W niniejszej pracy opisano etapy wykonania rekonstrukcji implantoprotetycznej brakującego siekacza przyśrodkowego lewego u 23-letniego pacjenta z rozpoznaniem: Majewski gr I, Eichner gr A2, Galasińskia-Landsberger – szczęka kl II.
Braki zębowe powodują zaburzenia zwarcia i estetyki. W efekcie zaburzeniu ulega cała harmonia układu stomatognatycznego, dlatego bezwzględnie konieczne jest ich uzupełnienie. Braki można uzupełnić klasycznymi protezami stałymi, lecz wiąże się to z oszlifowaniem zębów okalających lukę, często zupełnie zdrowych. Alternatywą jest leczenie implantoprotetyczne. Wykorzystanie implantów do odtworzenia brakujących zębów daje możliwości nieosiągalne konwencjonalnymi metodami protetycznymi. Wskazania do implantacji wynikają z indywidualnych uwarunkowań klinicznych, w tym głównie celów protetycznych – wartości nadrzędnej, z równoczesnym uwzględnieniem oczekiwań pacjenta. Metoda jest sprawdzona, wszczepy dentystyczne obecnie charakteryzują się ok. 98% przeżywalnością. Techniki i metody wykonania suprastruktury implantoprotetycznej opierają się w większości na koncepcjach zapożyczonych z protetyki tradycyjnej.
Przypadek kliniczny
Ok. 14 miesięcy przed zgłoszeniem się do mojego gabinetu, u pacjenta przeprowadzono zabieg operacyjnego usunięcia zęba 21. Jako uzupełnienie tymczasowe wykonano protezę akrylową. Docelowo zaproponowano pacjentowi uzupełnienie braku 21 mostem PROCERA® 11 0 22, z uwagi na niedobór tkanek twardych i miękkich, jaki powstał po zabiegu (położenie 21 przedstawiono na rycinach 0-000) oraz relatywnie szybką możliwość uzupełnienia braku klasycznym mostem. Wspomniano też o leczeniu implantologicznym. Pacjent wybrał drugi wariant i został skierowany do mojej praktyki celem określenia możliwości wykonania takiego leczenia.
Przeprowadzono badanie podmiotowe i przedmiotowe pacjenta. Nie stwierdzono ogólnych przeciwwskazań do leczenia implantologicznego. Dokładna analiza stanu miejscowego, modeli i zdjęć wykazała, że możliwe jest wykonanie rekonstrukcji implantoprotetycznej 21. Niedostatek tkanek miękkich i twardych tej okolicy uznano za możliwy do odtworzenia w stopniu, który zapewniałby optymalny rezultat, uwzględniając zarówno oczekiwania pacjenta co do estetyki przyszłego uzupełnienia, jak i przebiegu leczenia.
Planowanie leczenia
Zaplanowano leczenie etapowe i podzielono je nastepująco:
I. Rekonstrukcja tkanek miękkich okolicy 21 przeszczepem łącznotkankowym z podniebienia twardego pacjenta.
II. Rekonstrukcja tkanek twardych.
III. Implantacja 21.
IV. Wykonanie docelowej suprastruktury implantoprotetycznej (z ewewentualnym kształtowaniem dziąsła).
Pacjent zaakceptował plan i metodykę działania.
Przebieg leczenia
W etapie I z podniebienia (okolice 24/26) pobrano przeszczep łącznotkankowy (zgodnie z procedurą). Powstały ubytek w podniebieniu uzupełniono materiałem JasonFleece®. Następnie w okolicy 21 rozwarstwiono tkanki miękkie (tzw. split thickness flap) i wszyto przeszczep (wg Tarnow D, Stappert Ch). W II etapie, ok. 4 miesięcy po wykonaniu rekonstrukcji tkanek miękkich, wykonano zabieg augumentacji okolic 21 (zgodnie z obowiązującymi standardami). Zastosowano materiały Maxresorb® + JasonMembrane®. Po ok. 7 miesiącach po zabiegu osadzono implant SEMADOS 3.25x13 zgodnie z protokołem chirurgicznym (etap III). W etapie IV (ok. 6 miesięcy od poprzedniego zabiegu) implant odsłonięto, dokręcono śrubę gojącą i dostosowano uzupełnienie tymczasowe. Po ok. 2 tygodniach od chwili odsłonięcia implantu wykonano wyciski metodą otwartą (transfery pick-up, masa Express XT w systemie Pentamix). Procedura rejestracji i przeniesienia zwarcia przebiegała rutynowo – wykorzystano artykulator Stratos 200 i łuk twarzowy Ivoclar-Vivadent. Pamiętając o oczekiwaniach pacjenta w zakresie estetyki uzupełnienia, zaplanowano pracę cementowaną – korona PROCERA® na łączniku indywidualnym z tlenku cyrkonu.
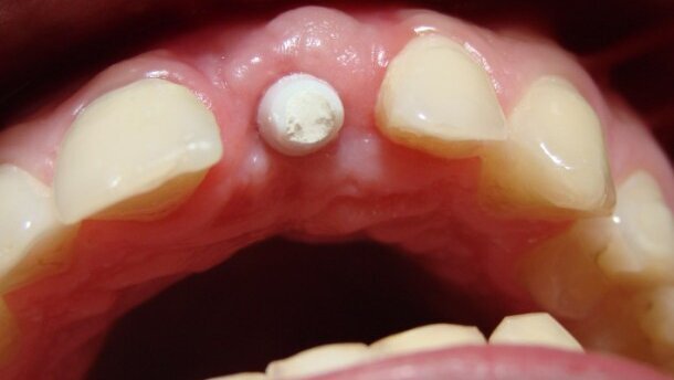
Gotową pracę poddano symulacji okluzyjnej w artykulatorze Stratoss 200. Kontrola w warunkach klinicznych wykazała, że uzyskano poprawne kontakty zwarciowe. Implantokoronę osadzono na Temp-Bond. Śrubę łącznika uprzednio dokręcono z zalecanym przez producenta momentem obrotowym, a głowę śruby łącznika protetycznego zabezpieczono Coltosolem. Pacjent zaakceptował estetykę wykonanego uzupełnienia protetycznego (Ryc. 1-6). Rutynowym kontrolom poddawany był co 6 miesięcy.
Stan kliniczny po 3 latach po zakończeniu leczenia ilustrują ryciny A-D. Kontrolne zdjęcie OPG (Ryc. E, F) pokazuje bardzo dobrą przebudowę przeszczepu kostnego – praktycznie nie widać różnicy w strukturze kości).
embedImagecenter("Imagecenter_1_616",616, "large"); ">">script>
Wnioski
W przypadku deficytu tkanek miękkich i twardych należy pamiętać o postępowaniu etapowym – „szybciej” nie zawsze znaczy „lepiej”. System implantologiczny SEMADOS® dysponuje wystarczającymi możliwościami i można go wykorzystywać z powodzeniem w podobnych przypadkach klinicznych. Preparat Maxresorb® , JasonMembrane®, JasonFleece® w procedurach augumentacji i rekonstrukcji tkanek miękkich to interesująca alternatywa dla innych dostępnych na rynku materiałów. Suprastruktury pełnoceramiczne odznaczają się bardzo dobrą estetyką i warto polecać je pacjentom, zwłaszcza w tzw. odcinku estetycznym.
Podsumowanie
Na optymalną estetykę rekonstrukcji implantoprotetycznej mają wpływ nie tylko umiejętności protetyka i współpracującego z nim technika dentystycznego. Bardzo ważne jest właściwe wprowadzenie implantu względem zębów sąsiednich oraz wyrostka zębodołowego – ma to ogromne znaczenie w uzyskaniu optymalnego wyniku leczenia. Lekarz osadzający implanty powinien mieć dużą wiedzę o leczeniu protetycznym, albo ściśle współpracować z innym lekarzem wykonującym w późniejszym etapie uzupełnienie protetyczne i posiadającym taką wiedzę. Leczenie należy dokładnie przemyśleć i zaplanować, uwzględnić możliwości lekarza i zespołu. Gdy istnieją wątpliwości, należy bez wahania zwrócić się o pomoc do doświadczonego kolegi, aby później uniknąć niepotrzebnych komplikacji i stresów.
Autor:
Paweł Frączak – lekarz dentysta, specjalista protetyki stomatologicznej, prowadzi
praktykę prywatną w Warszawie. Z dr. Frączakiem można się skontaktować, pisząc na adres: 02-765 Warszawa, Al.Wilanowska 105/40 lub e-mail: ortoimplant@gmail.com.
W niniejszej pracy opisano etapy wykonania rekonstrukcji implantoprotetycznej brakującego siekacza przyśrodkowego lewego u 23-letniego pacjenta z ...
Celem niniejszej pracy jest przedstawienie na podstawie jednego przykładu możliwości leczenia implantologicznego bezzębia w szczęce i żuchwie z ...
W artykule przedstawiono sposób postępowania klinicznego w przypadku powikłania podczas rekonstrukcji implantoprotetycznej. Powikłanie w postaci ...
W artykule przedstawiono sposób postępowania klinicznego w przypadku powikłania podczas rekonstrukcji implantoprotetycznej. Powikłanie w ...
Od kilku lat możemy obserwować bardzo dynamiczny rozwój implantologii. Wraz z postępem technologicznym i nieustającymi badaniami otrzymujemy ...
W niniejszym artykule przedstawiono wybrane przypadki leczenia implantoprotetycznego z wykorzystaniem systemu BEGO Semados z praktyki autora oraz ...
W niniejszym artykule przedstawiono wybrane przypadki leczenia implantoprotetycznego z wykorzystaniem systemu BEGO Semados z praktyki autora oraz ...
Mucocele to rodzaj obrzęku śluzówki spowodowanego przerwaniem przewodu gruczołu ślinowego i nagromadzeniem mucyny w otaczających tkankach ...
Autorzy przedstawiają przypadek wyrośla kostnego szczęki zlokalizowanego w obrębie wyrostka zębodołowego. Zmiana znacznych rozmiarów została ...
Ze względu na efektywność leczenia implantologia i implantoprotetyka stały się najnowocześniejszymi metodami leczenia braków zębowych, ...
Webinarium na żywo
wto. 19 maja 2026
5:00 (CET) Warsaw
Webinarium na żywo
wto. 19 maja 2026
7:00 (CET) Warsaw
Prof. Dr. med. dent. Ivo Krejci
Webinarium na żywo
śro. 20 maja 2026
1:00 (CET) Warsaw
Dr. Graham Carmichael BDSc (Hons), DClinDent (Pros), FRACDS, Dr. Robert Gottlander DDS
Webinarium na żywo
śro. 20 maja 2026
3:00 (CET) Warsaw
Webinarium na żywo
śro. 20 maja 2026
5:00 (CET) Warsaw
Webinarium na żywo
śro. 20 maja 2026
7:00 (CET) Warsaw
Prof. Dr. med. dent. Tim Joda PhD, MSc, eMBA
Webinarium na żywo
czw. 21 maja 2026
6:00 (CET) Warsaw
Dr. Leonardo Muniz DDS, MSC
To post a reply please login or register