Wprowadzenie
Implantologia jest jedną z nowoczesnych metod zaopatrzenia protetycznego po częściowej utracie zębów naturalnych. Wraz z implantoprotetyką pojawiają się nowe możliwości, których nie można było osiągnąć za pomocą konwencjonalnych metod protetycznych. Wskazania do osadzenia wszczepu są wynikiem analizy indywidualnych uwarunkowań klinicznych, głównie celów protetycznych, mających wartość nadrzędną oraz oczekiwań pacjenta. Współpraca interdyscyplinarna stanowi czynnik, który ma duży wpływ na uzyskanie pomyślnego wyniku leczenia. Dlatego przed przystąpieniem do osadzania implantów należy postawić właściwą diagnozę i opracować indywidualną koncepcję leczenia konkretnego przypadku. Gdy mamy wątpliwości, zawsze warto poprosić o konsultację.
Metoda leczenia
W leczeniu wykorzystano system implantologiczny BEGO Semados®. Implant Semados S (tytan Grade IV) ma powłokę ablacyjną, polerowany kołnierz (0,8mm) oraz śrubę samogwintującą o gwincie postępującym (rozwiązanie takie zastosowano dla odciążenia kości zbitej). Implanty te spełniają wszelkie wymogi nowoczesnego i uniwersalnego systemu implantologicznego. Oprócz implantów w postaci cylindrycznej (S) są także dostępne implanty konoidalne (RI), zaprojektowane specjalnie do zastosowania w niekorzystnych warunkach kostnych, a także wówczas, gdy szczególnie ważne jest uzyskanie pierwotnej stabilizacji wszczepu i (lub) są wskazania do obciążenia natychmiastowego. Połączenie implantu z łącznikiem stanowi forma sześciokąta wewnętrznego (2,5mm hex). System nie ma tzw. platform-switching. W badaniach długoterminowych implanty BEGO Semados® wykazują
skuteczność ok. 98%. System zaprezentowano polskim dentystom po raz pierwszy w roku 2005
(jest już zarejestrowany).
Opis przypadku
40-letni pacjent, zgłosił się w celu implantoprotetycznego uzupełnienia brakujących zębów 14, 36, 46. Był ogólnie zdrowy, nie stwierdzono przeciwwskazań do leczenia implantoprotetycznego.
Rozpoznano: grupę II wg Majewskiego, grupę A3 wg Eichnera, a wg Galasińskiej-Landsbergerowej – klasę II zarówno w szczęce, jak i w żuchwie. W badaniu klinicznym wykazano nieprawidłowości, które w sposób istotny mogłyby wpłynąć na końcowy efekt leczenia i wymagały przygotowania ortodontycznego przed przystąpieniem do docelowej rekonstrukcji implantoprotetycznej. Pacjent został skierowany na konsultację do ortodonty, gdzie stwierdzono przedwczesną utratę zębów 14, 36, 46, zgryz urazowy tet-a-tet na 12, 42, szparowatość wtórną między 43 i 44 oraz 33 i 34, mezjoinklinację 15, 37, 47, asymetrię łuku górnego i dolnego, pogłębienie zgryzu, stłoczenie dolnych siekaczy niewielkiego stopnia oraz spłaszczenie kształtu łuku dolnego.
Przygotowanie do leczenia implantoprotetycznego
W pierwszym etapie zaplanowano przeprowadzenie leczenia ortodontycznego, następnie instalację implantów i wykonanie docelowej rekonstrukcji implantoprotetycznej.
Ortodonta założył odtworzenie miejsca na ząb 14, zlikwidowanie zgryzu prostego na zębie 12, zamknięcie szpar między 33 i 34, a także 44 i 43, korektę kształtu łuku dolnego i likwidację stłoczenia. Na zakończenie tego etapu przewidziano retencję ruchomą w łuku górnym i stałą (35-45) w łuku dolnym. Osadzenie implantów planowano pod koniec leczenia ortodontycznego, przy czym implanty 36, 46 zdecydowano się obciążyć po 2 miesiącach, a 14 po 4 miesiącach po ich umieszczeniu. Pacjent zaakceptował przedstawiony plan leczenia.
Przebieg leczenia
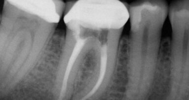
Założono 2 aparaty stałe (AS). Leczenie ortodontyczne trwało ok. 14 miesięcy. Po roku od rozpoczęcia leczenia założono implanty w miejsce brakujących zębów 14, 46 i 36. Implantację
wykonano zgodnie z ogólnie przyjętą procedurą, przy czym do implantów dokręcono
od razu śruby gojące (tzw. Gojenie otwarte). Po zdjęciu górnego AS pacjentowi przyklejono retainer 13-33 i wykonano płytkę Schwartza, którą miał użytkować do czasu wykonania odbudowy protetycznej. W łuku dolnym wykonano retencję stałą w odcinku 35-45. Wykonanie retencji skojarzono z osadzeniem implantokoron 36 i 46.
Wyciski do implantokoron zostały pobrane przed zdjęciem dolnego AS, metodą pick-up. Wycisk do implantokorony 14 wykonano 2 miesiące po zdjęciu górnego AS, również metodą pick-up. Do wykonania wycisków użyto masy Impregum w systemie Pentamix.
Rejestracja i przeniesienie zwarcia przebiegało zgodnie z obowiązującymi standardami.
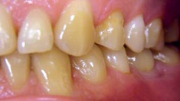
Wykorzystano artykulator Stratos 200 z łukiem twarzowym (Ivoclar Vivadent). Część metalową koron protetycznych wykonano z tytanu metodą odlewniczą, a olicowanie z porcelany Titankeramik (Vita). Łączniki protetyczne (Ti tanaufbau) dokręcono kluczem dynamometrycznym z siłą zalecaną przez producenta. Głowy śrub łączników zabezpieczono silikonem. Implantokorony osadzono na temp-bond (Tarnow). Uzyskano poprawne kontakty zwarciowe.
Pacjent zaakceptował estetykę wykonanych implantokoron i końcowy efekt leczenia.
Podsumowanie
Dzięki współpracy lekarzy specjalistów udało się uzyskać znacznie lepszy rezultat leczenia niż gdybyśmy wykonali wyłącznie postępowanie implantoprotetyczne. Oczywiście, pacjent mógłby nie zgodzić się na leczenie ortodontyczne, jednak to od nas zależy, jak pokierujemy pacjentem i jak zmotywujemy go do podjęcia właściwych decyzji._
Piśmiennictwo dostępne u wydawcy.
script> embedImagecenter("Imagecenter_1_315",315, "large");
System Er,Cr:YSGG jest niewątpliwie bardzo pomocnym narzędziem w rękach wyszkolonego lekarza. Może być bezpiecznie stosowany zarówno do leczenia...
System Er,Cr:YSGG jest niewątpliwie bardzo pomocnym narzędziem w rękach wyszkolonego lekarza. Może być bezpiecznie stosowany zarówno do leczenia...
Celem niniejszego artykułu jest przedstawienie wykorzystania CBCT w postępowaniu przygotowawczym do zabiegu implantacji oraz logicznego ciągu ...
Stałe uzupełnienia pełnoceramiczne zostały zaakceptowane przez lekarzy i pacjentów jako pełnoprawna opcja terapeutyczna w leczeniu ...
15 kwietnia br. w podwarszawskiej Jachrance odbędzie się XV Kongres Ogólnopolskiego Stowarzyszenia Implantologii Stomatologicznej (OSIS). Tematem ...
Użytkowanie protez ruchomych w żuchwie często stwarza pacjentom duży dyskomfort. Praca przedstawia częściową realizację kompleksowego planu leczenia...
Opisywany wskaźnik powodzenia leczenia endodontycznego wynosi 92%, jednak im bardziej wiarygodne metody badawcze mamy do dyspozycji, tym bardziej lekarz ...
Opisywany wskaźnik powodzenia leczenia endodontycznego wynosi 92%, jednak im bardziej wiarygodne metody badawcze mamy do dyspozycji, tym bardziej lekarz ...
LIPSK, Niemcy: Sztuczna inteligencja (AI) zmienia opiekę zdrowotną, a stomatologia nie jest wyjątkiem. Chociaż jej zastosowania kliniczne są wciąż ...
Zgodnie z Rozporządzeniem Ministra Zdrowia z 28 października 2011 r. w sprawie wysokości i sposobu uiszczania opłaty za zgłoszenie do Państwowego ...
Webinarium na żywo
wto. 19 maja 2026
5:00 (CET) Warsaw
Webinarium na żywo
wto. 19 maja 2026
7:00 (CET) Warsaw
Prof. Dr. med. dent. Ivo Krejci
Webinarium na żywo
śro. 20 maja 2026
1:00 (CET) Warsaw
Dr. Graham Carmichael BDSc (Hons), DClinDent (Pros), FRACDS, Dr. Robert Gottlander DDS
Webinarium na żywo
śro. 20 maja 2026
3:00 (CET) Warsaw
Webinarium na żywo
śro. 20 maja 2026
5:00 (CET) Warsaw
Webinarium na żywo
śro. 20 maja 2026
7:00 (CET) Warsaw
Prof. Dr. med. dent. Tim Joda PhD, MSc, eMBA
Webinarium na żywo
czw. 21 maja 2026
6:00 (CET) Warsaw
Dr. Leonardo Muniz DDS, MSC
To post a reply please login or register