Search Dental Tribune

Rewizja leczenia endodontycznego – jak osiągnąć sukces przy drugim podejściu

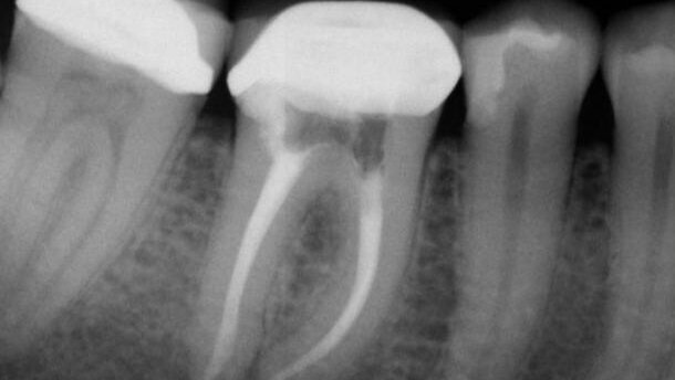
: Obraz po 13 miesiącach obserwacji (leczenie: dr Brett Gilbert).
Brett E. Gilbert, USA

Brett E. Gilbert, USA

czw. 15 listopada 2012

zapisz

Opisywany wskaźnik powodzenia leczenia endodontycznego wynosi 92%, jednak im bardziej wiarygodne metody badawcze mamy do dyspozycji, tym bardziej lekarz praktyk musi polegać na najlepszych dostępnych aktualnie dowodach, kiedy szacuje oczekiwane efekty stosowanej terapii. Najwyższą jakość współczesnych danych na temat klinicznego powodzenia leczenia endodontycznego zapewnia metaanaliza opublikowanych wyników badań.

Metaanaliza przeprowadzona w 2007 r. przez Ng i wsp. to dogłębny przegląd wskaźników powodzenia leczenia kanałowego, pochodzących z różnych klasycznych badań. Łączny ważony wskaźnik powodzenia przy czasie obserwacji trwającym co najmniej rok wynosił 68-85%. We wspomnianym badaniu przeglądowym zastosowano najbardziej wymagające kryteria wygojenia. Metaanaliza obejmowała wiele badań przeprowadzonych przed wprowadzeniem do praktyki klinicznej mikroskopu zabiegowego i innych zaawansowanych narzędzi.

Jeśli podejmujemy leczenie zęba, w przypadku którego nie uzyskano całkowitego wygojenia po leczeniu endodontycznym, trzeba zmierzyć się z istotnymi wyzwaniami, aby móc uzyskać pełne wyzdrowienie. Dostępne współcześnie narzędzia i techniki pozwalają na prawidłową dezynfekcję systemu kanałów korzeniowych, nawet jeśli po pierwotnym leczeniu kanałowym doszło do powikłań.

Wykazano, że wskaźnik powodzenia rewizji leczenia kanałowego wynosi ok. 80%. W fazie III i IV badania Toronto Study uzyskano taki wskaźnik powodzenia po 4-6 latach od zakończenia leczenia niechirurgicznego. Torabinejad i wsp. przeprowadzili systematyczny przegląd piśmiennictwa, porównując rewizję niechirurgiczną z chirurgicznym leczeniem kanałowym. Na tej podstawie wykazali, że wskaźnik powodzenia niechirurgicznej rewizji leczenia endodontycznego po 4-6 latach wyniósł 83%, a dla leczenia chirurgicznego – 71,8%.

Jednym z czynników, który zmniejsza szanse powodzenia jest występowanie zapalenia przyzębia wierzchołkowego przed leczeniem. W przypadku braku zapalenia przyzębia wierzchołkowego wskaźnik powodzenia po 10 latach dla pierwotnego leczenia endodontycznego oraz leczenia rewizyjnego wynosił 92-98%. Jeśli przed leczeniem występowało zapalenie tkanek okołowierzchołkowych, wskaźnik powodzenia zmniejszał się, osiągając po 10 latach wartość 74-86%. Na tej podstawie jednoznacznie widać, że możliwe jest uzyskanie wygojenia dzięki rewizji leczenia endodontycznego, co pozwala na zachowanie naturalnych zębów pacjenta (Ryc. 1a-c). Wprawdzie alternatywna metoda leczenia, jaką jest wszczepienie implantu może być skutecznym sposobem zastąpienia brakującego zęba, jednak nadrzędny cel powinno stanowić zachowanie w zdrowiu naturalnych zębów.

Utrzymywanie się infekcji wynika z obecności bakterii oraz niedostatecznej reakcji organizmu pacjenta na nie. Patologiczne mikroorganizmy to podstawowa przyczyna powikłań po leczeniu. Drobnoustroje mogą pozostać wewnątrz systemu kanałów korzeniowych leczonego endodontycznie zęba na skutek niewłaściwej techniki leczenia, przyczyn jatrogennych oraz nieprawidłowej odbudowy. Obecność bakterii wewnątrz korzenia to podstawowa przyczyna niepowodzenia leczenia, a ich usunięcie stanowi główny cel rewizji leczenia endodontycznego. Bakterie znajdujące się w kanałach korzeniowych leczonych wcześniej zębów są trudne do usunięcia. Ukrywają się w odgałęzieniach kanałów, delcie wierzchołkowej, przewężeniach i kanalikach zębinowych.

Na rycinie 28 przedstawiono złożoną budowę anatomiczną kanału korzeniowego (obszary zielone) oraz minimalny stopień oczyszczenia ścian kanału po jego opracowaniu (obszary czerwone). Pozostałe zielone obszary to przestrzeń, która może pozostać nieobjęta leczeniem, stanowiąc źródło bakterii i substratu, podtrzymujących infekcję wewnątrz kanału. Potencjalne substraty, które występują w świetle kanału i pozwalają na przetrwanie bakterii to pozostawione tkanki miazgi, biofilm oraz płyn dziąsłowy. Mogą one znaleźć się w kanale na skutek niedostatecznego uszczelnienia od strony korony lub wierzchołka oraz namnażania się drobnoustrojów. Nieszczelne zamknięcie kanału oraz obecność bakterii i substratów pozwalających na ich rozwój tworzą idealne warunki dla utrzymywania się stanu zapalnego i choroby.

Istnieją znaczące różnice pomiędzy bakteriami obecnymi w pierwotnie zainfekowanym kanale korzeniowym, a bakteriami infekującymi ząb poddany wcześniej leczeniu. Flora obecna przed rozpoczęciem leczenia jest różnorodna i zawiera zbliżone ilości bakterii Gram-ujemnych i Gram-dodatnich. Bakterie obecne po leczeniu to głównie gatunki Gram-dodatnie, które są w stanie przetrwać w trudnych warunkach i są oporne na wiele metod terapeutycznych. Stwierdza się m.in. duże ilości bakterii z rodzaju Enterococcus spp., np. Enterococcus faecalis był izolowany z 27-77% zębów po leczeniu endodontycznym z przetrwałą infekcją. Skażenie wnętrza kanału może wynikać z jego niedostatecznego pierwotnego oczyszczenia albo z późniejszego przecieku do systemu kanałów korzeniowych po leczeniu endodontycznym. Kiedy E. faecalis dostanie się do światła kanałów, posiadane cechy pozwalają mu na opieranie się nawet najskuteczniejszym metodom eradykacji bakterii z kanałów, m.in. dzięki wnikaniu do wnętrza kanalików zębinowych i adhezji do kolagenu. Jest także odporny na aplikację wodorotlenku wapnia do światła kanałów korzeniowych, co stosuje się pomiędzy wizytami w celu skuteczniejszego usunięcia mikroorganizmów i ich produktów, np. lipopolisacharydów z wnętrza kanałów. Oporność E. faecalis na działanie wodorotlenku wapnia wynika ze zdolności do wypompowywania jonów wodorowych za pośrednictwem pompy protonowej. Wodór łączy się z jonami hydroksylowymi pochodzącymi z wodorotlenku wapnia, zobojętniając wysoką wartość pH 16. E. faecalis opiera się ponadto działaniu wodorotlenku wapnia dzięki wbudowaniu w biofilm. Ochrona bakterii w obrębie macierzy biofilmu zabezpiecza przed kontaktem bakterii z płynami do płukania i lekami, a także umożliwia komunikację między bakteriami, co zwiększa możliwość ich przeżycia. Obecność E. faecalis została dobrze udokumentowana, z kolei jego rola w wywoływaniu powikłań po leczeniu wymaga jeszcze udowodnienia. Jednak wykorzystywane przez ten gatunek mechanizmy przetrwania rzucają światło na jego wysoką odporność. Stosowane techniki kliniczne muszą być zatem ukierunkowane na trudne zadanie eliminacji tych bakterii.

Jatrogenne aspekty pierwotnego leczenia endodontycznego także mogą być przyczyną bakteryjnego skażenia kanałów. Mogą do nich należeć perforacje, niedostateczne oczyszczenie i preparacja, niedostateczne poszerzenie kanału, pominięte kanały, stworzenie stopni, zmiana przebiegu kanału, nadmierne poszerzenie, a także zatkanie kanału przez wióry tkanek lub złamanie narzędzia. Zaniedbanie stosowania odpowiednich płynów do płukania, tj. podchloryn sodu lub ich użycie w zbyt małej ilości także jest błędem jatrogennym.

Podchloryn sodu w stężeniu 6% ma skuteczne działanie przeciwbakteryjne, rozpuszcza tkanki i niszczy biofilm bakteryjny. Te cechy płynu sprawiają, że doskonale nadaje się do usuwania przetrwałych bakterii i pozostałości tkanek. Użycie koferdamu w celu odizolowania pola zabiegowego stanowi standardowe postępowanie podczas leczenia endodontycznego. Brak użycia koferdamu może być głównym czynnikiem przyczyniającym się do powikłań po leczeniu. W dalszej części artykułu opisano przypadek ilustrujący możliwość skutecznej rewizji i wygojenia zęba, który był pierwotnie poddany niepełnej preparacji (Ryc. 3a-c).

 

embedImagecenter("Imagecenter_1_621",621, "large"); ">script>

Przykład kliniczny
Niezadowalająca odbudowa stanowi częstą przyczynę problemów po zakończeniu leczenia. Jeśli w krótkim czasie nie zostanie wykonane ostateczne i szczelne wypełnienie ubytku dostępowego, może dojść do wnikania bakterii do systemu kanałów korzeniowych od strony koronowej. Do przenikania bakterii może także dochodzić na skutek przecieku wzdłuż pobrzeża korony protetycznej.

Kolejne źródło skażenia bakteryjnego stanowi próchnica w leczonym uprzednio zębie. Wnikanie bakterii do kanałów może być skutkiem uszkodzenia struktury zęba w przebiegu urazu, jego pęknięcia lub złamania. Pacjenci są odpowiedzialni za własne zdrowie i muszą stosować właściwe techniki higieny jamy ustnej. Zaniedbanie skutecznego oczyszczania jamy ustnej i zębów może doprowadzić do niepowodzenia nawet w przypadku najlepiej przeprowadzonego leczenia endodontycznego i odtwórczego.

Wobec wyzwania, jakie dla lekarzy praktyków stanowią bakterie, techniki rewizji leczenia endodontycznego muszą umożliwiać eliminację bakterii i ich substratów. Wykorzystanie mikroskopu zabiegowego i narzędzi ultradźwiękowych pozwala lekarzom odnaleźć wszystkie szczegóły budowy anatomicznej kanałów i całkowicie oczyścić system kanałów korzeniowych. Przedstawiony przypadek (Ryc. 4a, b) ilustruje zakres przestrzeni wewnątrzkorzeniowej, która pozostała nienaruszona po pierwotnym leczeniu endodontycznym ze względu na brak dostatecznego otwarcia kanału policzkowego mezjalnego oraz niezlokalizowany i nieoczyszczony, ukryty dodatkowy kanał policzkowy mezjalny.

Endodontyczne końcówki ultradźwiękowe bardzo skutecznie usuwają materiał odbudowujący zrąb zęba, materiały wypełniające w postaci pasty, wkłady korzeniowe oraz wypełnienia ze srebrnym ćwiekiem, jak przedstawiono na rycinie 5. Narzędzia te pozwalają lekarzowi na oszczędną preparację zębiny korzeniowej, ponieważ zapewniają doskonałą widoczność w mikroskopie zabiegowym, w ten sposób znacznie poprawiając możliwość skutecznej rewizji leczenia kanałowego (Ryc. 6a-c). Urządzenia emitujące ciepło, np. końcówka Systemu B (Axis, SybronEndo), umożliwiają wydajne usuwanie gutaperki i materiałów na bazie żywic z 1/3 dokoronowej kanału. Za pomocą pilników ręcznych i maszynowych można usunąć z kanału materiał wypełniający i nadać kanałom prawidłowy kształt na całej długości roboczej. Współczesne maszynowe pilniki ze stopu NiTi są bardzo elastyczne i odporne na złamanie. Pozwalają na mechaniczne poszerzenie wierzchołkowej 1/3 kanałów korzeniowych w sposób bezpieczny i wydajny, nie powodując zmiany naturalnej morfologii kanału. Dzięki temu możliwe jest skuteczne płukanie kanałów i dotarcie płynu do złożonych struktur anatomicznych w okolicy wierzchołków, gdzie bakterie mogą ukrywać się i przetrwać pomimo oczyszczania kanałów.

Kolejnym po znalezieniu i opracowaniu kanałów etapem, który ma kluczowe znaczenie dla powodzenia leczenia jest płukanie. Płyn do płukania działa na bakterie, których próbujemy się pozbyć. Podchloryn sodu jest silnym środkiem o sprawdzonym działaniu przeciwbakteryjnym i rozpuszczającym tkanki. Wykazano, że 2% roztwór chlorheksydyny zapobiega adhezji E. faecalis do zębiny. 17% EDTA jest często stosowany jako skuteczny środek usuwający warstwę mazistą. Mechaniczne oczyszczenie i poszerzenie kanału umożliwia więc obfite płukanie głębokich odcinków kanału roztworami odpowiednich związków chemicznych.

Bierne płukanie z użyciem ultradźwięków polega na tym, że lekarz wprowadza płyn do płukania do komory miazgi, po czym aktywuje go i przemieszcza w dół, do okolicy wierzchołkowej kanału. Końcówka IrriSafe (Acteon Group. Ryc. 7) to pilnik ultradźwiękowy pozbawiony możliwości skrawania, który wprowadza się do każdego kanału i wykonuje ruchy w górę i w dół kanału w 3 cyklach po 20 s. Wykazano, że bierne płukanie z użyciem ultradźwięków pozwala na lepsze płukanie kanałów bocznych na głębokość 4,5 mm w porównaniu do płukania z użyciem samej igły, kiedy płyn wnika w kanały boczne na głębokość 2 mm. Stwierdzono ponadto, że bierne płukanie z użyciem ultradźwięków umożliwia usuwanie opiłków zębiny na głębokość o 3 mm większą niż sięga końcówka, zarówno w kanałach prostych, jak i zakrzywionych. Dowodzi to faktu, że skuteczny przepływ płynu do płukania może ułatwiać oczyszczanie zębów, w których podczas pierwotnego leczenia endodontycznego doszło do zmiany przebiegu kanałów.

W niniejszym artykule przedstawiono przypadek (Ryc. 8a-c) zęba z dużym ćwiekiem srebrnym w kanale dystalnym oraz ze zmianą przebiegu odcinka wierzchołkowego kanału w korzeniu mezjalnym. Uzyskano skuteczne gojenie powikłań po tym zabiegu po przeprowadzeniu odpowiedniej dezynfekcji. Przypadek ten pokazuje, dlaczego rewizja leczenia endodontycznego jest podstawową metodą w terapii niepowodzeń pierwotnego leczenia kanałowego.

Po przeprowadzeniu oczyszczania i dezynfekcji wypełnia się przestrzeń wewnątrz kanałów, stosując odpowiednią technikę. Pionowa kondensacja na ciepło z użyciem gutaperki albo materiału na bazie żywic wraz z odpowiednim uszczelniaczem zapewnia szczelne zamknięcie prawidłowo oczyszczonych i ukształtowanych kanałów. Ostateczna odbudowa musi zapewniać szczelne zamknięcie komory miazgi, by nie dochodziło do mikroprzecieku od strony koronowej.

Wyniki najnowszych badań dowodzą, że jest możliwa prawidłowa i skuteczna rewizja zębów, które były wcześniej leczone endodontycznie. Z piśmiennictwa wynika także, że niektóre bakterie, tj. E. faecalis, mogą przetrwać w obrębie wypełnionego wcześniej kanału. Użycie stomatologicznego mikroskopu zabiegowego, narzędzi ultradźwiękowych, płynów do płukania, maszynowych pilników NiTi oraz odpowiednich materiałów wypełniających zwiększa szanse na uzyskanie wygojenia po rewizji leczenia kanałowego. Ponieważ robimy wszystko, aby nasi pacjenci mogli zachować zdrowe naturalne zęby, rewizja leczenia endodontycznego powinna stanowić główną metodę leczenia u osób, u których nie powiodło się pierwotne leczenie.

Piśmiennictwo dostępne u wydawcy.

Niniejszy artykuł został opublikowany w magazynie Roots 3/2012.
 

To post a reply please login or register
advertisement
advertisement