Leczeniu protetycznemu braków zębowych w odcinku przednim stawianych jest wiele wymagań nie tylko funkcjonalno-czynnościowych, ale także estetycznych. Odcinek przedni, widoczny podczas mowy i mimiki twarzy jest rejonem szczególnie trudnym w leczeniu ze względu na mnogość czynników składających się na efekt końcowy. O sukcesie można mówić w sytuacji uzyskania pełnej harmonii tkanek miękkich i twardych. W pracy opisano 3 przypadki kliniczne leczenia implantoprotetycznego w odcinku przednim.
Leczeniu protetycznemu braków zębowych w odcinku przednim stawia się wiele wymagań nie tylko funkcjonalno-czynnościowych, ale także estetycznych. Odcinek przedni, widoczny podczas mowy i mimiki twarzy, jest rejonem szczególnie trudnym w leczeniu ze względu na mnogość czynników składających się na efekt końcowy. O sukcesie można mówić w sytuacji uzyskania pełnej harmonii tkanek miękkich i twardych.1 Pojęcie estetyki biało-czerwonej podkreśla konieczność współgrania wyglądu tkanek miękkich wokół zrekonstruowanych protetycznie braków zębowych.
Wysokie wymagania estetyczne współczesnego pacjenta w połączeniu z aktualnymi możliwościami terapeutycznymi wymagają umiejętnego ustalenia planu leczenia, szczegółowego wyjaśnienia i możliwie dokładnej wizualizacji spodziewanego efektu końcowego. Stan jakościowy i ilościowy podłoża kostnego jest czynnikiem względnym w etapie planowania leczenia uwzględniającego wszczepy śródkostne. Obecnie istnieje możliwość uzupełnienia nawet rozległych pionowych i poziomych deficytów kostnych. Komplikuje to jednak oraz wydłuża tok postępowania leczniczego, a w skrajnych przypadkach ryzyko oraz stopień nieprzewidywalności zaawansowanych zabiegów rekonstrukcyjnych podważa ich sens i jest powodem wyboru alternatywnej metody leczenia.
Z uwagi na szeroki wybór technik rekonstrukcyjnych poprawy stanu podłoża protetycznego coraz szerzej dyskutowany jest termin „uporczywej terapii” lub „nadterapii” (ten pierwszy zapożyczony z medycyny ratunkowej). Oczywiście, niezmiernie rzadko zdarzają się przypadki wymagające skrajnie rozległych zabiegów rekonstrukcyjnych podłoża kostnego, ale autorzy pragną podkreślić konieczność rozważenia korzyści leczenia implantoprotetycznego w konfrontacji z przewidywalnością terapii i jej rokowaniem. Leczenie z użyciem wszczepów nie może być rutynową procedurą. Jest to wysokospecjalistyczna terapia, której efekty docelowe muszą znacznie przewyższać stopień ryzyka i niedogodności z nią związane. Leczenie implantoprotetyczne należy rozważyć w sytuacji, kiedy inne metody mogą okazać się bezwartościowe, możliwe będzie realne podniesienie komfortu i jakości użytkowania uzupełnień albo rozwiązania konwencjonalne wiązać się będą z dużą uciążliwością toku postępowania, np. szlifowanie wielu zębów zdrowych.2
Okres, jaki upłynął od momentu powstania braku zębowego ma wielokrotnie istotny wpływ na uzyskany efekt końcowy. Szybkie, od chwili powstania braku zębowego, wdrożenie leczenie determinuje wielokrotnie lepsze rokowanie ze względów funkcjonalnych i estetycznych. Fizjologiczne procesy przebudowy tkanek miękkich i twardych następujące z upływem czasu są dużym problemem w aspekcie harmonii biało-czerwonej. Zanikające brodawki dziąsłowe oraz zwężenie lub zupełny zanik strefy dziąsła skeratynizowanego stanowi duże wyzwanie dla lekarza praktyka.
Minimalny wymiar kołnierza zbitej tkanki dziąsłowej wokół wszczepu śródkostnego wynoszący 2 mm jest kluczowy w pozytywnym rokowaniu i długoczasowej stabilizacji uzyskanego efektu leczenia implantologicznego.3,4 Zachowanie tkanek zarówno twardych, jak i miękkich wokół wszczepu uzupełniającego brak pojedynczego zęba jest o wiele bardziej przewidywalne niż mnogie implantacje. Sąsiednie zęby, zapewniając podparcie dla brodawek dziąsłowych wywierają korzystny wpływ na zachowanie tkanek miękkich wokół wszczepu. W celu kształtowania dziąsła wokół późniejszej rekonstrukcji protetycznej już podczas etapu wgajania pomocne są śruby transgingiwalne standardowe lub coraz częściej indywidualnie formowane. Implantacja natychmiastowa pozwala na zachowanie brodawek dziąsłowych, nawet w przypadku mnogich ekstrakcji, wykonywanych w obrębie przedniego odcinka wyrostka zębodołowego szczęki. Wpływa to bardzo korzystnie na finalne efekty estetyczne wykonywanych uzupełnień protetycz nich.7
Odcinek przedni łuków zębowych jest wymagającym rejonem nie tylko ze względu estetycznych. Rozkład sił okluzyjnych, wektory ich przebiegu oraz stany artykulacyjne żuchwy powodują, że obszar ten znacząco różni się od odcinka bocznego pod względem biomechanicznym. W odcinku przednim siły działające na zęby mają przebieg głównie poziomy. Jest to związanie z ochronną funkcją zębów przednich w stosunku do zębów bocznych, ale także z przystosowaniem do fizjologicznej czynności polegającej do odgryzaniu (cięciu) kęsów pokarmowych. Korzystniejsze siły pionowe występujące w odcinku bocznym dają chociażby większą możliwość zastosowania uzupełnień typu BPR (inlay, onlay, endokorona) w tym rejonie. Zachodzenie nożycowe zębów górnych na dolne mieszczące się w zakresie 1/3 ich wysokości jest jednym z kluczy prawidłowej okluzji w układzie stomatognatycznym (US) człowieka. Wzajemne przekazywanie między siekaczami górnymi a dolnymi sił poziomych jest związanie pojęciem prowadzenia siecznego. Kąt międzysieczny, którego wartości fizjologiczne mieszczą się w zakresie 40-500 warunkuje istnienie tzw. przednich czynników kontrolujących ruchy żuchwy (Anterior Controlling Factors, Okeson). Tylnymi czynnikami kontrolującymi okluzję (PCF) są kąty nachylenia dróg stawów skroniowo-żuchwowych. Determinują one ruchy żuchwy i związaną z nimi okluzję w bocznym odcinkach łuków zębowych.
Szczególnie niekorzystne dla implantów śródkostnych jest obciążenie poziome. W odcinku przednim jest ono zjawiskiem nierozłącznym ze zwarciowymi stanami artykulacyjnymi żuchwy.6 Na pozycjonowanie wszczepów i kierunek łoża wpływ ma także niekorzystny sposób resorpcji tkanki kostnej w odcinku przednim. Nasilony zanik tkanek twardych od strony blaszki przedsionkowej wymusza dopodniebienną preparację łoża kostnego. Estetyka odcinka przedniego wymaga odpowiedniego podparcia tkanek miękkich oraz zapewnienia harmonii tego rejonu, co często wiąże się ze stosowaniem łączników kątowych, które dodatkowa zmieniają i tak już skomplikowane rozkłady sił okluzyjnych. Autorzy niniejszego opracowania pragną podkreślić mnogość czynników wpływających na docelowy efekt leczenia implantoprotetycznego w odcinku przednim.
Przypadek 1
Mężczyzna, l. 34 zgłosił się do kliniki z powodu braków międzyzębowych oraz ruchomości zębów przednich III0 (Ryc. 1 i 2). Po przeprowadzeniu wywiadu, badania i etapu diagnostycznego zaproponowano plan leczenia, który po zaakceptowaniu przez pacjenta zrealizowano. Terapia obejmowała: leczenie kanałowe zęba 13 wraz ze wzmocnieniem filaru wkładem koronowo-korzeniowym i preparacją pod koronę protetyczną, ekstrakcję zębów 12, 11, 21, 22 i 23 wraz z zaopatrzeniem natychmiastową protezą ruchomą (Ryc. 3).
Kolejny etap, po 6-miesięcznym okresie gojenia obejmował procedury chirurgiczne polecające na ekstrakcji zębów 15 i 14, implantacji natychmiastowej w pozycji 15 oraz implantacji w pozycjach zębów 11, 21, 23, 24 wraz z augmentacją deficytów kostnych materiałem kościozastępczym i błoną zaporową (Ryc. 4). W celu rejestracji położenia płaszczyzny OA w stosunku do osi zawiasowej stawów skroniowo-żuchwowych użyto arbitralny łuk twarzowy. Do ustalenia relacji centralnej (RC) wykorzystano wewnątrzustną rejestrację zwarcia funkcjagrafem wg Kleinrok, który razem z łukiem twarzowym i artykulatorem stał się Technicznym Zespołem Modelowych (Majewski).
W celu poprawy końcowego efektu estetycznego, po odsłonięciu implantów wykonano tymczasowy most kompozytowy, aby ukształtować rzekome brodawki dziąsłowe (Ryc. 5 i 6). Jako uzupełnienie docelowe wykonano 2, dzielone w linii pośrodkowej mosty metaloceramiczne cementowane na łącznikach standardowych (Ryc. 7).
Przypadek 2
Kobieta, l. 27 zgłosiła się w celu ekstrakcji przetrwałego mlecznego zęba 53. Zdjęcie ortopantomograficzne uwidoczniło zatrzymany w kości ząb 13. Pacjentka odbyła konsultację ortodontyczną. Ze względu na długi okres leczenia oraz niepewne rokowanie co do możliwości ortodontycznego sprowadzenia zatrzymanego kła do łuku, podjęto decyzję o leczeniu implantoprotetycznym. Wykonane badanie CT wykazało bardzo bliskie położenie zatrzymanego w kości zęba w stosunku do korzeni zębów siecznych (Ryc. 8).
Wstępny etap leczenia obejmował usunięcie zęba 13 z użyciem techniki piezoelektrycznej z następową augmentacją powstałej jamy kostnej oraz ekstrakcję zniszczonego procesem próchnicowym zęba 53 (Ryc. 9). Dzięki przedprotetycznemu leczeniu ortodontycznemu uzyskano wymaganą przestrzeni dla implantokorony.
Po 6-miesięcznym okresie wgajania implantu wykonano tymczasową koronę kompozytową osadzoną na tytanowym łączniku tymczasowym w celu ukształtowania profilu wyłaniania korony. Po 3-miesięcznym okresie użytkowania korony tymczasowej wykonano ostateczne uzupełnienie protetyczne – koronę całoceramiczna LAVA cementowaną na indywidualnym łączniku frezowanym z dwutlenku cyrkonu (Ryc. 10 i 11).
Przypadek 3
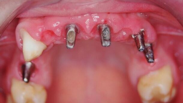
Mężczyzna, l. 44 zgłosił się w celu konsultacji z powodu problemów estetycznych i funkcjonalnych przedniego odcinka szczęki (Ryc. 12 i 13). Z powodu ruchomości zębów 12, 11, 21, 22 uniemożliwiających wykorzystanie ich w konwencjonalnej protetyce, podjęto decyzję o ich usunięciu. Jako rozwiązanie tymczasowe uzupełniające powstałe braki zębowe zastosowano natychmiastową protezą ruchomą o zredukowanej płycie podniebiennej.
Po okresie gojenia tkanek miękkich przystąpiono do zabiegu pogrążenia 3 wszczepów śródkostnych w pozycji zębów 12, 21, 22 wraz z jednoczasową augmentacją deficytów kości xenograftem z resorbowalną błoną zaporową (Ryc. 14 i 15). Pomimo wystarczającej ilości miejsca, nie zdecydowano się na wprowadzenie 4 wszczepów śródkostnych
i wykonanie 4 pojedynczych implantokoron. Podyktowane to było dużym prawdopodobieństwem powstania czarnych trójkątów, znacznie obniżających walory estetyczne uzyskanego efektu leczenia. W celu uzyskania satysfakcjonującego efektu estetycznego i funkcjonalnego, jako docelowe uzupełnienie protetyczne zastosowano 4-punktowy most metaloceramiczny cementowany na 3 standardowych łącznikach protetycznych (Ryc. 16 i 17).
Podsumowanie
Leczenie implantoprotetyczne daje ogromne możliwości rehabilitacyjne układu stomatognatycznego. Wszczepy śródkostne o kształcie śrubowym powinny zostać wykorzystane jako filary protetyczne w sytuacji, kiedy brak retencji i stabilizacji protez ruchomych będzie powodem dyskomfortu w użytkowaniu uzupełnień. Bez pomocy implantologii próba uzupełnienia braków międzyzębowych wiąże się z uciążliwym i destrukcyjnym szlifowaniem często zdrowych zębów. Szczególnie u młodych pacjentów jest to, z oczywistych względów, procedura kontrowersyjna.
Pojęcie minimalnej inwazyjności zabiegów oraz dobro pacjenta powinno być zawsze przestrzegane. Nie może mieć miejsca proceder celowego rezygnowania z zabiegów implantologicznych tylko z powodu braku ich wykonywania w danym gabinecie, do którego akurat zgłosił się pacjent. Z drugiej strony, mnogość czynników niepomyślnie rokujących w leczeniu implantologicznym powinna być zawsze skonfrontowana
z korzyściami dla pacjenta wynikającymi z toku postępowania leczniczego po to, aby uniknąć skomplikowanych, rozciągniętych w czasie procedur dających wątpliwe rokowanie co do docelowych uzupełnień.
embedImagecenter("Imagecenter_1_2254",2254, "large");
Piśmiennictwo:
1. Jivraj S, Chee W: Treatment planning of implants in the aesthetic zone, British Dental Journal, 2006, 201,77-89.
2. Koeck B, Wagner W: Implantoprotetyka, Ubran&Parter, Wrocław, 2004.
3. Amet EM, Management of unscheduled anterior tooth or prosthesis loss with extraction and immediate implant placement: a clinical report, J Oral Implantol., 2010, 36, 3, 209-17.
4. Buser D, Marcin W, Belser UC: Optimizing esthetics for implant restorations in the anterior maxilla: anatomic and surgical considerations, Int J Oral Maxillofac Implants, 2004, 19, 43-61.
5. Majewski S, Majewski P: Okluzja jako kluczowy problem w implantologii dentystycznej, Implantoprotetyka, 2009, tom X, 4, 37.
6. Review Occlusion on oral implants: current clinical guidelines.
7. Koyano K, Esaki D: Occlusion on oral implants: current clinical guidelines, J Oral Rehabil., 2015,42, 2,153-61.
7. Tutak M, Sporniak-Tutak K, Frączak B: Natychmiastowe obciążenie implantów, umieszczonych w zębodołach bezpośrednio po ekstrakcji zębów, Prot. Stom., 2006, LVI, 2.
Leczeniu protetycznemu braków zębowych w odcinku przednim stawianych jest wiele wymagań nie tylko funkcjonalno-czynnościowych, ale także ...
Ze względu na efektywność leczenia implantologia i implantoprotetyka stały się najnowocześniejszymi metodami leczenia braków zębowych, ...
W artykule przedstawiono sposób postępowania klinicznego w przypadku powikłania podczas rekonstrukcji implantoprotetycznej. Powikłanie w postaci ...
W artykule przedstawiono sposób postępowania klinicznego w przypadku powikłania podczas rekonstrukcji implantoprotetycznej. Powikłanie w ...
67-letnia pacjentka zgłosiła się do gabinetu stomatologicznego w celu konsultacji w sprawie leczenia implantologicznego. W wywiadzie zgłaszała pewne ...
U 50-letniej pacjentki stwierdzono brak uzębienia w odcinku przednim szczeki w strefie estetycznej przy istniejącej wadzie zgryzu kl. II wg Angle’a....
U 50-letniej pacjentki stwierdzono brak uzębienia w odcinku przednim szczeki w strefie estetycznej przy istniejącej wadzie zgryzu kl. II wg Angle’a....
Zastosowanie preparatów pochodzenia syntetycznego, odzwierzęcego oraz ludzkich posiada poważne ograniczenia w dużych ubytkach kostnych z powodu ...
Zaprezentowany przypadek pokazuje sposób wykonania stałego uzupełnienia protetycznego w sytuacji znacznego zaniku tkanki kostnej żuchwy. Użycie ...
Zaprezentowany przypadek pokazuje sposób wykonania stałego uzupełnienia protetycznego w sytuacji znacznego zaniku tkanki kostnej żuchwy. Użycie ...
Webinarium na żywo
śro. 15 kwietnia 2026
2:00 (CET) Warsaw
Dr. Bruce McFarlane Certified Specialist in Orthodontics Fellow: Royal College of Dentists of Canada Diplomate: American Board of Orthodontics
Webinarium na żywo
śro. 15 kwietnia 2026
8:00 (CET) Warsaw
Webinarium na żywo
czw. 16 kwietnia 2026
2:00 (CET) Warsaw
Linda Hecker MS, BSDH, RDH
Webinarium na żywo
czw. 16 kwietnia 2026
6:00 (CET) Warsaw
Dr. Pär-Olov Östman, Dr. Robert Gottlander DDS
Webinarium na żywo
pią. 17 kwietnia 2026
6:00 (CET) Warsaw
Webinarium na żywo
pią. 17 kwietnia 2026
7:00 (CET) Warsaw
Dr. Stuart Yeaton BDentSc, MOrth
Webinarium na żywo
pon. 20 kwietnia 2026
7:00 (CET) Warsaw
Dr. Alberto Monje DDS, MS, PhD
To post a reply please login or register