W niniejszym artykule opisano przeprowadzenie obszernej odbudowy startych na skutek abrazji zębów przednich i bocznych w szczęce i żuchwie za pomocą koron protetycznych wykonanych z tlenku cyrkonu nowej generacji o wysokim stopniu przezierności (Cercon ht, DeguDent, Hanau). Przedstawiony przypadek dowodzi, że dzięki szerokim wskazaniom, pomimo trudnej sytuacji początkowej, możliwe jest włączenie do spektrum zastosowań tlenku cyrkonu tej generacji także tego typu estetycznych rozległych uzupełnień.
Materiał na bazie tlenku cyrkonu to bardzo trwały i twardy materiał ceramiczny, przy użyciu którego można wykonywać rozległe uzupełnienia bez metalu (Beuer 2008, von Blanckenburg i Wüstefeld 2004). Wielokrotnie wskazywano, że podbudowa z wysokiej jakości ceramiki wykazuje pożądany, wysoki stopień przezierności, dzięki czemu uzyskuje się harmonijne przejście uzupełnienia w ząb (Langschwager 2003, Schärer 2002). Tak więc dzięki naturalnej estetyce tego materiału nie sposób już dziś wyobrazić sobie leczenia stomatologicznego bez jego udziału. Za tlenkiem cyrkonu przemawiają jednak nie tylko możliwości estetyczne, ale także jego właściwości fizyczne, biokompatybilność oraz względy ekonomiczne (Bartsch 2012, Lasinski i wsp. 2003, Rudolph i Quass 2009, Strietzel i Lahl 2007). Poniżej przedstawiono przypadek pacjenta z dużą liczbą zębów wymagających odbudowy z powodu niezadowalających wypełnień, ale przede wszystkim z powodu znacznej utraty tkanek twardych zębów na skutek działania kwasów i innych czynników. Utrata tkanek dotyczyła zarówno przednich, jak i bocznych zębów w obu łukach, dlatego w przebiegu leczenia wykonano łącznie 24 korony protetyczne.
Zastosowany w tym przypadku materiał Cercon ht oparty jest na podbudowie z dostępnego od ponad 11 lat tlenku cyrkonu stabilizowanego tlenkiem itru (Cercon). Połączenie drobnoziarnistego Al2O3, zmodyfikowanego procesu produkcji oraz dostosowanej odpowiednio do wymogów temperatury spiekania prowadzi do uzyskania wyjątkowo wysokiej przezierności oraz niezawodności uzupełnień, potwierdzonej przez liczne badania in vitro oraz in vivo z okresem obserwacji przekraczającym 10 lat.
Uzupełnienia z materiału Cercon ht, wykonane w kształcie pełnoanatomicznym, licowane częściowo lub całkowicie, oszczędzają tkanki zęba i nie stwarzają zagrożenia dla zębów przeciwstawnych. Dla zapewnienia optymalnej, naturalnej estetyki dostępne są do wyboru 3 fabryczne warianty kolorystyczne (klasyczny biały, Cercon ht medium i Cercon ht light). Dodatkowo możliwe jest licowanie materiału Cercon ht porcelaną Cercon ceram love lub kiss, a także podbarwianie przy użyciu farbek Cercon ht. Farbki te, przeznaczone do malowania anatomicznych koron i mostów z materiałów Cercon ht light i medium wyróżnia przede wszystkim fakt, że w odpowiednim połączeniu z materiałem Cercon ht pozwalają dokładnie odtworzyć kolory zgodne z popularnym kolornikiem VITA* oraz umożliwiają wprowadzenie indywidualnych akcentów.
Farbki te, uzyskiwane w specjalnym procesie produkcyjnym są dzięki swojej delikatności bardzo stabilne, co oznacza, że można je łatwo nanosić na podbudowę bez ryzyka rozpływania. Jako alternatywa dla klasycznego warstwowego nanoszenia porcelany i malowania, dostępna jest także technika wybarwiania płynami, która jednak nie miała zastosowania w tym przypadku.
_Sytuacja początkowa
32-letni pacjent zgłosił się do gabinetu z prośbą o poprawę estetycznego wyglądu zębów. Wiązało się z tym życzenie, aby wszystkie zęby zostały odbudowane przy pomocy uzupełnień w ich kolorze. Osiągnięcie tego celu utrudniało wiele czynników. We wstępnym badaniu stwierdzono nie tylko niezadowalające wypełnienia, ale także bardzo krótkie korony kliniczne oraz znaczną utratę tkanek twardych zębów, wynikającą z abrazji i atrycji całych łuków zębowych. Zaobserwowano także charakterystyczne oznaki typowe dla abrazji zębów takie, jak: obniżenie zwarcia, utrata bruzd i guzków oraz pola starcia o ostrych granicach (Ryc. 1 i 2). Przeprowadzono z pacjentem szczegółową konsultację i rozmowę, w trakcie której omówiono przede wszystkim możliwość i koszty wykonania pojedynczych koron z porcelany napalanej na metal albo koron pełnoceramicznych. Ze względu na zbyt małą ilość dostępnego miejsca możliwe były tylko 2 rozwiązania: ceramika prasowana lub praca na bazie tlenku cyrkonu.
Zdecydowano o wykonaniu uzupełnień z materiału na bazie tlenku cyrkonu, gdyż wykonywanie uzupełnień z ceramiki prasowanej wymagałoby wytrawiania zębów. Ponieważ jednak zęby były bardzo wrażliwe, wybór padł szybko na pełne korony z tlenku cyrkonu.
_Planowanie i przebieg terapii
Po przeprowadzeniu wstępnej diagnostyki wykonano modele orientacyjne, na których jeszcze raz potwierdzono wymienione już istotne kliniczne aspekty sytuacji początkowej (Ryc. 3). Po przeprowadzeniu badania stawów skroniowo-żuchwowych za pomocą aparatu Cardiax oraz rejestracji sytuacji z użyciem łuku twarzowego, dokumentacji fotograficznej i próbnej odbudowy z wosku, przeprowadzono analizę modeli w artykulatorze Denar. W przedstawianym przypadku największy problem stanowiły nieprawidłowe stosunki między łukami w wymiarze pionowym (Ryc. 4a i b). Stwierdzono ponadto konieczność przeprowadzenia zabiegu wydłużania koron klinicznych zarówno w szczęce, jak i w żuchwie (Ryc. 5 i 6). W tym celu przeprowadzono na modelu gipsowym próbną odbudowę zębów z wosku wraz z korektą przebiegu brzegu dziąsłowego (Ryc. 7). Diagnostyczna próbna odbudowa z wosku pozwala ocenić stopień utraty tkanek w obrębie poszczególnych zębów (w wymiarze pionowym) oraz odtworzyć je z wosku modelowego.
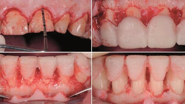
W celu przesunięcia brzegu koron w kierunku dowierzchołkowym przeprowadzono zgodnie z planem chirurgiczne wydłużenie koron klinicznych zębów szczęki w odcinku od 13 do 23 i zębów żuchwy od 33 do 43. Następnie przeprowadzono staranną adaptację tkanek miękkich, przyszywając je w atraumatyczny sposób (Ryc. 8 i 9). Preparacji i zabiegu chirurgicznego nie przeprowadzano symultanicznie, ale w 3-tygodniowym odstępie czasowym. W pracowni protetycznej wykonano uzupełnienia tymczasowe na przednie zęby od 13 do 23 w szczęce oraz od 33 do 43 w żuchwie. W celu zapewnienia stabilizacji, korony te były zblokowane oraz w taki sposób ukształtowane w okolicy pobrzeża, aby możliwa była bezproblemowa regeneracja tkanek.
Po usunięciu nielicznych wypełnień i zaopatrzeniu ubytków opracowano zęby w odcinkach od 16 do 26 oraz od 36 do 46 (Ryc. 10). Na granicy preparacji utworzono zgodnie z zaleceniami szeroki stopień, ostre brzegi zaokrąglono. Weryfikowano dostępną ilość miejsca za pomocą klucza wykonanego z silikonu (Ryc. 11). Po wykonaniu i osadzeniu uzupełnień tymczasowych (Ryc. 12) w pracowni podjęto prace nad wykonaniem ostatecznych koron. Były to korony pełnokonturowe / pełnoanatomiczne, także w odcinku przednim, wykonane z barwionego tlenku cyrkonu Cercon ht light i medium. Następnie przeprowadzono indywidualną charakteryzację tych koron z użyciem farbek Cercon ht body-base i body-match (Ryc. 16). Proces wykonywania koron przebiegał w konwencjonalny sposób. Po zeskanowaniu zębów zaprojektowano podbudowę protetyczną pod korony przy użyciu przeznaczonego do tego oprogramowania (Cercon art 3.0.2, DeguDent, Hanau). Jednocześnie określono parametry dotyczące koron. Po dokonaniu przez program odpowiednich obliczeń powstał proponowany projekt (Ryc. 13). Teraz można było indywidualnie zoptymalizować pojedyncze podbudowy, a następnie je wyfrezować. Maska dziąsłowa ułatwia pracę podczas wykonywania uzupełnień (Ryc. 14). Wyfrezowana praca została opracowana, po czym poddana indywidualizacji farbkami (Ryc. 15 i 16).
_Efekt
Już w pracowni, na modelach (Ryc. 17) można było zauważyć, że pomimo wymagającej sytuacji początkowej przy zastosowaniu precyzyjnych uzupełnień pełnoceramicznych możliwe będzie spełnienie oczekiwań pacjenta, co do estetycznego koloru i kształtu uzupełnień. (Ryc. 18-19)
_Dyskusja
Przedstawiony w niniejszym artykule opis przypadku jest przykładem na to, że materiał na bazie tlenku cyrkonu ma szerokie spektrum zastosowań, jeśli chodzi o wykonywanie uzupełnień protetycznych. Poza uzupełnieniami przedstawionymi na tym przykładzie, możliwe jest wykonywanie także innych rodzajów uzupełnień, od pełnych koron poprzez rozległe mosty, aż po uzupełnienia oparte na implantach (Bartsch 2012). Jedną z alternatyw dla zastosowanego w tym przypadku tlenku cyrkonu są wykonywane również w technice CAD/CAM pełnoceramiczne pojedyncze korony z ceramiki szklanej (np. dwukrzemianu litu). W bezpośrednim porównaniu tlenek cyrkonu wypada jednak korzystniej. Cyrkon jest przede wszystkim mniej wymagający, jeśli chodzi o znaczenie preparacji oraz projektowanie granicy preparacji i stopnia zbieżności ścian filaru. Hajto uzasadnia to 3 aspektami:
_tlenek cyrkonu jest znacznie bardziej wytrzymały,
_uzupełnienia frezuje się w rozmiarach powiększonych o 20% (z wyjątkiem tlenku cyrkonu HIP),
_materiał ten można opracować maszynowo w taki sposób, aby uzyskać cienką ścianę w obrębie szyjki zęba (oszczędność tkanek zęba) (Hajto 2010).
_Porcelana napalana na metal a uzupełnienia pełnoceramiczne
W 2 długoterminowych badaniach klinicznych wykazano, że przy porównaniu tlenku cyrkonu z ceramiką napalaną na metal, efekty są zbliżone (Christensen i Plöger 2010, Sailer i wsp. 2009), np. Sailer i wsp. stwierdzili, że w 3-letnim okresie obserwacji mosty z tlenku cyrkonu wykazują podobny wskaźnik przeżywalności co uzupełnienia z ceramiki napalanej na metal.
W przypadku koron z tlenku cyrkonu niezbędne jest naturalnie opracowanie zęba pod kątem od 3 do 6 st. oraz uformowanie szerokiego stopnia na granicy preparacji, jak również unikanie ostrych krawędzi i brzegów w obrębie preparacji (podobnie, jak preparacji głębokich rowków, van Iperen 2005). Wytycznych tych przestrzegano także w prezentowanym przypadku (Ryc. 10 i 14). Zalecenia dotyczące preparacji w przypadku stosowania systemu Cercon są ogółem zgodne ze znanymi wytycznymi dotyczącymi uzupełnień pełnoceramicznych (Langschwager 2003, Rudolph i Quass 2009). Decydujące znaczenie dla uzyskania pożądanej estetyki i trwałości koron pełnoceramicznych ma ilość niezbędnego miejsca, uzyskanego podczas preparacji. Istotne znaczenie dla wytrzymałości na złamanie ma m.in. dostateczna grubość materiału na powierzchni zwarciowej (Hajtó 2010). Producent materiału Cercon ht podaje, że minimalna grubość ścian wynosi w obrębie powierzchni zwarciowej 0,5 mm, w tym 0,1 mm rezerwy na starcie, na obwodzie ok. 0,4 mm, zaś w obrębie pobrzeża (to chyba nie jest fachowa nazwa) 0,2 mm. Dzięki ciągłemu rozwojowi systemów pełnoceramicznych (Vollmann i wsp. 2009) obecnie zarówno korony częściowego, jak i korony pełnoanatomiczne/pełnokontuorwe można stosować w trudnych warunkach początkowych. Stosując technikę warstwowania ceramiki i/lub malowanie, można uzyskać optymalny kolor zęba. Badania kliniczne, np. dotyczące mostów z dowieszką (Wolfart i wsp. 2009) oraz mostów z długim przęsłem, wykonanych z tlenku cyrkonu w systemie Cercon (Schmitter i wsp. 2009), potwierdziły przydatność systemu Cercon w różnorodnych wskazaniach.
Niezawodność systemu w przypadku przestrzegania protokołu preparacji potwierdzili także Beuer i wsp. (2003). Stwierdzili oni, że podbudowy pod pojedyncze korony, frezowane w systemie Cercon z ZrO2 i następnie synteryzowane są tak dopasowane, że w zależności od kąta zbieżności opracowanego słupka zęba powstaje jedynie minimalna szpara brzeżna. Oznacza to gwarancję dobrego zacementowania, co jest jednym z najważniejszych czynników warunkujących uzyskanie trwałych uzupełnień.
Jak wspomniano wcześniej, materiał Cercon ht jest kolejną modyfikacją tlenku cyrkonu o nazwie Cercon base, cechuje się więc taką samą niezawodnością. Poza tym jednak Cercon ht charakteryzuje doskonała przezierność, która pozwala na uzyskanie bardzo estetycznych uzupełnień oraz na oszczędzającą tkanki zęba preparację pod korony pełnoanatomiczne/pełnokonturowe.
Stwierdzono również, że korony całkowite wykonane z materiału Cercon ht są bezpieczne dla zębów przeciwstawnych. W badaniu przeprowadzone na Uniwersytecie w Ratyzbonie (Universität Regensburg) oceniano wpływ różnego rodzaju materiałów ceramicznych na kontaktujące się z uzupełnieniami w zwarciu zęby przeciwstawne w warunkach zbliżonych do naturalnych, czyli po dostosowaniu i ponownym wypolerowaniu: Cercon ht wykazywał w tym badaniu wyraźnie mniejszą abrazję wobec zębów w porównaniu do tradycyjnej ceramiki licującej oraz porcelany na bazie dwukrzemianu litu (Rosentritt 2011).
Zastosowanie uzupełnień pełnoceramicznych w opisanym przypadku zostanie z pewnością przez wiele osób uznane za przypadek graniczny ze względu na nieprawidłową relację szczęki i żuchwy w wymiarze pionowym. Oczywiście, po osadzeniu uzupełnień pacjent dostał szynę relaksacyjną (Kern 2013).
Ze względu na trudną sytuację początkową, jeśli chodzi o wymiar pionowy, cenną pomocą podczas planowania leczenia było wykonanie wax-up. Dzięki temu możliwe było bowiem określenie stopnia utraty tkanek zębów i ich odbudowa z wosku modelowego. Dodatkowo jest to idealna podstawa do rozmowy z pacjentem na temat planowanych efektów, jak również określenia lub skorygowania planu leczenia.
_Podsumowanie
Stosowanie technologii CAD/CAM w połączeniu z materiałem na bazie tlenku cyrkonu oferuje interesujące możliwości wykonywania estetycznych uzupełnień, także przy trudnych warunkach w jamie ustnej. Tlenek cyrkonu nowej generacji, o wysokim stopniu przezierności, można zastosować w licznych wskazaniach, gdyż nadaje się on do wykonania koron pełnoanatomicznych, licowanych całkowicie lub częściowo, gdzie możliwa jest preparacja oszczędzająca tkankę zęba. Także pod względem doboru koloru materiał ten okazuje się być bardzo elastyczny.
embedImagecenter("Imagecenter_1_1465",1465, "large");
*VITA to zastrzeżony znak handlowy firmy VITA Zahnfabrik H. Rauter GmbH & Co. KG, Bad Säckingen
Piśmiennictwo dostępne u wydawcy.
Kontakt:
Tech. dent. Olaf van Iperen
Siebengebirgsblick 12
53343 Wachtberg
Tel.: 0 228 954630
E-mail: o.iperen@vaniperen.de
www.vaniperen.de
W niniejszym artykule opisano przeprowadzenie obszernej odbudowy startych na skutek abrazji zębów przednich i bocznych w szczęce i żuchwie za ...
Można regularnie myć zęby, nie mieć ubytków, a mimo wszystko odczuwać ból zębów wynikający z ich reakcji na ciepło, zimno, ...
Dental Tribune Study Club zaprasza do udziału w webinarium, które odbędzie się w poniedziałek 21 marca o godz. 19.00. Wykład pt.: "Odbudowa...
Prostowanie zębów bez aparatu, rozjaśnianie uśmiechu bez wybielania, błyskawiczny bonding zamiast licówek – to szybkie, skuteczne i ...
Zaopatrzenie zębodołu i wyrostka zębodołowego po ekstrakcji zęba to zalecane postępowanie, mające na celu zachowanie wysokości i szerokości ...
W prezentowanym przypadku opisano leczenie implantoprotetyczne 49-letniego, niepalącego mężczyzny. Życzeniem pacjenta było wykonanie pełnej ...
W prezentowanym przypadku opisano leczenie implantoprotetyczne 49-letniego, niepalącego mężczyzny. Życzeniem pacjenta było wykonanie pełnej ...
Opis przypadku
56-letni pacjent zgłosił się do leczenia ze zmianami szkliwa w siekaczu bocznym. Badanie jamy ustnej wykazało zdrowe przyzębie i zdrowy...
Badania nad komórkami macierzystymi odegrały ważną rolę w wielu dziedzinach medycyny. W nowym badaniu naukowcy zbadali, czy komórki macierzyste ...
LONDYN, Anglia: Pionierskie badania przeprowadzone w King’s College London wykazały, że keratyna – białko pozyskiwane z ludzkich włosów lub wełny ...
Webinarium na żywo
czw. 30 kwietnia 2026
1:00 (CET) Warsaw
Dr. Renato Leonardo D.M.D.
Webinarium na żywo
czw. 30 kwietnia 2026
7:00 (CET) Warsaw
Webinarium na żywo
nie. 3 maja 2026
6:00 (CET) Warsaw
Dr. Rickard Brånemark MSc, MD, PhD, Dr. Robert Gottlander DDS
Webinarium na żywo
pon. 4 maja 2026
2:00 (CET) Warsaw
Webinarium na żywo
wto. 5 maja 2026
4:00 (CET) Warsaw
Webinarium na żywo
wto. 5 maja 2026
6:00 (CET) Warsaw
Webinarium na żywo
wto. 5 maja 2026
7:00 (CET) Warsaw
Dr. Maximilian Dobbertin M.Sc
To post a reply please login or register