System Er,Cr:YSGG jest niewątpliwie bardzo pomocnym narzędziem w rękach wyszkolonego lekarza. Może być bezpiecznie stosowany zarówno do leczenia tkanek twardych, jak i miękkich, z minimalną ilością środka znieczulającego lub bez niego oraz w skomplikowanych przypadkach wymagających złożonego leczenia w krótszym czasie. Dzięki temu pacjenci cenią sobie korzyści wynikające krótkich i bezbolesnych zabiegów.
Niniejszy artykuł przedstawia przypadek 38-letniej pacjentki, skierowanej z Wydziału Ortodoncji do Kliniki Stomatologicznej studiów podyplomowych na Wydziale Chirurgii Stomatologicznej na Uniwersytecie Arystotelesa w Salonikach. Powodem skierowania było niestosowanie się do zaleceń wynikających z leczenia ortodontycznego (Ryc. 1). Z tej przyczyny podjęto szybsze i zachowawcze leczenie estetyczne zębów odcinka przedniego. Zęby przednie mają znaczący wpływ psychologiczny i emocjonalny na pacjentów ze względu na ich widoczność w uzębieniu oraz rolę, jaką dogrywają w uśmiechu.
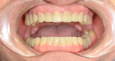
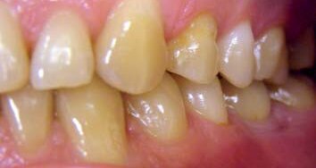
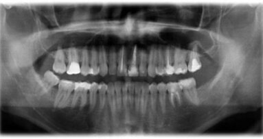
Pacjentka narzekała głównie na kolor oraz przerwy między zębami w odcinku przednim górnego łuku (Ryc. 2-6). Po zebraniu wywiadu medycznego oraz stomatologicznego wykonano badanie kliniczne i radiologiczne w celu ustalenia rodzaju problemu (związek z próchnicą, problem natury periodontologicznej lub endodontycznej).
Podczas wywiadu stomatologicznego pacjentka przyznała, że miesiąc wcześniej leczono ją periodontologicznie i że pozostała pod obserwacją na Wydziale Periodontologii. Co więcej, wspomniała, że nosiła aparat ortodontyczny przez ponad 5 lat i że nie chciała kontynuować leczenia. Ortodonta stwierdził, że pacjentka nie była współpracująca, jeśli chodzi o wymianę ligatur oraz że nie pojawiła się na kilku wizytach mimo odklejonych zamków, nie utrzymywała też wystarczającej higieny jamy ustnej. Dodatkowo, oczywistym było przeciwwskazanie do kontynuacji leczenia ortodontycznego ze względu na ryzyko resorpcji korzeni spowodowane długotrwałą aktywacją aparatu.
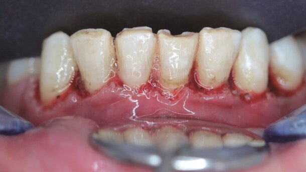
Badanie kliniczne wykazało niski poziom higieny jamy ustnej, przerost dziąseł, widoczne przebarwienia wokół zamków z powodu palenia tytoniu, próchnicę w prawym górnym kle oraz koronę na metalu na zębie 22 (Ryc. 2-6). Po zdjęciu zamków wykryto niewielka demineralizację szkliwa wokół nich. Zauważono też przesunięcie linii pośrodkowej łuku górnego w stosunku do linii pośrodkowej twarzy (Ryc. 1). Badania kliniczne i radiologiczne nie wykazały nieprawidłowości w odcinkach bocznych.
Wg naszych ustaleń, zgodnie z życzeniem pacjentki oraz jej możliwościami finansowymi, odbudowa estetyczna powinna przebiegać interdyscyplinarnie. Stworzony został następujący plan leczenia:
1_Gingiwektomia linii dziąsła łuku górnego i dolnego.
2_Wybielanie zębów obu łuków.
3_Zamknięcie diastem pomiędzy zębami 11-21, 11-12 oraz 21-22.
W celu umożliwienia prawidłowego gojenia tkanek miękkich oraz kierując się wytycznymi dla odbudów adhezyjnych wykonywanych po wybielaniu, wizyty zostały zaplanowane w 2-tygodniowych odstępach. Na zdemineralizowaną powierzchnię szkliwa wokół zamków nałożono żel fluorowy.
_Gingiwektomia
Chirurgia plastyczna w obrębie przyzębia zapoczątkowana w 1993 r. przez Millera polega na przeprowadzaniu zabiegów korygujących lub eliminujących deformacje anatomiczne, rozwojowe lub pourazowe dziąsła oraz śluzówki wyrostka.1 Często idzie to w parze z estetyczną korektą uśmiechu za pomocą odbudowy kompozytowej lub licówek. Celem leczenia jest wyeliminowanie kieszonek przyzębnych poprzez wycięcie nadmiarów tkanki miękkiej.
Budowa dziąseł łuku górnego była nierówna, a w okolicy zębów 21-22 i 22-23 widoczny był przerost dziąseł spowodowany niewystarczającą higieną oraz prawdopodobnie obecnością korony na metalu na zębie 22. Ponadto, badania przypadków wykazały, że w celu osiągnięcia optymalnego wskaźnika stosunku długości do szerokości 62-80%, przed przystąpieniem do zamknięcia diastem należy wykonać wydłużenie korony. Standardowo odległość od brzegu dziąsła do połączenia cementowo-szkliwnego wynosi 1 mm. Opisane wyżej problemy można rozwiązać usunięciem nadmiaru dziąsła poprzez dokładnie zaplanowane cięcia. Jeśli wydłużenie korony planowane jest w celu przedłużenia zęba, należy rozważyć zwiększenie szerokości biologicznej oraz nieprzekroczenie jej, gdyż może to doprowadzić do zniszczenia tkanek przyzębia.
W związku z tym, przed przystąpieniem do zabiegu dokonano pomiarów głębokości szczelin dziąsłowych oraz – zgodnie z planowanymi wymiarami zęba – zanotowano szerokość, wysokość oraz ich stosunek (Tab. 1). Idealne proporcje wynoszą 0,8-0,9. Po ustaleniu proporcji, wodoodpornym markerem zaznaczono na powierzchni dziąseł granice cięcia (Ryc. 7). Ponieważ długość korony klinicznej była mniejsza od korony anatomicznej oszacowano, że należy usunąć ok. 2 mm dziąsła (Ryc. 8).
Tkanki dziąseł pacjentki charakteryzowały się grubym biotypem oraz odpowiednio grubym dziąsłem związanym. Rekonstrukcję dziąsła wykonano, używając następujących parametrów: średnia moc na wyjściu wynosiła 2,5 W, czas trwania impulsu to 700 µsec (tryb S), częstotliwość powtarzania impulsu wynosiła 50 Hz z zastosowaniem końcówki MZ5 przy minimalnym użyciu wody (powietrze: 10 – woda: 10). W pierwszej kolejności usunięto nadmiary dziąseł wg zaznaczonego wcześniej wzoru (Ryc. 9). Na koniec stworzono estetyczną symetrię dziąseł, a następnie przeznaczono 2 tygodnie na wygojenie do następnej fazy leczenia (Ryc. 10).
Pacjentka zgłosiła niewielkie krwawienie w dniu po zabiegu, jednak nie wystąpiły dolegliwości bólowe ani tkliwość. Gingiwektomię w żuchwie (Ryc. 11) wykonano na kolejnej wizycie wraz z wybielaniem zębów łuku górnego, po czym odczekano kolejne 2 tygodnie do wygojenia (Ryc. 12).
_Wybielanie za pomocą Er,Cr:YSGG
Aby osiągnąć najlepsze wyniki bez uszkadzania okolicznych tkanek, należy ostrożnie przeprowadzić procedurę, przestrzegając wszelkich środków bezpieczeństwa. Przed rozpoczęciem pierwszej sesji pacjentka została poinformowana o tym, że efekt zabiegu nie będzie stały oraz że jest on zależny od wieku pacjenta, palenia tytoniu oraz działania barwników zawartych w kawie, czerwonym winie, herbacie oraz ciemnych napojach. Dla osób niepalących przewiduje się utrzymanie efektu przez 3-4 lata. Poproszono pacjentkę o poinformowanie, jeśli podczas wybielania wystąpi ból, gdyż będzie można wtedy przerwać lub zakończyć zabieg.
Zabieg periodontologiczny przeprowadzony został w Klinice Periodontologii. Przed wybielaniem upewniono się, że powierzchnia szkliwa wolna jest od płytki nazębnej, kamienia oraz przebarwień (Ryc. 10). Aby zapobiec interakcji protein i enzymów ze śliny ze środkiem wybielającym, delikatnie oczyszczono zęby pastą profilaktyczną.
W Klinice Stomatologicznej studiów podyplomowych Wydziału Chirurgii Stomatologicznej na Uniwersytecie Arystotelesa w Salonikach pracujemy laserem Er,Cr:YSGG (2780 nm, Waterlase MD, Biolase, USA), zastosowaliśmy środek wybielający w kolorze żółtym do wybielania w gabinecie o stężeniu nadtlenku wodoru 38% (Power whitening, WHITEsmile GmbH, Niemcy). Zastosowano 6-milimetrową końcówkę Z (MZ8) o średnicy 800 μm, na złotej rękojeści systemu laserowego. Parametry lasera były następujące: moc na wyjściu 1,25 W, czas trwania impulsu 700 µsec (tryb S), częstotliwość powtarzania impulsu 10 Hz.
Lekarz dentysta, asystentka oraz pacjentka ustalili wyjściowy kolor zębów. Wg klasycznego kolornika VITA był to kolor A3. Zarówno pacjent, jak i personel muszą stosować okulary ochronne podczas zabiegu. Na usta pacjentki nałożono krem ochrony i odizolowano pole zabiegowe za pomocą rozwieraka. Po osuszeniu zębów i dziąseł za pomocą delikatnego strumienia powietrza, nałożono płynny koferdam na zęby łuku górnego i dolnego oraz spolimeryzowano go ruchem okrężnym przez 40 s.
Nałożono 1-2 mm warstwę środka wybielającego na każdy ząb, pomijając okoronowany ząb 22. Po ustawieniu wymienionych parametrów rozpoczęto aktywację środka wybielającego w sekwencji 2 razy po 10 s na każdy ząb (Ryc. 13), trzymając końcówkę lasera w odległości 2,5 cm od zęba. Następnie, aktywowany środek wybielający pozostawiono na 15 min, po czym dokładnie usunięto go za pomocą ssaka o dużej mocy bez użycia wody. Procedurę tę wykonano ponownie na tej samej wizycie.
Łuki górny i dolny wybielono na oddzielnych wizytach. Wybielanie zębów łuku górnego wykonano na jednej wizycie wraz z gingiwektomią łuku dolnego, podkreślając tym samym korzyści wynikające z bezbolesnego i bezkrwawego zastosowania lasera. Nie wystąpiło podrażnienie tkanek, pacjentka nie skarżyła się na ból lub tkliwość. Ostateczny kolor ustalili dentysta, asysta oraz pacjentka. Powtórzenie procedury na jednej wizycie pozwoliło na uzyskanie koloru B1 wg klasycznego kolornika VITA (Ryc. 14). Pacjentka była zadowolona z koloru swoich zębów. Została umówiona na kolejną wizytę celem zamknięcia diastem.
_Zamknięcie diastem
Zamknięcie diastem zostało zaplanowane za kolejne 2 tygodnie w celu uzyskania wysokiej jakości wiązania kompozytu ze szkliwem (Ittipu-riphat i Leevailoj 2013).2 Przed odbudowaniem przeanalizowano modele diagnostyczne.
Wyliczono odpowiednie proporcje oraz porównano je z tzw. złotymi proporcjami, które jednocześnie określają szerokość siekaczy przyśrodkowych w porównaniu do bocznych lub szerokość siekaczy bocznych w stosunku do kłów (Ryc. 15). Daje to koncepcję idealnego umiejscowienia kompozytu w odniesieniu do jego położenia na powierzchniach proksymalnych 2 sąsiadujących zębów oraz pomaga ustalić, ile milimetrów żywicy kompozytowej należy położyć na mezjalną i dystalną powierzchnię, by zamknąć diastemy. Na etapie planowania uwzględniono niezgodność linii pośrodkowej twarzy z linią pośrodkową uzębienia (Ryc. 1).
Przed odbudowaniem estetycznym usunięto laserem Er,Cr:YSGG próchnicę z zęba 13 (2780 nm, woda – laser MD, Biolase, USA, Ryc. 16). Średnia moc na wyjściu wynosiła 6 W, czas trwania impulsu – 140 µsec (tryb H), a częstotliwość powtórzeń impulsu 15 Hz przy użyciu końcówki MZ6 ze sprayem wodnym (powietrze: 50 – woda: 80). Wszystkie krawędzie oraz szkliwo zostały wytrawione tym samym laserem (Ryc. 17). Ustawienia mocy dla wytworzenia wiązania były następujące: końcówka MZ6, średnia moc na wyjściu 4,5 W, częstotliwość powtórzeń impulsu 50 Hz, tryb H.
Odbudowę wykonano ręcznie po założeniu koferdamu. Szkliwo zostało dodatkowo wytrawione 37% kwasem fosforowym, a powierzchnia korony 9% kwasem fluorowodorowym (Ryc. 18). Dzięki temu wiązanie kompozytu ze szkliwem skorzysta zarówno na wytrawieniu laserowym, jak i wytrawieniu kwasem. Począwszy od siekaczy centralnych, diastemy zamknięto jednym odcieniem żywicy kompozytowej (odcień A3, Beautifil, SHOFU Inc), najpierw podniebiennie, następnie policzkowo. Zdecydowano, by zastosować jeden odcień kompozytu, ponieważ zęby wykazywały wysokie nasycenie koloru oraz brak widocznej przezierności czy wyróżniających cech.
Szczególną uwagę poświęcono krawędzi proksymalnej, by stworzyć wrażenie węższych koron. Mikrostrukturę dopracowano poprzez polerowanie wiertłami diamentowymi z drobnym i bardzo drobnym nasypem, zmniejszono chropowatość krążkami polerującymi, silikonowymi gumkami i szczoteczkami z pastą diamentową nadającą zębom ostateczny połysk. Mimo prośby pacjentki, nie było możliwości wyrównania krawędzi siecznych z powodu nieprawidłowości zgryzu. Ostatnie poprawki zostały wykonane podczas polerowania krzywizny proksymalnej oraz krawędzi siecznych, by uzyskać naturalny efekt.
Ostateczny efekt widoczny jest na rycinie 19 policzkowo oraz na rycinie 20 podniebiennie. Wykonano także zdjęcia odcinków bocznych (Ryc. 21 i 22). Należy zauważyć, że aby uzyskać najbardziej estetyczny efekt, diastemy między zębami 11 i 12 nie zostały całkowicie zamknięte (Ryc. 21). W przeciwnym razie uzyskalibyśmy bardzo szerokie siekacze centralne lub boczne, co zaburzyłoby estetykę ostatecznego efektu. Na tej samej wizycie wykonano wybielanie zębów w żuchwie wg tej samej procedury, co poprzednio. Po zakończeniu leczenia nałożono żel fluorowy na zdemineralizowane powierzchnie wokół zamków na powierzchniach policzkowych zębów 11, 12 i 21. Pacjentka pojawiła się na wizycie tydzień po zabiegu (Ryc. 23).
_Wyniki
Odbudowa estetyczna tego złożonego przypadku została w całości wykonana za pomocą lasera Er, Cr:YSGG. Leczenie laserem przeprowadzono w znieczuleniu miejscowym. Pacjentka nie zgłosiła nadwrażliwości na żadnym z etapów leczenia.
Podczas zabiegu gingiwektomii nie pojawiły się efekty uboczne ani uwagi ze strony pacjentki, za to proces gojenia przebiegł szybko. W związku z zamknięciem diastem postanowiono wykorzystać jeden odcień kompozytu, ponieważ zęby wykazywały wysokie nasycenie koloru oraz brak widocznej przezierności czy wyróżniających cech.
Nie zastosowano żadnego klucza silikonowego, odbudowa została wykonana ręcznie, po wstępnej ocenie przestrzeni międzyzębowych na modelu, korzystając z narzędzia do ustalania złotych proporcji. Ostatnie poprawki zostały wykonane podczas polerowania, by dać jak najbardziej naturalny efekt.
Jest więcej niż pewne, że zastosowanie systemu lasera Er,Cr:YSGG jako narzędzia wielofunkcjonalnego pozwala naukowo wyspecjalizowanym klinicystom podjąć się zdecydowanej większości zabiegów stomatologicznych. Łącząc estetykę tkanek miękkich i twardych, mogliśmy zaproponować pacjentce osiągnięcie pożądanej struktury dziąsła oraz proporcji zębów.
Piśmiennictwo dostępne u wydawcy.
embedImagecenter("Imagecenter_1_2284",2284, "large");
System Er,Cr:YSGG jest niewątpliwie bardzo pomocnym narzędziem w rękach wyszkolonego lekarza. Może być bezpiecznie stosowany zarówno do leczenia...
Wprowadzenie
Implantologia jest jedną z nowoczesnych metod zaopatrzenia protetycznego po częściowej utracie zębów naturalnych. Wraz z ...
Stałe uzupełnienia pełnoceramiczne zostały zaakceptowane przez lekarzy i pacjentów jako pełnoprawna opcja terapeutyczna w leczeniu ...
Solea jest pierwszym i jedynym laserem w stomatologii umożliwiającym optymalizację emitowania wiązki pod kontrolą komputera. Przed rozpoczęciem ...
Solea jest pierwszym i jedynym laserem w stomatologii umożliwiającym optymalizację emitowania wiązki pod kontrolą komputera. Przed rozpoczęciem ...
Chociaż dotychczasowe publikacje przedstawiają różne techniki chirurgiczne, żadna z nich nie opisywała alternatywnych strategii leczenia ...
Artykuł jest prezentacją przypadku, w którym szczególny nacisk położono na odbudowę objętości tkanek miękkich poprzez augmentację w ...
Artykuł jest prezentacją przypadku, w którym szczególny nacisk położono na odbudowę objętości tkanek miękkich poprzez augmentację w ...
Medycyna powszechnie korzysta z laserów już od lat 70. ubiegłego wieku. Zapewniane przez lasery unikalne warunki zabiegu i gojenia takie, jak: ...
Medycyna powszechnie korzysta z laserów już od lat 70. ubiegłego wieku. Zapewniane przez lasery unikalne warunki zabiegu i gojenia takie, jak: ...
Webinarium na żywo
śro. 8 kwietnia 2026
7:00 (CET) Warsaw
Webinarium na żywo
czw. 9 kwietnia 2026
7:00 (CET) Warsaw
Webinarium na żywo
czw. 9 kwietnia 2026
8:00 (CET) Warsaw
Prof. Moritz Kebschull, Cat Edney
Webinarium na żywo
pią. 10 kwietnia 2026
4:00 (CET) Warsaw
Webinarium na żywo
pią. 10 kwietnia 2026
5:00 (CET) Warsaw
Dr. med. dent. Henrik-Christian Carl Hollay
Webinarium na żywo
pią. 10 kwietnia 2026
6:00 (CET) Warsaw
Prof. Dr. Ali Murat Kökat
Webinarium na żywo
pią. 10 kwietnia 2026
6:00 (CET) Warsaw
To post a reply please login or register