W artykule opisano wykorzystanie pozycjonomera – szablonu nazębnego do ustalenia prawidłowej angulacji wszczepu wykonanego na podstawie skanu wewnątrzustnego. Przedstawiono wykonanie zabiegu implantacji z jednoczasowym pobraniem skanu przy użyciu scan postu i przesłaniu pliku stl do laboratorium, a następnie wykonanie korony tymczasowej na implancie. Wykonane uzupełnienie protetyczne zostało wyłączone ze zgryzu.
Zastosowanie tymczasowych uzupełnień implantoprotetycznych ma na celu uformowanie okołowszczepowych tkanek miękkich, a co za tym idzie uzyskanie zadowalającego efektu estetycznego ostatecznego uzupełnienia protetycznego. Osiągnięcie takiego efektu zależy przede wszystkim od pozycjonowania implantu w stosunku do wyrostka zębodołowego. Zbyt duże odchylenie osi implantu w kierunku przedsionkowym lub podniebiennym powoduje brak możliwości wykonania estetycznej pracy implantoprotetycznej.
Podstawą sukcesu jest właściwy plan leczenia implantoprotetycznego, ustalony na podstawie wywiadu z pacjentem oraz badań diagnostycznych. Zastosowanie cyfrowych technik projektowania na etapie klinicznym i laboratoryjnym pozwala na skrócenie procesu leczenia i zwiększenie przewidywalności ostatecznego efektu.
Wyjściowa sytuacja kliniczna
40-letni pacjent zgłosił się do kliniki Platinum we Wrocławiu w celu uzupełnienia braku zęba 46. W wywiadzie stwierdzono, że ząb został usunięty kilka lat temu z powodu powikłań po leczeniu endodontycznym w innym gabinecie stomatologicznym. Brak zęba w tym miejscu był dyskomfortem dla pacjenta, szczególnie podczas spożywania posiłków. Pacjent nie mógł rozgryzać pokarmów prawą stroną, w tej okolicy zalegały również resztki pokarmowe.
Plan leczenia
Uzyskanie bardzo dobrych efektów leczenia rzadko jest dziełem przypadku – musi być efektem profesjonalnego i konsekwentnego podejścia do procedur leczniczych, diagnostyki, komunikacji i planowania.
Po zebranym wywiadzie, analizie CBCT i badaniu, zaproponowano następujący plan leczenia:
_wszczepienie implantu Astra EV o średnicy 4,2 mm i długości 9 mm (z szablonu implantologicznego),
_odbudowa tymczasowa na implancie (obciążenie natychmiastowe).
Przebieg leczenia
Szablony chirurgiczne są coraz częściej wykorzystywane w zabiegach implantacji. Wykonywane na podstawie cyfrowych technik są niepodważalnym narzędziem prawidłowego planowania leczenia w odpowiednim pozycjonowaniu implantów. Takie planowanie zabiegu chirurgicznego, po wcześniejszym wykonaniu diagnostyki protetycznej (prothetically driven surgery) musi zakończyć się sukcesem.
W prezentowanym przypadku wybrano szablon typu „partially limiting” umożliwiający określenie toru wprowadzenia tylko dla wiertła pilotowego do osteotomii, a dalszy przebieg zabiegu został przeprowadzony „z wolnej ręki”. Powodem wyboru tego typu procedury były bardzo dobre warunki kostne i otaczających tkanek miękkich.
W znieczuleniu nasiękowym Citocartin 100 (artykaina + epinefryna) wszczepiono implant (Astra EV 4,2 x 9) w miejsce zęba 46. Uzyskano stabilność pierwotną powyżej 30 Ncm. Warunkiem sukcesu w natychmiastowym obciążeniu implantu koroną tymczasową, która jest niezbędna dla właściwego podparcia brodawek i brzegów dziąsła jest pierwotna stabilność implantu na minimalnym poziomie 25-30 Ncm.
Po zabiegu wszczepienia implantu została wykonana rejestracja skanerem wewnątrzustnym w celu zobrazowania przeciwzgryzu oraz rejestracji zgryzu. Następnie przykręcono odpowiedni scanpost wraz ze scanbody i za pomocą kamery zeskanowano żuchwę. Cyfrowy wycisk został wysłany do laboratorium DentalScan, w którym zaprojektowano i wyfrezowano koronę tymczasowa przykręcana. Praca została wykonana z materiału VITA CAD-temp. Jest to usieciowany polimer akrylowy z mikrowypełniaczem. Uzupełnienie zostało wklejone na odpowiednią bazę tytanową i cała praca wróciła do gabinetu, gdzie przykręcono ją w jamie ustnej pacjenta.
Zalecenia pozabiegowe obejmowały: stosowanie płukanki z zawartością 0,2% chlorheksydyny 3 razy dziennie, dietę miękką i w razie konieczności środki przeciwbólowe (ibuprofen) w dawce 600 mg 3 razy dziennie.
Podsumowanie
W opisanym przypadku przedstawiono zaledwie jedną z możliwości wykorzystania skanera wewnątrzustnego w gabinecie, ale jest ich o wiele więcej. Narzędzie to można zastosować przy wykonywaniu niemal każdego rodzaju prac protetycznych: od pojedynczych punktów, poprzez wielopunktowe mosty oraz prace na implantach, kończąc na szynach i łyżkach indywidualnych. Skaner jest również doskonałym narzędziem przy planowaniu i przeprowadzaniu leczenia ortodontycznego.
Autorzy:
Paweł Bernatek – absolwent Wydziału Lekarsko-Dentystycznego Akademii Medycznej we Wrocławiu oraz studiów podyplomowych na kierunku: menedżer ochrony zdrowia. W 2009 r. ukończył również prestiżowe Curriculum Implantologiczne na Uniwersytecie J.W. Goethego we Frankfurcie. Główne zainteresowania zawodowe autora to implantologia i chirurgia stomatologiczna, wspierane przez nowoczesne techniki cyfrowe. Priorytetowe znaczenie mają dla niego: najwyższa jakość przeprowadzanych zabiegów oraz bezpieczeństwo pacjentów, dlatego swoja wiedzę i umiejętności systematycznie poszerza poprzez udział w licznych kursach i kongresach w kraju i na świecie. Od 2004 r. wraz z Andrzejem Warchlewskim prowadzi wielostanowiskową klinikę stomatologiczną Platinum we Wrocławiu, która specjalizuje się przede wszystkim w kompleksowym leczeniu implantoprotetycznym z wykorzystaniem technik cyfrowych.
Kontakt:
www.platinum-klinika.pl
Paulina Pokusa – absolwentka Krakowskiej Szkoły Medycznej, tytuł technika dentystycznego uzyskała w 2009 r. W laboratorium protetycznym DentalScan jest specjalistą w dziedzinie rozwiązań CAD/CAM i wdrążania ich w połączeniu z cyfrowymi możliwościami on-line. Od kilku lat łączy pracę w DentalScan z funkcją Krajowego Konsultanta systemu inLab Dentsply Sirona. Wykładnią jej pracy jest dążenie do perfekcji i sprostanie wymaganiom estetyki, systematycznie wzbogaca swoją wiedzę i doskonali umiejętności w tym zakresie na kursach i konferencjach krajowych i zagranicznych. Jej zawodową pasją jest wykorzystywanie technologii CAD/CAM w protetyce stałej, implantoprotetyce i ortodoncji, a także wdrażanie nowych rozwiązań i możliwości stomatologii cyfrowej.
Kontakt:
www.dentalscan.pl
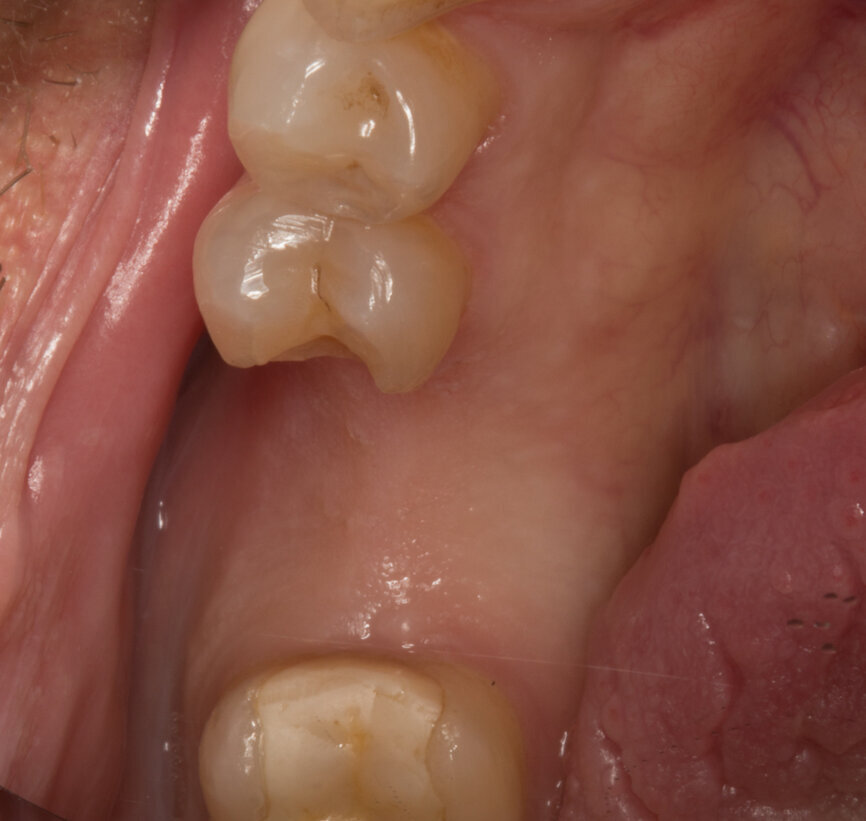
Ryc. 1_Stan przed przystąpieniem do zabiegu chirurgicznego.
Ryc. 2_Przymiarka szablonu opartego na zębach własnych pacjenta.
Ryc. 3_Zaznaczenie na śluzówce, przy użyciu szablonu, miejsca implantacji.
Ryc. 4-5_Odsłonięcie płata śluzówkowo-okostnowego.
Ryc. 4-5_Odsłonięcie płata śluzówkowo-okostnowego.
Ryc. 6_Wprowadzenie wiertła pilotującego.
Ryc. 7 i 8_Osadzenie znacznika celem potwierdzenia pozycji przyszłego wszczepu.
Ryc. 7 i 8_Osadzenie znacznika celem potwierdzenia pozycji przyszłego wszczepu.
Ryc. 9_Wykonanie łoża pod przyszły wszczep.
Ryc. 10 i 11_Widok preparacji łoża.
Ryc. 10 i 11_Widok preparacji łoża.
Ryc. 12_Łoże pod implant.
Ryc. 13_Wprowadzenie implantu.
Ryc. 14_Dokręcenie implantu kluczem dynamometrycznym.
Ryc. 15_Widoczna platforma implantu umieszczonego w okolicy 46.
Ryc. 16-20_Skanowanie wewnątrzustne.
Ryc. 16-20_Skanowanie wewnątrzustne.
Ryc. 16-20_Skanowanie wewnątrzustne.
Ryc. 16-20_Skanowanie wewnątrzustne.
Ryc. 21 i 22_Linia łącząca 2 wypukłości zębów sąsiednich, wyznaczająca „okno estetyczne”.
Ryc. 21 i 22_Linia łącząca 2 wypukłości zębów sąsiednich, wyznaczająca „okno estetyczne”.
Ryc. 23-25_Dokręcona śruba gojąca na czas projektu i frezowania korony tymczasowej.
Ryc. 23-25_Dokręcona śruba gojąca na czas projektu i frezowania korony tymczasowej.
Ryc. 23-25_Dokręcona śruba gojąca na czas projektu i frezowania korony tymczasowej.
Ryc. 26-28_Osadzona korona tymczasowa przykręcana.
Ryc. 26-28_Osadzona korona tymczasowa przykręcana.
Ryc. 26-28_Osadzona korona tymczasowa przykręcana.
Ryc. 29-32_Projekt korony tymczasowej przykręcanej
Ryc. 29-32_Projekt korony tymczasowej przykręcanej
Ryc. 29-32_Projekt korony tymczasowej przykręcanej
Ryc. 29-32_Projekt korony tymczasowej przykręcanej
Tagi:
Digital Smile Design (DSD) jest wielofunkcyjnym, wydajnym narzędziem diagnostycznym pozwalającym na wykonywanie projektów uśmiechu pozostających ...
Digital Smile Design (DSD) jest wielofunkcyjnym, wydajnym narzędziem diagnostycznym pozwalającym na wykonywanie projektów uśmiechu pozostających ...
Digital Smile Desig (DSD) to praktyczne cyfrowe narządzie wspomagające stomatologiczne leczenie estetyczne. Przystępny protokół umożliwia ...
Digital Smile Desig (DSD) to praktyczne cyfrowe narządzie wspomagające stomatologiczne leczenie estetyczne. Przystępny protokół umożliwia ...
Artykuł przedstawia zalety precyzyjnych konstrukcji retencyjnych z wymiennymi tytanowymi patrycami i elastycznymi matrycami systemu Rhein'83 wykonywanych w...
Artykuł przedstawia zalety precyzyjnych konstrukcji retencyjnych z wymiennymi tytanowymi patrycami i elastycznymi matrycami systemu Rhein'83 wykonywanych w...
Stomatologia zmienia się z dnia na dzień. Nowe technologie, jeszcze niedawno zaskakujące, obecnie są standardem. Jako endodonta codziennie mierzę się ...
MADRYT, Hiszpania: Popularność mediów społecznościowych w opiece zdrowotnej w celach promocji zdrowia, badań, rekrutacji i marketingu ciągle rośnie,...
Piękne nowomodne słówko „digitalizacja” to po polsku po prostu „ucyfrowienie” i oznacza nic innego, jak gwałtowne wejście...
Piękne nowomodne słówko „digitalizacja” to po polsku po prostu „ucyfrowienie” i oznacza nic innego, jak gwałtowne wejście...
Webinarium na żywo
czw. 30 kwietnia 2026
1:00 (CET) Warsaw
Dr. Renato Leonardo D.M.D.
Webinarium na żywo
czw. 30 kwietnia 2026
7:00 (CET) Warsaw
Webinarium na żywo
nie. 3 maja 2026
6:00 (CET) Warsaw
Dr. Rickard Brånemark MSc, MD, PhD, Dr. Robert Gottlander DDS
Webinarium na żywo
pon. 4 maja 2026
2:00 (CET) Warsaw
Webinarium na żywo
wto. 5 maja 2026
4:00 (CET) Warsaw
Webinarium na żywo
wto. 5 maja 2026
6:00 (CET) Warsaw
Webinarium na żywo
wto. 5 maja 2026
7:00 (CET) Warsaw
Dr. Maximilian Dobbertin M.Sc
To post a reply please login or register