Celem niniejszej pracy jest porównanie odbudowy protetycznej na łącznikach indywidualnych wykonanych technologią CAD/CAM w przypadku braku zębów trzonowych w dolnym łuku. W obu przypadkach wykorzystano implanty firmy Biomet 3I.
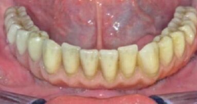
W pierwszym przypadku u pacjentki stwierdzono brak międzyzębowy w 3. ćwiartce. Wszczepiono 2 implanty Biomet 3I Tapered Certain o platformie 4 mm w pozycjach 36 i 37. Po 3-miesięcznym okresie gojenia implanty odsłonięto, po następnych 2 tyg. wykonano wyciski z poziomu śrub gojących typu Encode. Po wykonaniu modelu gipsowego został on wysłany do Biomet 3I Dental Iberica. Na miejscu model zeskanowano i zaprojektowano komputerowo indywidualne łączniki cyrkonowe, które po zatwierdzeniu przez lekarza zostały wyfrezowane. Przesłano je z powrotem do pracowni w Polsce celem wykonania odbudowy ostatecznej. Po ok. 3 tyg. od pobrania wycisków pacjentce oddano cementowane zblokowane korony ceramiczne.
W drugim przypadku u pacjentki stwierdzono brak skrzydłowy w 4. ćwiartce. Zainstalowano 3 implanty Biomet 3I Tapered Certain o platformie 4 mm w pozycjach 45, 46, 47. Po 3-miesięcznym okresie gojenia implanty odsłonięto, po następnych 2 tyg. wykonano wyciski z poziomu transferów wyciskowych. Po wykonaniu modelu został on przesłany do pracowni firmy Astra Tech celem wykonania łączników indywidualnych w systemie Atlantis. Model został zeskanowany, co pozwoliło na komputerowe zaprojektowanie indywidualnych łączników tytanowych. Wirtualny projekt, po zatwierdzeniu przez lekarza, wyfrezowano i przesłano do pracowni w celu wykonania odbudowy ostatecznej. Po ok. 3 tyg. od pobrania wycisków pacjentce oddano cementowane zblokowane korony ceramiczne.
Rozpoczynając porównanie systemów Atlantis i Encode, można stwierdzić, że różnice uwidaczniają się już podczas pobierania wycisków. W przypadku Atlantis wycisk pobieramy za pomocą transferu wyciskowego. W systemie Encode funkcję tę spełnia śruba gojąca, mająca na swojej powierzchni wszystkie informacje pozwalające następnie na dokładne odwzorowanie przestrzennego położenia implantu (głębokość pogrążenia implantu, orientację heksu, średnicę platformy protetycznej, rodzaj łączenia). Oszczędza to pracę klinicysty, skracając czas pobierania wycisków i pozwala uniknąć komplikacji związanych np. z wzajemnym blokowaniem się transferów. Zmniejsza również traumatyzację tkanek miękkich związaną z wielokrotnym odkręcaniem i przykręcaniem różnych komponentów. Nowością jest możliwość użycia skanera wewnątrzustnego Lava C.O.S. Upraszcza to pracę w jeszcze większym stopniu, pozwala uniknąć pobierania wycisku za pomocą masy, eliminuje także konieczność wykonania modelu. Skan wewnątrzustny jest wysyłany bezpośrednio do pracowni wykonującej łączniki.
embedImagecenter("Imagecenter_1_505",505, "large"); ">script>
Ze sposobu pobierania wycisków wynika kolejna różnica, tzn. sposób wykonania modeli. W przypadku systemu Encode wykonywany jest model gipsowy zawierający na swojej powierzchni dokładne odbicie powierzchni śrub. W systemie Atlantis do modelu instalowane są analogi implantów.
W obu przypadkach modele są wysyłane do odpowiednich pracowni za granicami naszego kraju, gdzie są skanowane, co umożliwia komputerowe zaprojektowanie odpowiedniego łącznika. W obu przypadkach mamy możliwość wykonania łącznika z tytanu, tytanu pokrytego azotkiem tytanu dającego kolor złoty lub łącznika cyrkonowego. W systemie Atlantis w czasie wirtualnego projektowania łącznika zarówno lekarz, jak i technik dentystyczny mają dostęp do systemu Atlantis WebOrder, za pomocą którego mogą wyświetlać, a także sugerować zmiany w projekcie. Po zatwierdzeniu łączniki zostają wyprodukowane. Podobnie jest w systemie Encode – projekt przesyłany jest do lekarza pocztą elektroniczną w celu akceptacji, a produkowany dopiero po jej uzyskaniu.
Kolejną zaletą systemu Atlantis jest kompatybilność z większością wiodących systemów implantologicznych na rynku. System Encode jest kompatybilny jedynie ze wszystkimi rodzajami platform implantów Biomet 3I.
W przypadku Atlantis dużą zaleta jest także gwarancja. Firma daje dożywotnią gwarancję na łączniki tytanowe i 5-letnią na cyrkonowe. Zgodnie z informacją zawartą na stronie internetowej, jeżeli dostawca implantu nie honoruje gwarancji z powodu zastosowania łącznika Atlantis, firma Astra Tech pokrywa koszty zarówno łącznika, jak i implantu.
Oba przedstawione systemy mają zarówno wady i zalety, jednak w opisanych przypadkach nie stwierdzono różnic w precyzji wykonania. Trzeba przy tym podkreslić, iż żaden z systemów nie wykonał odbudowy w planowanym przedziale czasowym, natomiast porównując łączniki indywidualne wykonane w technologii CAD/CAM z łącznikami standardowymi, dokładniej odwzorowują one cześć przydziąsłową, dając lepszy profil wyłaniania, co skutkuje lepszą estetyką odbudowy ostatecznej. Zapewniają również większy prestiż lekarzowi, który może zaoferować pacjentowi najnowocześniejsze technologicznie rozwiązania. Niestety, wiąże się to zarówno z większymi kosztami, jak i dłuższym czasem potrzebnym do wykonania odbudowy.
W prezentowanym przypadku przedstawiono, jak z powodzeniem krótkie implanty zostały wykorzystane do rehabilitacji protetycznej atroficznej ...
14-15 listopada br. w Warszawie odbędzie się jedno z najbardziej popularnych szkoleń wprowadzających w tematykę prac protetycznych opartych na ...
Nowoczesne kompozyty techniczne zapewniają estetykę nie gorszą niż prace ceramiczne, pozwalają też na modyfikację lub naprawy w razie potrzeby. ...
MALMÖ, Szwecja: Badania wykazały, że bruksizm nie tylko powoduje uszkodzenie zębów, ale może również skutkować niepowodzeniem w implantologii. Aby ...
GOTHENBURG, Szwecja: Tworzenie się biofilmu na implantach dentystycznych jest dużym wyzwaniem dla stomatologów. Powoduje to duże niedogodności dla ...
Szkolenie „Protetyka na implantach” prowadzone przez dr. n. med. Cezarego Langota to stały punkt programowy w Dental Skills Institute. Ze względu na ...
Naczelna Rada Lekarska szacuje, że prawie połowa Polaków w wieku od 65 do 74 lat nie ma ani jednego własnego zęba. Nie wszyscy korzystają z ...
Zespół naukowców Politechniki Śląskiej opracował technologię otrzymywania bioaktywnych powłok na powierzchni kostnych implantów. Licencja na ...
Licówki GlamSmile – alternatywą dla licówek nakładanych na preparowaną powierzchnię zębiny Porcelana używana do wyrobu ...
Implant Dental New Wave zaprasza na 2-dniowy kurs praktyczny, który odbędzie się 27-28.11.2015 r. w Hotelu RADISSON BLU SOBIESKI w Warszawie. Kurs ...
Webinarium na żywo
wto. 19 maja 2026
5:00 (CET) Warsaw
Webinarium na żywo
wto. 19 maja 2026
7:00 (CET) Warsaw
Prof. Dr. med. dent. Ivo Krejci
Webinarium na żywo
śro. 20 maja 2026
1:00 (CET) Warsaw
Dr. Graham Carmichael BDSc (Hons), DClinDent (Pros), FRACDS, Dr. Robert Gottlander DDS
Webinarium na żywo
śro. 20 maja 2026
3:00 (CET) Warsaw
Webinarium na żywo
śro. 20 maja 2026
5:00 (CET) Warsaw
Webinarium na żywo
śro. 20 maja 2026
7:00 (CET) Warsaw
Prof. Dr. med. dent. Tim Joda PhD, MSc, eMBA
Webinarium na żywo
czw. 21 maja 2026
6:00 (CET) Warsaw
Dr. Leonardo Muniz DDS, MSC
To post a reply please login or register