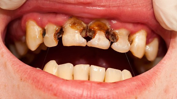
Próchnica zyskała miano najczęściej występującej choroby przewlekłej świata. Cierpi na nią aż 80% ludzi na całym świecie. Do jej rozwoju potrzebne są 4 czynniki: bakterie, cukry, podatne zęby i czas.
Podstawą ochrony przed próchnicą jest regularne usuwanie płytki nazębnej. Bakterie próchnicotwórcze – niewielka część z ponad 300 gatunków drobnoustrojów żyjących w jamie ustnej – wchodzą w skład miękkiego osadu, tworzącego się na zębach z resztek jedzenia, składników śliny i nabłonka. Bakterie zalegają na zębach i niszczą ich tkanki, ponieważ żywiąc się resztkami węglowodanowymi, produkują destrukcyjne dla zębów kwasy. „Dojrzała płytka nazębna powstaje w ciągu kilku-kilkunastu godzin, zatem dokładne szczotkowanie zębów 2 razy dziennie zwiększa szanse na uniknięcie próchnicy” – mówi dr Iwona Gnach-Olejniczak, lekarz dentysta z wrocławskiej kliniki Unident Union Dental Spa. Dodaje, że oprócz używania szczoteczki, należy dbać o higienę przestrzeni międzyzębowych, stosując nici i szczoteczki interdentalne, a także oczyszczać język i wnętrze jamy ustnej (dziąsła, wewnętrzną stronę policzków) za pomocą specjalnych skrobaczek. „Wszędzie tam bytują bakterie, produkujące kwasy i niszczące tkanki zębów” – dodaje dentystka. Podatność na próchnicę zależy również od ilości i składu śliny. Dlatego przy anomaliach należy ją skontrolować.
Nie jest możliwe usunięcie 100% płytki nazębnej. A ta, zalegając w trudnodostępnych miejscach, zmineralizuje się i zamieni w twardy kamień nazębny. Taki kamień to także idealne środowisko dla rozwoju bakterii, zwłaszcza że nie można go usunąć przy pomocy domowej szczoteczki do zębów. Dr Iwona Gnach-Olejniczak zaleca, by 2 razy do roku w gabinecie usuwać kamień dokładnie ze wszystkich zagłębień, także spod linii dziąseł. „Takie jest ogólne zalecenie Światowej Organizacji Zdrowia w ramach zapobiegania próchnicy i chorobom przyzębia” – dodaje. Okazuje się jednak, że są przypadki, gdy trzeba wykonywać skaling częściej. „Osoby o specyficznym składzie śliny powinny się zgłaszać na higienizację jamy ustnej nawet co 1-3 miesiące” – zaznacza.
Samo usuwanie kamienia nie wystarczy, by ustrzec się próchnicy. Ponieważ po zabiegu szkliwo jest porowate, szybko „łapie” wszelkie zanieczyszczenia i staje się znów siedliskiem dla bakterii. Dlatego po skalingu należy standardowo przeprowadzić zabieg polerowania szkliwa. Perfekcyjne wygładzenie powierzchni zębów wymaga czasu i zaangażowania personelu medycznego, ale warto. „Taki zabieg jest świetną profilaktyką antypróchnicową” – podkreśla ekspert. Do polerowania używa się specjalnych past polerskich, dziesiątek szczotek. Wszystko po to, by uzyskać perfekcyjną gładkość.
Odpowiednio dawkowany fluor wzmacnia zęby i poprawia mineralizację szkliwa, dzięki czemu zmniejsza się ich podatność na próchnicę. Jony fluoru tworzą na powierzchni szkliwa fluoroapatyty. Struktury te wbudowują się w szkliwo i wzmacniają je. Fluoryzacja w gabinecie stomatologicznym polega na wcieraniu w zęby różnego rodzaju roztworów fluorkowych. „Chodzi o to, by utwardzić szkliwo we wszelkich zagłębieniach i szczelinach zębów, gdzie lubią rozwijać się bakterie” – tłumaczy dentystka. Równowaga mineralna wymaga, aby w organizmie obecna była odpowiednia ilość fluoru. Szkodliwy może być zarówno nadmiar, jak i niedobór. Najlepiej, jeśli skonsultuje się sposób dbania o zęby z lekarzem dentystą. Nie wolno samodzielnie stosować suplementacji fluorem, ponieważ zbyt wysokie dawki mogą być dla organizmu toksyczne.
Do rozwoju próchnicy niezbędny jest cukier i nie chodzi tu wyłącznie o słodycze. Zębom szkodzą także częste posiłki zawierające tzw. złe węglowodany, czyli np. białe pieczywo, chipsy, produkty z mąki pszennej. Węglowodany takie wywołują szybki spadek pH w jamie ustnej, co sprzyja demineralizacji szkliwa. „Przyjmuje się, że obniżony poziom pH utrzymuje się przez ok. 1 godz. po zjedzeniu posiłku węglowodanowego. Częste spożywanie takich produktów powoduje, że w jamie ustnej długo utrzymuje się środowisko sprzyjające rozwojowi próchnicy” – wyjaśnia stomatolog. Wysoko przetworzone produkty węglowodanowe mają dodatkowo lepką konsystencję, przez co przyklejają się do zębów i dłużej zalegają w bruzdach i między zębami. W efekcie próchnica dewastuje uzębienie. Warto więc płukać jamę ustną po posiłku wodą, żuć gumę (tylko przez kilka minut po posiłku). I włączyć do diety tzw. dobre węglowodany – surowe warzywa i owoce, produkty z mąki pełnoziarnistej, brązowy ryż, warzywa strączkowe.
Posiadacze zębów zdrowych, które nie zostały w najmniejszy nawet sposób zaatakowane przez próchnicę, mogą lakować bruzdy. W ten sposób anatomiczne zagłębienia będą chronione przed działaniem bakterii. Najczęściej lakuje się zęby w kilka miesięcy po ich wyrżnięciu. Można także lakować zęby w niewielkim stopniu dotknięte próchnicą, zabezpiecza się wtedy tylko te bruzdy, które nie zostały zaatakowane przez bakterie. „Kluczowe dla bezpieczeństwa lakowanych zębów jest regularne sprawdzanie szczelności laku podczas wizyt kontrolnych i jego uzupełnianie w razie potrzeby” – ostrzega dr Iwona Gnach-Olejniczak. Absolutnie nie wolno zapomnieć o kontroli lakowanych zębów. Pod nieszczelnym lakiem może się rozwijać próchnica, która nieleczona zagraża wieloma komplikacjami, nawet koniecznością leczenia kanałowego włącznie.
Nie tylko przeciwzmarszczkowe kremy i specjalistyczne zabiegi kosmetyczne wykonywane przy pomocy zaawansowanych technologicznie urządzeń są sposobem na ...
Naukowcy z Instytutu Archeologii Uniwersytetu Warszawskiego twierdzą, że przyczyną niskiej zapadalności neandertalczyków na próchnicę ...
Podczas kongresu FDI w Hong Kongu dokonano oficjalnego uruchomienia strony internetowej „Globalnej Inicjatywy przeciw Próchnicy” (Global ...
Eksperci apelują do rodziców, wzywając ich do zaprzestania karmienia dzieci butelką z powodu wzrastającej liczby przypadków ostrej ...
Eksperci apelują do rodziców, wzywając ich do zaprzestania karmienia dzieci butelką z powodu wzrastającej liczby przypadków ostrej ...
Światowa Federacja Dentystów (FDI) ustanowiła 12. września Światowym Dniem Zdrowia Jamy Ustnej. O tradycji obchodów i podejmowanych z tej ...
CarieScan PRO to urządzenie, które umożliwia kontrolę zmian próchnicowych i zapobieganie im. Dokładność CarieScan PRO w ocenie ...
Z okazji Międzynarodowego Dnia Pocałunku, naukowcy oficjalnie potwierdzili, że całowanie pozytywnie wpływa na zdrowie zębów.
„Zdążyć przed próchnicą” to oficjalne hasło przyszłorocznych obchodów Światowego Dnia Zdrowia Jamy Ustnej (20 marca) i kampanii „Polska mówi...
Badanie prowadzone przez naukowców z Chin dotyczyło wpływu mikrobioty jamy ustnej na ogólny stan zdrowia. Naukowcy odkryli, że nowa drobnoustrojowa ...
Webinarium na żywo
wto. 19 maja 2026
5:00 (CET) Warsaw
Webinarium na żywo
wto. 19 maja 2026
7:00 (CET) Warsaw
Prof. Dr. med. dent. Ivo Krejci
Webinarium na żywo
śro. 20 maja 2026
1:00 (CET) Warsaw
Dr. Graham Carmichael BDSc (Hons), DClinDent (Pros), FRACDS, Dr. Robert Gottlander DDS
Webinarium na żywo
śro. 20 maja 2026
3:00 (CET) Warsaw
Webinarium na żywo
śro. 20 maja 2026
5:00 (CET) Warsaw
Webinarium na żywo
śro. 20 maja 2026
7:00 (CET) Warsaw
Prof. Dr. med. dent. Tim Joda PhD, MSc, eMBA
Webinarium na żywo
czw. 21 maja 2026
6:00 (CET) Warsaw
Dr. Leonardo Muniz DDS, MSC
To post a reply please login or register