Wg zaleceń Światowej Organizacji Zdrowia, kamień nazębny powinien być usuwany 2 razy w roku. Tymczasem wielu pacjentów wciąż dziwi się, że trzeba to robić regularnie, a nie dopiero wtedy, gdy gabinetowe czyszczenie zębów zaleci lekarz.
Ocenia się, że 7 na 10 Polaków cierpi na choroby przyzębia. Ich bezpośrednią przyczyną jest zmineralizowana płytka nazębna, czyli kamień zalegający zarówno nad dziąsłem, jak i pod nim. „To w nim bytuje kilkaset gatunków bakterii, w tym organizmy chorobotwórcze odpowiadające za szereg problemów: od nieświeżego oddechu, przez próchnicę, aż po poważne choroby serca, nerek i mózgu. To on niszczy mocowanie zębów w tkankach przyzębia, prowadząc nawet do paradontozy” – tłumaczy Iwona Gnach-Olejniczak, lekarz dentysta z Wrocławia.
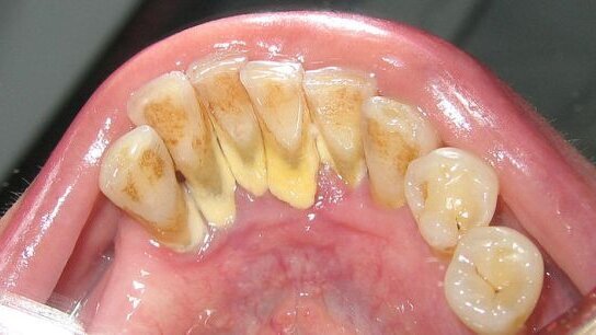
Po niedokładnym szczotkowaniu na zębach pozostaje miękki, białożółty nalot, który przekształca się w płytkę nazębną. Ta stopniowo ulega mineralizacji, twardnieje i zamienia się w trudny do usunięcia kamień. Widać go przy krawędzi dziąseł, to tzw. kamień naddziąsłowy. Wraz z nim pojawiają się bakterie, bo płytka i kamień to dla nich doskonała pożywka. Powstawaniu osadu sprzyja dieta bogata w cukry i skrobię. „Znaczenie mają też czynniki genetyczne, źle założone plomby czy chropowata powierzchnia szkliwa” – wyjaśnia dentystka.
Kamień nazębny ukrywa się też głęboko w kieszeniach zębowych. Sprzyja mu utrzymujący się długotrwały stan zapalny dziąseł, ponieważ na skutek ich rozpulchnienia płytka nazębna łatwiej wnika w rejon szyjki zębowej. Tam mineralizuje się i już jako twardy kamień ze zdwojoną siłą odpycha dziąsła od zębów. Kamień rozwijający się poddziąsłowo ma kolor ciemnobrązowy lub czarny. Rozprzestrzeniając się, niszczy system utrzymujący zęby w zębodołach. Tak dochodzi do wszelkiego rodzaju paradontopatii. Choć sama paradontoza uważana jest za chorobę autoimmunologiczną i nie do końca znane są jej przyczyny, to wszelkiego rodzaju paradontopatiom można zapobiegać. Wystarczy profilaktycznie 2 razy w roku czyścić zęby w gabinecie, a w przypadku skłonności do odkładania się kamienia, nawet częściej. „Także w przypadku już powstałych stanów zapalnych kuracja z zastosowaniem nowoczesnych urządzeń to sposób na uniknięcie interwencji chirurgicznej” – przekonuje dr Gnach-Olejniczak.
Gabinetowe czyszczenie zębów musi trwać co najmniej godzinę, a optymalnie 2-2,5 godz. Tylko perfekcyjnie gładkie zęby będą mniej podatne na ponowne gromadzenie się kamienia. Podstawą profilaktyki jest codzienna pielęgnacja jamy ustnej. Warto pamietać o stosowaniu specjalnych past, które zapobiegają odkładaniu się płytki nazębnej i osadów zwłaszcza, jeśli jest się palaczem lub fanem kawy albo zielonej herbaty. Warto zainwestować w hydropulser, który wodą pod ciśnieniem usunie resztki jedzenia z przestrzeni międzyzębowych. Płyn do płukania ust zapewni świeży oddech na dłużej i dodatkowo zabezpieczy szkliwo przed odkładaniem się osadów.
Profesjonalne zabiegi higieniczne wykonywane w gabinecie to:
• skaling – rozbijanie i usuwanie twardych złogów kamienia nazębnego za pomocą urządzenia ultradźwiękowego (skalera),
• piaskowanie – usuwanie nalotów i osadów przy użyciu specjalnego piasku stomatologicznego i wody,
• polerowanie – wygładzanie powierzchni szkliwa z użyciem dziesiątek gumek, szczotek, past polerskich, najbardziej czasochłonna część zabiegu,
• czyszczenie kieszonek zębowych – innowacyjne, przynoszące ogromną ulgę głębokie oczyszczanie powierzchni korzeni zębów przy pomocy ultradźwięków. Urządzenie najpierw usuwa florę bakteryjną, następnie poleruje korzenie za pomocą hydroksyapatytu, który jednocześnie wchodząc w kanaliki zębowe, znosi nadwrażliwość zębów,
• test na obecność patogenów – w trudnych przypadkach dentysta pobiera próbki płytki bakteryjnej bezpośrednio z kieszonek dziąsłowych. Są one wysyłane do laboratorium, gdzie powstaje dedykowany plan leczenia. Antybiogram pozwala dobrać odpowiedni rodzaj antybiotyków i skutecznie rozprawić się z bakteriami, które dewastują przyzębie.
Amalgamat jest jednym ze sposobów zabezpieczenia ubytków próchnicowych. Wypełnienia amalgamatowe mają ostatecznie zniknąć z ...
Niezmordowany prezes Oddziału Polskiego Towarzystwa Stomatologicznego w Krośnie dr n. med. Wojciech Bednarz już po raz szósty zorganizował wraz z...
British Medical Journal, publikując wyniki kilkuletnich badań informuje, że brak dbałości o higienę jamy ustnej może zwiększać ryzyko ...
Co trzeci Polak cierpi z powodu nadwrażliwości zębów, a ponad połowa pacjentów akceptuje codzienny ból zębów wywołany ...
Po tym, jak kilka lat temu Polacy masowo wyjeżdżali do pracy za granicą zaczyna zaznaczać się kolejny trend w emigracji zarobkowej. Obywatele naszego ...
Aż 10% mężczyzn i 3% kobiet w Polsce nigdy nie było u dentysty. Pozostali, jeśli odwiedzają gabinety, to robią to rzadko – 17% raz na kilka lat...
Zapraszamy na debatę, która ma obalić mit, że nieodłącznym elementem wizyt u dentysty jest ból. Chcemy pokazać, że współczesne technologie ...
Większość dorosłych Polaków w mniejszym lub większym stopniu cierpi na choroby przyzębia. Z badań opinii wynika jednak, że społeczna ...
Większość dorosłych Polaków, w różnym stopniu cierpi, na choroby przyzębia – dowodzą najnowsze badania medyczne. Z badań opinii ...
Ignorowanie niewielkich dolegliwości jamy ustnej i zębów może mieć nieprzyjemne skutki. Pojawiają się one znienacka i mogą powodować ...
Webinarium na żywo
czw. 30 kwietnia 2026
1:00 (CET) Warsaw
Dr. Renato Leonardo D.M.D.
Webinarium na żywo
czw. 30 kwietnia 2026
7:00 (CET) Warsaw
Webinarium na żywo
nie. 3 maja 2026
6:00 (CET) Warsaw
Dr. Rickard Brånemark MSc, MD, PhD, Dr. Robert Gottlander DDS
Webinarium na żywo
pon. 4 maja 2026
2:00 (CET) Warsaw
Webinarium na żywo
wto. 5 maja 2026
4:00 (CET) Warsaw
Webinarium na żywo
wto. 5 maja 2026
6:00 (CET) Warsaw
Webinarium na żywo
wto. 5 maja 2026
7:00 (CET) Warsaw
Dr. Maximilian Dobbertin M.Sc
To post a reply please login or register