W artykule przedstawiono sposób postępowania klinicznego w przypadku powikłania podczas rekonstrukcji implantoprotetycznej. Powikłanie w postaci poprzecznego złamania korzenia zęba 12 naprawiono poprzez implantację natychmiastową. Pokazano długotrwały proces napełzania brodawki dziąsłowej wokół korony implantu.
W opisanym przypadku przedstawiono komplikacje podczas leczenia implantoprotetycznego 54-letniej, niepalącej pacjentki. Życzeniem kobietybyła wymiana istniejących koron protetycznych, których estetyka nie spełniała jej oczekiwań oraz zastąpienie mostów pojedynczymi koronami, co związane było z koniecznością zwiększenia liczby filarów poprzez wprowadzenie implantów śródkostnych.
embedImagecenter("Imagecenter_1_903",903, "large");
Rozpoznanie
Badanie kliniczne i radiologiczne wykazało niewielkie poziome zaniki kostne w obszarze szczęki i żuchwy, ogólna higiena obszaru jamy ustnej została oceniona jako dobra. Nie zaobserwowano ruchomości zębów, a kieszonki dziąsłowe nie zostały sklasyfikowane jako patologiczne.
Planowanie leczenia
Podjęto decyzję o implantacji w pozycjach #14, #24, #25, #35, #36 oraz #44. Zaplanowano wykonanie pojedynczych koron na podbudowie z tlenku cyrkonu. Dokonano rejestracji zwarcia przy pomocy łuku twarzowego, wykonano wax-up i przymiarki mock-up’u. Na ich podstawie przygotowane zostały szablony chirurgiczne.
Wykonano również korony tymczasowe (Empress Direct, Ivoclar Vivadent, Lichtenstein) celem weryfikacji prawidłowej okluzji oraz estetyki koron.
Procedura chirurgiczna i protetyczna
W oparciu o szablony chirurgiczne wprowadzono implanty Astra 4 mm (AstraTech AB, Szwecja) w pozycjach #14, #24, #25, #35, #36 oraz #44. Zaplanowano 12-tygodniowy okres gojenia. Pozostałe filary zębów zaopatrzono pojedynczymi pełnoceramicznymi koronami (e.max, Ivoclar Vivadent, Lichtenstein).
Po okresie gojenia wykonane zostały indywidualne łączniki hybrydowe (tytanowa baza i filar z dwutlenku cyrkonu), na których zostały zacementowane korony na podbudowie z ZrO2.
Komplikacja
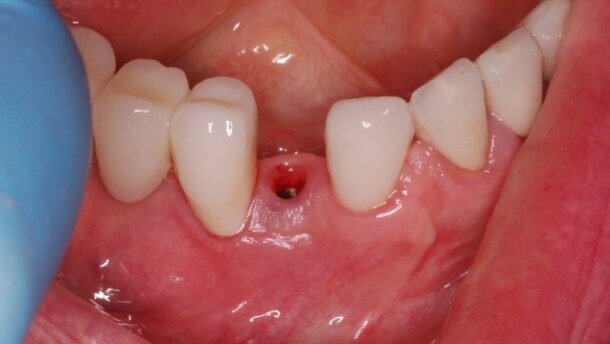
Po upływie 22 miesięcy od wykonania finalnej rekonstrukcji protetycznej doszło do poprzecznego pęknięcia korzenia zęba #12. Podjęto decyzję o natychmiastowej implantacji w tym miejscu. Wybrano poddziąsłowy protokół gojenia. Pacjentka nie wyraziła zgody na wykonanie przeszczepu łącznotkankowego celem zwiększenia objętości dziąsła związanego w okolicy przyszyjkowej implantu.
Procedura chirurgiczna
Odsłonięcia struktur kostnych dokonano poprzez wykonanie nacięcia poprowadzonego podniebiennie od szczytu wyrostka bez wykonywania horyzontalnych cięć odbarczających. Wprowadzony został implant Astra 3,5 mm (AstraTech AB, Szwecja), a powstała od strony przedsionkowej dehiscencja i fenestracja została pokryta materiałem BioOss (Geistlich Pharma, Szwajcaria) oraz membraną resorbowalną BioGide. Rana została zaszyta szwami pojedynczymi.
Zaplanowano 16-tygodniowy okres gojenia. Na czas gojenia wykonano odbudowę tymczasową, wykorzystując koronę z utraconego filaru.
Procedura protetyczna
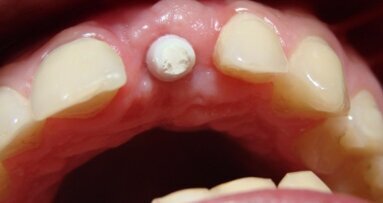
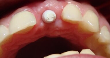
Ryciny pokazują sytuację po odsłonięciu implantu i 2-tygodniowym okresie gojenia z wykorzystaniem śruby gojącej. Na implancie wykonano koronę tymczasową z kompozytu, co umożliwiło jej łatwą modyfikację w gabinecie. Stwierdzono prawie 2 mm recesję dziąsła oraz brak brodawek dziąsłowych przy zębach sąsiednich.
Przez kolejne 12 tygodni modyfikowano koronę tymczasową. Przez pierwsze 2 tygodnie dodawano niewielkie ilości materiału celem kompresji tkanki dziąsłowej wokół implantu. Następnie stopniowo usuwano materiał, wytwarzając miejsce na napełzanie tkanki dziąsłowej wokół korony. Czynność taką wykonywano raz w tygodniu. Proces nadpełzania brodawki w przestrzenie pomiędzy koronami jest widoczny, zależy jednak w głównej mierze od istnienia podparcia kostnego przy sąsiednich filarach oraz odpowiedniego położenia punktów stycznych.
Na rycinach przedstawiono sytuację kliniczną w 18 miesięcy po wykonaniu implantacji – widoczne są w pełni uformowane brodawki dziąsłowe wokół implantu.
Autorzy:
lek. stom. Michał Pelc – doktorant z Zakładu Chirurgii Stomatologicznej, Warszawski Uniwersytet Medyczny.
prof. dr hab. n. med. Andrzej Wojtowicz – Kierownik Zakładu Chirurgii Stomatologicznej, Warszawski Uniwersytet Medyczny.
W artykule przedstawiono sposób postępowania klinicznego w przypadku powikłania podczas rekonstrukcji implantoprotetycznej. Powikłanie w postaci ...
Ze względu na efektywność leczenia implantologia i implantoprotetyka stały się najnowocześniejszymi metodami leczenia braków zębowych, ...
W niniejszym artykule przedstawiono wybrane przypadki leczenia implantoprotetycznego z wykorzystaniem systemu BEGO Semados z praktyki autora oraz ...
W niniejszym artykule przedstawiono wybrane przypadki leczenia implantoprotetycznego z wykorzystaniem systemu BEGO Semados z praktyki autora oraz ...
Leczeniu protetycznemu braków zębowych w odcinku przednim stawianych jest wiele wymagań nie tylko funkcjonalno-czynnościowych, ale także ...
Leczeniu protetycznemu braków zębowych w odcinku przednim stawianych jest wiele wymagań nie tylko funkcjonalno-czynnościowych, ale także ...
Celem niniejszej pracy jest przedstawienie na podstawie jednego przykładu możliwości leczenia implantologicznego bezzębia w szczęce i żuchwie z ...
W niniejszej pracy opisano etapy wykonania rekonstrukcji implantoprotetycznej brakującego siekacza przyśrodkowego lewego u 23-letniego pacjenta z ...
W niniejszej pracy opisano etapy wykonania rekonstrukcji implantoprotetycznej brakującego siekacza przyśrodkowego lewego u 23-letniego pacjenta z ...
Od kilku lat możemy obserwować bardzo dynamiczny rozwój implantologii. Wraz z postępem technologicznym i nieustającymi badaniami otrzymujemy ...
Webinarium na żywo
pią. 16 stycznia 2026
6:00 (CET) Warsaw
Webinarium na żywo
pon. 19 stycznia 2026
7:00 (CET) Warsaw
Philipp Kopp, Michael Seeber
Webinarium na żywo
czw. 22 stycznia 2026
3:00 (CET) Warsaw
Prof. Judith Jones D.D.S; M.P.H., Prof. Kakuhiro Fukai D.D.S., Ph.D, Dr. Bathsheba (Bethy) Turton
Webinarium na żywo
czw. 22 stycznia 2026
8:00 (CET) Warsaw
Dr. Nicola M. Grande DDS, PhD
Webinarium na żywo
śro. 28 stycznia 2026
2:00 (CET) Warsaw
Webinarium na żywo
śro. 28 stycznia 2026
5:00 (CET) Warsaw
Prof. Dr. Jan-Frederik Güth
Webinarium na żywo
śro. 28 stycznia 2026
5:00 (CET) Warsaw
Dr. Algimante Lošytė – Jančė
To post a reply please login or register