Można regularnie myć zęby, nie mieć ubytków, a mimo wszystko odczuwać ból zębów wynikający z ich reakcji na ciepło, zimno, kwaśne lub słodkie potrawy oraz dotyk. Mówimy wtedy o nadwrażliwości zębów - nieprzyjemnej dolegliwości, która dotyka 25% dorosłych.
W przypadku zaobserwowania u siebie nadwrażliwości zębów, nie należy czekać, aż ból sam przeminie. Problem jest bardziej złożony i wymaga podjęcia zdecydowanych, konkretnych działań.
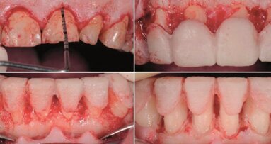
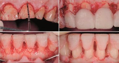
Nadwrażliwość zębów występuje najczęściej, kiedy powierzchnia korzeni zębów odsłania się w wyniku cofania się dziąseł. Uwidacznia się wtedy zębina i otwierają się kanaliki zębinowe. Zawarty w nich płyn przemieszcza się pod wpływem ciepła, zimna oraz wysokiego stężenia cukru w jamie ustnej i podrażnia zakończenia nerwowe w miazdze zęba. Efektem jest przeszywający ból.
Oprócz cofania się dziąseł, nadwrażliwość zębów powoduje:
- nieprawidłowe szczotkowanie zębów (ścieranie),
- stosowanie zbyt twardych szczoteczek do zębów,
- stosowanie ścierających past do zębów,
- erozyjne rozpuszczanie szkliwa i odsłonięcie zębiny (np. wywołane nadmiernym spożywaniem słodkich napojów).
Nadwrażliwość zębów to dolegliwość, która sama nie ustanie. Objawy mogą się zmniejszyć, lecz później powracają ze zdwojoną siłą. Leczenie tej przypadłości powinno się rozpocząć w gabinecie stomatologicznym, gdzie lekarz przeprowadzi kurację profesjonalnymi preparatami do znoszenia nadwrażliwości zębiny i poleci pasty do zębów nadwrażliwych do stosowania w domu. Doradzi również jak najlepiej szczotkować zęby i pomoże dobrać najbardziej odpowiednią szczoteczkę.
Produkty z linii elmex® sensitive, dzięki zawartości aminofluorku i składników czyszczących (w zależności od formuły produktu), stanowią skuteczną ochronę przed nadwrażliwością zębów i próchnicą oraz łagodnie oczyszczają. Badania kliniczne wykazują, iż najlepsze rezultaty zapewnia regularne stosowanie równoległe wszystkich produktów (pasta do zębów, płyn do płukania jamy ustnej, szczoteczka). Taki system do stosowania w przypadku nadwrażliwych zębów i odsłoniętych szyjek zębowych jest rekomendowany przez dentystów.
Na podst.: biuro prasowe Colgate-Palmolive
Lekarze dentyści znają skuteczne sposoby na pozbycie się nadwrażliwości zębów. Warto poświęcić trochę czasu i pozbyć się problemu, ...
Philips wprowadza na rynek wysokiej jakości innowacje w dziedzinie pielęgnacji jamy ustnej zapewniające lepsze zdrowie. Działając w obszarach ...
W niniejszym artykule opisano przeprowadzenie obszernej odbudowy startych na skutek abrazji zębów przednich i bocznych w szczęce i żuchwie za ...
W niniejszym artykule opisano przeprowadzenie obszernej odbudowy startych na skutek abrazji zębów przednich i bocznych w szczęce i żuchwie za ...
Irygator PANASONIC EW1211 to nowoczesne urządzenie czyszczące stanowiące uzupełnienie potrzeb związanych z profesjonalną higieną jamy ustnej. ...
W najbliższy czwartek (31. maja br.) Colgate Oral Health Network for Professional Education and Development przedstawi seminarium internetowe dotyczące ...
Nie dieta zmieniająca rysy twarzy, ale medycyna estetyczna i stomatologia mają ogromny wpływ na kształt i rozmiar ust. „Warto połączyć ich ...
Do każdego gabinetu stomatologicznego trafiają pacjenci z nadwrażliwością zębiny. Wielu unika leczenia zębów z powodu ich nadwrażliwości. ...
Cytryna, węgiel i soda oczyszczona to najpopularniejsze domowe sposoby uzyskania śnieżnobiałego uśmiechu, dostępne w internecie. Dentyści ...
Prostowanie zębów bez aparatu, rozjaśnianie uśmiechu bez wybielania, błyskawiczny bonding zamiast licówek – to szybkie, skuteczne i ...
Webinarium na żywo
wto. 19 maja 2026
5:00 (CET) Warsaw
Webinarium na żywo
wto. 19 maja 2026
7:00 (CET) Warsaw
Prof. Dr. med. dent. Ivo Krejci
Webinarium na żywo
śro. 20 maja 2026
1:00 (CET) Warsaw
Dr. Graham Carmichael BDSc (Hons), DClinDent (Pros), FRACDS, Dr. Robert Gottlander DDS
Webinarium na żywo
śro. 20 maja 2026
3:00 (CET) Warsaw
Webinarium na żywo
śro. 20 maja 2026
5:00 (CET) Warsaw
Webinarium na żywo
śro. 20 maja 2026
7:00 (CET) Warsaw
Prof. Dr. med. dent. Tim Joda PhD, MSc, eMBA
Webinarium na żywo
czw. 21 maja 2026
6:00 (CET) Warsaw
Dr. Leonardo Muniz DDS, MSC
To post a reply please login or register