Prawidłowe pozycjonowanie implantu w zębodole poekstrakcyjnym może być utrudnione innym niż planowane łoże przebiegiem zębodołu, przegrodą kostną lub ubytkiem kostnym o niekorzystnej lokalizacji. Preparacja łoża i wszczepienie implantu poprzez szablon zawierający informację o kącie i głębokości osadzenia wszczepu pozwala na bardziej przewidywalne i sprawniejsze przeprowadzenie zabiegu.
41-letnia pacjentka zgłosiła się z powodu okresowych dolegliwości bólowych okolicy zęba 14. Ząb leczony był wiele lat temu endodontycznie i posiadał rozległą odbudowę kompozytową MOD. W badaniu nie stwierdzono patologicznej ruchomości zęba, nie był też on bolesny opukowo. Wykonano przeglądowe zdjęcie pantomograficzne (Ryc.1). Z uwagi na brak widocznych w rtg zmian patologicznych w okolicy zęba 14, wykonano wycinkową tomografie stożkową. Na podstawie pantomogramu zlokalizowano zmianę w tkankach OKW zęba 36 i nieprawidłowo położony ząb 38, o czym poinformowano pacjentkę z odpowiednimi zaleceniami. Analiza badania CBCT wykazała pęknięcie w dnie komory pomiędzy korzeniami zęba 14, co kwalifikowało ząb do ekstrakcji (Ryc. 2).
Oczekiwania pacjentki obejmowały jak najszybszą odbudowę zęba bez ingerencji w zęby sąsiednie.
Wstępnie zaplanowano ekstrakcję z natychmiastową implantacją oraz obciążeniem pracą tymczasową. Z uwagi na dopoliczkowe ustawienie korzenia policzkowego, ekstrakcja w takim przypadku może prowadzić do powstania fenestracji. Zaplanowana pozycja implantu pokrywa się z kolei z przegrodą międzykorzeniową, która również mogła ulec uszkodzeniu w czasie ekstrakcji lub preparacji łoża implantu.
Pacjentka została poinformowana o potencjalnych trudnościach i zaakceptowała następujące możliwości leczenia:
_Plan A: ekstrakcja + implantacja + obciążenie natychmiastowe koroną czasową,
Plan B: ekstrakcja + implantacja, bez pracy czasowej na implancie, w przypadku niewystarczającej stabilizacji pierwotnej implantu,
Plan C: ekstrakcja + procedura „socket preservation”, w przypadku niekorzystnych do implantacji warunków po ekstrakcji korzeni zęba 14; implantacja odroczona.
W celu odpowiedniego pozycjonowania wszczepu w przegrodzie międzykorzeniowej, podjęto decyzję o wykonaniu zabiegu z użyciem szablonu implantologicznego. Wstępne pozycjonowanie stożkowego implantu wykonano w oprogramowaniu CS 3D Imaging (Carestream Health Inc). Planowanie zabiegu, pozycjonowanie implantu i projekt szablonu wykonano z wykorzystaniem oprogramowania DDS-Pro (Ryc. 3).
Szablon stworzono tak, aby zabieg był w pełni nawigowany i wykonany kasetą Osstem Guide Kit Taper (Ryc. 4).
Przedstawiona procedura stworzenia szablonu wymaga posiadania danych z CBCT w formacie DICOM oraz skanu przestrzennego zębów pacjenta w formacie STL. Pliki DICOM uzyskujemy z tomografii stożkowej, a plik STL ze skanowania wewnątrzustnego u pacjenta lub skanowania przygotowanego z wycisku modelu gipsowego szczęki/żuchwy.
Przygotowanie szablonu
W przypadku korzystania ze skanera wewnątrzustnego, pliki DICOM i plik STL importowane są do oprogramowaniu DDS-Pro. W pierwszym kroku przestrzenny obraz kliniczny (STL) nakładany jest na obraz radiologiczny (DICOM). Jest to etap niezbędny do tego, aby szablon implantologiczny idealnie pasował do rzeczywistych warunków w jamie ustnej pacjenta. W prezentowanym przypadku przygotowano szablon osadzany na zębach pacjentki. Prawidłowe, stabilne i nieruchome osadzenie szablonu w czasie zabiegu jest kluczowe dla precyzji jego wykonania.
Oprogramowanie DDS-Pro pełni funkcję uniwersalnej przeglądarki plików DICOM z możliwością planowania zabiegów chirurgicznych i wytwarzania szablonów do druku 3D, ale przede wszystkim stanowi platformę wymiany informacji pomiędzy lekarzem, laboratorium protetycznym i pacjentem, niezależnie od odległości między nimi.
Gipsowy model został przesłany do centrum drukowania szablonów w Łodzi (Natrodent), gdzie został zeskanowany optycznie do formatu STL i połączony z plikami DICOM z CBCT, które zostały zaimportowane do oprogramowania DDS-Pro w Warszawie i zapisane jako „plik przypadku” na koncie użytkownika. Na bazie posiadanych danych lekarz wyznacza rozmiar i pozycję planowanego implantu i blokuje je hasłem. Lekarz określa też, jakiego systemu implantologicznego i jakich narzędzi będzie używał. Obsługa centrum drukowania szablonów do wyznaczonych przez lekarza warunków projektuje szablon. Praca obu stron jest widoczna na koncie użytkownika, co umożliwia kontrolę każdego jej etapu. Po zaakceptowaniu przez lekarza wirtualnego projektu szablonu, zostaje on przekonwertowany do docelowego pliku STL szablonu i przesłany do wydruku 3D. Jeżeli dysponujemy drukarką 3D odpowiedniej jakości szablon możemy wydrukować samodzielnie. Jeżeli nie, szablon drukowany jest w Łodzi i przesłany kurierem. W przesyłce zawsze znajdują się 2 takie same szablony, co zapewnia bezpieczeństwo podczas zabiegu i możliwość indywidualizacji szablonu w razie takiej potrzeby.
Procedura tworzenia szablonu wymaga 1 dnia na przesłanie wycisku do Łodzi, 1 dnia na projektowanie oraz wydruk i 1 dnia na przesłanie gotowego szablonu do lekarza. Przed zabiegiem szablon należy wysterylizować w autoklawie. Potrzebujemy więc 3 dni od pobrania wycisku do momentu, w którym można rozpocząć nawigowany zabieg implantologiczny.
Opis zabiegu
W prezentowanym przypadku wyjściowo pobrano wycisk szczęki pacjentki, z którego odlano model gipsowy. Szablon przygotowano do zastosowania implantu TSIII 4,5 x 10 o standardowej platformie i dla adekwatnej fabrycznej tulei głównej. Tuleję wprowadza się do szablonu na wcisk już po jego wydrukowaniu (Ryc. 5).
Przygotowanie farmakologiczne do zabiegu obejmowało antybiotykoterapię (Dalacin C 0,3 co 8 godz.) rozpoczętą 1 dzień przed zabiegiem i leki przeciwbólowe (Aulin co 12 godz. w razie bólu), przy czym pierwszą tabletkę pacjentka przyjęła 2 godz. przed zabiegiem. W znieczuleniu nasiękowym Ubistesin Forte nacięto ostrzem 15C szczelinę dziąsłową wokół korony zęba 14. W czasie luksowania zęba doszło do utraty rozległego wypełnienia. Uwidoczniona została szczelina złamania w dnie komory. Korzenie usunięto oddzielnie kleszczami korzeniowymi, a zębodoły wyłyżeczkowano. Podczas łyżeczkowania zębodołów stwierdzono nienaruszoną przegrodę międzykorzeniową oraz fenestrację blaszki policzkowej przy szczycie zębodołu policzkowego. Podjęto decyzję o konieczności zastosowania biomateriału ksenogenicznego wokół planowanego implantu. Po kontroli zębodołów szablon implantologiczny osadzono na zębach sąsiednich (Ryc. 6).
Wykorzystując wiertła z kasety Osstem Guide Kit Taper i odpowiadające im tuleje pośrednie, wypreparowano zgodnie z zaleceniami producenta łoże dla implantu 4,5 x 10 mm (Ryc. 7).
Implant TSIII 4,5 x 10 mm wszczepiono poprzez szablon na standardowym, fabrycznym przenośniku, którego średnica zewnętrzna odpowiada średnicy wewnętrznej tulei zainstalowanej na stałe w szablonie. Taka implantacja zapewnia utrzymanie zadanego kąta wprowadzenia implantu nawet w trudnych warunkach (przegroda). Przenośnik standardowy odkręcono i zamieniono na przenośnik kompatybilny, który posiada taką samą średnicę, ale dodatkowo zawiera kołnierz zapewniający wprowadzenie implantu na zaplanowaną wcześniej głębokość (Ryc. 8). Implant wprowadzono maszynowo z siłą 35 Ncm. Usunięto przenośnik i szablon. Założono śrubę zamykającą i zębodół policzkowy oraz przestrzeń wokół implantu uzupełniono ksenograftem Ryc. 9.
Po usunięciu śruby zamykającej do implantu przykręcono czasowy łącznik prosty wykonany z materiału PEEK (Osstem). Łącznik dostosowano na wysokość i bezpośrednio wykonano koronę czasową z materiałów kompozytowych. Koronę odkręcono i opracowano zewnątrzustnie, po czym zainstalowano ją na implancie, a otwór dostępowy zamknięto materiałem kompozytowym. Sprawdzono brak funkcji w zgryzie, wykonano RVG kontrolne (Ryc. 10 i 11).
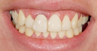
Po 14 dniach przeprowadzono wizytę kontrolną, podczas której stwierdzono prawidłowy przebieg gojenia (Ryc. 12). Ze względów osobistych, na dalsze leczenie pacjentka zgłosiła się dopiero po 14 miesiącach. Nie zgłaszała żadnych dolegliwości. Tkanki miękkie wokół korony czasowej były prawidłowo zaadoptowane (Ryc. 13), odkręcono więc koronę, zainstalowano transfer wyciskowy do łyżki otwartej, którego położenie skontrolowano zdjęciem RVG. Wycisk pobrano dwuwarstwowo, jednoczasowo masą silikonową Take 1 Advanced. Koronę czasową wypolerowano zewnątrzustnie i ponownie przykręcono do implantu (Ryc. 14). Laboratorium protetyczne wykonało – zgodnie z protokołem opisanym przez autorów w Implants 3/2105 – na standardowym łączniku prostym koronę kompozytową (Premis Indirect) zintegrowaną z łącznikiem (Ryc. 15). Po 7 dniach korona ostateczna została zainstalowana w jamie ustnej pacjentki. Koronę zintegrowaną z łącznikiem przykręcono z siłą 35 Nm, śrubę zabezpieczono taśmą teflonową. Tunel dostępowy zamknięto jedną, dużą warstwą materiału kompozytowego zaaplikowanego systemem Sonicfill 2 (Ryc. 16 i 17). Wykonano kontrolną tomografię stożkową, na której stwierdzono prawidłowe (Ryc. 18 i 19):
_pozycję implantu, zgodną z planowaniem,
_integrację implantu,
_położenie korony zintegrowanej z łącznikiem w implancie,
_szczelne i jednorodne wypełnienie kanału śruby łącznika.
Dyskusja i wnioski
Wirtualne planowanie zabiegów implantologicznych na podstawie CBCT jest już standardem. Czasami trudno jednak przenieść wyniki planowania do jamy ustnej pacjenta. Rozwiązaniem tego problemu może być zastosowanie szablonów implantologicznych. Odpowiednie planowanie z użyciem nowoczesnego oprogramowania i wydruków 3D pozwala na skrócenie czasu zabiegowego, większą przewidywalność i mniejsze ryzyko zabiegowe, a co za tym idzie mniejszy stres dla lekarza i pacjenta. Skrócenie czasu zabiegowego wpływa na lepsze gojenie i zmniejsza ryzyko powikłań.
W prezentowanym przypadku szablon umożliwił przeniesienie warunków wirtualnego planowania do zastosowania klinicznego. Dzięki temu zabieg przebiegł sprawnie i szybko, pozycja implantu była optymalna i umożliwiła stworzenie natychmiastowej korony na prostym łączniku tymczasowym. Korona czasowa stworzyła w okresie osteointegracji implantu optymalne warunki adaptacji tkanki miękkiej, co przyczyniło się do możliwości wykonania estetycznej pracy ostatecznej.
Do niedawna zastosowanie szablonu w implantologii łączyło się z dużymi kosztami i długim czasem oczekiwania na gotowy szablon przygotowywany za granicą. Zastosowany w opisanym przypadku protokół przygotowania szablonu wymaga 3 dni roboczych, nie jest skomplikowany, a koszty z nim związane pozwalają na zastosowanie go nie tylko do rozległych prac implantologicznych łącznie z bezzębiem, ale nawet do pojedynczej implantacji. Szablony projektowane w oprogramowaniu DDS-Pro mogą być, w zależności od potrzeb i sytuacji klinicznej, oparte na zębach, śluzówce lub kości. Na uwagę zasługuje też fakt, że oprogramowanie DDS-Pro jest polskiego autorstwa, a centrum wydruków znajduje się na terenie naszego kraju.
Autorzy:
Łukasz Zadrożny, Waldemar Ćwirzeń, Leopold Wagner
Zakład Propedeutyki i Profilaktyki Stomatologicznej Wydziału lekarsko- Dentystycznego WUM
Piotr Nagadowski
Laboratorium Protetyczne „Natrodent”
Piśmiennictwo:
1. Scott D, Ganz. Brain Guided Implant Surgery. Say No to Guided Surgery! Really? Published on July 29 on LinkedIn profile, 2016.
2. Zadrożny Ł, Pirog P, Jaroszewicz J, Ostrowska B, Wagner L, Swieszkowski W. Application of three dimensional printing in dentistry. Polish Journal of Environmental Studies 24(6A(2015):102-105, 2015.
3. Yun-feng L, Liang-wei X, Hui-yong Z, Sean Shih-Yao L. Technical procedures for template-guided surgery for mandibular reconstruction based on digital design and manufacturing, BioMedical Engineering OnLine.13, 63, 2014.
4. Cui X, Boland T, D’Lima DD, Lotz MK. Thermal Inkjet Printing in Tissue Engineering and Regenerative Medicine, Recent Pat Drug Deliv Formul. 6, 149-155, 2012.
5. Van Noort R. The future of dental devices is digital. Dent Mat. 28, 3-12, 2012.
Zabiegi implantacji w strefie estetycznej wymagają podejmowania decyzji dotyczących wyboru czasu implantacji, rodzaju wszczepu, technik chirurgicznych ...
Choroby przyzębia spędzają sen z oczu pacjenta i lekarza, a zwłaszcza zaawansowana ich postać, kiedy ruchomość zębów osiąga 3. stopień i wymusza ...
Stan pacjenta w chwili zgłoszenia
Pacjent lat 61 zgłosił się z powodu pionowego złamania pierwszego dolnego zęba trzonowego po prawej stronie (ząb ...
W poniedziałek 13 czerwca o godz. 20.00. DT Study Club zaprasza do udziału w webinarium na temat implantacji natychmiastowej w odcinku estetycznym. ...
Odcinek przedni szczęki jest szczególnie istotny nie tylko ze względów funkcjonalnych, ale również estetycznych. Utrata zęba w tym ...
Odcinek przedni szczęki jest szczególnie istotny nie tylko ze względów funkcjonalnych, ale również estetycznych. Utrata zęba w tym ...
Naukowcy z Politechniki Krakowskiej pracują nad bioaktywnym materiałem, z którego możliwe będzie drukowanie implantów kości dopasowanych do ...
Wiosna w Dental Skills Institute będzie pełna nowości! Zarządzanie tkankami miękkimi – najważniejsze procedury, implantologia nawigowana z zabiegami...
Najnowszym osiągnięciem w implantologii jest możliwość precyzyjnego pozycjonowania implantów w trójwymiarowej rekonstrukcji tkanki kostnej pacjenta ...
Uzupełnienia protetyczne na bazie tlenku cyrkonu, znane ze swojej trwałości i estetyki przypominającej naturalne zęby zyskały popularność w ciągu ...
Webinarium na żywo
wto. 19 maja 2026
5:00 (CET) Warsaw
Webinarium na żywo
wto. 19 maja 2026
7:00 (CET) Warsaw
Prof. Dr. med. dent. Ivo Krejci
Webinarium na żywo
śro. 20 maja 2026
1:00 (CET) Warsaw
Dr. Graham Carmichael BDSc (Hons), DClinDent (Pros), FRACDS, Dr. Robert Gottlander DDS
Webinarium na żywo
śro. 20 maja 2026
3:00 (CET) Warsaw
Webinarium na żywo
śro. 20 maja 2026
5:00 (CET) Warsaw
Webinarium na żywo
śro. 20 maja 2026
7:00 (CET) Warsaw
Prof. Dr. med. dent. Tim Joda PhD, MSc, eMBA
Webinarium na żywo
czw. 21 maja 2026
6:00 (CET) Warsaw
Dr. Leonardo Muniz DDS, MSC
To post a reply please login or register