67-letnia pacjentka zgłosiła się do gabinetu stomatologicznego w celu konsultacji w sprawie leczenia implantologicznego. W wywiadzie zgłaszała pewne problemy, w tym alergię na metale stosowane w stomatologii.
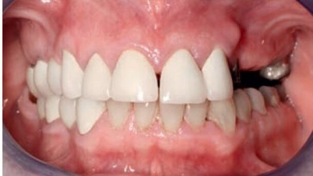
W chwili konsultacji, w badanej okolicy pacjentka miała niezadowalające korony w odcinku przednim oraz dowieszoną jednobrzeżnie protezę. Stwierdzono znaczne rozchwianie zębów filarowych w odcinku przednim. Kanały korzeniowe nie były prawidłowo przeleczone. Zęby były odbudowane za pomocą wkładów koronowo-korzeniowych i koron, które wielokrotnie się odcementowywały, prawdopodobnie na skutek obciążenia w postaci jednobrzeżnej dźwigni (Ryc. 1).
Stwierdzono bardzo złe rokowanie dla leczenia zachowawczego. W czasie konsultacji pacjentka stwierdziła, że wolałaby rozwiązanie oparte na implantach. Określiła także maksymalny akceptowalny koszt.
Planowanie leczenia
W celu optymalnej oceny początkowej sytuacji oraz zaplanowania dalszego leczenia, po badaniu klinicznym wykonano stomatologiczne zdjęcie pantomograficzne. Na podstawie tych badań zdecydowano, że metodą z wyboru będzie leczenie implantologiczne ze śródzabiegową oceną miejsca implantacji (Ryc. 2). Taki sposób postępowania uwzględniał minimalnie inwazyjną augmentację chirurgiczną. Leczenie miało obejmować usunięcie zębów, które nie kwalifikowały się do odbudowy z natychmiastowym wszczepieniem w tej okolicy implantów Straumann Bone Level. W okolicy zębów przedtrzonowych wszczepiono 2 implanty. Planowano poszerzenie wyrostka za pomocą techniki ekspansji kości oraz zastosowanie 2 implantów Straumann Standard Plus Narrow Neck CrossFit (NNC) wykonanych z materiału Roxolid w przypadku stwierdzenia niedostatecznej ilości kości na szerokość. Uzupełnienie protetyczne nie mogło zawierać składników uczulających. Zaplanowano wykonanie uzupełnienia protetycznego w systemie Straumann CARES System w pracowni znajdującej się na miejscu.
Postępowanie chirurgiczne
Ze względu na zaburzenia obkurczania, naczyń przed leczeniem zastosowano miejscowo środek znieczulający bez adrenaliny. Dodatkowo podano go jeden raz w trakcie zabiegu. Ekstrakcja siekacza przyśrodkowego i bocznego po lewej stronie przebiegła bez powikłań. Przeprowadzono cięcie wzdłuż grzbietu wyrostka, nieznacznie odsłaniając kość wyrostka i nie wykonując cięć zwalniających. Uwidoczniła się wtedy w pełni oczekiwana redukcja szerokości kości. Przeprowadzono ekspansję kości i wszczepiono 2 implanty NNC (Ryc. 3). Miejsca implantacji w okolicy zębów przedtrzonowych po lewej stronie przygotowano poprzez ręczne skrobanie kości do momentu uzyskania równej powierzchni. Uzyskane w ten sposób wióry kości autogennej wykorzystano później w celu augmentacji kości w okolicy lewego siekacza przyśrodkowego.
Po starannym przygotowaniu miejsca implantacji poprzez rozszerzenie kości (Ryc. 4) i nawierceniu łoża dla implantów, przeprowadzono staranne badanie opracowanej kości za pomocą rozszerzającej się sondy i mierników głębokości z zestawu chirurgicznego Straumann. Następnie wszczepiono 2 implanty NNC, wprowadzając je w kontrolowany sposób w nienaruszoną tkankę kostną (Ryc. 5). W okolicy pierwszego zęba przedtrzonowego zastosowano implant NNC SLActive o średnicy 3,3 mm i wysokości 14 mm. Zastosowano obniżoną czapeczkę gojącą NNC o wysokości 3 mm w celu zamknięcia implantu oraz wstępnego kondycjonowania tkanek miękkich. W okolicy drugiego zęba przedtrzonowego zastosowano implant NNC SLActive o średnicy 3,3 i wysokości 12 mm oraz dopasowaną śrubę zamykającą 3 mm.
Po zakończeniu tego etapu zabiegu odbudowano kości wyrostka w okolicy centralnej przedniego odcinka łuku. Następnie przeprowadzono natychmiastową implantację z użyciem implantu Straumann Bone Level o średnicy 4,1 mm i wysokości 10 mm, który zaopatrzono śrubą zamykającą Regular CrossFit Connection 0,5 mm. Ściany kości wyrostka były nienaruszone, implant wykazywał stabilizację pierwotną. Ponieważ podczas wyrównywania wyrostka zębodołowego w odcinku zębów przedtrzonowych szczęki uzyskano dostateczną ilość wiórów kości autogennej, wykorzystano ją jako wypełniacz przestrzeni w celu augmentacji kości. Przestrzeń pomiędzy powierzchnią zewnętrzną implantu a ścianą kostną zębodołu, która wymagała augmentacji, wynosiła 1-2 mm. Przeprowadzono pionową augmentację kości, uzyskując lekkie zachodzenie ze względu na zmianę platformy na poziomie kołnierza implantu. Odbudowę kości wokół bocznego zęba siecznego przeprowadzono z użyciem matrycy kolagenowej. Zaszyto obszar implantacji w odcinku przednim, uzyskując całkowite zamknięcie okolicy augmentacji. Śruba zamykająca była minimalnie obnażona na poziomie ok. 3 mm poniżej tkanek błony śluzowej i dziąsła. Zamknięcie tkanek miękkich na poziomie śruby zamykającej NNC sprzyjało przezdziąsłowemu gojeniu po implantacji (Ryc. 6). W trakcie zabiegu istniała możliwość łatwej oceny stopnia utrzymania różnych narzędzi stosowanych do implantacji (Ryc. 7). W celu oceny powodzenia zabiegu, w szczególności dostatecznego pokrycia implantów kością, przeprowadzono badanie CBCT, które miało zweryfikować prawidłowe stosunki pomiędzy implantami i kością. Oznaczało to możliwość bezpiecznej rezygnacji z dodatkowych metod augmentacji (Ryc. 8). Premedykacja przed zabiegiem obejmowała podanie antybiotyku w celu profilaktyki zapalenia wsierdzia. Przez jeden dzień po zabiegu pacjentka przyjmowała dodatkowo środki przeciwbólowe.
Odbudowa protetyczna
Po osadzeniu uzupełnienia tymczasowego i po upływie okresu gojenia, który przebiegał bez powikłań, odtworzono indywidualną architekturę dziąseł w odcinku przednim. W celu ułatwienia dalszego użytkowania protezy tymczasowej w okresie kondycjonowania tkanek miękkich, w naszej pracowni wykonano i skrócono łącznik tymczasowy Regular CrossFit Connection, przeprowadzając jego indywidualne dostosowanie do profilu tkanek miękkich za pomocą twardego tworzywa polimerowego (Ryc. 9-11). Wycisk do wykonania łącznika w odcinku zębów siecznych pobrano z założonym łącznikiem formującym dziąsło i z użyciem transferu wyciskowego Regular CrossFit Connection, tak aby uzyskać efekt odpowiadający temu indywidualnemu transferowi. Położenie implantów NNC odtworzono w wycisku (Ryc. 12) za pomocą gotowych fabrycznie transferów wyciskowych NNC. Ze względu na alergię pacjentki oraz na aspekty estetyczne, zdecydowano o zastosowaniu łączników tytanowych (Ryc. 13) w połączeniu z podbudową pod most na bazie tlenku cyrkonu, licowaną ceramiką (Ryc. 14 i 15). Łączniki tytanowe i most z tlenku cyrkonu zaprojektowano wirtualnie przy użyciu skanera Straumann CARES Scan CS2 we własnej pracowni protetycznej. Podbudowa została wykonana w centrum frezowania Straumann Milling Center w Lipsku.
Ze względu na odległość od powierzchni żujących zastosowano anatomiczne ukształtowanie powierzchni zwarciowej z tlenku cyrkonu, planując ją w sposób optymalny z użyciem oprogramowania systemu Straumann CARES System. Ze względów estetycznych przeprowadzono indywidualne licowanie, głównie w obrębie powierzchni przedsionkowych (Ryc. 16 i 17). Kontrolne zdjęcie radiologiczne, wykonane po zabiegu, potwierdziło prawidłowe położenie elementów protetycznych (Ryc. 18).
Podsumowanie
Pacjentka była bardzo zadowolona z efektów leczenia i ich stosunku do kosztów. Odpowiednio zaprojektowany profil wyłaniania, łączniki tytanowe i most z tlenku cyrkonu w pełni spełniły oczekiwania estetyczne w widocznych odcinkach. W razie utraty w przyszłości drugich zębów trzonowych pacjentka będzie chciała przeprowadzić odbudowę protetyczną powstałych braków skrzydłowych. Na podstawie prezentowanego przypadku pokazano, jak w przypadku niedostatecznej ilości kości, pracując w strefie estetycznej i wykorzystując technologię CAD/CAM i elementy wykonane z różnych materiałów, można zastosować implanty NNC, uzyskując bardzo pozytywne efekty._
Odbudowę protetyczną przeprowadził tech. dent. David Szymanski (etapy laboratoryjne).
Artykuł w wersji oryginalnej ukazał się w CAD/CAM 3/2013.
embedImagecenter("Imagecenter_1_1196",1196, "large");
Autor:
Dr Steffen A. Wolf uzyskał tytuł lekarza dentysty w 2000 r. w Department of Oral and Maxillofacial Surgery na Freie Universität Berlin pod kierunkiem prof. B. Hoffmeistera. Od 2000 r. pracował w prywatnej praktyce w Halberstadt w Niemczech. W 2010 r. uzyskał od DGI specjalizację w dziedzinie implantologii stomatologicznej. Z dr. Wolfem można się skontaktować, pisząc na adres e-mail: praxis@zahnimplantate-wolf.de, www.zahnimplantate-wolf.de
Leczeniu protetycznemu braków zębowych w odcinku przednim stawianych jest wiele wymagań nie tylko funkcjonalno-czynnościowych, ale także ...
Leczeniu protetycznemu braków zębowych w odcinku przednim stawianych jest wiele wymagań nie tylko funkcjonalno-czynnościowych, ale także ...
W ostatnich latach spotykamy się z bardzo dynamicznym rozwojem materiałów i technologii do wytwarzania stałych uzupełnień ceramicznych przy ...
W ostatnich latach spotykamy się z bardzo dynamicznym rozwojem materiałów i technologii do wytwarzania stałych uzupełnień ceramicznych przy ...
Drożny przewód nosowo-podniebienny (Patent Nasopalatine Duct – PNPD) jest najczęściej malformacją wykrywaną przypadkowo. Pacjenci, u ...
W artykule opisano przypadek późnej implantacji zęba 21 oraz natychmiastowej implantacji zęba 11 z natychmiastowym obciążeniem koroną ...
W artykule opisano przypadek późnej implantacji zęba 21 oraz natychmiastowej implantacji zęba 11 z natychmiastowym obciążeniem koroną ...
W artykule opisano przypadek późnej implantacji zęba 21 oraz natychmiastowej implantacji zęba 11 z natychmiastowym obciążeniem koroną ...
Implanty stomatologiczne od wielu lat sprawdzają się jako podparcie dla koron i mostów. Na podstawie aktualnych prac przeglądowych (Jung i wsp. ...
Implanty stomatologiczne od wielu lat sprawdzają się jako podparcie dla koron i mostów. Na podstawie aktualnych prac przeglądowych (Jung i wsp. ...
Webinarium na żywo
wto. 19 maja 2026
5:00 (CET) Warsaw
Webinarium na żywo
wto. 19 maja 2026
7:00 (CET) Warsaw
Prof. Dr. med. dent. Ivo Krejci
Webinarium na żywo
śro. 20 maja 2026
1:00 (CET) Warsaw
Dr. Graham Carmichael BDSc (Hons), DClinDent (Pros), FRACDS, Dr. Robert Gottlander DDS
Webinarium na żywo
śro. 20 maja 2026
3:00 (CET) Warsaw
Webinarium na żywo
śro. 20 maja 2026
5:00 (CET) Warsaw
Webinarium na żywo
śro. 20 maja 2026
7:00 (CET) Warsaw
Prof. Dr. med. dent. Tim Joda PhD, MSc, eMBA
Webinarium na żywo
czw. 21 maja 2026
6:00 (CET) Warsaw
Dr. Leonardo Muniz DDS, MSC
To post a reply please login or register