W ostatnich latach spotykamy się z bardzo dynamicznym rozwojem materiałów i technologii do wytwarzania stałych uzupełnień ceramicznych przy pomocy wycisku cyfrowego. Dzięki temu, uzupełnienia tego typu są niezwykle estetyczne, charakteryzują się także wysoką trwałością i wytrzymałością na naprężenia. W niniejszej pracy przedstawiono etapy wykonania 6 koron pełnoceramiczny IPS Empress CAD Multi, które znacznie poprawiły uśmiech pacjentki. W końcowym efekcie uzyskano zadowalającą estetykę uśmiechu, odtworzono także prawidłową funkcję narządu żucia i artykulację.
Współczesna stomatologia estetyczna stanowi ogromne wyzwanie dla lekarzy i techników dentystycznych. Rosnące wymagania pacjentów, sprowadzające się często do wysublimowanej dbałości o najmniejszy szczegół, a jednocześnie reżim czasu powodują nieustające poszukiwania nowych rozwiązań i nowoczesnych technologii.
Nieocenione możliwości daje dziś świat stomatologii cyfrowej. W porównaniu do konwencjonalnych metod laboratoryjnych, technologia CAD/CAM pozwala uzyskać spektakularny efekt w najdrobniejszym detalu, a jednocześnie przy maksymalnej oszczędności czasu.
W opisanym przypadku wykonano estetyczną pracę protetyczną przy użyciu najnowszych osiągnięć stomatologii cyfrowej.
Opis przypadku
Gabinet
Pacjentka zgłosiła się do gabinetu celem poprawy estetyki uśmiechu w odcinku przednim. Obecnie w zębach 13-23 posiada wypełnienia kompozytowe klasy III i IV wg Black’a, w znacznym stopniu przebarwione, popękane i nieszczelne, co wizualnie pogarszało wygląd i tym samym deprecjonowało samoocenę pacjentki (Ryc. 1-3). Jednocześnie kobieta wyraźnie podkreśliła, że nie toleruje standardowych wycisków z powodu silnego odruchu wymiotnego.
Aby odtworzyć kształt i prawidłową funkcję zębów, po konsultacji z pacjentką i technikiem dentystycznym, zadecydowano wykonać 6 estetycznych koron pełnoceramicznych na zęby 13-23 z materiału IPS Empress CAD Multi przy użyciu technologii CAD/CAM.
W znieczuleniu miejscowym nasiękowym Citocartin rozpoczęto etapową preparację maksymalnie oszczędzającą tkanki własne zębów. Prawidłowe przygotowanie filarów pod uzupełnienia stale jest bezsprzecznie jednym z najistotniejszych elementów odtworzeniu funkcji i właściwego wyglądu zębów. Należy pamiętać o uzyskaniu dobrej retencji i stabilizacji, a także wytrzymałości mechanicznej i odpowiedniej szczelności. Istotne jest również zachowanie dobrego stanu przyzębia odbudowywanych zębów.
Szlifowanie wykonano przy pomocy wierteł diamentowych i końcówki przyspieszającej z chłodzeniem wodnym zamontowanej na mikrosilnik, który pozwala na precyzyjniejszą pracę, zwłaszcza przy opracowaniu stopnia. Rozpoczęto od nacięć pionowych wzdłuż długiej osi zębów o głębokości ok. 1 mm na powierzchni licowej, brzegi sieczne skrócono o 2 mm, powierzchnie podniebienne zeszlifowano na ok. 1 mm, uwzględniając zachowanie odpowiedniej ilości miejsca dla uzupełnień przy wykonywaniu ruchu poprzedniego i ruchów bocznych żuchwy. Następnie połączono nacięcia na powierzchniach wargowych i oszlifowano powierzchnie styczne z zachowaniem równoległości wszystkich ścian.
Kolejnym etapem było wykonanie dodziąsłowego zaokrąglonego stopnia typu chamfer po uprzedniej retrakcji dziąseł metodą chemiczną. Szlifowanie zakończono zaokrągleniem ostrych krawędzi, wygładzeniem wszystkich powierzchni oraz sprawdzeniem, czy na preparowanych zębach nie pozostawiono resztek wypełnień kompozytowych (Ryc. 4 i 5). Filary zabezpieczono preparatem Gluma Desensitizer. Wspólnie z pacjentką dobrano kolor zębów. Ostatecznie zdecydowano o wyborze koloru A2 (Vita).
W następnym etapie pracy zeskanowano łuk górny z przygotowaną preparacją, kolejno łuk przeciwstawny oraz oba łuki w zwarciu centralnym, co zastąpiło rejestrat okluzyjny. W tym celu wykorzystano kolorowy bezproszkowy skaner CEREC Omnicam Connect (Sirona Dental), (Ryc. 6a, b). Po zakończonym skanowaniu wycisk cyfrowy został wysłany za pośrednictwem portalu Sirona Connect do pracowni protetycznej.
Laboratorium
W laboratorium technik zaprojektował korony z poziomu oprogramowania IN LAB systemu przeznaczonego dla pracowni protetycznych (Ryc. 1_lab). Został również zamówiony drukowany model w technologii SLA (stereolitografia) z Infinidentu ( Niemcy).
Wykonano 6 koron tymczasowych przy użyciu Telio CAD (Ryc. 4a_lab). Jest to materiał w postaci usieciowanych bloczków PMMA przeznaczonych do wykonywania prowizoriów długoczasowych techniką CAD/CAM. Dzięki przemysłowemu procesowi polimeryzacji bloczki te charakteryzują się wysoką jednorodnością materiału. Nie stwierdza się skurczu, nie tworzy się także warstwa inhibicyjna.
Docelowe korony (Ryc. 2_lab i 3_lab) zostały wykonane z IPS Empress CAD (Ryc. 4b_lab, który jest materiałem do wytwarzania bardzo estetycznych uzupełnień pojedynczych zębów w pełnym kształcie anatomicznym w technice CAD/CAM. Bloczki IPS Empress CAD wykonane są z ceramiki szklanej wzmocnionej leucytem. Uzupełnienia te charakteryzują się bardzo dobrym dopasowaniem oraz jednorodną powierzchnią. Szczególnie bloczki pod nazwą Multi wspaniale oddają naturalny układ kolorów począwszy od dentyny aż po masy brzegu siecznego. Ich cechą charakterystyczną jest także zbliżony do zębów naturalnych układ fluorescencji.
Po wyfrezowaniu (Ryc. 5_lab) 6 koron, na wydrukowanym modelu sprawdzono szczelność brzeżną, punkty styczne oraz warunki zgryzowe. Ostateczne wykończenie uzupełnień protetycznych polegało na położeniu i wypaleniu glazury w piecu do wypalania ceramiki.
Gabinet
Korony Telio zostały tego samego dnia zacementowane tymczasowo (Relyx temp). Po konsultacji z pacjentką i ze względu na obawy co do efektu końcowego, lekarz i technik podjęli decyzję o wycięciu koron próbnych z materiału Telio CAD. Pacjentka zaakceptowała kształt, kolor, wielkość i ustawienie zębów.
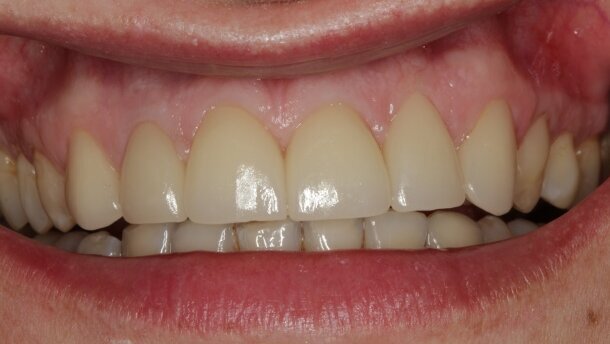
Pacjentka po 3 dniach zgłosiła się do gabinetu i potwierdziła akceptację projektu. Zdemontowano korony tymczasowe. Zgodnie z procedurą cementowania Multilink Automix (Ivoclar Vivadent) osadzono uzupełnienia ostateczne w szczęce. Usunięto nadmiary cementu. Przeprowadzono korektę w zgryzie (Ryc. 7-9). Wyznaczono terminy wizyt kontrolnych.
Podsumowanie
Osiągnięto pełen sukces w uzyskaniu pięknego uśmiechu. Pacjentka była w pełni usatysfakcjonowana i zadowolona z końcowego efektu, a w szczególności z faktu, że cała procedura odbyła się bez dyskomfortu, jakim jest dla niej wycisk masą silikonową lub alginatową.
embedImagecenter("Imagecenter_1_1720",1720, "large");
Autorzy:
Lek. dent. Dariusz Fedczyna – specjalista stomatologii ogólnej, ukończył studia na Wydziale Stomatologii AM w Lublinie i Wydział Techniki Dentystycznej w Rzeszowie. Jest członkiem DGOI i ICOI. Od 1994 r. prowadzi prywatną praktykę w Kielcach, uczestnik wielu kongresów krajowych i zagranicznych, m.in. w Mediolanie, Rzymie, Porto i Seulu.
Kontakt:
Gabinet Stomatologiczny EURO DENT
Kielce, ul. Warszawska 28/1, I piętro
Tel.: (41) 341 53 82
E-mail: darfed@wp.pl
Tech. dent. Paweł Czubala – od 2000 r. jest właścicielem i prowadzi Pracownię Techniki Dentystycznej „Estetic-Dent” w Kielcach. Wiedzę i doświadczenie zdobywał na szkoleniach i sympozjach implantoprotetycznych w kraju i za granicą. Specjalizuje się w odbudowie estetyki uśmiechu z wykorzystaniem implantów. Jakość i precyzję jego prac doceniły firmy implantologiczne, m.in. AlphaBio, Cortex i Bego, przyznając pracowni swoją autoryzację. Pracownia posiada również znak jakości Biomet 3i, jest laureatem Platinum Program 2013 Biomet 3i.
Kontakt:
Pracownia Techniki Dentystycznej „Estetic-Dent”
Kielce, ul. Wojska Polskiego 16a/1
Tel.: (41) 368 24 68, 602 365 047
E-mail: estetic-dent@wp.pl
Piśmiennictwo:
1. Majewski S.: Rekonstrukcja zębów uzupełnieniami stałymi. Wydawnictwo Stom. FP., Kraków 2005.
2. Panek H.: Nowe technologie w protetyce stomatologicznej. Wyd. AM, Wrocław 2006
3. Higgins A.: The CAD/CAM hall of fame. Machine Design, October, 1999.
4. Martin N., Jedynakiewicz N. M.: Clinical performance of CEREC ceramic inlays; Dent. Mat., Jan 1999, Vol. 15, 1, 54-61.
5. Schmidseder J.: Stomatologia estetyczna. Wydawnictwo Czelej Sp. z o. o. Lublin, 2003.
6. Borczyk D.: Współczesne systemy pełnoceramicz¬ne i ich wykorzystanie w codziennej praktyce. Magazyn Stomatol., 2005, 5, 10-13.
7. Szczyrek P., Zadroga K., Mierzwińska-Nastalska E.: Cementowanie uzupełnień pełnoceramicznych – przegląd piśmiennictwa. Część II. Protet. Stomatol., 2009, 1, 16-25.
8. Della Bona A., Kelly J. R.: The clinical success of all-ceramic restorations. J. Am. Dent. Assoc., 2008, 139, 8-13.
9. Majewski S., Gronkiewicz K.: Zastosowanie nowych technologii wytwarzania stałych protez zębowych w odniesieniu do konstrukcji wkładów, licówek, koron i mostów – na zębach własnych i filarach implantowanych. Implantoprotet., 2007, VIII, 1-2, 49-53.
10. D. R., Padayachy J. N: Smile lifts – A functional and aesthetic perspective. Brit. Dent. J., 2006, 200, 4, 199-203.
11. Szczyrek P., Zadroga K., Mierzwińska-Nastalska E.: Cementowanie uzupełnień pełnoceramicznych – przegląd piśmiennictwa. Część II. Protet. Stomatol., 2009, 59, 1, 16-25.
12. Witek P.: Cementowanie adhezyjne całoceramicznych protez stałych – ocena kliniczna cementów Compolute i Variolink II. Porad. Stomatol., 2002, 11, 2, 10-14.
13. Pospiech P.: All-ceramic crowns: bonding or cementing? Clin. Oral Invest., 2002,6, 4, 189-197.
14. Pryliński M., Deręgowska-Nosowicz P., Kaczmarek E., Limanowska-Shaw H.: Wpływ różnych cementów adhezyjnych na siłę wiązania pomiędzy ceramiką a szkliwem i zębiną – badania laboratoryjne. Porad. Stomatol., 2005, 7, 5, 12-16.
15. Frankerberger R.: Technika adhezyjna 2008, czyli „cena za oszczędność czasu”. Magazyn Stomatologii Estetycznej, 2008, 3, 4, 55-70.
16. E. Mierzwińska-Nastalska, P., Szczyrek: Uzupełnienia ceramiczne. Postępowanie kliniczne i wykonawstwo laboratoryjne. Med. Tour Press International, 2011.
17. Craig R.G.: Materiały stomatologiczne. Urban&Partner, 2008.
18. Manso A.P., Silva N., Bonfante E.A., Pegoraro T.A., Dias R.A., Carvahlo R.M.: Cementy i adhezyjne systemy łączące do osadzania uzupełnień pełnoceramicznych. Stomatologia estetyczna, 2012, 8, 2, 129-145.
19. Roulet J.F., Kappert H.: Statements: diagnostics and therapy in dental medicine today and in the future. Quintessence Publishing, 2008.
20. Shillingburg H.T., Hobo S., Whitsett L.D: Protezy stałe. Zarys postępowania klinicznego. Quintessence, Warszawa, 1994, 3, 85.
21. Mack R.M.: Perspective of facial esthetics in dental treatment planning. J. Prosthet. Dent., 1996, 75, 2, 169-182.
W ostatnich latach spotykamy się z bardzo dynamicznym rozwojem materiałów i technologii do wytwarzania stałych uzupełnień ceramicznych przy ...
W artykule opisano przypadek późnej implantacji zęba 21 oraz natychmiastowej implantacji zęba 11 z natychmiastowym obciążeniem koroną ...
W artykule opisano przypadek późnej implantacji zęba 21 oraz natychmiastowej implantacji zęba 11 z natychmiastowym obciążeniem koroną ...
W artykule opisano przypadek późnej implantacji zęba 21 oraz natychmiastowej implantacji zęba 11 z natychmiastowym obciążeniem koroną ...
Robocam i scan_lab zapraszają na I Konferencję „CAD/CAM bez kompromisów – estetyka i funkcjonalność”, łączącą zagadnienia sztuki i ...
Obserwując z jednej strony postępującą specjalizację dziedzin stomatologii, widzimy z drugiej strony potrzebę całościowego spojrzenia na tzw. ...
Obserwując z jednej strony postępującą specjalizację dziedzin stomatologii, widzimy z drugiej strony potrzebę całościowego spojrzenia na tzw. ...
Scan_Lab to nowoczesne laboratorium protetyki komputerowej oraz lider rynku w wypożyczaniu i sprzedaży skanerów 3D. Firma wykonuje pełen zakres prac ...
Drożny przewód nosowo-podniebienny (Patent Nasopalatine Duct – PNPD) jest najczęściej malformacją wykrywaną przypadkowo. Pacjenci, u ...
W artykule przedstawiono diagnostykę, planowanie i leczenie implantologiczne. Uwzględniono konieczność wykonania uzupełnienia tymczasowego w celu ...
Webinarium na żywo
wto. 19 maja 2026
5:00 (CET) Warsaw
Webinarium na żywo
wto. 19 maja 2026
7:00 (CET) Warsaw
Prof. Dr. med. dent. Ivo Krejci
Webinarium na żywo
śro. 20 maja 2026
1:00 (CET) Warsaw
Dr. Graham Carmichael BDSc (Hons), DClinDent (Pros), FRACDS, Dr. Robert Gottlander DDS
Webinarium na żywo
śro. 20 maja 2026
3:00 (CET) Warsaw
Webinarium na żywo
śro. 20 maja 2026
5:00 (CET) Warsaw
Webinarium na żywo
śro. 20 maja 2026
7:00 (CET) Warsaw
Prof. Dr. med. dent. Tim Joda PhD, MSc, eMBA
Webinarium na żywo
czw. 21 maja 2026
6:00 (CET) Warsaw
Dr. Leonardo Muniz DDS, MSC
To post a reply please login or register