Search Dental Tribune

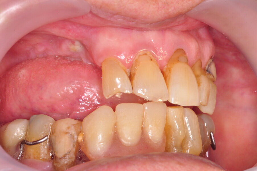
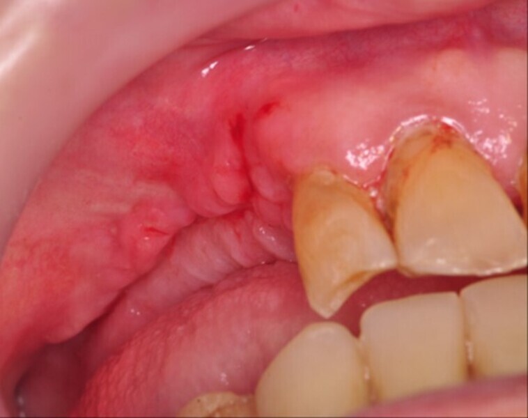
Osteonekroza występująca po zastosowaniu bisfosfonianów

advertisement
advertisement