Search Dental Tribune

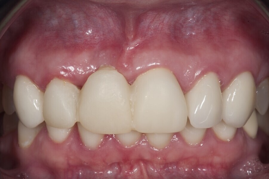
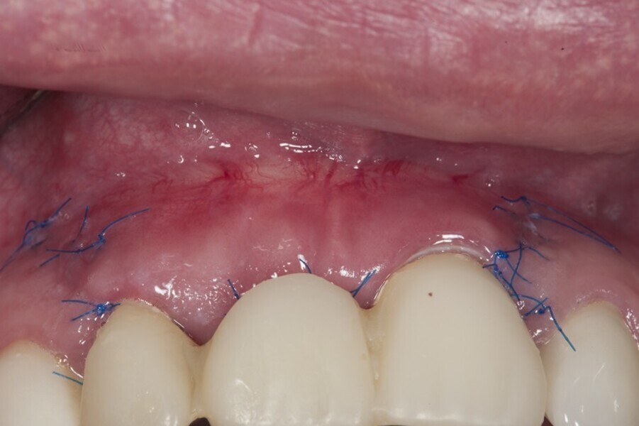
Biomodulacja laserem Nd:YAG z użyciem głowicy Genova®

advertisement