Zapalenie przyzębia prowadzi zwykle do destrukcji tkanek otaczających ząb. W praktyce stomatologicznej zastosowanie technik laserowych zyskuje na popularności, często oferując lepsze rezultaty leczenia niż metody konwencjonalne. Przez lata w literaturze naukowej poddawano w wątpliwość zastosowanie lasera jako niezbędnego narzędzia. Dziś, w dobie dobrze udokumentowanej wiadomo, że laser ma niepodważalne zastosowanie w periodontologii.
Zastosowanie laserów wysokoenergetycznych w procedurach periodontologicznych jako terapia uzupełniająca lub alternatywna dla procedur standardowych, na dobre zagościło w standardach leczenia kieszeni przyzębnych. Ich skuteczność w eliminowaniu periopatogenów i spłyceniu kieszeni jest szeroko udokumentowana. Laser Er:YAG o długości fali 2940 nm wykorzystywany jest do usuwania kamienia poddziąsłowego, dekontaminacji, odkażania i opracowywania tkanek miękkich. W połączeniu z laserem Nd:YAG o długości fali 1064 nm daje wzmocniony efekt odkażania kieszeni (sterylizacja) i redukcji patogennych bakterii we florze kieszeni przyzębnej.
Opis przypadku
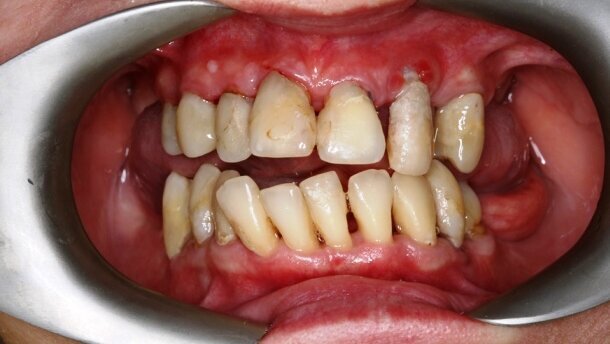
Przedstawiono obraz kliniczny wyjściowy 47-letniej pacjentki ze zdiagnozowaną zaawansowaną uogólnioną chorobą przyzębia, licznymi brakami zębowymi, brakiem protetycznego uzupełnienia zębów bocznych, zmianami okołowierzchołkowymi, niepełnym leczeniem endodontycznym. Pacjentka wymagająca kompleksowego leczenia stomatologicznego. Aby stworzyć wyjściowy plan leczenia, konieczne jest wdrożenie leczenia wstępnego (faza higienizacyjna), aby sprawdzić motywację pacjentki do dalszego leczenia wysokospecjalistycznego i ocenić rokowanie zębów.
Szczegółowe badanie kliniczne powinno zawierać m.in. dane z sondowania kieszeni przyzębnych (PD, periodontal depth), badanie wskaźnika krwawienia przy sondowaniu (BoP, Bleeding on Probing) oraz wskaźnika ilości płytki i kamienia nazębnego (PlI, Plaque Index). W przypadku znacznego zaawansowania choroby, dużej ruchomości zębów, licznych brakach zębowych, warto również wykonać test molekularno-biologiczny określający ilościowo i jakościowo skład periopatogenów.
Po higienizacji stan kliniczny pacjentki poprawił się. Wykonano kontrolne badania obrazujące zaawansowanie choroby przyzębia.
Następnie zastosowano laser Nd:YAG do sterylizacji kieszeni przyzębnych, dekontaminacji (Ryc. 3-7) i laser Er:YAG do usunięcia kamienia poddziąsłowego (Ryc. 8-12) oraz ponownie laser Nd:YAG do stabilizacji skrzepu (Ryc. 13 i 14). Na rycinie 15 przedstawiono stan bezpośrednio po zabiegu usunięcia kamienia poddziąsłowego laserem Er:YAG wraz ze sterylizacją kieszeni przyzębnych laserem Nd:YAG (LightWalker, Fotona).
Podsumowanie:
Laser Er: i Nd:YAG są obecnie narzędziem z wyboru w specjalistycznej terapii chorób przyzębia. Skutecznie redukują krwawienie (BoP) oraz głębokość kieszeni (Pd) w relatywnie krótszym czasie w porównaniu do konwencjonalnych metod leczenia. Inną zaletą jest większy dostęp światła lasera niż w przypadku narzędzi ręcznych, szczególnie w miejscach trudnodostępnych, jak np. głębokie wąskie kieszenie, furkacje czy bruzdy.
Lasery poszerzają zakres oferowanych zabiegów w gabinecie, zwracając szczególną uwagę na większą precyzję, delikatność, a tym samym małoinwazyjność zabiegów i lepsze gojenie. Wprowadzenie metod laserowych do praktyki zmusza nas do dalszej nauki, podnoszenia kwalifikacji zawodowych i większej specjalizacji w danej dziedzinie. To z kolei poszerza spojrzenie kliniczne i rozszerza wachlarz niechirurgicznego leczenia choroby przyzębia.
embedImagecenter("Imagecenter_1_2249",2249, "large");
Autorka:
Dr. n med. Kinga Grzech-Leśniak
– specjalista periodontolog
Prezydent Polskiego Towarzystwa Laserowego, PTSL
ul. Poznańska 8, 30-012 Kraków
Kontakt:
E-mail:ptsl@laser.org.pl; kgl@periocare.pl
Zapalenie przyzębia prowadzi zwykle do destrukcji tkanek otaczających ząb. W praktyce stomatologicznej zastosowanie technik laserowych zyskuje na ...
Zapalenie przyzębia oznacza zniszczenie więzadła ozębnowego oraz podparcia kostnego na skutek działania stanu zapalnego. Przebieg tej choroby ...
Zapalenie przyzębia oznacza zniszczenie więzadła ozębnowego oraz podparcia kostnego na skutek działania stanu zapalnego. Przebieg tej choroby ...
Od ponad roku używam laser LightWalker z dużym powodzeniem i satysfakcją swoją jako lekarza i zadowoleniem pacjentów, gdyż procedury leczenia ...
Od ponad roku używam laser LightWalker z dużym powodzeniem i satysfakcją swoją jako lekarza i zadowoleniem pacjentów, gdyż procedury leczenia ...
Lasery dużej mocy, w tym laser CO2, znajdują coraz szersze zastosowanie w stomatologii, w tym w chirurgii stomatologicznej.1 Ze względu na wysokie ...
Lasery dużej mocy, w tym laser CO2, znajdują coraz szersze zastosowanie w stomatologii, w tym w chirurgii stomatologicznej.1 Ze względu na wysokie ...
Higiena przyzębia jest integralną częścią skutecznej terapii periodontologicznej (Axelsson & Lindhe, 1981). Jej celem jest ustabilizowanie ...
W 1982 r. Mulliken i Glowacki wprowadzili prostą klasyfikację, która opiera się na klinicznych, histochemicznych i komórkowych kryteriach w...
W 1982 r. Mulliken i Glowacki wprowadzili prostą klasyfikację, która opiera się na klinicznych, histochemicznych i komórkowych kryteriach w...
Webinarium na żywo
czw. 30 kwietnia 2026
1:00 (CET) Warsaw
Dr. Renato Leonardo D.M.D.
Webinarium na żywo
czw. 30 kwietnia 2026
7:00 (CET) Warsaw
Webinarium na żywo
nie. 3 maja 2026
6:00 (CET) Warsaw
Dr. Rickard Brånemark MSc, MD, PhD, Dr. Robert Gottlander DDS
Webinarium na żywo
pon. 4 maja 2026
2:00 (CET) Warsaw
Webinarium na żywo
wto. 5 maja 2026
4:00 (CET) Warsaw
Webinarium na żywo
wto. 5 maja 2026
6:00 (CET) Warsaw
Webinarium na żywo
wto. 5 maja 2026
7:00 (CET) Warsaw
Dr. Maximilian Dobbertin M.Sc
To post a reply please login or register