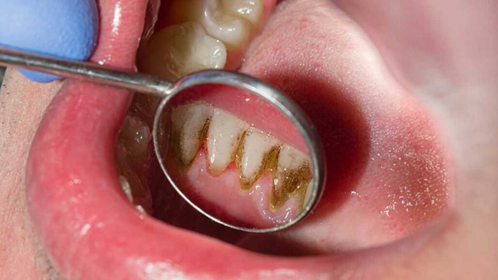
Walka z płytką nazębną to długotrwała bitwa. Naukowcy z University of Pennsylvania opracowali mikroroboty kierowane przez magnesy, które mogą rozbijać i usuwać biofilm powstający na zębach. Innowacja powstała w wyniku interdyscyplinarnej współpracy między dentystami, biologami i inżynierami.
Główny badacz, prof. Hyun Koo z University of Pennsylvania School of Dental Medicine (Penn Dental Medicine) powiedział, że to odkrycie jest wynikiem synergii oraz współpracy interdyscyplinarnej. „Korzystamy z wiedzy mikrobiologów i klinicystów, a także inżynierów, aby zaprojektować najlepszy możliwy system zwalczania drobnoustrojów. Jest to ważne dla innych dziedzin biomedycznych stojących przed walką z biofilmem lekoopornym, gdy zbliżamy się do epoki poantybiotykowej” – wyjaśnił.
Współpraca ta nastąpiła po tym, jak Koo i jego współpracownicy poczynili postępy w rozkładaniu matrycy biofilmu za pomocą nanocząstek zawierających tlenek żelaza, które działają katalitycznie, aktywując nadtlenek wodoru do uwalniania wolnych rodników, mogących zabijać bakterie i niszczyć biofilm w ukierunkowany sposób. Zespół Penn Dental Medicine nieoczekiwanie stwierdził, że grupy w Penn Engineering, kierowane przez dr Edwarda Steagera, prof. Vijaya Kumara i prof. Kathleen Stebe pracowały z platformą robotyczną, która wykorzystywała bardzo podobne nanocząsteczki tlenku żelaza jako elementy budulcowe dla mikrorobotów. Inżynierowie kontrolują ruch tych robotów za pomocą pola magnetycznego, co pozwala na swobodne sterowanie nimi.
Wspólnie zespół ponadszkolny zaprojektował, zoptymalizował i przetestował 2 rodzaje systemów robotycznych, które grupa nazywała katalitycznymi robotami przeciwdrobnoustrojowymi lub CAR. Jeden system działa na powierzchniach, drugi w ograniczonych przestrzeniach. Po przetestowaniu robotów na biofilmie rosnącym na płaskiej powierzchni szklanej lub w zamkniętych szklanych rurkach, badacze przetestowali usuwanie biofilmu z trudnodostępnych części ludzkiego zęba. Wg naukowców, CAR były w stanie degradować i usuwać bakteryjny biofilm nie tylko z powierzchni zęba, ale także z jednym z najtrudniej dostępnych obszarów, tj. przestrzeni międzyzębowych.
„Istniejące metody zwalczania biofilmu są nieskuteczne, ponieważ nie są w stanie jednocześnie degradować matrycy ochronnej, zabijać osadzonych bakterii i fizycznie usuwać złogów ulegających biodegradacji” – zauważył Koo. „Te roboty potrafią wykonać wszystkie 3 zadania jednocześnie bardzo skutecznie, nie pozostawiając żadnych śladów biofilmu”. „Zwalczanie biofilmu występującego na zębach wymaga dużej ilości pracy fizycznej, zarówno po stronie konsumenta, jak i profesjonalisty” – powiedział Steager.
Zespół ma nadzieję na przeniesienie wynalazku do zastosowania klinicznego i otrzymał wsparcie od Penn Center for Health, Devices and Technology, inicjatywy wspieranej przez Perelman School of Medicine, Penn Engineering i Office of Vice Provost for Research na Uniwersytecie w Pensylwanii.
Artykuł badawczy pt.: „Katalityczne roboty przeciwdrobnoustrojowe do zwalczania biofilmu” został opublikowany w wydaniu Science Robotics.
Na łamach „Journal of Dental Hygiene” ukazał się artykuł pt.: „Skuteczność profesjonalnego nitkowania, nadzorowanego nitkowania i płynu do ...
Dzięki sztucznym płytkom krwi można będzie nie tylko skutecznie tamować krwawienie, ale i przenosić leki czy środki kontrastujące – informują...
British Medical Journal, publikując wyniki kilkuletnich badań informuje, że brak dbałości o higienę jamy ustnej może zwiększać ryzyko ...
SEATTLE, USA: Obecne narzędzia diagnostyczne mierzą obecność próchnicy, zamiast oceniać ryzyko rozwoju próchnicy. Rutynowe monitorowanie produkcji ...
Naukowcy z Uniwersytetu Wrocławskiego opracowali żel o właściwościach bakterio- i grzybobójczych, stworzony na bazie genetycznie modyfikowanego ...
Trwają prace wykończeniowe i montaż wyposażenia wewnątrz nowego budynku Zakładu Nauk o Człowieku Uniwersytetu Rzeszowskiego. W budynku kształcić ...
W połowie kwietnia 40 młodych naukowców z grona zwycięzców III edycji „Top 500 Innovators” wyruszy na 2-miesięczny staż do ...
Badanie wykazało, że dwa płyny do płukania ust zawierające kannabidiol (CBD) i kannabigerol (CBG), są tak samo skuteczne jak płyny do płukania ust ...
MEDFORD, Massachusetts, USA: Stres może objawiać się na wiele sposobów i znacząco wpływa na samopoczucie fizyczne, emocjonalne i społeczne, często ...
Szkliwo jest najtwardszą tkanką ludzkiego organizmu. Naukowcy z Forsyth Institute oraz z uniwersytetów w Pittsburghu i Michigan w USA ...
Na żądanie
seminarium internetowe
Dr. Bruce McFarlane Certified Specialist in Orthodontics Fellow: Royal College of Dentists of Canada Diplomate: American Board of Orthodontics
Webinarium na żywo
śro. 15 kwietnia 2026
8:00 (CET) Warsaw
Webinarium na żywo
czw. 16 kwietnia 2026
2:00 (CET) Warsaw
Linda Hecker MS, BSDH, RDH
Webinarium na żywo
czw. 16 kwietnia 2026
6:00 (CET) Warsaw
Dr. Pär-Olov Östman, Dr. Robert Gottlander DDS
Webinarium na żywo
pią. 17 kwietnia 2026
6:00 (CET) Warsaw
Webinarium na żywo
pią. 17 kwietnia 2026
7:00 (CET) Warsaw
Dr. Stuart Yeaton BDentSc, MOrth
Webinarium na żywo
pon. 20 kwietnia 2026
7:00 (CET) Warsaw
Dr. Alberto Monje DDS, MS, PhD
To post a reply please login or register