Search Dental Tribune

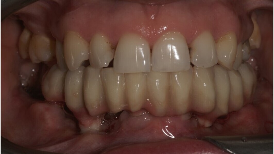
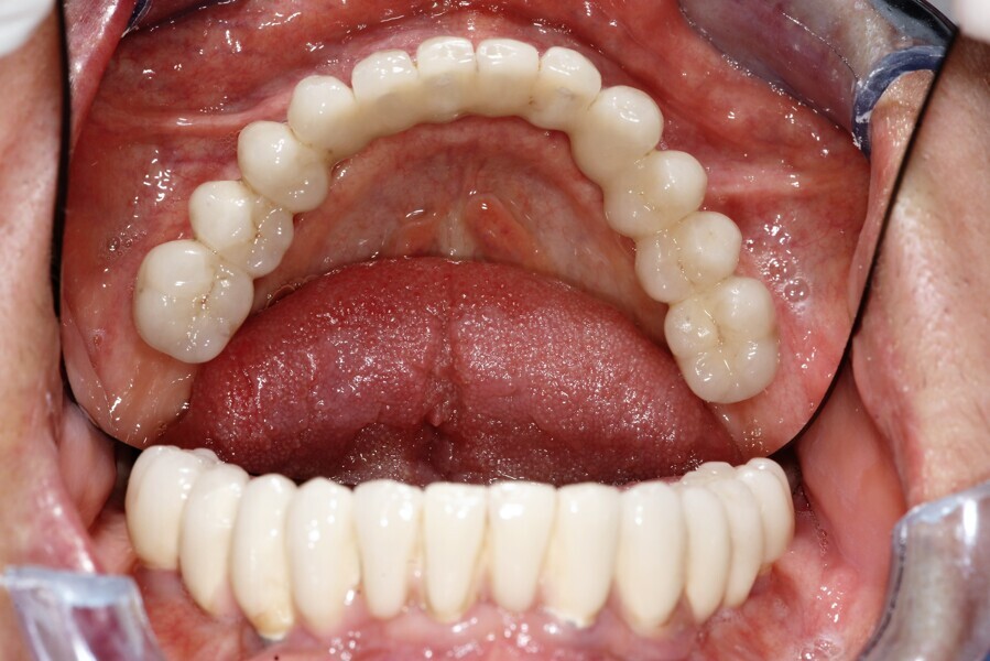
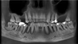
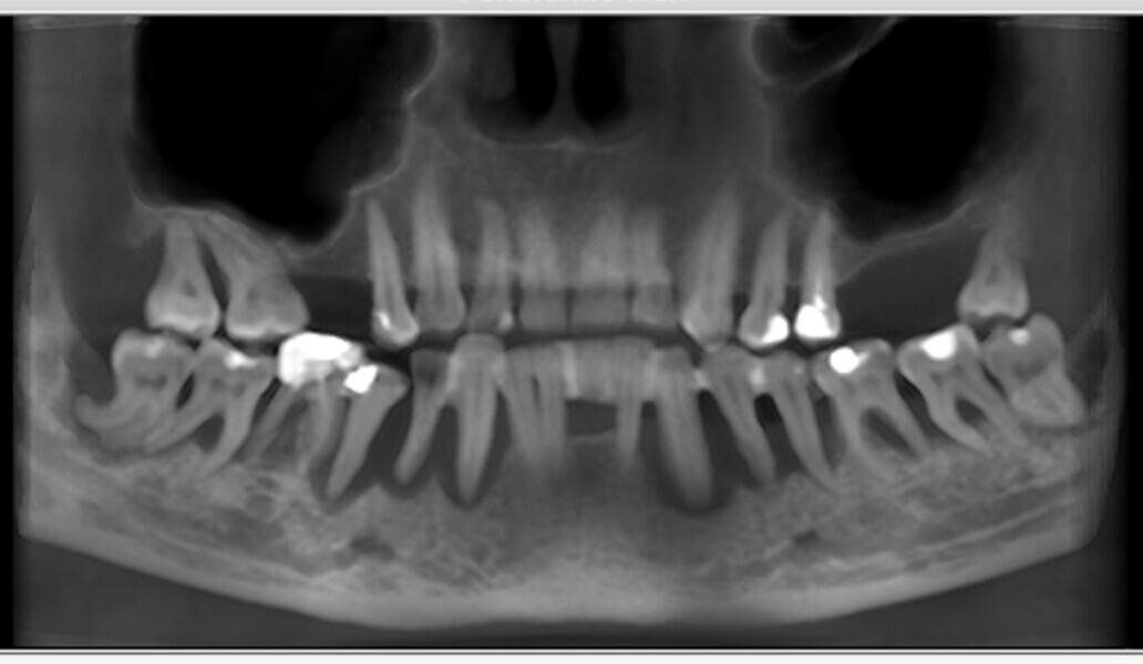
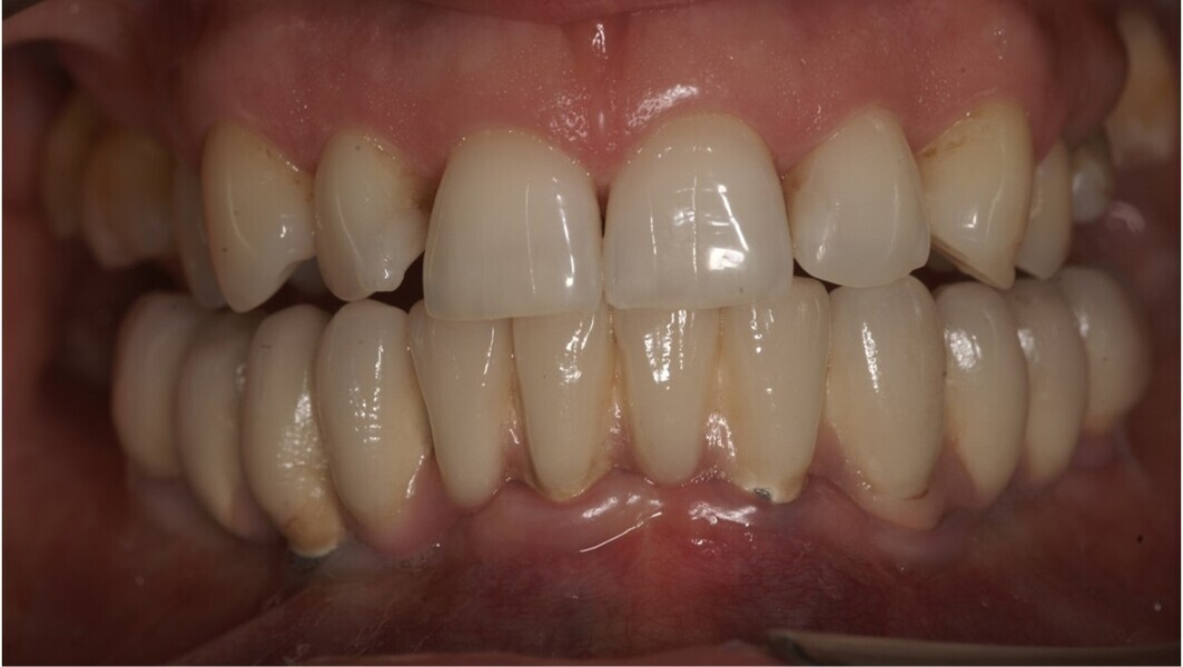
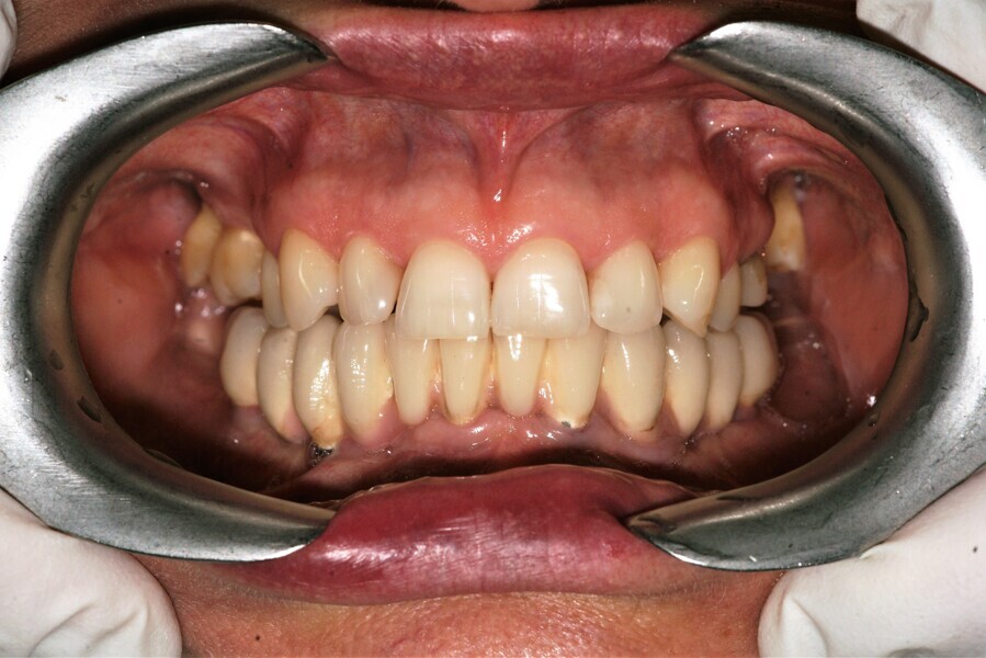
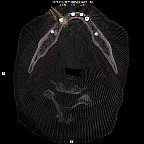
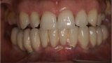
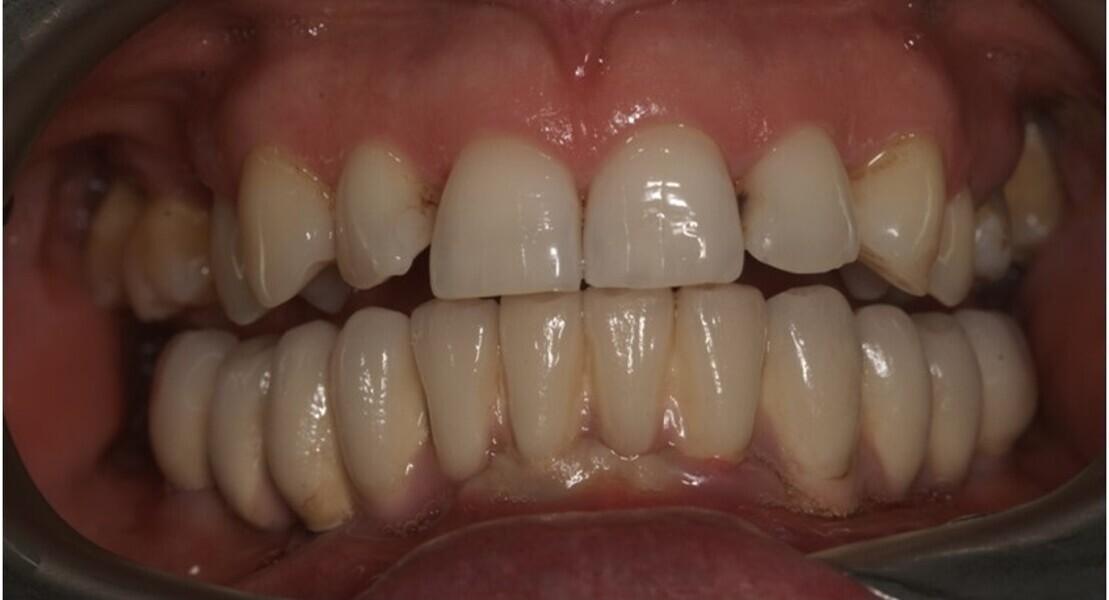
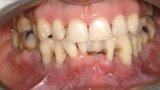
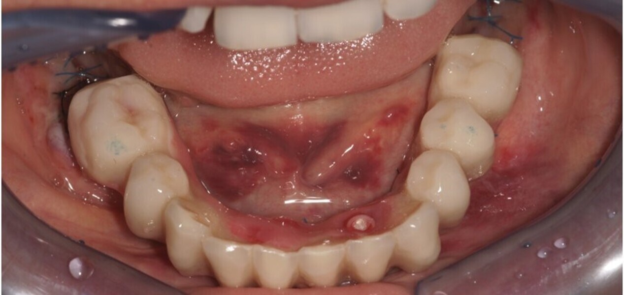
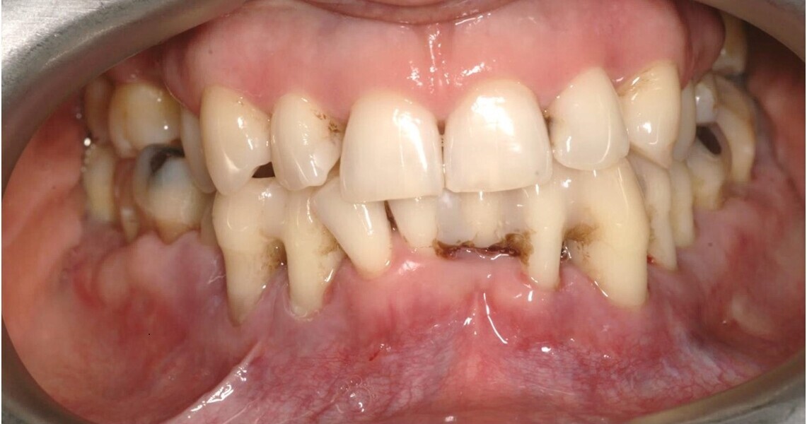
Natychmiastowa implantacja i zaopatrzenie protetyczne pacjentów z zaawansowaną chorobą przyzębia

advertisement