Ryc. 1_Stan miejscowy przed ekstrakcja zębów 11 i 21.
Ryc. 2_TK przedzabiegowe.
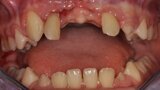
Ryc. 3_Zęby 11 i 21 po ekstrakcji.
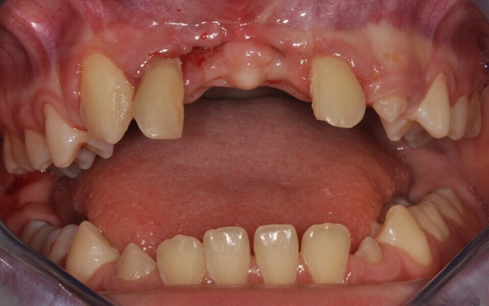
Ryc. 4¬_Stan miejscowy po ekstrakcji i ablacji kości.
Ryc. 5_Stabilizacja skrzepu laserem Nd:YAG.
Ryc. 6_Mucograft nasączony iPRF.
Ryc. 7_Stan miejscowy bezpośrednio po pierwszym zabiegu.
Ryc. 8_Stan miejscowy bezpośrednio przed autotransplantacją.
Ryc. 9_Miejsce biorcze po wytworzeniu łoża.
Ryc. 10_Stan bezpośrednio po drugim zabiegu.
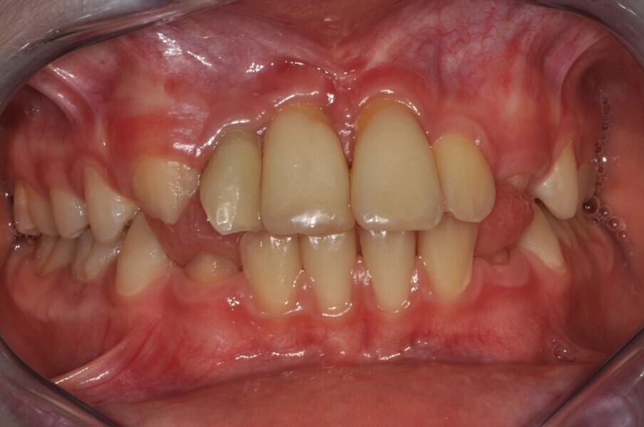
Ryc. 11_Stan miejscowy 6 miesięcy po zabiegu.
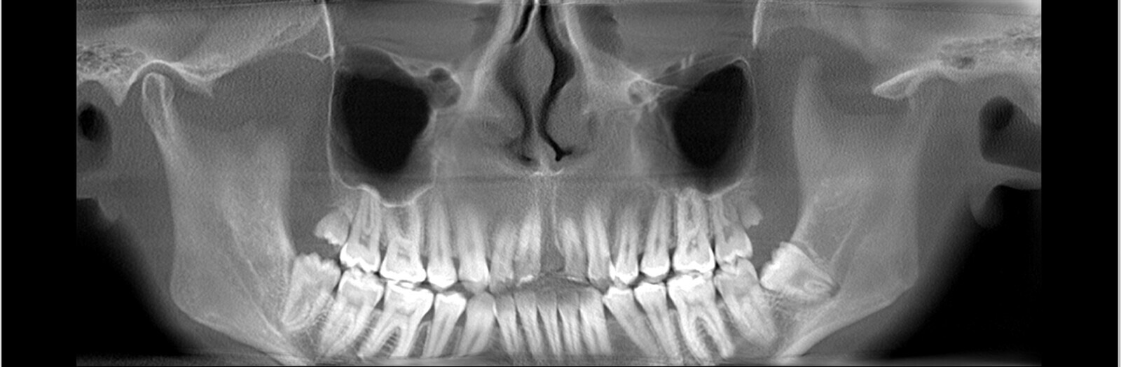
Ryc. 12_TK 18 miesięcy po zabiegu.
Ryc. 13_Kanał nerwu przysiecznego.