występowanie klasy pierwszej jest przeciwwskazaniem do wykonania osteotomii od strony podniebiennej.
Kolejne z przeciwwskazań to brak możliwości kontroli pozabiegowej pacjenta, np. z powodu jego nieobecności w kraju. Jeżeli chirurg nie ma możliwości kontroli pozabiegowej pacjenta, wówczas powinien stosować metody sprawdzone, a nie alternatywne w opisywanym przypadku.
Metoda podniesienia dna zatoki szczękowej od strony podniebiennej nie jest polecana w chwili, gdy planuje się jednoczesną ekstrakcję, augmentację w dnie zatoki szczękowej oraz implantację podczas tego samego zabiegu. Jeżeli planowany obszar augmentacji jest większy niż obszar 2 brakujących zębów, wówczas należy już rozważać odstąpienie od SLoP na korzyść metody klasycznej. Szczególnie w przypadkach, kiedy zachyłki zatoki sięgają bardziej mezjalnie niż korzenie zęba czwartego, czyli do korzenia kła. Wówczas cięcie odciążające, o którym była mowa, będzie niebezpiecznie blisko krawędzi okna osteotomijnego. Z kolei w chwili, gdy planujemy jednoczesną augmentację nie tylko w dnie zatoki szczękowej, ale również horyzontalnie kości wyrostka zębodołowego, to należy odstąpić od SLoP. Zwiększając objętość (szerokość) wyrostka zębodołowego, należy liczyć się z koniecznością mobilizacji płata śluzówkowo-okostnowego celem zamknięcia szczelnego rany. W takim przypadku nie wolno odwarstwiać płata od strony podniebiennej, tylko należy zrobić to od strony przedsionkowej.
Jeżeli stan zatok szczękowych jest niepewny, mamy ograniczone możliwości diagnostyczne, z wywiadu znane nam są złamania kości twarzy, a szczególnie ścian zatok szczękowych, podczas badania pacjenta stwierdzamy jakiekolwiek zapalenia, zakażenia oraz infekcje wirusowe czy grzybicze górnych dróg oddechowych, wówczas metoda SLoP bezwzględnie nie powinna być wykonywana. Ostatnim ważnym przeciwwskazaniem jest obecność wykwitów, plam, owrzodzeń, stomatopatii protetycznych oraz innych patologii na błonie śluzowej podniebienia. Najpierw należy je, a następnie można rozważać ponownie SLoP.
Podsumowanie
Metoda podniesieni dna zatoki szczękowej od strony podniebienia (Sinus Lift on the Palate – SloP) jest metodą alternatywną do metody z wyboru, czyli podniesienia dna zatoki szczękowej od strony przedsionkowej (Sinus Lift on Atrial Side – SLAS). Jest to metoda, do której zakwalifikowanie pacjenta następuje po wnikliwej analizie badania tomografii komputerowej oraz badaniu pacjenta i zebranego wywiadu. Tak, jak wykonanie SLAS na podstawie zdjęcia OPG nie jest postrzegane jako błąd, tak wykonanie SLoP bez badania tomografii komputerowej powinno być interpretowane jako większe narażenie pacjenta na ryzyko wystąpienia powikłań.
Metoda SLoP jest dedykowana tym chirurgom, którzy szukają rozwiązań najbliższych oczekiwaniom swoich pacjentów, a jednocześnie legitymują się wysokimi kwalifikacjami, tzn. potrafią skutecznie nie tylko operować, ale również walczyć z możliwymi powikłaniami. W innym przypadku polecana jest metoda klasyczna SLAS, która jest wysoce skuteczna i przewidywalna.
Ponieważ odczucia pozabiegowe pacjentów operowanych metodą SLoP są obiecujące, a niektórzy już cieszą się pełnymi łukami zębowymi, badanie i prace nad udoskonaleniem metody trwają nadal.
embedImagecenter("Imagecenter_1_1731",1731, "large");
Piśmiennictwo dostępne u wydawcy.
Autor:
Radosław Jadach – absolwent Wydziału Lekarsko-Stomatologicznego Akademii Medycznej we Wrocławiu. Pracował m. in. W Zakładzie Ratownictwa Medycznego AM,
Katedrze Chorób Błony Śluzowej Jamy Ustnej i Przyzębia AM, był lekarzem w Klinice Chirurgii Szczękowo-Twarzowej AM we Wrocławiu. Uzupełniające szkolenia z zakresu zarządzania tkankami miękkimi w implantologii odbył w latach 2005-2013w prestiżowych ośrodkach w Nowym Jorku, Berlinie, Stuttgarcie i Genui. W 2009 r. rozpoczął szkolenie na Uniwersytecie w Nowym Jorku: Linhart Continuing Dental Education Program, Implant Continuum Education NYU & OSIS & CEIA, które zakończył w sierpniu 2012r. uzyskaniem certyfikatu NYU. Jest wykładowcą i szkoleniowcem na sympozjach i konferencjach krajowych i zagranicznych. We własnej praktyce skupia się głównie na technikach mikrochirurgii tkanek miękkich oraz rozległej chirurgii odtwórczej wyrostka zębodołowego na potrzeby implantologii. Jako jeden z pierwszych lekarzy w Polsce zastosował zabieg dekortykacji przedortodontycznej za pomocą piezotomu, pierwszy stworzył klasyfikację anatomicznych wskazań do zabiegu uniesienia dna zatoki szczękowej z dostępu od strony podniebienia twardego. Od 2013 r. jest kontraktowym wykładowcą Akademii Chirurgii Jamy Ustnej we Wrocławiu.
Kontakt:
E-mail: radosław.jadach@dentalsalon.pl
W ciągu 31 miesięcy autor wykonał 39 zabiegów podniesienia dna zatoki szczękowej od strony podniebienia twardego. Ponieważ opisywana metoda nie ...
Odbudowy implantoprotetyczne w bocznym odcinku szczęki niejednokrotnie wymagają dodatkowych zabiegów z zakresu sterowanej regeneracji kości w celu ...
Autorzy przedstawiają przypadek pacjentki z zaawansowanym zanikiem poziomym kości szczęki, u której w celu podniesienia dna zatoki szczękowej ...
Skuteczność wszczepiania implantów w bocznym odcinku bezzębnej szczęki i opartych na nich uzupełnień protetycznych może być obniżona przez ...
Skuteczność wszczepiania implantów w bocznym odcinku bezzębnej szczęki i opartych na nich uzupełnień protetycznych może być obniżona przez ...
We współczesnej rehabilitacji układu stomatognatycznego coraz częściej stosowaną metodą odbudowy braków zębowych jest leczenie ...
Techniki augmentowania upowietrznionych zatok szczękowych udowodniły, że są bezpieczne i efektywne w wytworzeniu dostatecznej dla wszczepienia ...
_Podniesienie dna zatoki szczękowej jest zabiegiem szeroko stosowanym przez lekarzy zajmujących się implantologia stomatologiczną. Technika sinus ...
Hiperdoncja to anomalia związana z udziałem zębów nadliczbowych, tzn. gdy liczba zębów w jamie ustnej u dorosłych jest większa niż 32. ...
Dzięki wprowadzeniu nowoczesnych biomateriałów i rozwojowi technik chirurgicznych, w chirurgii rekonstrukcyjnej (odtwórczej) pojawiły się ...
Webinarium na żywo
czw. 30 kwietnia 2026
1:00 (CET) Warsaw
Dr. Renato Leonardo D.M.D.
Webinarium na żywo
czw. 30 kwietnia 2026
7:00 (CET) Warsaw
Webinarium na żywo
nie. 3 maja 2026
6:00 (CET) Warsaw
Dr. Rickard Brånemark MSc, MD, PhD, Dr. Robert Gottlander DDS
Webinarium na żywo
pon. 4 maja 2026
2:00 (CET) Warsaw
Webinarium na żywo
wto. 5 maja 2026
4:00 (CET) Warsaw
Webinarium na żywo
wto. 5 maja 2026
6:00 (CET) Warsaw
Webinarium na żywo
wto. 5 maja 2026
7:00 (CET) Warsaw
Dr. Maximilian Dobbertin M.Sc
To post a reply please login or register