Najnowszym osiągnięciem w implantologii jest możliwość precyzyjnego pozycjonowania implantów w trójwymiarowej rekonstrukcji tkanki kostnej pacjenta uzyskiwanej dzięki cyfrowej diagnostyce 3D. Dostępne systemy nawigacyjne minimalizują ryzyko potencjalnych komplikacji podczas chirurgicznego i protetycznego etapu leczenia. Wpływają na przewidywalność pracy, dzięki czemu zwiększają bezpieczeństwo oraz minimalizują czas pracy lekarza. Jednocześnie pozwalają na małą inwazyjność wykonywanego zabiegu (niewielka traumatyzacja tkanki miękkiej i kostnej).
Planowanie nawigacyjne polega na wykonaniu zdjęcia CBCT, a następnie wprowadzeniu danych DICOM do programu nawigacyjnego oraz kolejno przyporządkowaniu krzywej panoramicznej do szczęki lub\i żuchwy. W żuchwie niezbędne jest wyznaczenie przebiegu nerwu zębodołowego dolnego, aby nie doszło do kolizji implantów z ważnymi strukturami anatomicznymi. W programie tym przeprowadza się wirtualny plan rozmieszczenia implantów, a następnie koron przyszłych zębów. Dzięki temu korony protetyczne można dopasować do sytuacji zgryzowej pacjenta oraz określić kątowość łączników.
Ponadto, istnieje możliwość zaplanowania, a tym samym wykonania uzupełnienia protetycznego tymczasowego, którym natychmiast po przeprowadzonym zabiegu implantacji pacjent zostaje zaopatrzony. W programie widać prawidłowe trójwymiarowe położenie wszystkich osi: osi implantu w wyrostku zębodołowym, osi implantu oraz osi przyszłej korony.
Aby wykonać szablon nawigacyjny, należy wprowadzić również do programu uprzednio zeskanowane modele diagnostyczne pacjenta w celu synchronizacji danych DICOM z modelami. Po wykonaniu wszystkich procedur przekazuje się informacje do druku.
Za pomocą drukarki 3D, pracownia drukuje szablon nawigacyjny wykonany z materiału termoplastycznego z tytanowymi tulejami znajdującymi się w miejscu położenia przyszłych implantów. Przedstawiona praca dotyczy małoinwazyjnej implantacji z użyciem szablonu 3D ICX MAGELLAN Safety Guide System.
Opis przypadku
Przypadek dotyczy 47-letniego, ogólnie zdrowego mężczyzny (badania krwi wykazały prawidłową morfologię krwi, frakcje cholesterolowe w normie oraz poziom wit. D3 bliski dolnej granicy normy).
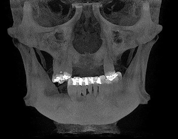
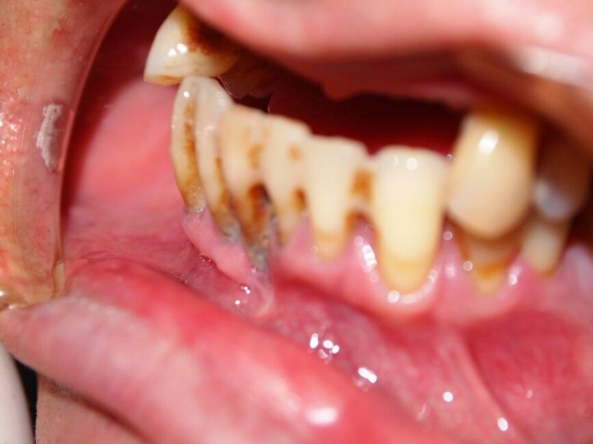
Wykonano CBCT, z którego wynikało, iż pacjent ma chorobę przyzębia. Zakwalifikowano wszystkie 10 zębów żuchwy do ekstrakcji. Zaplanowano zaopatrzenie pacjenta 8 implantami ICX oraz 5 implantami tymczasowymi Alpha Bio w celu wykonania pracy protetycznej tymczasowej bez obciążenia implantów docelowych ze względu na brak kontroli nad pacjentem w okresie wgajania implantów (zdjęcie CBCT oraz wewnątrzustne pacjenta). Za pomocą komputerowego systemu nawigacyjnego 3D został zaprojektowany szablon przytwierdzany 3 pinami do kości żuchwy w celu jego stabilizacji.
Zabieg wykonano w znieczuleniu ogólnym. Pobrano 72 ml krwi w celu uzyskania osocza bogatopłytkowego. Usunięto zęby paradontalne w żuchwie, a następnie umocowano szablon do kości żuchwy w 3 punktach: w linii pośrodkowej wyrostka oraz w okolicy 45 i 35, za pomocą wąskich pinów. Po sprawdzeniu prawidłowości osadzenia szablonu i nacięciu punchem śluzówki w wyznaczonych miejscach przez tuleje, zdjęto szablon w celu usunięcia wyciętej śluzówki.
Następnie przytwierdzono ponownie szynę i kolejnymi wiertłami zaopatrzonymi w stopery rozpoczęto preparację łoża dla implantów. Podczas pracy pozyskiwano kość własną pacjenta w celu późniejszej augmentacji. Po przygotowaniu wszystkich miejsc implantacyjnych przystąpiono do wprowadzenia wszystkich 8 implantów poprzez tuleje w szablonie, a następnie usunięto szablon z jamy ustnej pacjenta i założono śruby gojące. Kolejnym etapem pracy było wprowadzenie 5 implantów tymczasowych oraz zaopatrzenie zębodołów poekstrakcyjnych materiałem kostnym własnym pacjenta zmieszanym z materiałem ksenogennym i osoczem. Augmentat pokryto błonami PRF i zaszyto śluzówkę. Wprowadzono antybiotykoterapię. Wykonano zdjęcie CBCT kontrolne po zabiegu.
Wnioski
Najnowszym osiągnięciem w implantologii jest możliwość precyzyjnego pozycjonowania implantów w trójwymiarowej rekonstrukcji tkanki kostnej pacjenta uzyskiwanej dzięki cyfrowej diagnostyce 3D. Dostępne systemy nawigacyjne minimalizują ryzyko potencjalnych komplikacji podczas chirurgicznego i protetycznego etapu leczenia. Wpływają na przewidywalność pracy, a dzięki temu zwiększają bezpieczeństwo i minimalizują czas pracy lekarza. Jednocześnie pozwalają na małą inwazyjność wykonywanego zabiegu (niewielka traumatyzacja tkanki miękkiej i kostnej).
Dzięki planowaniu nawigacyjnemu, już przed zabiegiem, laboratorium protetyczne może wykonać tymczasową pracę protetyczną odzwierciedlającą pracę docelową. Jest to dużym udogodnieniem dla lekarza, laboratorium oraz pacjenta, który niejednokrotnie prowadzi aktywne życie zawodowe i nie ma możliwości długoterminowego wyłączenia z niego.
W opisanym przypadku bezpieczne było nieobciążanie natychmiastowo docelowych implantów, a zaopatrzenie implantami tymczasowym oraz wykonanie na nich pracy tymczasowej ze względu na to, iż w okresie wgajania pacjent nie mógł być pod kontrolą lekarza prowadzącego.
Artykuł ukazał się na łamach: Implantologia stomatologiczna, nr 1/2016.
Autorki:
Lek. dent. Ewa Ignaczak, lek. dent. Agnieszka Kalinowska
Niepubliczny Zakład Opieki Stomatologicznej
Centrum Stomatologii „Eskulap”
- Okrzei 1a/2
71-272 Szczecin
Kontakt:
Tel.: (91) 487 45 44
Piśmiennictwo:
- Whaitetrs E. Podstawy radiodiagnostyki stomatologicznej, red. TK Różyło, Warszawa 1994.
- Różyło-Kalinowska, Różyło TK. Tomografia wolumetryczna w praktyce stomatologicznej, Wyd. Czelej, 2011.
- Arlin ML, Immediate placement of osseointegrated dental implants into sockets: advantages and case reports, Oral Health 1992, 82:19-20, 24-24, 26.
Tagi:
Skuteczność wszczepiania implantów w bocznym odcinku bezzębnej szczęki i opartych na nich uzupełnień protetycznych może być obniżona przez ...
Skuteczność wszczepiania implantów w bocznym odcinku bezzębnej szczęki i opartych na nich uzupełnień protetycznych może być obniżona przez ...
Odcinek przedni szczęki jest szczególnie istotny nie tylko ze względów funkcjonalnych, ale również estetycznych. Utrata zęba w tym ...
Odcinek przedni szczęki jest szczególnie istotny nie tylko ze względów funkcjonalnych, ale również estetycznych. Utrata zęba w tym ...
Prawidłowe pozycjonowanie implantu w zębodole poekstrakcyjnym może być utrudnione innym niż planowane łoże przebiegiem zębodołu, przegrodą kostną...
Od kilku lat możemy obserwować bardzo dynamiczny rozwój implantologii. Wraz z postępem technologicznym i nieustającymi badaniami otrzymujemy ...
Technologia 3D oraz CAD/CAM są coraz częściej wykorzystywane do planowania operacyjnego leczenia szkieletowych wad zgryzu. Technologia 3D i CAD/CAM są ...
Mucocele to rodzaj obrzęku śluzówki spowodowanego przerwaniem przewodu gruczołu ślinowego i nagromadzeniem mucyny w otaczających tkankach ...
Autorzy przedstawiają przypadek wyrośla kostnego szczęki zlokalizowanego w obrębie wyrostka zębodołowego. Zmiana znacznych rozmiarów została ...
Celem niniejszej pracy jest przedstawienie na podstawie jednego przykładu możliwości leczenia implantologicznego bezzębia w szczęce i żuchwie z ...
Webinarium na żywo
czw. 30 kwietnia 2026
1:00 (CET) Warsaw
Dr. Renato Leonardo D.M.D.
Webinarium na żywo
czw. 30 kwietnia 2026
7:00 (CET) Warsaw
Webinarium na żywo
nie. 3 maja 2026
6:00 (CET) Warsaw
Dr. Rickard Brånemark MSc, MD, PhD, Dr. Robert Gottlander DDS
Webinarium na żywo
pon. 4 maja 2026
2:00 (CET) Warsaw
Webinarium na żywo
wto. 5 maja 2026
4:00 (CET) Warsaw
Webinarium na żywo
wto. 5 maja 2026
6:00 (CET) Warsaw
Webinarium na żywo
wto. 5 maja 2026
7:00 (CET) Warsaw
Dr. Maximilian Dobbertin M.Sc
To post a reply please login or register