British Medical Journal, publikując wyniki kilkuletnich badań informuje, że brak dbałości o higienę jamy ustnej może zwiększać ryzyko przedwczesnego zgonu z powodu nowotworu nawet o 80%.
Takie wyniki przyniosły przeprowadzone w Szwecji badania obserwacyjne, które objęły niemal 1 400 losowo wybranych dorosłych mieszkańców Sztokholmu. Obserwowano ich przez 24 lata (1985-2009). Do 2009 r. z powodu chorób nowotworowych zmarło 58 spośród obserwowanych osób, przy czym kobiety stanowiły 35,6% tej grupy.
Mężczyźni umierali z powodu nowotworu w przeciętnie wieku 60 lat, a kobiety 61 lat. Spodziewany czas życia był dla obu płci wyraźnie wyższy – dla kobiet o 13 lat, dla mężczyzn o 8,5 roku, zatem przypadki tych zgonów można uważać za przedwczesne. W przypadku kobiet główną przyczyną śmierci z powodu nowotworu okazał się rak piersi, w przypadku mężczyzn były to różne nowotwory. Zęby osób zmarłych z powodu nowotworów były w większym stopniu pokryte płytką niż pozostałych.
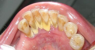
Płytkę nazębną tworzy pokrywająca ząb warstwa bakterii, także w miejscach pomiędzy zębami oraz w części niedostatecznie osłoniętej przez dziąsło. Obecność płytki nazębnej sprzyja powstawaniu i rozwojowi próchnicy oraz zapaleniu dziąseł, może także doprowadzić do utraty zębów.
Wcześniejsze badania wskazują na związek pomiędzy występowaniem płytki nazębnej a wieloma problemami zdrowotnymi. W przypadku nowotworów większe ryzyko ich występowania wiąże się prawdopodobnie z zakażeniami i procesem zapalnym, które uważane są za przyczynę 20% nowotworów.
źródło: PAP
Jeżeli nie zmieni się sposób odżywiania dzieci i młodzieży w Polsce, to w 2030 r. koszty pośrednie i bezpośrednie związane z cukrzycą i ...
Nałogowi palacze narażeni są na możliwość wystąpienia szeregu dolegliwości związanych ze zdrowiem, w tym także zdrowiem jamy ustnej. Papierosy są...
Po sukcesie I Konferencji Fundacji „Z uśmiechem przez życie” , która odbyła się w październiku 2011 r. organizatorzy zapraszają do ...
Rak jamy ustnej jest jednym z najpowszechniejszych nowotworów. Dotyka przede wszystkim mężczyzn, palaczy i alkoholików. Jego wykrycie na ...
Nowotwory jamy ustnej stanowią poważny odsetek wszystkich zachorowań na raka. Nowa terapia genowa może dać nadzieję na zwiększenie powodzenia ...
Wg zaleceń Światowej Organizacji Zdrowia, kamień nazębny powinien być usuwany 2 razy w roku. Tymczasem wielu pacjentów wciąż dziwi się, że ...
Mechanizmów, które mogą stać za rozwojem jaskry i zapalnych chorób oczu jest wiele. Wśród tych, które dotyczą jamy ustnej, wymienia się kilka ...
W badaniach nad rakiem naukowcy wykorzystali sztuczną inteligencję (AI), aby pomóc dostosować dawkę promieniowania do indywidualnych terapii. ...
Badanie wykazało, że dwa płyny do płukania ust zawierające kannabidiol (CBD) i kannabigerol (CBG), są tak samo skuteczne jak płyny do płukania ust ...
Naukowcy twierdzą, że niewystarczające dbanie o higienę i zdrowie jamy ustnej może sprzyjać cięższemu przebiegowi Covid-19, szczególnie u osób z ...
Webinarium na żywo
czw. 30 kwietnia 2026
1:00 (CET) Warsaw
Dr. Renato Leonardo D.M.D.
Webinarium na żywo
czw. 30 kwietnia 2026
7:00 (CET) Warsaw
Webinarium na żywo
nie. 3 maja 2026
6:00 (CET) Warsaw
Dr. Rickard Brånemark MSc, MD, PhD, Dr. Robert Gottlander DDS
Webinarium na żywo
pon. 4 maja 2026
2:00 (CET) Warsaw
Webinarium na żywo
wto. 5 maja 2026
4:00 (CET) Warsaw
Webinarium na żywo
wto. 5 maja 2026
6:00 (CET) Warsaw
Webinarium na żywo
wto. 5 maja 2026
7:00 (CET) Warsaw
Dr. Maximilian Dobbertin M.Sc
To post a reply please login or register