Celem niniejszego artykułu jest pokazanie możliwości skutecznej niechirurgicznej rewizji leczenia endodontycznego po wyjęciu lanego uzupełnienia protetycznego oraz zamknięci MTA od strony koronowej po niepowodzeniu rewizji chirurgicznej siekacza przyśrodkowego szczęki.
Na podstawie licznych badań wykazano, że infekcja bakteryjna kanału korzeniowego stanowi główną przyczynę zapalenia tkanek okołowierzchołkowych. Z tego względu eradykacja mikroorganizmów z wnętrza zainfekowanego zęba ma kluczowe znaczenie dla gojenia. Schilder opisał zasady trójwymiarowego oczyszczania, preparacji i wypełniania systemu kanałów korzeniowych, które są podstawą uzyskiwania powodzenia leczenia endodontycznego w większości przypadków. Do przyczyn niepowodzenia pierwotnego leczenia endodontycznego należy przetrwała infekcja wnętrza korzenia na skutek niecałkowitego oczyszczenia i wypełnienia systemu kanałów korzeniowych, która może wynikać z nieprawidłowej oceny warunków anatomicznych, powstania stopni, blokady kanału, zmiany przebiegu kanału, złamania narzędzi , perforacji wzdłuż bocznej ściany kanału (tzw. strip perforation) lub uszkodzenia otworu wierzchołkowego.
Do innych przyczyn rozwoju zmian okołowierzchołkowych po leczeniu endodontycznym należą: nieszczelna odbudowa od strony koronowej, próchnica wtórna, pionowe złamanie korzenia lub pęknięcie korony, uraz oraz choroby przyzębia, które mogą pozwolić na wnikanie bakterii do systemu kanałów korzeniowych. Przyczyny zmian okołowierzchołkowych nie związane z kanałami obejmują pozostawienie resztek materiałów zawierających celulozę, takich jak sączki papierowe lub waciki, które obecne w tkankach okołowierzchołkowych wywołują przewlekłą reakcję zapalną, promienicę tkanek okołowierzchołkowych, pozostawioną torbiel oraz nagromadzenie kryształków cholesterolu w okolicy okołowierzchołkowej.
Jeśli chcemy zachować ząb, przy którym po leczeniu endodontycznym doszło do rozwoju zmian okołowierzchołkowych, mamy do wyboru leczenie chirurgiczne albo niechirurgiczne. Leczenie niechirurgiczne ma na celu usunięcie drobnoustrojów z wnętrza systemu kanałów korzeniowych oraz odizolowanie bakterii pochodzących spoza kanałów. Leczenie chirurgiczne obejmuje natomiast zamknięcie bakterii w kanale korzeniowym oraz usunięcie drobnoustrojów znajdujących się poza kanałem. Leczenie chirurgiczne przynosi początkowo lepsze efekty, z kolei leczenie niechirurgiczne daje lepsze wyniki w obserwacji długoterminowej. Usuwanie zębów, w których nie powiodło się leczenie endodontyczne i zastępowanie ich implantami, staje się bardziej popularne niż chirurgiczna lub niechirurgiczna rewizja leczenia endodontycznego. Nowe rozwiązania techniczne, takie jak stosowanie powiększenia i ultradźwięków, a także rozwój nowych materiałów pozwalają oczekiwać większej skuteczności i lepszych efektów leczenia. Decyzję o usunięciu lub pozostawieniu zęba należy podejmować na podstawie możliwości jego późniejszej odbudowy po leczeniu, a także zdrowia tkanek przyzębia. U pacjentów o wysokich oczekiwaniach estetycznych i cienkim biotypie dziąsłowym szczególnie ważne jest dołożenie wszelkich starań, aby zachować wątpliwy przedni ząb w celu ochrony architektury tkanek miękkich.
W przypadku leczenia niechirurgicznego obecność lanych uzupełnień i wkładów może utrudniać dostęp do światła kanału. Lane i standardowe wkłady metalowe można usunąć za pomocą ultradźwięków i systemów do wyjmowania wkładów, a wkłady z włókien szklanych można wypiłować. Najprostszą metodą usuwania śrub wkręcanych do kanału jest zastosowanie odpowiedniego klucza. Jeśli doszło do uszkodzenia główki ćwieka, można włożyć do klucza kawałek waty, aby zapewnić ściślejsze przyleganie . Przyłożenie do wkładu wibracji ultradźwiękowych zmniejsza siłę niezbędną do jego usunięcia. Należy pamiętać o stosowaniu aerozolu wodnego, aby zapobiec przegrzewaniu się zęba na skutek wibracji ultradźwiękowych wkładu. W piśmiennictwie podaje się, że ryzyko złamania korzenia podczas usuwania wkładu jest mniejsze niż 1%.
W przeszłości w przypadku niepowodzenia resekcji wierzchołka w zębach bez wstecznego zamknięcia kanału stosowano rewizję chirurgiczną albo połączenie zabiegu chirurgicznego i niechirurgicznego. Rewizję leczenia zębów poddanych resekcji wierzchołka jako pierwszy opisał Stewart w 1975 r. W takich przypadkach, jeżeli ząb nie został zamknięty od strony wierzchołkowej, należy ostrożnie usuwać materiał wypełniający kanał, aby nie wtłoczyć go w okolicę okołowierzchołkową.
Pannkuk przedstawił metodę usuwania amalgamatu z okolicy wierzchołkowej podczas rewizji leczenia endodontycznego. Po usunięciu starego materiału wypełnieniowego prowadzi się dalsze leczenie, podobnie jak w przypadku zębów niedojrzałych z otwartym wierzchołkiem. Za materiał z wyboru, stosowany w celu stworzenia bariery od strony wierzchołkowej w zębach z otwartym wierzchołkiem i martwą miazgą, uznaje się MTA. Jest to materiał biokompatybilny, osteoindukcyjny, cementogenny, wykazuje także właściwości przeciwgrzybicze i przeciwbakteryjne.
Prezentacja przypadku
61-letnia pacjentka została skierowana w celu leczenia prawego siekacza szczęki, który był źródłem dolegliwości. Rok wcześniej miała przeprowadzony zabieg resekcji wierzchołka zęba 11. Zabieg przeprowadził chirurg szczękowo-twarzowy. 3 miesiące po zabiegu powyżej zęba doszło do obrzęku dziąsła, który utrzymywał się do tej pory, dodatkowo w ostatnim czasie obrzęk stał się bolesny, ząb także bolał przy nagryzaniu. 2 dni wcześniej pacjentka była u swojego dentysty, którzy przepisał jej klindamycynę w dawce 150 mg. Ponadto martwił ją obnażony ciemny brzeg przyszyjkowy powyżej korony zęba, związany z recesją dziąsła.
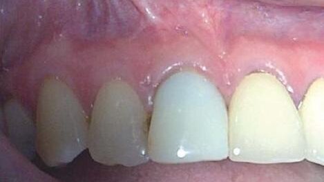
W badaniu klinicznym stwierdzono stan zapalny dziąsła powyżej zęba 11 oraz czynną przetokę na dziąśle, 10 mm powyżej szyjki siekacza. W zębie 11 występowała recesja dziąsła. Ząb 21 był odbudowany koroną z porcelany napalanej na metal (Ryc. 1). Badanie reakcji na temperaturę było ujemne. Ząb 11 był wrażliwy na opukiwanie i dotyk. W badaniu periodontologicznym stwierdzono kieszonki głębokości 2 mm przy zębach 11, 12 i 21. Nie stwierdzono patologicznego rozchwiania zęba 11. Badanie radiologiczne wykazało obecność wkładu koronowo-korzeniowego i korony na zębie 11, zwiększoną przezierność w okolicy wierzchołka oraz wsteczne wypełnienie wierzchołka korzenia zęba (Ryc. 2). Stosunek długości korony do korzenia wynosił ok. 50:50. Czynna przetoka znajdowała się na poziomie wierzchołkowego końca wkładu, podejrzewano złamanie korzenia. Do przetoki wprowadzono ćwiek gutaperkowy. Zdjęcie radiologiczne wykazało, że prowadził on od przetoki do zmiany okołowierzchołkowej (Ryc. 3).
Omówiono z pacjentką możliwości leczenia. Zaproponowano jej następujące rozwiązania: rewizję niechirurgiczną, rewizję chirurgiczną, usunięcie z późniejszym wszczepieniem implantu, protezę ruchomą lub most. Pacjentka bardzo chciała zachować ząb, nie zgadzała się na kolejny zabieg resekcji i nie mogła pozwolić sobie na wszczepienie implantu i augmentację kości oraz potencjalną wymianę sąsiedniej korony na skutek recesji dziąsła po ekstrakcji. Podjęto decyzję o próbie niechirurgicznej rewizji leczenia, ostrzegając pacjentkę o ryzyku złamania.
Pacjentkę umówiono na 2-godzinną wizytę. Po znieczuleniu pobrano wycisk górnego łuku przy użyciu masy siloksanowej (President, Coltène/Whaledent). Rozcięto koronę za pomocą stożkowatego diamentowego wiertła do preparacji koron (Komet) i wiertła z węgliku wolframu (Tri Hawk). Wokół lanego wkładu koronowo-korzeniowego obecna była obręcz o wysokości co najmniej 2 mm. Założono koferdam i umocowano go klinami wprowadzonymi pomiędzy zęby 12 i 13 oraz 21 i 22.
Usuwanie wkładu rozpoczęto przy pomocy końcówki ultradźwiękowej Start-X nr 4 (Dentsply Maillefer) i skalera piezoelektrycznego (NSK), przesuwając końcówką w kierunku przeciwnym do ruchu wskazówek zegara wzdłuż długiej osi wkładu. Końcówka Start-X ma wewnątrz światło dla aerozolu wodnego, co zapobiega przed przegrzewaniem się wkładu i więzadła ozębnej. Po 15 minutach stosowania ultradźwięków wkład został całkowicie poluzowany. Przewiercono otwór w części koronowej w kierunku przedsionkowo-podniebiennym za pomocą wiertła z węgliku wolframu Great White nr 2 (SS White). Przez otwór we wkładzie przewleczono podwójną ligaturę z nici dentystycznej (Satin Tape, Oral-B). Zaczep automatycznego narzędzia do usuwania koron i mostów Safe Relax (Anthogyr) przewleczono przez ligaturę z nici dentystycznej. Nić dentystyczna służy jako łamacz naprężeń, zapobiegając przyłożeniu nadmiernej siły i minimalizując ryzyko złamania korzenia lub niezamierzonego usunięcia zęba. Wkład usunięto bez szkody dla korzenia po 30 sekundach działania niewielkiej siły, przykładanej przy pomocy systemu Safe Relax. Zastosowano narzędzie Safe Relax, ponieważ wkład nie był gwintowany.
Pozostałości cementu usunięto z kanału za pomocą końcówki ultradźwiękowej Start-X nr 3 (Dentsply Maillefer). Gutaperkę usunięto przy użyciu kilku kropli chloroformu (Allied Drug Company) i pilnika Hedstrom w rozmiarze 40 (Dentsply Maillefer). Wykonano zdjęcie rtg, aby potwierdzić usunięcie gutaperki (Ryc. 4). Długość roboczą określono za pomocą cyfrowego endometru iPex (NSK). Rozmiar wierzchołka określono za pomocą pilków K (Dentsply Maillefer) jako 100.
Kanał przepłukano 3% roztworem podchlorynu sodu (Vista Dental), który wzbudzano przez 1 minutę urządzeniem Endo-Activator (Dentsply Tulsa). Powtórzono ten etap 10-krotnie, stosując za każdym razem świeży płyn do płukania. Kanał osuszono sączkami papierowymi, po czym wypełniono 17% EDTA, który wzbudzano urządzeniem Endo-Activator przez 1 minutę. Następnie kanał osuszono i przepłukano wodą destylowaną. Do kanału wprowadzono 2% roztwór chlorheksydyny i pozostawiono go tam na czas przygotowywania wkładu koronowo-korzeniowego do ponownego tymczasowego zacementowania.
Wkład poddano piaskowaniu przy pomocy urządzenia RONDO-flex (KaVo) i piasku na bazie tlenku glinu o wielkości ziarna 27 μ. Następnie wkład umieszczono na 2 minuty w 2% roztworze chlorheksydyny (Vista Dental). Otwór we wkładzie wytrawiono 37% kwasem fosforowym (Ultradent), opłukano i osuszono powietrzem. Na powierzchnię naniesiono primer Monobond Plus (Ivoclar Vivadent), który po 60 sekundach osuszono powietrzem. Na wkład naniesiono system wiążący Xeno V (Dentsply) i naświetlano go przez 20 sekund światłem ultrafioletowym lampy polimeryzacyjnej SmartLite (Dentsply). Otwór we wkładzie wypełniono kompozytem na bazie żywic QuiXfil (Dentsply), który polimeryzowano światłem przez 10 sekund.
Pogłębiono preparację na powierzchni przedsionkowej do brzegu dziąsłowego za pomocą stożkowatego wiertła diamentowego nr 018 (Komet). Kanał osuszono powietrzem i wprowadzono do niego cieniującą na zdjęciach rtg, dostępną w strzykawce pastę UltraCal XS (Ultradent) na bazie wodorotlenku wapnia, stosując igłę NaviTip (Ultradent). Wkład ponownie osadzono przy użyciu cementu tymczasowego NexTemp (Premier Dental), po czym zdjęto koferdam. Wykonano koronę tymczasową, wprowadzając materiał Protemp 4 (3M ESPE) do wycisku poliwinylosiloksanowego i umieszczając go w jamie ustnej. Koronę tymczasową wypolerowano i osadzono przy użyciu cementu lutujące na bazie glasjonomeru (VoCo). Po leczeniu wykonano kontrolne zdjęcie rtg (Ryc. 5). Pacjentkę umówiono w celu badania kontrolnego i dalszego leczenia 6 tygodni później.
Druga wizyta
Pacjentka zgłosiła ustąpienie objawów w ciągu tygodnia od pierwszej wizyty. W badaniu klinicznym stwierdzono ustąpienie stanu zapalnego i wygojenie przetoki na dziąśle powyżej zęba 11. Na zdjęciu radiologicznym stwierdzono częściowe rozpuszczenie opatrunku z wodorotlenku wapnia w odcinku wierzchołkowym (Ryc. 6).
Po znieczuleniu i zaizolowaniu wycięto poziomą szczelinę na powierzchni przedsionkowej korony tymczasowej, którą podważono wraz z wkładem koronowo-korzeniowym płaskim plastikowym narzędziem. Kanał przepłukano 17% EDTA, który wzbudzano urządzeniem EndoActivator przez 1 minutę, aby ułatwić usuwanie pozostałości opatrunku z wodorotlenku wapnia. Następnie za pomocą wody destylowanej przepłukano kanał, który w kolejnym etapie wypełniono 2% chlorheksydyną, pozostawiając ją w kanale na 2 minuty. Kanał wypłukano wodą destylowaną i osuszono sączkami papierowymi. Wykonano zdjęcie w celu weryfikacji położenia systemu MTA Gun (Dentsply Maillefer) i potwierdzenia całkowitego usunięcia wodorotlenku wapnia (Ryc. 7).
Wymieszano biały MTA-Angelus (Angelus) zgodnie z zaleceniami producenta, po czym wprowadzono go do kanału za pomocą przenośnika pistoletu do MTA. Po wprowadzeniu 3 porcji MTA, skondensowano go przy pomocy pluggera Dr Machtou w rozmiarze 5 (Dentsply Maillefer), przykładając do niego wibracje ultradźwiękowe przez 20 sekund, aby ułatwić kondensację MTA w kierunku wierzchołkowym. Wprowadzono 3 kolejne porcje MTA i powtórzono zabieg kondensacji. Ostatnie 2 porcje MTA skondensowano za pomocą wkładu. Wykonano zdjęcie rtg w celu kontroli położenia MTA (Ryc. 8). Nadmiary MTA z przestrzeni dla wkładu usunięto za pomocą szczoteczki do wkładów (DiaDent), po czym na 15 minut umieszczono w kanale wacik nasączony wodą destylowaną.
Delikatnie wypiaskowano powierzchnię wkładu urządzeniem RONDOflex w celu usunięcia pozostałości cementu tymczasowego, po czym przez 2 minuty moczono wkład w 2% roztworze chlorheksydyny. Następnie przez 20 sekund wytrawiano wkład 37% kwasem fosforowym, opłukano go i osuszono powietrzem. Naniesiono na wkład Monobond Plus i po 30 sekundach osuszono go powietrzem. Po 30 minutach zweryfikowano wstępne związanie MTA, wprowadzając do kanału pilnik K (Dentsply Maillefer) w rozmiarze 60. Osuszono przestrzeń dla wkładu za pomocą sączków papierowych. Wkład i koronę osadzono przy użyciu cementu na bazie glasjonomeru modyfikowanego żywicą RelyX Unicem (3M ESPE), po czym wykonano zdjęcie radiologiczne (Ryc. 9).
Odroczono wykonanie korony ostatecznej w celu obserwacji gojenia i objawów, oceny reakcji dziąsła na nowe położenie brzegu korony oraz rozłożenia kosztów. Zdjęcie radiologiczne wykonane po 5 miesiącach (Ryc. 10) wykazało częściowe rozpuszczenie przepchniętego MTA. Ząb nie dawał dolegliwości, nie postępowała recesja powyżej zęba 11 (Ryc. 11). Kontrolne zdjęcie radiologiczne wykonane po 18 miesiącach wykazało zmniejszenie zmiany okołowierzchołkowej (Ryc. 12a). Pacjentka była zadowolona z nowej korony (Ryc. 12b).
embedImagecenter("Imagecenter_1_817",817, "large");
Omówienie
Ważne jest omówienie z pacjentem możliwości terapeutycznych, czynników ryzyka i kosztów przed rozpoczęciem leczenia. Czyszczenie i formowanie kanałów w zębach z otwartym wierzchołkiem wymaga modyfikacji postępowania. Pierwszeństwo zyskują opisane przez Schildera cele biologiczne. Należy zwrócić szczególną uwagę na kontrolę długości roboczej, aby zmniejszyć ryzyko przenikania płynów do płukania poza wierzchołek.
W celu zminimalizowania przepływu poza wierzchołek i zwiększenia skuteczności oczyszczania chemicznego zastosowano wzbudzenie poddźwiękowe. Wykazano, że połączenie EDTA i podchlorynu sodu wywiera skuteczniejsze działanie przeciwbakteryjne niż sam podchloryn sodu. Chlorheksydyna charakteryzuje się powinowactwem, dzięki czemu zębina poddana działaniu 2% roztworu przez 10 minut zawiera chlorheksydynę nawet po 12 tygodniach. Ponadto chlorheksydyna ma działanie przeciwgrzybicze, co jest korzystne ze względu na fakt, że grzyby mogą przyczyniać się do przetrwałej lub wtórnej infekcji endodontycznej.
Wstępne zastosowanie wodorotlenku wapnia poprawia szczelność brzeżną MTA. Jest to jednocześnie jedyny preparat, który skutecznie działa na endotoksyny. Zastosowano biały MTA-Angelus ze względu na jego krótki czas wiązania (MTA-Angelus jest dostępny w postaci szarej i białej). Składa się on w 80% z cementu portlandzkiego i w 20% z tlenku bizmutu. Brak siarczanu wapnia umożliwia szybsze wstępne wiązanie, które trwa ok. 15 minut. W przypadku zębów z otwartym wierzchołkiem trudno jest kontrolować sytuację w części wierzchołkowej, jednak przepchnięcie MTA jest dobrze tolerowane.
W prezentowanym przypadku zastosowano ponownie ten sam wkład koronowo-korzeniowy, ponieważ nie było potrzeby mechanicznego poszerzania światła kanału, dobrze dopasowany wkład usunięto w postaci zasadniczo niezmienionej, jego ponowne wykorzystanie zmniejszyło koszty dla pacjentki, a ponadto była dostatecznie wysoka obręcz zdrowych tkanek zęba.
Drugi zabieg chirurgiczny w przypadku zębów poddanych resekcji wierzchołka oznacza większe bliznowacenie, skrócenie korzenia i miejscowe pogorszenie ukrwienia. W niniejszym artykule przedstawiono przypadek, w którym po 18 miesiącach od niechirurgicznej rewizji postępuje gojenie tkanek, a pacjentka nie odczuwa dolegliwości. Ocena efektu długoterminowego wymaga dalszej obserwacji.
Niechirurgiczna rewizja leczenia endodontycznego z założeniem bariery z MTA po wcześniejszej resekcji wierzchołka to empiryczna metoda terapii, ponieważ brak jest danych dotyczących wskaźnika powodzenia takiego leczenia. Konieczne są dalsze badania dotyczące tej metody, ponieważ może ona cechować się równie dobrym gojeniem i mniejszym ryzykiem powikłań w porównaniu do tradycyjnej metody rewizji chirurgicznej.
Podziękowania: Autor dziękuje prof. J. L. Gutmannowi za zachętę i pomoc w czasie tworzenia niniejszej prezentacji przypadku, a także dr. K. Serota i społeczności „roots”.
Piśmiennictwo dostępne u wydawcy.
Opisywany wskaźnik powodzenia leczenia endodontycznego wynosi 92%, jednak im bardziej wiarygodne metody badawcze mamy do dyspozycji, tym bardziej lekarz ...
Opisywany wskaźnik powodzenia leczenia endodontycznego wynosi 92%, jednak im bardziej wiarygodne metody badawcze mamy do dyspozycji, tym bardziej lekarz ...
Kalifornijscy naukowcy pracują nad małym, ale potężnym sojusznikiem, który może pomóc w zapobieganiu infekcjom po leczeniu kanałowym. W badaniu ...
Zestaw Axis Orthodontic Adhesive Removal Set* złożony z 3 narzędzi do polerowania został stworzony w celu wydajnego i skutecznego usuwania ...
„Back to the roots” – pod takim hasłem rozpocznie się jutro w Chlewiskach niedaleko Szydłowca Zjazd Polskiego Towarzystwa ...
Wprowadzenie
Implantologia jest jedną z nowoczesnych metod zaopatrzenia protetycznego po częściowej utracie zębów naturalnych. Wraz z ...
GOTHENBURG, Szwecja: Mimo że odnotowano wysokie wskaźniki przeżycia implantów stomatologicznych, mogą wystąpić powikłania biologiczne lub techniczne...
INDIANAPOLIS, USA: Chociaż przeprowadzono wiele badań dotyczących przeżywalności zębów leczonych endodontycznie, tylko stosunkowo niewielka ich ...
Fotobiomodulacja (PBM) jest medycznym narzędziem, które powinno być wykorzystywane przez osoby przeszkolone w zakresie laserowej wiedzy medycznej. ...
Webinarium na żywo
wto. 19 maja 2026
5:00 (CET) Warsaw
Webinarium na żywo
wto. 19 maja 2026
7:00 (CET) Warsaw
Prof. Dr. med. dent. Ivo Krejci
Webinarium na żywo
śro. 20 maja 2026
1:00 (CET) Warsaw
Dr. Graham Carmichael BDSc (Hons), DClinDent (Pros), FRACDS, Dr. Robert Gottlander DDS
Webinarium na żywo
śro. 20 maja 2026
3:00 (CET) Warsaw
Webinarium na żywo
śro. 20 maja 2026
5:00 (CET) Warsaw
Webinarium na żywo
śro. 20 maja 2026
7:00 (CET) Warsaw
Prof. Dr. med. dent. Tim Joda PhD, MSc, eMBA
Webinarium na żywo
czw. 21 maja 2026
6:00 (CET) Warsaw
Dr. Leonardo Muniz DDS, MSC
To post a reply please login or register