Czasem zadawanie pytań, których nikt nigdy nie postawił, prowadzi do przełomowych odkryć. W moim przypadku pytanie brzmiało: jak skuteczniej pomagać pacjentom z parodontozą? Odpowiedź jest prosta: poprzez zastosowanie terapii „3000% więcej mocy”!
Czym jest nowa terapia? Czy jest niebezpieczna? Na czym polega? Dlaczego jest potrzebna? Co
oznacza? Nikt nie zadał mi żadnego z tych pytań, gdy prezentowałem koncepcję rozwiniętą w swoim gabinecie jako projekt pilotażowy na Międzynarodowych Targach Dentystycznych IDS (International Dental Show) w 2007 r. Niemniej jednak, w niniejszym artykule odpowiem na nie.
Pomysł
Na pomysł wprowadzenia nowej metody leczenia parodontozy wpadłem podczas zapoznawania
się z literaturą naukową na temat laserów. Raport Yukna z 2003 r. opisywał metodę LANAP (Laser-Assisted New Attachment Procedure). Ta nowa procedura laserowa obiecywała regenerację zamiast naprawy w połączeniu z imponującym efektem wizualnym. Dr Sukna z Nowego Orleanu (Luizjana, USA) wytypował 3 pacjentki, z których każda zgodziła się na przeprowadzenie badania 2 jednokorzeniowych zębów pokrytych osadem. Jeden z zębów każdej pacjentki był leczony metodą LANAP, a drugi laserem Nd:YAG z zastosowaniem standardowego protokołu. Po kilku miesiącach powtarzania badań, wszystkim pacjentkom usunięto oba zęby z bloku kostnego.
Wyniki histologiczne wykazały zregenerowanie kości oraz powstanie nowego więzadła przyzębia w 2 z 3 zębów leczonych metodą LANAP. W grupie kontrolnej zaobserwowano tylko jeden długi nabłonek funkcjonalny. Powierzchnia korzenia oraz miazga nie wykazały żadnych zmian histologicznych. Jako dentysta ogólny jestem zwolennikiem lasera diodowego. Jedynym laserem typu Nd:YAG, który jest w stanie poradzić sobie z zabiegiem LANAP jest laser Millennium, stworzony przez niekwestionowanego mistrza i pioniera w tej dziedzinie – dr. Roberta H. Gregga.
Metodologia
Przeprowadziłem analizę czynników, które różniły się od standardowego protokołu laserowego, a następnie odpowiednio dopasowałem procedurę lasera diodowego. Dzięki wsparciu firmy Elexxion mogłem przygotować protokół dla lasera Claros o mocy 30 W oraz częstotliwości 20 000 Hz.
Jaka jest oznaka skuteczności leczenia zgodnie z założeniami raportu Yukna?
Może być nią krwawienie wydobywające się z kieszonki po przeprowadzonym zabiegu. Każdy lekarz korzystający z lasera wie, że po tradycyjnym leczeniu laserem kieszonki mogą być bardzo wysuszone. Wielu producentów używa tego argumentu jako reklamy, a pacjenci są zadowoleni z braku krwawienia. Problem w tym, że brak krwi oznacza brak regeneracji, gojenia ran oraz brak powstawania nowej kości. Każdy dentysta wie, jak wiele niedogodności powodują suche kieszonki. Schulte poruszył tę kwestię w odniesieniu do zabiegu wypełniania torbieli krwią autologiczną.
embedImagecenter("Imagecenter_1_377",377, "large");
Pytania
Jak wykonać zabieg?
Zabieg wykonujemy, stosując bardzo krótkie impulsy oraz wysoki poziom mocy.
Czy zabieg jest bezpieczny dla pacjenta?
Aby odpowiedzieć na to pytanie, w 2007 r. poprosiliśmy dr. I. Krejc z Uniwersytetu w Genewie o przeprowadzenie badania pilotażowego. Wyniki badania można podsumować następująco: po zastosowaniu zalecanych przetestowanych ustawień, temperatura zmniejszyła się o 20% w porównaniu z wynikami otrzymanymi po zaaplikowaniu mocy 1,11 W oraz fali ciągłej. Analiza mikroskopowo-elektronowa nie wykazała żadnych znaczących zmian korzenia. Po przeprowadzeniu zabiegu zgodnie z tymi ustawieniami nie zaobserwowano zwęglonej warstwy na powierzchni korzenia. Aby potwierdzić otrzymane wyniki, niezbędne jest przeprowadzenie dalszych badań.
Jaki jest cel tego zabiegu?
Celem proponowanej terapii jest zwiększenie regeneracji zamiast stosowania technik rekonstrukcyjnych.
Jak to działa?
Zabieg jest wykonywany w oparciu o procedurę elap-p, rozwiniętą w gabinecie stomatologicznym
na jego potrzeby.
Czym jest elap-p?
Mówiąc w skrócie elap-p to 3000% więcej mocy oraz 20% mniej wytwarzanego ciepła bez efektu
zwęglenia lub koagulacji.
Opis przypadku
Scenariusz początkowy
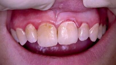
W piątkowy wieczór pacjent przychodzi do gabinetu z rwącym bólem i narzeka na nieprzespaną noc. Środki przeciwbólowe działają krótko. Zaczerwienienie oraz krwawienie wskazują na przyczynę natury periodontycznej.
Otwieranie kieszonki
Po zastosowaniu miejscowego znieczulenia wykonujemy tradycyjne oczyszczanie pola roboczego,
włącznie z usunięciem osadu nazębnego. Zabieg możemy wykonać za pomocą lasera Er:YAG
lub ultradźwiękowego próbnika periodontycznego (Ryc. 4). Można także zastosować narzędzia ręczne. Oczyszczenie ułatwi dostęp lasera do zapalonej tkanki.
Zastosowanie procedury elap-p po raz pierwszy
Odkażenie lasera wykonujemy za pomocą lasera diodowego o następujących ustawieniach: długość fali 810 nm, moc 30 W, częstotliwość 5 000 Hz, czas trwania pulsu 10 μs. Średnia wartość mocy uzyskiwanej z włókna o grubości 400 μm wynosi 1,2 W. Powierzchnia każdego zęba jest następnie oczyszczana za pomocą kątnicy periodontycznej naprzemiennie przez 5 s (należy poświęcić ok. 20 s na każdy ząb). Wymuszone celowo krwawienie występuje bez efektu koagulacji lub zwęglenia.
Usuwanie osadu nazębnego oraz złogów
Laser Er:YAG, ultradźwiękowy próbnik periodontyczny lub narzędzia ręczne są po raz kolejny
wykorzystane do usuwania bakteryjnych złogów toksyn (antygenów) oraz osadu.
Zastosowanie procedury elap-p po raz drugi
Powtarzamy odkażenie lasera za pomocą lasera diodowego o następujących ustawieniach: długość fali 810 nm, moc 30 W, częstotliwość 5 000 Hz, czas trwania pulsu 10 μs, włókno o grubości 400 μm dające moc 1,2 W. Powierzchnia każdego zęba jest następnie oczyszczana za pomocą kątnicy periodontycznej naprzemiennie przez 5 s (20 s na każdy ząb). Podwójne zastosowanie procedury pozbywania się bakterii (odkażania lasera), wymuszania krwawienia bez uzyskiwania efektu zwęglenia lub koagulacji oraz aplikacja pulsu o mocy 30 W wskazuje na wysokie właściwości gojenia się ran, a także wykazuje minimalne zniszczenie tkanki przyzębia. Wszystko dzięki obecności krwi, która jest niezbędna do regeneracji lub naprawy tkanki.
Zamknięcie rany
Ranę zamyka się poprzez przyciskanie dziąsła kciukiem oraz palcem wskazującym.
Leczenie laserem miękkim
Leczenie laserem miękkim (moc 75 MW, częstotliwość 8 000 Hz, czas trwania pulsu 9 μs) jest wykonywane przez 2 minuty w celu złagodzenia bólu oraz przyspieszenia procesu gojenia rany.
Obserwacja po 48. godzinach
Pacjentka odwiedza gabinet w poniedziałek o 8:30 rano i informuje, że po zabiegu ból minął. Dzięki temu pacjentka mogła zrezygnować z stosowania środków przeciwbólowych lub antybiotyków, a bezpośrednio po wykonaniu zabiegu była w stanie przyjmować pokarm.
Porównanie tkanki leczonej oraz nieleczonej
W przypadku wskaźnika ruchomości wyższego niż 1 zaleca się stosowanie prostej wytrawionej kwasem szyny nazębnej. Należy unikać przedwczesnej styczności powodującej niefizjologiczne napięcia. Po skutecznym przeprowadzeniu doraźnego leczenia należy wykonać systematyczne leczenie periodontyczne.
Na pomysł wprowadzenia nowej metody leczenia paradontozy wpadłem podczas zapoznawania się z literaturą naukową na temat laserów. Raport Yukna z ...
Naukowcy z Uniwersytetu w Edynburgu potwierdzili w swoich badaniach, że leczenie paradontozy pomaga obniżyć poziom glukozy we krwi u osób z ...
Kalifornijscy naukowcy pracują nad małym, ale potężnym sojusznikiem, który może pomóc w zapobieganiu infekcjom po leczeniu kanałowym. W badaniu ...
Badania nad komórkami macierzystymi odegrały ważną rolę w wielu dziedzinach medycyny. W nowym badaniu naukowcy zbadali, czy komórki macierzyste ...
Trwa amerykański projekt badawczy poświęcony nowej technologii, która może zwiększyć trwałość wypełnień stomatologicznych. Dr Franklin Tay...
Kruszone lub sproszkowane skorupki jaj mają wiele praktycznych zastosowań. Można je stosować jako naturalny suplement wapnia, słodzik do kawy, lek na ...
Moi drodzy,Z ogromną satysfakcją pragniemy poinformować, że prestiż wydawanego przez DTI kwartalnika „Implants” został uznany i poparty ...
Obecny postęp technologiczny oferuje coraz więcej rozwiązań, które pozwalają na leczenie większej liczby chorób. Co więcej, zwiększenie dostępu ...
W 1982 r. Mulliken i Glowacki wprowadzili prostą klasyfikację, która opiera się na klinicznych, histochemicznych i komórkowych kryteriach w...
W 1982 r. Mulliken i Glowacki wprowadzili prostą klasyfikację, która opiera się na klinicznych, histochemicznych i komórkowych kryteriach w...
Webinarium na żywo
czw. 30 kwietnia 2026
1:00 (CET) Warsaw
Dr. Renato Leonardo D.M.D.
Webinarium na żywo
czw. 30 kwietnia 2026
7:00 (CET) Warsaw
Webinarium na żywo
nie. 3 maja 2026
6:00 (CET) Warsaw
Dr. Rickard Brånemark MSc, MD, PhD, Dr. Robert Gottlander DDS
Webinarium na żywo
pon. 4 maja 2026
2:00 (CET) Warsaw
Webinarium na żywo
wto. 5 maja 2026
4:00 (CET) Warsaw
Webinarium na żywo
wto. 5 maja 2026
6:00 (CET) Warsaw
Webinarium na żywo
wto. 5 maja 2026
7:00 (CET) Warsaw
Dr. Maximilian Dobbertin M.Sc
To post a reply please login or register