W ciągu ostatnich 10 lat dobrze udokumentowano wykorzystanie laserów w leczeniu periodontologicznym. Lasery mogą być wykorzystywane podczas wstępnej terapii periodontologicznej oraz podczas zabiegów chirurgicznych. Zastosowanie lasera w głębokich kieszonkach przyzębnych z towarzyszącymi ubytkami kostnymi nie tylko powoduje usunięcie objętej chorobą tkanki ziarninowej i znajdujących się w niej bakterii, ale także pobudza aktywność osteoklastów i osteoblastów, co często prowadzi do regeneracji kości.
Takie zastosowanie staje się bardziej skomplikowane, ponieważ przyzębie zawiera zarówno tkanki twarde, jak i miękkie. Wiele spośród dostępnych laserów, w tym lasery CO2, Nd:YAG i diodowe, może znaleźć zastosowanie w periodontologii ze względu na doskonałe właściwości w zakresie ablacji i hemostazy.
Przewlekłe zapalenie przyzębia jest inicjowane przez płytkę bakteryjną, która gromadzi się na powierzchni zębów wzdłuż brzegu dziąsła i wyzwala reakcję zapalną. Odpowiedź zapalna prowadzi u pacjentów z przewlekłym zapaleniem przyzębia do destrukcji tkanek aparatu zawieszeniowego zębów. Wobec ciągłej obecności bakterii tkanki przyzębia ulegają cały czas ekspozycji na swoiste składniki bakteryjne, które są w stanie zmieniać wiele miejscowych funkcji komórek. Procesy zapalne mają na celu ochronę gospodarza i ograniczenie ilości biofilmu. W ramach tego procesu dochodzi do pewnej destrukcji tkanek. Stopień rozległości i nasilenia uszkodzeń różni się u poszczególnych osób i zmienia w czasie, może także obejmować utratę położenia przyczepu. To zróżnicowanie ekspresji choroby wynika z interakcji pomiędzy czynnikami genetycznymi ze strony gospodarza, czynnikami środowiskowymi oraz dotyczącymi drobnoustrojów.
Podstawowym celem leczenia periodontologicznego jest uzyskanie biokompatybilnej powierzchni korzenia poprzez usunięcie biofilmu bakteryjnego i warstwy mazistej. Skalery ultradźwiękowe i oczyszczanie narzędziami ręcznymi to w terapii periodontologicznej najczęściej przeprowadzane procedury, mające na celu oczyszczenie korzenia. W celu zapewnienia skuteczniejszej pracy w głębszych kieszonkach końcówki skalerów mają teraz mniejsze średnice i większą długość roboczą. W badaniach klinicznych opisywano podobne efekty, kiedy porównywano skuteczność oczyszczania korzeni przy użyciu skalerów ultradźwiękowych i narzędzi ręcznych.
Narzędzia ręczne wymagają więcej czasu i wysiłku fizycznego. Mechaniczne oczyszczanie powierzchni korzenia prowadzi do powstania warstwy mazistej, która zawiera bakterie, endotoksyny bakteryjne oraz skażony cement korzeniowy. Ponadto, nie pozwala na całkowite usunięcie płytki i kamienia z przestrzeni międzykorzeniowej czy też z zagłębień na powierzchni korzeni. Występując pojedynczo lub łącznie, czynniki te mogą hamować proces gojenia tkanek przyzębia. Istotną wadą skalerów ultradźwiękowych, tak z punktu widzenia pacjenta, jak i operatora jest powstawanie skażonego aerozolu.
W ciągu ostatniego dziesięciolecia stomatologia uległa ogromnym zmianom, korzystnym i dla klinicystów, i pacjentów. Jedną z technologii, które są coraz powszechniej wykorzystywane w praktyce klinicznej są lasery. Laser to akronim pochodzący od słów Light Amplification by Stimulated Emission of Radiation (wzmacnianie światła przez wymuszoną emisję promieniowania). To urządzenie, w którym wykorzystuje się naturalną oscylację atomów lub cząsteczek pomiędzy poziomami energetycznymi w celu generowania koherentnego promieniowania elektromagnetycznego, zwykle w części spektrum odpowiadającej ultrafioletowi, światłu widzialnemu lub podczerwieni. Urządzenie to wytwarza wiązkę światła o wysokim natężeniu i jednej długości fali, którą można skupić w małym punkcie. Lasery zostały początkowo wprowadzone jako alternatywa dla tradycyjnych halogenowych lamp polimeryzacyjnych, jednak obecnie stały się narzędziem z wyboru dla wielu zastosowań, zarówno w leczeniu periodontologicznym, jak i zachowawczym. Dzięki licznym zaletom laserów, ich użycie jest wskazane w różnego rodzaju zabiegach.
Obecnie stosuje się różne systemy laserowe. W ostatnich latach zasugerowano zastosowanie promieniowania laserowego jako alternatywnej metody opracowywania tkanek w leczeniu przewlekłego zapalenia przyzębia. W badaniach in vitro opisywano skuteczność lasera Nd:YAG w oczyszczaniu powierzchni korzeni. Laser Nd:YAG, stosowany z niską gęstością energii i chłodzeniem aerozolem wodno-powietrznym, pozostawia homogenną i gładką topografię powierzchni korzenia. Ponadto, skutecznie usuwa kamień nazębny i warstwę mazistą, a także ma działanie bakteriobójcze przy braku znaczącego termicznego uszkadzania powierzchni korzenia.
Przeprowadzono wiele badań klinicznych, w których porównywano zastosowanie narzędzi tradycyjnych i lasera Nd:YAG w leczeniu choroby przyzębia. Jednak zastosowanie lasera w tym celu nadal budzi kontrowersje, prawdopodobnie w związku z brakiem dostatecznych dowodów na to, że jakaś określona długość fali promieniowania laserowego jest skuteczniejsza niż postępowanie tradycyjne. Brak dowodów, przemawiających za stosowaniem lasera wynika z nieodpowiednio projektowanych badań oraz braku spójności pomiędzy nimi, np. wysokiego stopnia zróżnicowania parametrów dotyczących laserów, gęstości energii, projektów badań, a w wielu przypadkach także z braku odpowiedniej grupy kontrolnej.
Zalety i wady
Do zalet leczenia z użyciem lasera należą: lepsza hemostaza, działanie bakteriobójcze oraz minimalne obkurczanie tkanek. W porównaniu z użyciem konwencjonalnego skalpela, lasery pozwalają na cięcie, ablację i remodelowanie tkanek miękkich jamy ustnej w łatwiejszy sposób, bez krwawienia lub przy minimalnym krwawieniu oraz przy niewielkich dolegliwościach bólowych, a także bez konieczności zakładania szwów lub z ich niewielką liczbą.
Praca z użyciem lasera ma także pewne wady, które wymagają podejmowania podczas zastosowania klinicznego odpowiednich środków ostrożności. Do interakcji pomiędzy promieniowaniem laserowym a tkankami może dochodzić nawet przy braku kontaktu między nimi, co oznacza, że wiązka laserowa może trafić do oczu pacjenta lub tkanek wokół docelowego miejsca w jamie ustnej. Operator musi zachować ostrożność, aby uniknąć niezamierzonego napromieniowania tych tkanek, szczególnie oczu. Pacjent, operator oraz asysta muszą nosić okulary ochronne przeznaczone dla określonej długości fali promieniowania lasera. Wiązki laserowe mogą odbijać się od lśniących powierzchni metalowych narzędzi stomatologicznych, powodując napromieniowanie innych tkanek. Można tego uniknąć, pokrywając wilgotnymi gazikami okolicę wokół miejsca docelowego. Starsze systemy laserowe miały poważne termiczne efekty uboczne, powodowały topienie, pękanie i zwęglanie tkanek twardych.
Prezentacja przypadku klinicznego i opis postępowania
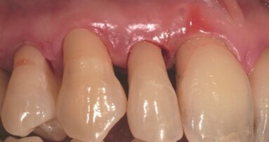
44-letnia pacjentka zgłosiła się do prywatnej kliniki PGG w celu leczenia przyzębia w okolicy prawych zębów trzonowych szczęki (Ryc. 1). Z wywiadu medycznego wynikało, że pacjentka jest ogólnie zdrowa. Była wcześniej leczona z powodu przewlekłego zapalenia przyzębia z wykorzystaniem metod niechirurgicznych. Wykonano diagnostyczne zdjęcie radiologiczne (Ryc. 2). Stwierdzono ubytek przyzębia brzeżnego i ubytek pionowy o zwiększonej przezierności dla promieniowania. W badaniu klinicznym stwierdzono izolowane głębokie kieszonki (Ryc. 3). Klinicznie nie zanotowano zwiększonej ruchomości zębów.
Dzień przed zabiegiem pacjentce podano 2000 mg amoksycyliny. Po zabiegu pacjentka przyjmowała amoksycylinę (1000 mg 3 razy na dobę) przez 5 dni. Wykonano nacięcie wzdłuż grzbietu wyrostka, biegnące girlandowato wzdłuż szyjek zębów, tak aby usunąć nabłonek wewnętrzny i tkankę ziarninową z kieszonek (Ryc. 4). Odpreparowano i uniesiono płat śluzówkowo-okostnowy, odsłaniając zęby i tkankę kostną. Usunięto tkankę ziarninową z ubytku za pomocą lasera Nd:YA, przy użyciu końcówki 300 μm i przy ustawieniach VSP, 1,5 Hz, 10 W, oraz za pomocą lasera Er:YAGz ustawieniami mocy VSP, 120 mJ, 10 Hz z chłodzeniem wodą i powietrzem w celu usunięcia toksyn z powierzchni. Ze względu na morfologię ubytku, zastosowano technikę łączoną z użyciem pochodnych macierzy szkliwa (Emdogain). Następnie w ubytku skondensowano ksenogenny materiał kościozastępczy (Bio-Oss®), (Ryc. 5). Pokryto ubytek błoną zaporową Bio-Gide®, sięgając poza granice ubytku w zarówno w kierunku policzkowym, jak i językowym.
Wykonano podcięcia uwalniające płatów po stronie policzkowej i językowej, uzyskując zamknięcie pierwotne, wolne od naprężeń, z użyciem szwów jedwabnych 4-0 (Ryc. 6). Poinformowano pacjentkę, aby nadal zgodnie z zaleceniami przyjmowała antybiotyk oraz płukała jamę ustną 2 razy dziennie 0,12% glukonianem chlorheksydyny przez 30 s. Na zakończenie ustalono bezwzględny program wizyt kontrolnych oraz protokół higieny domowej.
Gojenie przebiegało bez powikłań, po 6 miesiącach uzyskano całkowite wygojenie. W okresie gojenia wykonywano zębowe zdjęcia radiologiczne w celu oceny zmian mineralizacji materiału kościozastępczego w czasie. Widoczne było jednoznacznie powstawanie kości w obrębie ubytku kostnego. Na zdjęciach radiologicznych widoczna była zwiększona mineralizacja kości wokół zębów. Pacjentkę badano co roku. Po 6 latach od zakończenia leczenia (Ryc. 7) wykonano kolejne zdjęcie radiologiczne (Ryc. 8), które wykazało całkowite wygojenie ubytku kostnego wokół zębów.
Omówienie
Wraz z postępem technologii wykorzystywanych stomatologii – czy to techniki laserowej, czy innych fascynujących rozwiązań – będzie wzrastał zakres możliwości dostępnych dla lekarzy praktyków. Chociaż zastosowanie laserów w stomatologii jest pomysłem stosunkowo nowym, przyszłość wygląda bardzo obiecująco. Podsumowując, można oczekiwać, że terapia laserowa będzie stanowiła alternatywę lub uzupełnienie dla tradycyjnego mechanicznego leczenia periodontologicznego.
Spośród dostępnych obecnie typów laserów, cechy pozwalające na ich zastosowanie w leczeniu stomatologicznym poiadają lasery Nd:YAG, Er:YAG oraz Er,Cr:YSGG, wykazują one bowiem zdolność ablacji tkanek miękkich i twardych przy ich minimalnym uszkadzaniu. Dodatkowo efekt bakeriobójczy wywierany przez lasery, eliminacja lipopolisacharydów, zdolność usuwania płytki bakteryjnej i kamienia, efekt promieniowania ograniczony do bardzo cienkiej warstwy tkanek oraz szybsza odbudowa tkanki kostnej i tkanek miękkich sprawiają, że jest to obiecujące narzędzie, jeśli chodzi o leczenie periodontologiczne, w tym skaling i oczyszczanie powierzchni korzenia. Decyzja o zastosowaniu lasera powinna opierać się o potwierdzone korzyści wynikające z hemostazy, suchego pola zabiegowego, skrócenia jego czasu oraz ogólnego odczucia mniejszego obrzęku pozabiegowego.
Podsumowanie
Choć nie można formułować ostatecznych wniosków na podstawie jednego przypadku, opisana na przykładzie tej pacjentki sterowana regeneracja kości w połączeniu z zastosowaniem techniki laserowej przyniosła skuteczną eliminację trójściennego ubytku kostnego wokół zęba i głębokiej kieszonki. Przy zastrzeżeniu warunków tego przypadku można wywnioskować, że połączenie laserów Nd:YAG i Er:YAG może być bezpiecznie stosowane w celu usunięcia tkanki ziarninowej i oczyszczenia powierzchni implantów w przebiegu chirurgicznego leczenia zapalenia przyzębia._
embedImagecenter("Imagecenter_1_1347",1347, "large");
Kontakt:
Prof. dr Aslan Y. Gokbuget
PGG Dental Clinic
Tesvikiye Casddesi Kismet Apt. 133 d.8
34365 Nisantasi
Istanbul, Turkey
Tel.: +90 212 2480317
Faks: +90 212 2475118
W ciągu ostatnich 10 lat dobrze udokumentowano wykorzystanie laserów w leczeniu periodontologicznym. Lasery mogą być wykorzystywane podczas ...
Podejście do pacjenta w stomatologii dziecięcej wymaga bliskiej współpracy pomiędzy dentystami a rodzicami oraz samymi dziećmi. Terapia laserowa...
Podejście do pacjenta w stomatologii dziecięcej wymaga bliskiej współpracy pomiędzy dentystami a rodzicami oraz samymi dziećmi. Terapia laserowa...
Najczęstszą przyczyną niepowodzenia leczenia implantoprotetycznego jest periimplantitis. Wśród niechirurgicznych metod leczenia tego schorzenia ...
Wskaźnik powodzenia leczenia endodontycznego waha się w zakresie 85-97%. Dla uzyskania takiego poziomu niezbędne są: stosowanie właściwych ...
Amerykańska organizacja FDA (Food and Drug Administration) ogłosiła przeprowadzenie forum dyskusyjnego dotyczącego amalgamatu, które ma się ...
Zabiegi chirurgiczne wiążą się z ryzykiem komplikacji pozabiegowych. Prawidłowe gojenie tkanek jest priorytetowym czynnikiem sukcesu terapeutycznego. ...
„CAD/CAM”, „digital dentistry” to hasła określające kierunek rozwoju współczesnej stomatologii. Szczególnie ...
„CAD/CAM”, „digital dentistry” to hasła określające kierunek rozwoju współczesnej stomatologii. Szczególnie ...
Higiena przyzębia jest integralną częścią skutecznej terapii periodontologicznej (Axelsson & Lindhe, 1981). Jej celem jest ustabilizowanie ...
Webinarium na żywo
wto. 19 maja 2026
5:00 (CET) Warsaw
Webinarium na żywo
wto. 19 maja 2026
7:00 (CET) Warsaw
Prof. Dr. med. dent. Ivo Krejci
Webinarium na żywo
śro. 20 maja 2026
1:00 (CET) Warsaw
Dr. Graham Carmichael BDSc (Hons), DClinDent (Pros), FRACDS, Dr. Robert Gottlander DDS
Webinarium na żywo
śro. 20 maja 2026
3:00 (CET) Warsaw
Webinarium na żywo
śro. 20 maja 2026
5:00 (CET) Warsaw
Webinarium na żywo
śro. 20 maja 2026
7:00 (CET) Warsaw
Prof. Dr. med. dent. Tim Joda PhD, MSc, eMBA
Webinarium na żywo
czw. 21 maja 2026
6:00 (CET) Warsaw
Dr. Leonardo Muniz DDS, MSC
To post a reply please login or register