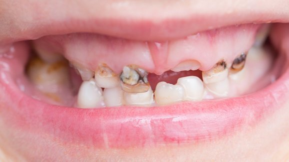
Rzecznik Praw Dziecka apeluje do Ministra Zdrowia o intensyfikację działań zapobiegających rozwojowi epidemii próchnicy wśród dzieci i proponuje stworzenie Strategii Walki z Próchnicą wśród Dzieci. Marek Michalak od lat angażuje się w walkę z epidemią próchnicy wśród dzieci. W opinii Rzecznika Praw Dziecka, dotychczasowe działania podejmowane na rzecz poprawy stanu zdrowia jamy ustnej dzieci i młodzieży były mało skuteczne, być może nieadekwatne do diagnozy i skali problemu. Efekt to aż 95% 18-latków i ponad 85% 6-laktów zmaga się z tą chorobą.
„Konieczne jest pilne stworzenie Strategii Walki z Próchnicą wśród Dzieci. Stanowiłaby ona najważniejsze ogniwo rozwiązywania tego ważnego społecznie problemu, jakim jest epidemia próchnicy. W opracowanie i realizację Strategii powinni włączyć się nie tylko najważniejsi eksperci w zakresie stomatologii, ale także specjaliści z zakresu zdrowia publicznego i zarządzania” – proponuje RPD.
Zdaniem Rzecznika, Strategia Walki z Próchnicą wśród Dzieci powinna obejmować takie zagadnienia, jak: promocja profilaktyki zdrowia jamy ustnej (higiena, fluoryzacja itp.), edukacja dzieci oraz rodziców i opiekunów (dieta, zdrowie jamy ustnej w okresie ciąży, leczenie zębów mlecznych itp.), wyższa wycena procedur znajdujących się w koszyku świadczeń stomatologicznych dla dzieci, wprowadzenie tzw. współczynnika korygującego dla dentystów leczących dzieci jako mechanizmu motywującego do podejmowania pracy z dzieckiem, edukacja lekarzy dentystów w zakresie kształcenia umiejętności ułatwiających pracę z małym pacjentem, zabezpieczenie zdrowia jamy ustnej dzieci w placówkach edukacyjnych, leczenie rozpoznanej próchnicy u dzieci i młodzieży.
źródło: Biuro Rzecznika Praw Dziecka
Plan na walkę z próchnicą dzieci i potrzeba wsparcia kadry dydaktycznej na kierunkach lekarsko-dentystycznych stanowiły najistotniejsze kwestie omawiane...
Światowa Federacja Dentystyczna FDI nie ma wątpliwości – zapewnienie powszechnego dostępu do fluorowanej pasty do zębów ma istotne znaczenie przy ...
Od 1 września weszła w życie ustawa o bezpieczeństwie żywności i żywienia, co oznacza, że ze szkolnych sklepików zniknie tzw. ...
Badania wykazały, że próchnica zębów jest najczęstszą i najbardziej kosztowną chorobą jamy ustnej wywoływaną przez biofilm. Fluor jako główny ...
Zły stan zdrowia jamy ustnej ciężarnej wpływa na przebieg ciąży, poród i zdrowie dziecka. U dzieci matek z próchnicą ryzyko przeniesienia choroby ...
Najnowsze badania dotyczące występowania próchnicy wśród dzieci wykazały, że ok. 28% dzieci, u których pojawia się ...
U dzieci i dorosłych poddawanych regularnemu lakierowaniu zębów, zaobserwowano rzadsze występowanie nowych ognisk próchnicy w zębach ...
Dotychczas naukowcy twierdzili, że to bakteria paciorkowca (Streptococchus mutans) jest odpowiedzialna za próchnicę zębów u dzieci. ...
Chociaż wypełnienia są najpopularniejszą metodą leczenia próchnicy zębów, ich przydatność w leczeniu próchnicy w uzębieniu pierwotnym pozostaje...
99% dorosłych Polaków ma próchnicę, a ponad 800.000 nie ma własnej szczoteczki do zębów. W ogóle zębów nie myje 2% ...
Webinarium na żywo
czw. 30 kwietnia 2026
1:00 (CET) Warsaw
Dr. Renato Leonardo D.M.D.
Webinarium na żywo
czw. 30 kwietnia 2026
7:00 (CET) Warsaw
Webinarium na żywo
nie. 3 maja 2026
6:00 (CET) Warsaw
Dr. Rickard Brånemark MSc, MD, PhD, Dr. Robert Gottlander DDS
Webinarium na żywo
pon. 4 maja 2026
2:00 (CET) Warsaw
Webinarium na żywo
wto. 5 maja 2026
4:00 (CET) Warsaw
Webinarium na żywo
wto. 5 maja 2026
6:00 (CET) Warsaw
Webinarium na żywo
wto. 5 maja 2026
7:00 (CET) Warsaw
Dr. Maximilian Dobbertin M.Sc
To post a reply please login or register