Choroby przyzębia spędzają sen z oczu pacjenta i lekarza, a zwłaszcza zaawansowana ich postać, kiedy ruchomość zębów osiąga 3. stopień i wymusza podjęcie decyzji o ekstrakcji. Wciąż jeszcze panuje przekonanie, że paradontoza, która w swojej agresywnej postaci może być przyczyną utraty uzębienia nawet u osób stosunkowo młodych, a leczenie implantologiczne, które może przywrócić pacjentowi sprawność żucia jest trudne ze względu na dużą utratę substancji kostnej w obrębie wyrostków zębodołowych kości żuchwy i szczęki, wymaga rozległych zabiegów augmentacyjnych i wiąże się z długą niedyspozycją pacjentów.
Istnieją jednak doniesienia naukowe mówiące o tym, iż leczenie implantologiczne pacjentów dotkniętych chorobą przyzębia jest możliwe, a ryzyko nie jest większe niż u pozostałych. Pozbawienie tkanki kostnej szczęki lub żuchwy źródła infekcji wywołuje jej spontaniczną regenerację, a natychmiastowe odbudowa protetyczna chroni przed urazami zewnętrznymi, co umożliwia przebudowę powstałego w ubytkach kostnych skrzepu w kość.
W artykule przedstawiono przypadek 51-letniej pacjentki, która zgłosiła się do mojej praktyki jesienią 2017 r. z zaawansowaną chorobą przyzębia manifestującą się głównie w żuchwie. U pacjentki pojawiły się początkowe symptomy zapalenia stawów, dwucyfrowe OB i ogólne osłabienie. Z wywiadu wynikało, że jest ona leczona periodontologicznie od ponad 10 lat i dotąd nie zdołano zatrzymać postępującej choroby.
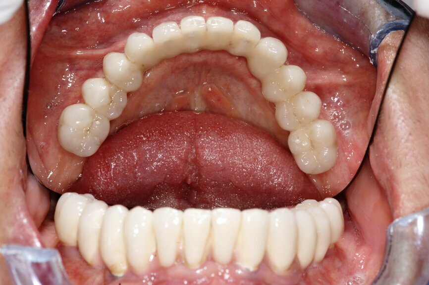
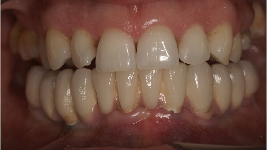
Badaniem wewnątrzustnym stwierdzono kieszenie o głębokości ponad 4 mm, wydzielinę ropną i krwawą, wskaźniki higieny wynosiły odpowiednio: API 25%, SBI 20%, wszystkie zęby w żuchwie wykazywały 3. stopień rozchwiania (Ryc. 1).
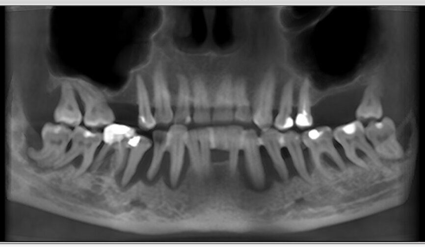
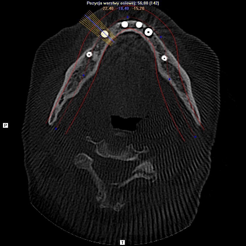
Wykonanie badania tomograficznego potwierdziło diagnozę o zaawansowanej nierokującej chorobie przyzębia (Ryc. 2). Po konsultacji została podjęta decyzja o ekstrakcji wszystkich zębów w żuchwie, natychmiastowym wprowadzeniu implantów z jednoczesną czasową odbudową protetyczna stałą mocowaną na wszczepionych implantach. Zlecono rutynowe badanie lekarskie i laboratoryjne.
Opis zabiegu
Dn. 18.09.2013 r. w znieczuleniu przewodowym zostały usunięte wszystkie zęby. Celem dokładnego usunięcia ziarniny przed ekstrakcją wykonano ucięcie wg Widmanna (Ryc. 3). Jednym z warunków powodzenia zabiegu jest dokładne usunięcie zmienionych chorobowo tkanek miękkich tak, by pozostawić zdrowe.
Implanty zostały wprowadzone wg zasady przylegania w cieniu, tzn. wszczep musi na całej swojej długości mieć kontakt z którąś ze ścian zębodołu 1-2 mm subkrestalnie (Ryc. 4). W przypadku konieczności użycia membrany, musi ona mieć możliwość rozpostarcia się nad ubytkiem kostnym i implantem tak, aby odległość pomiędzy membraną a wszczepem nie była mniejsza niż 2 m (Ryc. 3). Wszczepy o
charakterystyce agresywnej wprowadzono w okolice zębów: 36, 34, 32, 42, 44 i 46.
Powstałe w trakcie preparacji łóż wióry kostne zebrano kolektorem i
nasycono roztworem gentamycyny 40mg/ml, a następnie użyto do wypełnienia ubytków kostnych. Implanty zostały wprowadzone tak, aby uzyskać w dolnej 1/3 gwintu dobrą stabilizację – jest ona warunkiem powodzenia zabiegu i powinna wynosić co najmniej 30 Nc.
Wszczepy zostały zaopatrzone czasowymi łącznikami protetycznymi.
Ranę poekstrakcyjną zszyto szwami pojedynczymi nicią grubości 5,0. Silikonowe czapeczki łączników czasowych zostały umocowane w
przygotowanej wcześniej protezie czasowej metodą bezpośrednią. Czasowe uzupełnienie protetyczne osadzono, używając cementu tymczasowego (Ryc. 5 i 6). Zlecono wykonanie zdjęcia techniką CBCT (Ryc. 7). Wizytę kontrolną wyznaczono następnego dnia, a szwy zostały usunięte po 10 dniach.
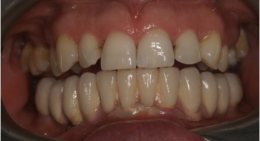
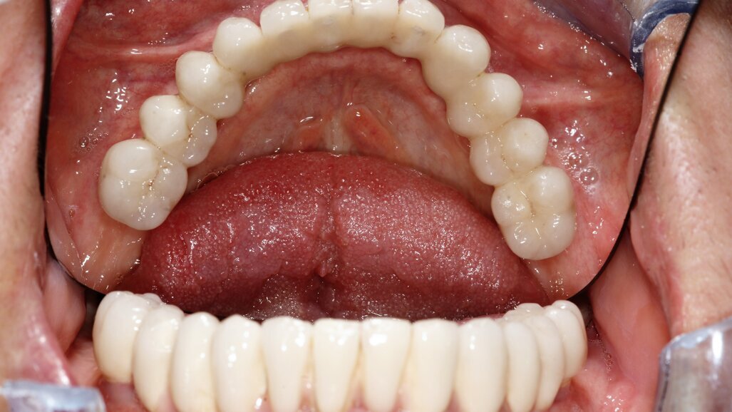
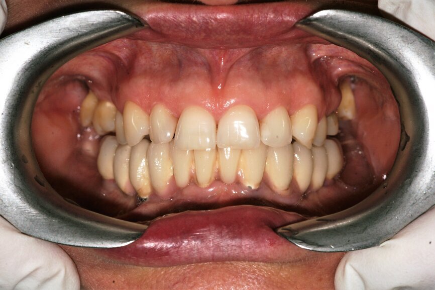
Po upływie 3 miesięcy czasowe uzupełnienie protetyczne (Ryc. 8) zostało wymienione na cementowaną pracę ostateczną (Ryc. 9),
zlecono też wykonanie kontrolnego zdjęcia CBCT i następnego po 12 miesiącach (Ryc. 10 i 11).
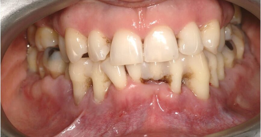
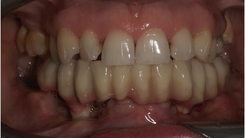
W kwietniu 2017 r. został wykonany status periodontologiczny pozostałego uzębienia i wszczepionych implantów (Ryc. 12) i ponowne badanie CBCT (Ryc. 13- 15). Stan 3 lata po zabiegu przedstawiono na rycinach 16-18. Pacjentka jest ujęta w programie Recall w cyklu 6-miesięcznym od dnia wykonania zabiegu.
Dyskusja i wnioski
Leczenie implantologiczne pacjentów z zaawansowana chorobą przyzębia metodą natychmiastowej implantacji i zaopatrzenia protetycznego mocowanego na wszczepach pozwala skrócić czas leczenia i niedyspozycji pacjentów dotkniętych tą chorobą, a także zredukować koszty. Stan wzbudzenia kości towarzyszący chorobom przyzębia wpływa korzystnie na spontaniczną jej regenerację.
Autorzy:
Dr n. med. Hubert Kubica, Dawid Kubica, Olga Petruszka
Dental Clinic
- Wyzwolenia 37a
43-300 Bielsko-Biała
Kontakt:
Tel.: (33) 810 04 03, 698 620 473
E-mail: recepcja@drkubica.pl
Piśmiennictwo:
- MG Araujo MG, Sukeleva F, Wennstrom J, Lindhe J. Clin Oral Implants Res. 2006 dec.615-624.
- Araujo MG, Wennstrom JL, Lindhe J. Clin Oral Implants Res. 2008 Dec; 17(6)606-14.
Tagi:
Celem artykułu było przedstawienie możliwości terapeutycznych wszczepu śruby bikortykalnej włoskiego lekarza Dino Garbaccia. Jako materiał kliniczny ...
Prawidłowe pozycjonowanie implantu w zębodole poekstrakcyjnym może być utrudnione innym niż planowane łoże przebiegiem zębodołu, przegrodą kostną...
Światowy Dzień Zdrowych Dziąseł, obchodzony na całym świecie 12 maja ma na celu zwrócenie uwagi na rosnące zagrożenia, jakie choroby dziąseł ...
Dorośli, u których stwierdzono obecność „złych” bakterii w tkankach przyzębia mają większe stężenie beta-amyloidu - kluczowego biomarkera ...
Zabiegi implantacji w strefie estetycznej wymagają podejmowania decyzji dotyczących wyboru czasu implantacji, rodzaju wszczepu, technik chirurgicznych ...
Ekstrakcja z natychmiastową implantacją, odbudową i obciążeniem stała się atrakcyjnym rozwiązaniem, spełniającym niektóre z wyzwań ...
Ekstrakcja z natychmiastową implantacją, odbudową i obciążeniem stała się atrakcyjnym rozwiązaniem, spełniającym niektóre z wyzwań ...
Odcinek przedni szczęki jest szczególnie istotny nie tylko ze względów funkcjonalnych, ale również estetycznych. Utrata zęba w tym ...
Odcinek przedni szczęki jest szczególnie istotny nie tylko ze względów funkcjonalnych, ale również estetycznych. Utrata zęba w tym ...
Wcześniejsze badania potwierdziły związek między zapaleniem przyzębia a przewlekłą chorobą nerek (PChN), ponieważ wykazały, że pacjenci z ...
Webinarium na żywo
czw. 30 kwietnia 2026
1:00 (CET) Warsaw
Dr. Renato Leonardo D.M.D.
Webinarium na żywo
czw. 30 kwietnia 2026
7:00 (CET) Warsaw
Webinarium na żywo
nie. 3 maja 2026
6:00 (CET) Warsaw
Dr. Rickard Brånemark MSc, MD, PhD, Dr. Robert Gottlander DDS
Webinarium na żywo
pon. 4 maja 2026
2:00 (CET) Warsaw
Webinarium na żywo
wto. 5 maja 2026
4:00 (CET) Warsaw
Webinarium na żywo
wto. 5 maja 2026
6:00 (CET) Warsaw
Webinarium na żywo
wto. 5 maja 2026
7:00 (CET) Warsaw
Dr. Maximilian Dobbertin M.Sc
To post a reply please login or register