Zabiegi implantacji w strefie estetycznej wymagają podejmowania decyzji dotyczących wyboru czasu implantacji, rodzaju wszczepu, technik chirurgicznych oraz analizowania uwarunkowań anatomicznych. Prezentowany przypadek jest ciekawy ze względu na wiele czynników ryzyka oraz zastosowane postępowanie.
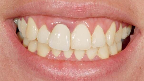
Pacjent zgłosił się do gabinetu z problemem dotyczącym prawego, centralnego siekacza w szczęce (Ryc. 1). Ząb był martwy od przeszło 10 lat. Leczono go kanałowo wiele lat wcześniej z powodu urazu. Zmiana jego barwy skłoniła pacjenta do poszukiwania rozwiązań estetycznych. Przed rokiem został przeprowadzony zabieg wybielania korzenia i części koronowej zęba. Pacjent był zadowolony z efektu, ale za namową lekarza poddał się zabiegowi koronowania zęba. Jednym z argumentów, który zaważył o wyborze tej metody leczenia była gwarancja dożywotniej trwałości i uzyskania znacznych walorów estetycznych. W badaniu wewnątrzustnym stwierdzono dużą ruchomość części koronowej zęba wskazującą na jego złamanie poniżej poziomu wyrostka kostnego, stan zapalny tkanek miękkich, wadliwą budowę korony i niedostateczny poziom estetyki. Patrząc na koronę od strony podniebiennej i siecznej (Ryc. 2) widać przekonturowanie kształtu, wynikające prawdopodobnie z niewystarczającego oszlifowania kikuta zęba. Zdjęcia rtg dostarczone przez pacjenta przedstawiały obraz zęba przed leczeniem protetycznym (Ryc. 3) i stan aktualny (Ryc. 4). Rozległe zmiany o charakterze resorpcji w obrębie korzenia napawały niepokojem. Obawiałem się znacznej utraty tkanek twardych oraz trudności w uzyskaniu zadowalającego efektu estetycznego leczenia. Resorpcja kości dużego stopnia sugerowała utratę bardzo delikatnej części kostnej podpierającej brodawki międzyzębowe. Jak zawsze, zależało mi na określeniu ryzyka i jakości efektu końcowego jeszcze przed rozpoczęciem leczenia.
embedImagecenter("Imagecenter_1_306",306, "large");
Do elementów ryzyka należały:
_wysoka linia uśmiechu (estetyka),
_stan zapalny (gojenie),
_resorpcja kości podpierającej brodawki międzyzębowe (gojenie i estetyka).
Przedyskutowałem z pacjentem możliwe opcje terapeutyczne i techniki leczenia. Ekstrakcja zęba nie podlegała dyskusji. Klasyczne rozwiązanie protetyczne w postaci mostu zostało już na wstępie odrzucone przez pacjenta ze względu na konieczność szlifowania zębów sąsiednich oraz wcześniejsze negatywne doświadczenie z leczenia siekacza centralnego. Metodą z wyboru pozostało więc leczenie implantologiczne. W przypadku pacjenta z wysoką dynamiką uśmiechu (Ryc. 5), każde zaburzenie wyglądu zębów i (lub) poziomu dziąseł jest od razu widoczne, dlatego starałem się wybrać i omówić z pacjentem postępowanie gwarantujące najlepszy, stabilny efekt leczenia.
1. Metoda podstawowa
_Ekstrakcja zęba łącznie z zabiegiem zarządzania kieszonką poekstrakcyjną
_Założenie mostu typu Maryland (uzupełnienie tymczasowe)
_Odbudowa wyrostka kością autogenną z jednoczasową implantacją techniką „Ring Graft” (po 8-12 tygodniach od ekstrakcji)
_Odbudowa protetyczna (po 4-6 miesiącach od etapu chirurgicznego)
2. Metoda alternatywna
W przypadku zaistnienia sprzyjających warunków przewidziano możliwość podjęcia próby implantacji natychmiastowej.
Jako najbardziej prawdopodobną określono metodę pierwszą. Po jej omówieniu, przedstawieniu ryzyka i kosztów pacjent zdecydował się na jej przeprowadzenie.
Po podaniu znieczulenia i odwarstwieniu więzadeł okrężnych, bardzo delikatnie usunąłem część koronową zęba. Była widoczna duża objętość tkanki ziarninowej w okolicy resorpcji (Ryc. 6 i 7). Po usunięciu pozostałej części korzenia zbadałem zębodół za pomocą sondy periodontologicznej. Ku mojemu zdumieniu, blaszka przedsionkowa zębodołu pozostała nienaruszona, a na powierzchniach stycznych w obrębie powierzchni korzeni zębów sąsiednich była wyczuwalna warstwa kości służąca do podparcia brodawek międzyzębowych. W zaistniałej sytuacji zdecydowałem się na przeprowadzenie implantacji natychmiastowej, mimo czynników stanowiących przeciwwskazanie do jej przeprowadzenia (stan zapalny).
Wybierając metodę leczenia zastanawiam się zawsze nad ryzykiem jakiego się podejmuję. Czym ryzykowałem w tym momencie? W najgorszym przypadku doszłoby do wczesnej utraty implantu, co skończyłoby się zastosowaniem terapii zgodnej z 1. metodą leczenia już omówioną z pacjentem. Poza ryzykiem niepowodzenia istniało jednak duże prawdopodobieństwo sukcesu. Zaletą implantacji natychmiastowej jest na pewno skrócenie czasu leczenia oraz podparcie istniejącej architektury tkanek miękkich wyrostka.
Chcąc uniknąć zwiększenia dodatkowego ryzyka resorpcji kości wynikającego z odsłonięcia płata okostnowo-śluzówkowego wybrałem technikę postępowania bezpłatowego. W celu osadzenia implantu w pozycji optymalnej w obrębie okna estetycznego, oś wiercenia wiertłem pilotowym przesunięto w kierunku dopodniebiennym (Ryc. 8). Po finalnym opracowaniu średnicy łoża kostnego wprowadziłem implant Ankylos C/X® A14 (średnica 3,5 mm, długość 14 mm). Implant ten, poza sprawdzonymi właściwościami (zachowanie stabilnego poziomu kości i tkanek miękkich) i budową kontrolowaną od 20 lat, został dodatkowo wyposażony w indeks wewnętrzny umożliwiający osadzenie łączników także mających indeks w 6. określonych pozycjach. W klasycznych łącznikach systemu Ankylos® nie ma elementów pozycjonujących jego położenie w implancie, dlatego też zachodzi konieczność wykonywania specjalnych kluczy akrylowych w celu ich precyzyjnego osadzenia w pożądanej pozycji. W celu łatwej oceny pozycji indeksu w implancie na instrumencie do wkręcania implantu są zaznaczone kropki. Każda z nich odpowiada pozycji indeksu względem przedsionka. Przy końcowym dokręcaniu implantu staram się, by jedna z kropek (dowolna), była zwrócona do przedsionka (Ryc. 9). Pozwoli to potem na optymalne ustawienie łącznika np. kątowego względem przedsionka. Implant został finalnie osadzony w pozycji optymalnej okna estetycznego (Ryc. 10 i 11). Po osadzeniu implantu odkręciłem nośnik implantu (Ryc. 12). Po jego wyjęciu była wyraźnie widoczna przestrzeń między powierzchnią implantu a blaszką przedsionkową oraz wnętrze implantu wraz z indeksem (Ryc. 13).
W celu zmniejszenia ryzyka zmiany kształtu wyrostka spowodowanego resorpcją blaszki przedsionkowej po ekstrakcji zęba, przestrzeń między implantem a blaszką przedsionkową wypełniono biomateriałem charakteryzującym się bardzo powolnym stopniem resorpcji Bio-Oss® (Ryc. 14). Bardzo dobra stabilizacja pierwotna implantu osiągnięta na etapie jego wprowadzenia miała wartość około 40 Ncm, co pozwoliło mi na podjęcie decyzji o zastosowaniu postępowania polegającego na wykonaniu obciążenia natychmiastowego niefunkcjonalnego implantu koroną tymczasową wyłączoną ze zgryzu. Wybrałem tytanowy łącznik kątowy 15° o wysokości przezdziąsłowej 3 mm (Ryc. 15). Na bazie tego łącznika wykonałem koronę tymczasową (Ryc. 16). Korona jest połączona z łącznikiem, dzięki czemu unikam potrzeby zastosowania cementu do jej osadzenia a całość (korona wraz z łącznikiem) jest przykręcana do implantu. Przy stosowaniu natychmiastowego obciążenia niefunkcjonalnego bardzo ważne jest całkowite wyłączenie ze zgryzu korony osadzonej na implancie. Kształt korony tymczasowej pozwala na podparcie tkanek miękkich (Ryc. 17 i 18). Zaraz po zabiegu największe obawy miałem co do zachowania poziomu brodawek międzyzębowych zwłaszcza brodawki dystalnej. Okazało się jednak, że ryzyko które podjąłem było tego warte. Po 3. miesiącach od zabiegu osiągnięto wynik przedstawiony zdjęciach (Ryc. 19, 20) i rtg pozabiegowym (Ryc. 21). Widać na nich zachowanie prawidłowej architektury wyrostka w wymiarze przedsionkowo-podniebiennym oraz układ tkanek miękkich. W celu uzyskania optymalnego układu tkanek miękkich korona tymczasowa została na etapie jej osadzania lekko spłaszczona w części przedsionkowej okolicy zenitu dziąsłowego. Ten prosty zabieg powoduje, że zostaje zmniejszony nacisk na tkanki miękkie i zwiększa się jej objętość. Kształt dziąsła w obrębie zenitu zostanie skorygowany jeszcze przed etapem tworzenia korony końcowej. Rekonstrukcja ostateczna zostanie wykonana po upływie 6. miesięcy od zabiegu. Przebieg jej powstawania i kształtowanie przedstawię w kolejnym artykule.
embedImagecenter("Imagecenter_1_306",306, "large");
script>
Prawidłowe pozycjonowanie implantu w zębodole poekstrakcyjnym może być utrudnione innym niż planowane łoże przebiegiem zębodołu, przegrodą kostną...
Stan pacjenta w chwili zgłoszenia
Pacjent lat 61 zgłosił się z powodu pionowego złamania pierwszego dolnego zęba trzonowego po prawej stronie (ząb ...
W poniedziałek 13 czerwca o godz. 20.00. DT Study Club zaprasza do udziału w webinarium na temat implantacji natychmiastowej w odcinku estetycznym. ...
Odcinek przedni szczęki jest szczególnie istotny nie tylko ze względów funkcjonalnych, ale również estetycznych. Utrata zęba w tym ...
Odcinek przedni szczęki jest szczególnie istotny nie tylko ze względów funkcjonalnych, ale również estetycznych. Utrata zęba w tym ...
Wiosna w Dental Skills Institute będzie pełna nowości! Zarządzanie tkankami miękkimi – najważniejsze procedury, implantologia nawigowana z zabiegami...
Choroby przyzębia spędzają sen z oczu pacjenta i lekarza, a zwłaszcza zaawansowana ich postać, kiedy ruchomość zębów osiąga 3. stopień i wymusza ...
Celem artykułu było przedstawienie możliwości terapeutycznych wszczepu śruby bikortykalnej włoskiego lekarza Dino Garbaccia. Jako materiał kliniczny ...
Zintegrowane implanty są najlepszą alternatywą dla odtworzenia częściowo lub całkowicie utraconego uzębienia, ale w wielu przypadkach nie ma ...
Najnowszym osiągnięciem w implantologii jest możliwość precyzyjnego pozycjonowania implantów w trójwymiarowej rekonstrukcji tkanki kostnej pacjenta ...
Webinarium na żywo
wto. 19 maja 2026
5:00 (CET) Warsaw
Webinarium na żywo
wto. 19 maja 2026
7:00 (CET) Warsaw
Prof. Dr. med. dent. Ivo Krejci
Webinarium na żywo
śro. 20 maja 2026
1:00 (CET) Warsaw
Dr. Graham Carmichael BDSc (Hons), DClinDent (Pros), FRACDS, Dr. Robert Gottlander DDS
Webinarium na żywo
śro. 20 maja 2026
3:00 (CET) Warsaw
Webinarium na żywo
śro. 20 maja 2026
5:00 (CET) Warsaw
Webinarium na żywo
śro. 20 maja 2026
7:00 (CET) Warsaw
Prof. Dr. med. dent. Tim Joda PhD, MSc, eMBA
Webinarium na żywo
czw. 21 maja 2026
6:00 (CET) Warsaw
Dr. Leonardo Muniz DDS, MSC
To post a reply please login or register