Chociaż dotychczasowe publikacje przedstawiają różne techniki chirurgiczne, żadna z nich nie opisywała alternatywnych strategii leczenia endodotycznego autogennego przeszczepu zęba. Celem niniejszego doniesienia klinicznego jest przedstawienie długoterminowych endodontycznych wyników dla zdewitalizowanego autogennego przeszczepionego 3. trzonowca leczonego z zastosowaniem lasera Er,Cr:YSGG z końcówkami promieniście emitującymi energię (RFT).
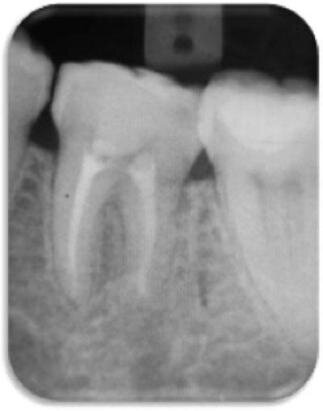
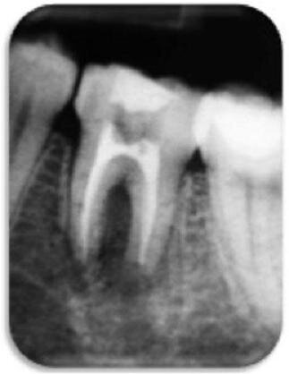
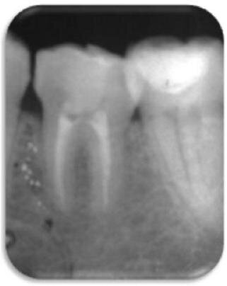
Autogenny przeszczep 3. trzonowców może stanowić doskonałą alternatywę dla odbudowy obszarów bezzębnych (Ryc. 1)1,2. Powszechnie twierdzi się, że leczenie kanałowe (RCT) autogennego przeszczepu zęba 36 powinno zostać przeprowadzone w czasie 14 dni przed rozpoczęciem poważnych reakcji zapalnych.7,8 W niniejszym opisie przypadku pacjent zgłosił się ponownie 6 miesięcy po zabiegu chirurgicznym z objawami zapalenia tkanek okołowierzchołkowych (AP) związanymi z przeszczepionym zębem (Ryc.2).
W przypadku RCT zarówno podchloryn sodu (NaOCl), jak i wodorotlenek wapnia (CH) można niewątpliwie uznać za najpowszechniej stosowane endodontyczne środki dezynfekcyjne, jednakże zakres ich klinicznej skuteczności pozostaje niejasny.9-13 Ponadto, dotychczas nie opracowano techniki pozwalającej całkowicie oczyścić system kanałów z warstwy mazistej (SL) i zanieczyszczeń,14-17 zaproponowano więc alternatywne strategie (np. ozon, ultradźwięki, laser) w celu pokonania tych ograniczeń.18-20
Każda długość fali promieniowania laserowego charakteryzuje się swoistym współczynnikiem absorpcji dla każdego składnika tkankowego.21 Zastosowanie w endodoncji lasera o długości fali 2780 nm (Er,Cr:YSGG) można pokrótce opisać jako:
- interakcję z roztworem wodnym powodującą efekty kawitacji, w przypadku których wykazano, że potrafią usuwać warstwę mazistą i zanieczyszczenia ze ścian kanału korzeniowego,22-24
- zdolność do propagacji do zębiny, przy osiągnięciu silnego działania bakteriobójczego, dogłębniejszego niż jakikolwiek roztwór endodontyczny.25,26
Dodatkowo, opracowanie końcówek promieniście emitujących energię (RTF) pozwoliło pokonać ograniczenia związane z końcówkami ze zwykłego włókna, zapewniając jednorodny rozkład energii wzdłuż ściany kanału korzeniowego.25,27-31
Pomimo kilku publikacji na temat badań in vitro, niewiele dowodów klinicznych faktycznie potwierdza potencjalne korzyści płynące ze stosowania końcówek RFT i lasera Er,Cr:YSGG w przypadku RCT.32,33 Ponieważ w kilku badaniach podawano inne strategie prowadzenia endodontycznej dezynfekcji autogennego przeszczepu zęba,34 niniejszy opis przypadku można uznać za użyteczne wsparcie nowszej koncepcji endodotycznej z zastosowaniem lasera.35 Celem jest przedstawienie wyników klinicznych wspomaganego laserowo leczenia RFT zdewitalizowanego autogennego przeszczepionego 3. trzonowca z powiązanym AP.
Opis przypadku
23-letni mężczyzna zgłosił się z bezobjawową zmianą próchniczą w zębie 36, która klinicznie i radiologicznie została rozpoznana jako martwica miazgi z rozległym AP (Ryc. 1). W wywiadzie pacjent nieobciążony. Jako preferowaną metodę leczenia wybrano przeszczep autogenny.
Ekstrakcję zęba 36 przeprowadzono w znieczuleniu miejscowym ze starannym zachowaniem otaczających struktur zębodołu. Przegrodę międzyzębodołową opracowano kleszczami do cięcia kości, a kieszonkę przepłukano solą fizjologiczną. Przeprowadzono ekstrakcję 3. trzonowca (38) i przechowywano zgodnie z metodą podaną przez Raghoebar et al.36 Po przeszczepie do kieszonki 36 założono szwy na brodawki dziąsłowe (4/0 supramid, B. Braun), przechodzące nad koroną w celu unieruchomienia zęba.
Pacjent zgłosił się ponownie dopiero po 6 miesiącach z objawami dyskomfortu podczas żucia, tkliwości opukowej, przejściowej opuchlizny oraz negatywnej reakcji na testy termiczne. Przeprowadzone badania radiograficzne potwierdziły wstępną diagnozę AP (Ryc. 2).
Uzyskano zgodę komisji etycznej na endodontyczny protokół kliniczny (N_682/068) oraz wymaganą zgodę (deklaracja helsińska znowelizowana w Edynburgu, 2000).
W znieczuleniu miejscowym (2% lidokaina z 1:100.000 epinefryną, Scandonest, Francja) oraz po wyizolowaniu pola kauczukowym koferdamem (Hygenic Coltene/Whaledent) opracowano otwór dojścia (Zekrya, Dentsply).
Długość roboczą (WL) określono elektronicznie (ProPex II, Dentsply) jako 1 mm krótszą od biologicznego wierzchołka korzenia. Drożność potwierdzono pilnikiem K ISO nr 10 i opracowano kanał z zastosowaniem sekwencji Protaper (Maillefer) aż do wprowadzenia pilników F3 (nr 30.09) i F4 (nr 40.06) do – odpowiednio – kanałów mezjalnych i dystalnych. Po zastosowaniu każdego pilnika przeprowadzono irygację 3 ml soli fizjologicznej (Monoject 27G, Kendall-Covidien). Nie stosowano żadnych środków chemicznych do płukania ani leków do przyjmowania pomiędzy wizytami.
Po opracowaniu przeprowadzono usuwanie warstwy mazistej i dezynfekcję systemu kanałów korzeniowych laserem Er,Cr:YSGG z końcówkami RFT.32,33 Naświetlanie laserem prowadzono z użyciem końcówki 200 μm (RFT2, Biolase; współczynnik kalibracji 0,55) o ustawieniach na panelu: 0,75 W (energia impulsu 37,5 mJ), częstotliwości impulsów 20 Hz, czasie trwania impulsu 140 μs, 0% wody i 0% powietrza. Końcówkę umieszczono na głębokości 1 mm przed końcem WL i przeprowadzono napromieniowanie z prędkością ok. 2 mm·s-1, cofając się w kierunku korony (Ryc. 3). Procedurę napromieniowania powtarzano 4 razy: 2 razy z kanałem wypełnionym wodą destylowaną, a następnie 2 razy w warunkach suchych, z 15-sekundową przerwą pomiędzy poszczególnymi naświetleniami. Otwór dostępowy pozostawiono wypełniony sterylnym wacikiem i zamknięto opatrunkiem tymczasowym (IRM, Dentsply).
Podczas drugiej wizyty (po 1 tygodniu) pacjent nie zgłaszał bólu, tkliwości opukowej lub opuchlizny. Po wyizolowaniu pola koferdamem kauczukowym kanały ponownie wypełniono wodą destylowaną i przeprowadzono napromieniowanie laserowe z użyciem końcówki 320 μm (RFT3, Biolase, USA; współczynnik kalibracji 0,85) o ustawieniach na panelu: 1,25 W (energia impulsu 62,5 mJ), częstotliwość impulsu 20 Hz, czas trwania impulsu 140 μs oraz 0% wody i powietrza. Cykle naświetlania i powtórzenia były identyczne, jak podczas pierwszej wizyty.
Wykonano końcowe płukanie solą fizjologiczną (3,0 ml), kanał osuszono sterylnymi sączkami, sprawdzanymi na obecność wysięku. Kanały wypełniono ćwiekami gutaperkowymi (2 x F3 i 1 x F4), stosując technikę autodopasowania, pionowego ubicia i uszczelniacz na bazie żywicy epoksydowej (TopSeal, Dentsply), (Ryc. 4 i 5).
Kontrolę radiograficzną oraz weryfikację kliniczną przeprowadzono po 6 miesiącach (Ryc. 6), 1 roku (Ryc. 7), 2 latach (Ryc. 8) i 3 latach (Ryc. 9 i 10). W okresie prowadzonej obserwacji ząb pozostał całkowicie bezobjawowy, zaobserwowano jednocześnie gojenie tkanek okołowierzchołkowych.
Dyskusja
Dane uzyskane metodami radiograficznymi pozwalają na jedynie umiarkowane rozpoznanie, pozwalające odróżnić AP od torbieli korzeniowej.37,38 W opisanym przypadku stan kliniczny zęba 36 uzasadniał ekstrakcję wraz z usunięciem zawartości zmiany (Ryc. 1). Uwzględniając fakt, że przeszczep zęba uznaje się za przewidywalną opcję leczenia, tzw. ząb mądrości często jest najlepszą opcją dawcy.2,39 Niniejszy opis przypadku może stanowić potwierdzenie tej tezy, wraz z uzasadnieniem zabiegu chirurgicznego przeprowadzanego podczas jednej wizyty39,40 oraz istotności leczenia endodotycznego dla pozytywnego rokowania.6,41
W przypadku zębów o w pełni uformowanych kanałach małe rozmiary otworu wierzchołkowego mogą odgrywać rolę w opóźnianiu zanieczyszczenia bakteryjnego podczas procedury chirurgicznej.42 Niemniej jednak, w celu zapobiegania martwicy miazgi i reakcji zapalnej zalecane jest RCT przeszczepionych dorosłych zębów w czasie 7-14 dni po zabiegu chirurgicznym lub jak najszybciej po odtworzeniu więzadła ozębnowego (PDL).3,6
Jak potwierdza niniejszy opis przypadku, 6 miesięcy po przeszczepie widoczna była poważna reakcja zapalna – czas ten przekraczał wszystkie zalecenia dotyczące okresu na przeprowadzenie RCT.4 Może to również podkreślać znaczenie przestrzegania przez pacjenta ustalonego wcześniej protokołu.6
Do często podawanych następstw przeszczepu zębów zalicza się ankylozę i resorpcję korzeni.43,44 W opisywanym przypadku klinicznym resorpcję wierzchołkową korzenia dystalnego można powiązać z przerwaniem unaczynienia oraz przewlekłym stanem AP (Ryc. 5).3,8,45
Pomimo opublikowanych doniesień na temat różnych technik chirurgicznych, nadal brak jest wytycznych dotyczących postępowania endodotycznego (tj. dezynfekcji) w przypadku przeszczepionych zębów stałych. Niniejsze doniesienie może być zatem szczególnie istotne, przedstawiając odpowiednio nową technikę dezynfekcji i jej efekt kliniczny.35,46 Protokół dezynfekcji laserowej przyjęto na podstawie założenia, że:
- 3. trzonowiec często charakteryzuje się złożoną anatomią kanałów korzeniowych, która uniemożliwia efektywną penetrację przez środki płuczące,
- resorpcję wierzchołkową korzenia dystalnego można postrzegać jako czynnik predysponujący do powikłań jatrogennych.47
Wysoki współczynnik absorpcji fali o długości 2780 nm w wodzie oraz w hydroksyapatycie uzasadnia dobór tej długości fali zarówno do usuwania warstwy mazistej, jak i do dezynfekcji.48 Wiadomo, że interakcja pomiędzy tą długością fali promieniowania laserowego a roztworami wodnymi indukuje pierwotne i wtórne efekty kawitacji, które są w stanie usunąć zanieczyszczenia i warstwę mazistą z systemu kanałów korzeniowych.22,49 Wszystkie wcześniejsze badania pokazały, że stosowanie lasera Er,Cr:YSGG może być skuteczniejsze niż płukanie EDTA lub bierne płukanie ultradźwiękowe, jednocześnie minimalizując ryzyko ekstruzji przez środek płuczący.27,49-52 Jednakże w celu wykazania jego maksymalnych zdolności bakteriobójczych napromieniowanie laserem Er,Cr:YSGG powinno być prowadzone w warunkach suchych, umożliwiając przesyłanie promieniowania przez kanaliki zębinowe25 i natychmiastową interakcję z wodą w błonach komórkowych bakterii, jak również z wodą uwięzioną w biofilmach endodontycznych.53
Badania in vitro często dostarczają mylących dowodów dotyczących ustawień lasera, a ze względu na wymaganie standaryzacji nie uwzględniają istotnych czynników klinicznych. Podstawę ustawień lasera zastosowanych w niniejszym przypadku klinicznym stanowiły zatem ustawienia podane w przeprowadzonym wcześniej badaniu klinicznym.31.33 Protokół obejmował 2 cykle napromieniowania z wodą destylowaną wprowadzoną do głównego kanału w celu usunięcia zanieczyszczeń i warstwy mazistej, po których przeprowadzano 2 naświetlania – w warunkach suchych – w celu uzyskania większej głębokości dezynfekcji.
Niniejszy protokół odbiega od podanego przez Christo i wsp., którzy próbowali zastosować laser Er,Cr:YSGG do aktywacji NaOCl, ale nie stwierdzili żadnej poprawy mikrobiologicznej.54 Ponadto wiadomo, że aktywacja chemicznych środków płuczących laserami erbowymi o stosunkowych wysokiej mocy wyjściowej może ostatecznie indukować ich wierzchołkową ekstruzję.55
Niezależnie od długości fali, od wielu lat nieosłonięte włókna laserowe wykorzystuje się do celów endodontycznych. Włókna te należy wsuwać do głównego kanału i wyjmować ruchem obrotowym, w kierunku od wierzchołków w stronę korony, w celu pokonania ich stosunkowo małej dywergencji wiązki.56
Pomimo względnego powodzenia wiadomo, że technika ta jest uzależniona od operatora i daje nieciągłe wyniki.48,57,58 Sytuacja w przypadku końcówek RTF jest odmienna, gdyż mogą one rozprowadzać energię lasera w kierunku kanalików zębinowych i wykazano, że zwiększają one efekt kawitacji w kierunku ścian kanałów korzeniowych bez stwarzania zagrożenia dla tkanek okołowierzchołkowych.25,27 Ponadto wykazano, że powodowany przez nie przyrost temperatury jest bezpieczniejszy, przy całkowitej nieobecności molekularnych zmian w zębinie28-31 oraz wysoce efektywnie rozbija biofilm.53,59 Końcówki RFT mogą również wykazywać potencjał pokonywania efektu korka powietrznego, umożliwiając bezpieczne dotarcie roztworu płuczącego do wierzchołka.60
Chociaż nie przeprowadzono oceny z zastosowaniem tomografii wiązki stożkowej (CBCT) w ramach dalszego potwierdzania wyników podanych w niniejszym doniesieniu,61 kwestią wątpliwą pozostaje zagadnienie, czy takie techniki trójwymiarowe nie powodują przeszacowania obrazów z regionów okołowierzchołkowych, a nawet, czy są one w stanie zidentyfikować różne formy zmian tkankowych w kościach okołowierzchołkowych.62
Niniejsze obserwacje kliniczne są spójne z większością badań in vitro, które wykazują zdolność lasera Er,Cr:YSGG do usuwania warstwy mazistej oraz zapewnienia dezynfekcji o równomiernej głębokości w całym systemie kanałów korzeniowych.25,31,50 Niniejsze doniesienie może również stanowić potwierdzenie efektywności, bezpieczeństwa i wyników klinicznych podawanych dla zębów o pojedynczym korzeniu.33
Wnioski
Po 3 latach obserwacji, pomimo ograniczeń charakterystycznych dla opisu jednego przypadku, nasze obserwacje mogą służyć za potwierdzenie, że końcówki RFT można uwzględniać w leczeniu endodontycznym zębów wielokorzeniowych związanych z autogennym przeszczepem zębów. Należy przeprowadzać dalsze randomizowane badania kliniczne w celu jasnego wykazania efektywności tej metody.
Autorzy dziękują AAALZ – Laserowemu Centrum Stomatologicznemu Aachen (Niemcy) za wsparcie i pomoc. Autorzy oświadczają, że nie wystąpiły żadne konkurencyjne interesy finansowe.
Autorzy:
Miguel Rodrigues Martins, Irene Pina-Vaz, Manuel Fontes Carvalho
Wydział Endodoncji Faculdade de Medicina Denta’ria, Universidade do Porto, Porto, Portugalia.
Rita C. Lima
Wydział Chirurgii Jamy Ustnej Faculdade de Medicina Denta’ria, Universidade do Porto, Porto, Portugalia
Norbert Gutknecht
Wydział Stomatologii Zachowawczej, RWTH Uniwersytet w Aachen, Aachen, Niemcy
Kontakt:
Miguel Rodrigues Martins
Departamento de Endodontia Faculdade de Medicina Dentaria
Universidade do Porto
- Dr. Manuel Pereira da Silva
Porto 4200-393, Portugalia
E-mail: miguel.ar.martins@gmail.com
Piśmiennictwo:
- Jang JH, Lee SJ, Kim E. Autotransplantation of immature third molars using a computer-aided rapid prototyping model: a report of 4 cases. J Endod 2013;39:1461-1466.
- Tsukiboshi M. Autotransplantation of teeth: requirements for predictable success. Dent Traumatol 2002;18:157-180.
- Marques-Ferreira M, Rabaca-Botelho MF, Carvalho L, Oliveiros B, Palmeirao-Carrilho EV. Autogenous tooth transplantation: evaluation of pulp tissue regeneration. Med Oral Patol Oral Cir Bucal 2011;16:e984-e989.
- Azevedo PC, Moura CC, Zanetta-Barbosa D, Bernadineli. Time of endodontic treatment in autogenic transplants of mature teeth: histological study in dogs. Oral Surg Oral Med Oral Pathol Oral Radiol Endod 2007;104:287-293.
- Kim E, Jung JY, Cha IH, Kum KY, Lee SJ. Evaluation of the prognosis and causes of failure in 182 cases of autogenous tooth transplantation. Oral Surg Oral Med Oral Pathol Oral Radiol Endod 2005;100:112-119.
- Czochrowska EM, Stenvik A, Bjercke B, Zachrisson BU. Outcome of tooth transplantation: survival and success rates 17-41 years posttreatment. Am J Orthod Dentofacial Orthop 2002;121:110-119; quiz 193.
- Andreasen JO, Paulsen HU, Yu Z, Bayer T. A long-term study of 370 autotransplanted premolars. Part IV. Root development subsequent to transplantation. Eur J Orthod 1990;12:38-50.
- Pohl Y, Filippi A, Kirschner H. Results after replantation of avulsed permanent teeth. I. Endodontic considerations. Dent Traumatol 2005;21:80-92.
- Bystrom A, Sundqvist G. The antibacterial action of sodium hypochlorite and EDTA in 60 cases of endodontic therapy. Int Endod J 1985;18:35-40.
- Orstavik D, Haapasalo M. Disinfection by endodontic irrigants and dressings of experimentally infected dentinal tubules. Endod Dent Traumatol 1990;6:142-149.
- Stojicic S, Zivkovic S, Qian W, Zhang H, Haapasalo M. Tissue dissolution by sodium hypochlorite: effect of concentration, temperature, agitation, and surfactant. J Endod 2010;36:1558-1562.
- Dahlen G, Samuelsson W, Molander A, Reit C. Identification and antimicrobial susceptibility of enterococci isolated from the root canal. Oral Microbiol Immunol 2000; 15:309-312.
- Paredes-Vieyra J, Enriquez FJ. Success rate of singleversus two-visit root canal treatment of teeth with apical periodontitis: a randomized controlled trial. J Endod 2012; 38:1164-1169.
- The second brighton life table. Br Med J 1903;2:1223-1224.
- Violich DR, Chandler NP. The smear layer in endodontics – a review. Int Endod J 2010;43:2-15.
- Fogel HM, Pashley DH. Dentin permeability: effects of endodontic procedures on root slabs. J Endod 1990;16:442-445.
- Shahravan A, Haghdoost AA, Adl A, Rahimi H, Shadifar F. Effect of smear layer on sealing ability of canal obturation: a systematic review and meta-analysis. J Endod 2007;33: 96-105.
- Estrela C, Estrela CR, Decurcio DA, Hollanda AC, Silva JA. Antimicrobial efficacy of ozonated water, gaseous ozone, sodium hypochlorite and chlorhexidine in infected human root canals. Int Endod J 2007;40:85-93.
- Ahmad M, Pitt Ford TR, Crum LA, Walton AJ. Ultrasonic debridement of root canals: acoustic cavitation and its relevance. J Endod 1988;14:486-493.
- Gutknecht N, van Gogswaardt D, Conrads G, Apel C, Schubert C, Lampert F. Diode laser radiation and its bactericidal effect in root canal wall dentin. J Clin Laser Med Surg 2000;18:57-60.
- Cercadillo-Ibarguren I, Espana-Tost A, Arnabat-Dominguez J, Valmaseda-Castellon E, Berini-Aytes L, Gay-Escoda C. Histologic evaluation of thermal damage produced on soft tissues by CO2, Er,Cr:YSGG and diode lasers. Med Oral Patol Oral Cir Bucal 2010;15:e912-e918.
- De Moor RJ, Blanken J, Meire M, Verdaasdonk R. Laser induced explosive vapor and cavitation resulting in effective irrigation of the root canal. Part 2: evaluation of the efficacy. Lasers Surg Med 2009;41:520-523.
- Matsumoto H, Yoshimine Y, Akamine A. Visualization of irrigant flow and cavitation induced by Er:YAG laser within a root canal model. J Endod 2011;37:839-843.
- Keles A, Arslan H, Kamalak A, Akcay M, Sousa-Neto MD, Versiani MA. Removal of filling materials from ovalshaped canals using laser irradiation: a micro-computed tomographic study. J Endod 2015;41:219-224.
- Franzen R, Esteves-Oliveira M, Meister J, et al. Decontamination of deep dentin by means of erbium, chromium:yttrium-scandium-gallium-garnet laser irradiation. Lasers Med Sci 2009;24:75-80.
- Lopez-Jimenez L, Arnabat-Dominguez J, Vinas M, Vinuesa T. Atomic force microscopy visualization of injuries in Enterococcus faecalis surface caused by Er,Cr:YSGG and diode lasers. Med Oral Patol Oral Cir Bucal 2015;20:e45-e51.
- Peeters HH, Mooduto L. Radiographic examination of apical extrusion of root canal irrigants during cavitation induced by Er,Cr:YSGG laser irradiation: an in vivo study. Clin Oral Investig 2013;17:2105-2112.
- Ishizaki NT, Matsumoto K, Kimura Y, et al. Thermo- graphical and morphological studies of Er,Cr:YSGG laser irradiation on root canal walls. Photomed Laser Surg 2004; 22:291-297.
- Altundasar E, Ozcelik B, Cehreli ZC, Matsumoto K. Ul- tramorphological and histochemical changes after Er,Cr:YSGG laser irradiation and two different irrigation regimes. J Endod 2006;32:465-468.
- Schoop U, Goharkhay K, Klimscha J, et al. The use of the erbium, chromium:yttrium-scandium-gallium-garnet laser in endodontic treatment: the results of an in vitro study. J Am Dent Assoc 2007;138:949-955.
- Gordon W, Atabakhsh VA, Meza F, et al. The antimicrobial efficacy of the erbium, chromium:yttrium-scandium-gallium-garnet laser with radial emitting tips on root canal dentin walls infected with Enterococcus faecalis. J Am Dent Assoc 2007;138:992-1002.
- Martins MR, Carvalho MF, Vaz IP, Capelas JA, Martins MA, Gutknecht N. Efficacy of Er,Cr:YSGG laser with endodontical radial firing tips on the outcome of endodontic treatment: blind randomized controlled clinical trial with six-month evaluation. Lasers Med Sci 2013;28:1049-1055.
- Martins MR, Carvalho MF, Pina-Vaz I, Capelas JA, Martins MA, Gutknecht N. Outcome of Er,Cr:YSGG laser-assisted treatment of teeth with apical periodontitis: a blind randomized clinical trial. Photomed Laser Surg 2014;32: 3-9.
- Candeiro GT, Alencar-Junior EA, Scarparo HC, Furtado Junior JH, Gavini G, Caldeira CL. Eight-year follow-up of autogenous tooth transplantation involving multidisciplinary treatment. J Oral Sci 2015;57:273-276.
- Gagnier JJ, Kienle G, Altman DG, et al. The CARE guidelines: consensus based clinical case reporting guideline development. BMJ Case Rep 2013;2013:bcr2013201554.
- Raghoebar GM, Vissink A. Results of intentional replantation of molars. J Oral Maxillofac Surg 1999;57:240-244.
- White SC, Sapp JP, Seto BG, Mankovich NJ. Absence of radiometric differentiation between periapical cysts and granulomas. Oral Surg Oral Med Oral Pathol 1994;78: 650-654.
- Guo J, Simon JH, Sedghizadeh P, Soliman ON, Chapman T, Enciso R. Evaluation of the reliability and accuracy of using cone beam computed tomography for diagnosing periapical cysts from granulomas. J Endod 2013;39:1485-1490.
- Nimcenko T, Omerca G, Varinauskas V, Bramanti E, Signorino F, Cicciu M. Tooth autotransplantation as an alternative treatment option: a literature review. Dent Res J 2013;10:1-6.
- Sartaj R, Sharpe P. Biological tooth replacement. J Anat. 2006;209:503-509.
- Lundberg T, Isaksson S. A clinical follow-up study of 278 autotransplanted teeth. Br J Oral Maxillofac Surg 1996;34: 181-185.
- Andreasen JO, Paulsen HU, Yu Z, Bayer T, Schwartz O. A long-term study of 370 autotransplanted premolars. Part II. Tooth survival and pulp healing subsequent to transplantation. Eur J Orthod 1990;12:14-24.
- Scheller EL, Krebsbach PH, Kohn DH. Tissue engineering: state of the art in oral rehabilitation. J Oral Rehabil 2009; 36:368-389.
- Gault PC, Warocquier-Clerout R. Tooth autotransplantation with double periodontal ligament stimulation to replace periodontally compromised teeth. J Periodontol 2002;73: 575-583.
- Bauss O, Schilke R, Fenske C, Engelke W, Kiliaridis S. Autotransplantation of immature third molars: influence of different splinting methods and fixation periods. Dent Traumatol 2002;18:322-328.
- Fedorowicz Z, Nasser M, Sequeira-Byron P, de Souza RF, Carter B, Heft M. Irrigants for nonsurgical root canal treatment in mature permanent teeth. Cochrane Database Syst Rev. 2012;9:CD008948.
- Kleier DJ, Averbach RE, Mehdipour O. The sodium hypochlorite accident: experience of diplomates of the American Board of Endodontics. J Endod 2008;34:1346-1350.
- Minas NH, Gutknecht N, Lampert F. In vitro investigation of intra-canal dentine-laser beam interaction aspects: II. Evaluation of ablation zone extent and morphology. Lasers Med Sci 2010;25:867-872.
- Blanken J, De Moor RJ, Meire M, Verdaasdonk R. Laser induced explosive vapor and cavitation resulting in effective irrigation of the root canal. Part 1: a visualization study. Lasers Surg Med 2009;41:514-519.
- De Moor RJ, Meire M, Goharkhay K, Moritz A, Vanobbergen J. Efficacy of ultrasonic versus laser-activated irrigation to remove artificially placed dentin debris plugs. J Endod 2010;36:1580-1583.
- George R, Meyers IA, Walsh LJ. Laser activation of endodontic irrigants with improved conical laser fiber tips for removing smear layer in the apical third of the root canal. J Endod 2008;34:1524-1527.
- George R, Walsh LJ. Thermal effects from modified endodontic laser tips used in the apical third of root canals with erbium-doped yttrium aluminium garnet and erbium, chromium-doped yttrium scandium gallium garnet lasers. Photomed Laser Surg 2010;28:161-165.
- BagoJuric I, Plecko V, Anic I. Antimicrobial efficacy of Er,Cr:YSGG laser-activated irrigation compared with pas- sive ultrasonic irrigation and RinsEndo((R)) against intracanal Enterococcus faecalis. Photomed Laser Surg 2014; 32:600-605.
- Christo JE, Zilm PS, Sullivan T, Cathro PR. Efficacy of low concentrations of sodium hypochlorite and low-powered Er,Cr:YSGG laser activated irrigation against an Enterococcus faecalis biofilm. Int Endod J 2016;49:279-286.
- Peeters HH, De Moor RJ. Measurement of pressure chan- ges during laser-activated irrigant by an erbium, chromium: yttrium, scandium, gallium, garnet laser. Lasers Med Sci 2015;30:1449-1455.
- Mohammadi Z. Laser applications in endodontics: an update review. Int Dent J 2009;59:35-46.
- Strakas D, Franzen R, Kallis A, Vanweersch L, Gutknecht N A comparative study of temperature elevation on human teeth root surfaces during Nd:YAG laser irradiation in root canals. Lasers Med Sci 2013;28:1441-1444.
- Zhu L, Tolba M, Arola D, Salloum M, Meza F. Evaluation of effectiveness of Er,Cr:YSGG laser for root canal disinfection: theoretical simulation of temperature elevations in root dentin. J Biomech Eng 2009;131:071004.
- Licata ME, Albanese A, Campisi G, Geraci DM, Russo R, Gallina G. Effectiveness of a new method of disinfecting the root canal, using Er, Cr:YSGG laser to kill Enterococcus faecalis in an infected tooth model. Lasers Med Sci 2015;30:707-712.
- Peeters HH, De Moor RJ, Suharto D. Visualization of removal of trapped air from the apical region in simulated root canals by laser-activated irrigation using an Er,Cr:YSGG laser. Lasers Med Sci 2015;30:1683-1688.
- Patel S, Wilson R, Dawood A, Foschi F, Mannocci F. The detection of periapical pathosis using digital periapical radiography and cone beam computed tomography – part 2: a 1-year post-treatment follow up. Int Endod J 2012;45: 711-723.
- Petersson A, Axelsson S, Davidson T, et al. Radiological diagnosis of periapical bone tissue lesions in endodontics: a systematic review. Int Endod J 2012;45:783-801.
W 1982 r. Mulliken i Glowacki wprowadzili prostą klasyfikację, która opiera się na klinicznych, histochemicznych i komórkowych kryteriach w...
W 1982 r. Mulliken i Glowacki wprowadzili prostą klasyfikację, która opiera się na klinicznych, histochemicznych i komórkowych kryteriach w...
System Er,Cr:YSGG jest niewątpliwie bardzo pomocnym narzędziem w rękach wyszkolonego lekarza. Może być bezpiecznie stosowany zarówno do leczenia...
System Er,Cr:YSGG jest niewątpliwie bardzo pomocnym narzędziem w rękach wyszkolonego lekarza. Może być bezpiecznie stosowany zarówno do leczenia...
Zapalenie przyzębia prowadzi zwykle do destrukcji tkanek otaczających ząb. W praktyce stomatologicznej zastosowanie technik laserowych zyskuje na ...
Zapalenie przyzębia prowadzi zwykle do destrukcji tkanek otaczających ząb. W praktyce stomatologicznej zastosowanie technik laserowych zyskuje na ...
Zapalenie przyzębia oznacza zniszczenie więzadła ozębnowego oraz podparcia kostnego na skutek działania stanu zapalnego. Przebieg tej choroby ...
Zapalenie przyzębia oznacza zniszczenie więzadła ozębnowego oraz podparcia kostnego na skutek działania stanu zapalnego. Przebieg tej choroby ...
Lasery dużej mocy, w tym laser CO2, znajdują coraz szersze zastosowanie w stomatologii, w tym w chirurgii stomatologicznej.1 Ze względu na wysokie ...
Lasery dużej mocy, w tym laser CO2, znajdują coraz szersze zastosowanie w stomatologii, w tym w chirurgii stomatologicznej.1 Ze względu na wysokie ...
Webinarium na żywo
czw. 30 kwietnia 2026
1:00 (CET) Warsaw
Dr. Renato Leonardo D.M.D.
Webinarium na żywo
czw. 30 kwietnia 2026
7:00 (CET) Warsaw
Webinarium na żywo
nie. 3 maja 2026
6:00 (CET) Warsaw
Dr. Rickard Brånemark MSc, MD, PhD, Dr. Robert Gottlander DDS
Webinarium na żywo
pon. 4 maja 2026
2:00 (CET) Warsaw
Webinarium na żywo
wto. 5 maja 2026
4:00 (CET) Warsaw
Webinarium na żywo
wto. 5 maja 2026
6:00 (CET) Warsaw
Webinarium na żywo
wto. 5 maja 2026
7:00 (CET) Warsaw
Dr. Maximilian Dobbertin M.Sc
To post a reply please login or register