_Podniesienie dna zatoki szczękowej jest zabiegiem szeroko stosowanym przez lekarzy zajmujących się implantologia stomatologiczną. Technika sinus liftingu została wynaleziona w 1976 r. przez Tatum’a, a w 1980 r. opisana przez Boyne’a i James’a. Obecnie istnieje wiele modyfikacji zabiegu w zakresie procedury chirurgicznej, a także dotyczących rodzaju użytych biomateriałów
W ostatnim czasie w literaturze fachowej zwraca uwagę liczba publikacji, omawiających augmentacje dna zatoki szczękowej wraz z jednoczesnym wprowadzeniem implantów, w których znajdujemy pewne odstępstwa od protokołu operacyjnego uznanego za zgodny z obecnym stanem wiedzy 1,2,3,4.
Mazor i Simonieri 1,2 zastąpili wytwarzane komercyjnie biomateriały i błony kolagenowe preparatem PRF (platelet rich fibryn), uzyskiwanym w wyniku odwirowania krwi pacjenta według techniki opisanej przez Choukroun’a 5,6. PRF składa się z fibryny, leukocytów oraz płytek krwi zawierających liczne czynniki wzrostu.
Wykazano, że wprowadzenie preparatu PRF do przestrzeni wytworzonej pomiędzy kością a wyściółką zatoki szczękowej prowadzi do odtworzenia brakującej tkanki kostnej.
Do niewątpliwych zalet użycia PRF w liftingu zatoki należy:
_zwiększone bezpieczeństwo zabiegu z uwagi na stosowanie materiału autogennego,
_mniejsze odczyny pozabiegowe i szybsze gojenie tkanek miękkich z uwagi na zawarte w PRF czynniki wzrostu,
_praktycznie brak możliwości powstania stanu zapalnego zatoki w wyniku przemieszczenia się biomateriału do jej światła,
_szybka obturacja i gojenie ewentualnych uszkodzeń wyściółki zatoki powstałych w czasie zabiegu,
_w zaplanowanym miejscu powstaje od początku nowa, żywa kość – nie występują długotrwałe procesy resorpcji biomateriału i jego stopniowe zastępowanie przez tworząca się tkankę kostną jak ma to miejsce w sytuacji np. beta TCP, nie występują długotrwałe zjawiska przerastania kością struktur trudno resorbowalnych, jak w przypadku ceramiki hydroksyapatytowej i większości biomateriałów ksenogennych.
_metoda jest bezkonkurencyjna ekonomicznie.
">script> embedImagecenter("Imagecenter_1_402",402, "large");
Opis przypadku
Pacjentka lat 55 zgłosiła się w celu zamiany mikro protezy z ryglem, uzupełniającej braki zębów 16 i 17, na uzupełnienie stałe oparte na implantach.
Badaniem klinicznym i radiologicznym stwierdzono odpowiednią szerokość wyrostka zębodołowego do wprowadzenia implantów (Ryc.1 i Ryc.2). Wysokość kości w miejscu implantacji wynosiła od 4-6 mm (Ryc.3). Warunki miejscowe i ogólny stan zdrowia nie stanowiły przeszkody do wykonania zabiegu chirurgicznego obejmującego augmentację dna zatoki szczękowej z dostępu bocznego (otwarty sinus lift) wraz z jednoczasowym wprowadzeniem dwóch implantów.
Zabieg wykonano w znieczuleniu miejscowym preparatem 4% Citocartin z adrenaliną 1:200 000 (Molteni).
Po wykonaniu cięcia błony śluzowej i okostnej odpreparowano pełnej grubości płat i dotarto do bocznej ściany zatoki szczękowej (Ryc.4). Wykonano okno kostne na wysokości brakujących zębów (Ryc.5), używając do tego celu zestawu SLA (Neobiotech).
Właściwe użycie narzędzi SLA minimalizuje ryzyko uszkodzenia wyściółki zatoki szczękowej. Błonę śluzową zatoki odpreparowano od kości w kierunku mezjalnym, dystalnym, ku górze, a także przyśrodkowo, docierając do bocznej ściany nosa. Następnie wykonano łoża kostne dla implantów Legacy 3 (ImplantDirect LLC) o średnicy 4,2 mm (Ryc.6).
Tak jak w każdym przypadku implantacji wszczepów filarowych, także w sytuacji wprowadzenia implantów jednocześnie z zabiegiem augmentacji zatoki, uzyskanie właściwej stabilizacji pierwotnej wszczepów jest warunkiem powodzenia zabiegu. W wielu sytuacjach klinicznych przy wysokości residualnej kości na poziomie 3-4 mm zakotwiczenie mechaniczne implantów może nie być wystarczające i zabieg powinien być przeprowadzony dwuetapowo.
Pomocne w takich sytuacjach są implanty zaopatrzone w mini gwint.
Ten rodzaj gwintu wcina się w istniejącą kość zwiększając zdecydowanie stabilizację mechaniczną. Takiego efektu nie uzyskamy stosując wszczepy mające gładką powierzchnię lub rowki w okolicy „szyjki” implantu.
Wszczepy Legacy 3 posiadają unikalny, głęboki mini gwint, który oprócz wyżej wymienionej funkcji spełnia pozytywną role po okresie osteointegracji uczestnicząc w prawidłowej dystrybucji sił zgryzowych i wpływając na zachowanie kości wokół implantu (Ryc.7)
W trakcie zabiegu pobrano 8 probówek krwi żylnej, o pojemności 9 ml każda, które poddano procesowi wirowania i obróbki według Choukroun’a (Ryc.8 i Ryc.9).
Uzyskany koncentrat PRF umieszczono w przygotowanej wcześniej przestrzeni pod błoną śluzową zatoki szczękowej, a następnie wkręcono implanty (Ryc.10 i Ryc.11). Okno kostne oraz jego okolice pokryto błoną PRF uzyskaną w wyniku sprasowania PRF pomiędzy dwoma jałowymi gazikami (Ryc.12).
Ranę zaszyto na głucho.
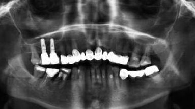
Gojenie przebiegało bez powikłań. Stan radiologiczny 5 miesięcy po zabiegu przedstawia rycina 13. Z uwagi na widoczne ślady tworzenia się nowej kości w 6-tym miesiącu po zabiegu zdecydowano się na odsłonięcie implantów i wykonanie ostatecznego uzupełnienia protetycznego w postaci zblokowanych koron metalowo-ceramicznych. Zmierzone na tym etapie leczenia wartości stabilizacji implantów wynosiły w obu przypadkach 73 ISQ. Ryciny 14 i 15 przedstawiają stan radiologiczny 2 miesiące po obciążeniu implantów. Na zdjęciu małoobrazkowym zwraca uwagę bardzo wyraźne beleczkowanie kostne.
Podsumowanie
Opisana metoda postępowania może być postępowaniem alternatywnym w określonych przypadkach klinicznych . Wymaga ona potwierdzenia na szerszym materiale klinicznym. Zwraca uwagę potencjał regeneracyjny i możliwości odtwórcze zawarte w komórkach i tkankach żywego organizmu.
Techniki augmentowania upowietrznionych zatok szczękowych udowodniły, że są bezpieczne i efektywne w wytworzeniu dostatecznej dla wszczepienia ...
Odbudowy implantoprotetyczne w bocznym odcinku szczęki niejednokrotnie wymagają dodatkowych zabiegów z zakresu sterowanej regeneracji kości w celu ...
Autorzy przedstawiają przypadek pacjentki z zaawansowanym zanikiem poziomym kości szczęki, u której w celu podniesienia dna zatoki szczękowej ...
Skuteczność wszczepiania implantów w bocznym odcinku bezzębnej szczęki i opartych na nich uzupełnień protetycznych może być obniżona przez ...
Skuteczność wszczepiania implantów w bocznym odcinku bezzębnej szczęki i opartych na nich uzupełnień protetycznych może być obniżona przez ...
We współczesnej rehabilitacji układu stomatognatycznego coraz częściej stosowaną metodą odbudowy braków zębowych jest leczenie ...
W ciągu 31 miesięcy autor wykonał 39 zabiegów podniesienia dna zatoki szczękowej od strony podniebienia twardego. Ponieważ opisywana metoda nie ...
W ciągu 31 miesięcy autor wykonał 39 zabiegów podniesienia dna zatoki szczękowej od strony podniebienia twardego. Ponieważ opisywana metoda nie ...
Drugiego dnia targów CEDE (piątek, 23. września) na Dental Tribune Study Club odbędzie się wykład dr. Grzegorza Wasiluka, który ...
Implant Dental New Wave zaprasza na kurs praktyczny pt.: „Udokumentowane naukowo techniki augmentacji tkanek twardych i miękkich – status ...
Webinarium na żywo
wto. 19 maja 2026
5:00 (CET) Warsaw
Webinarium na żywo
wto. 19 maja 2026
7:00 (CET) Warsaw
Prof. Dr. med. dent. Ivo Krejci
Webinarium na żywo
śro. 20 maja 2026
1:00 (CET) Warsaw
Dr. Graham Carmichael BDSc (Hons), DClinDent (Pros), FRACDS, Dr. Robert Gottlander DDS
Webinarium na żywo
śro. 20 maja 2026
3:00 (CET) Warsaw
Webinarium na żywo
śro. 20 maja 2026
5:00 (CET) Warsaw
Webinarium na żywo
śro. 20 maja 2026
7:00 (CET) Warsaw
Prof. Dr. med. dent. Tim Joda PhD, MSc, eMBA
Webinarium na żywo
czw. 21 maja 2026
6:00 (CET) Warsaw
Dr. Leonardo Muniz DDS, MSC
To post a reply please login or register