Opis przypadku
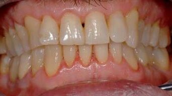
56-letni pacjent zgłosił się do leczenia ze zmianami szkliwa w siekaczu bocznym. Badanie jamy ustnej wykazało zdrowe przyzębie i zdrowy staw skroniowo-żuchwowy oraz zgryz klasy I (Ryc. 1-4). Badanie radiologiczne nie wykazało żadnych innych zmian korzeniowych. Kondycja tkanek miękkich odzwierciedliła dobry stan zdrowia przyzębia. Tkanki twarde zbadano pod kątem wrażliwości na opukiwanie, dotyk oraz sprężone powietrze – badanie potwierdziło ich zdrowy stan. Ząb został także poddany testom na żywotność miazgi oraz odporność na zimno.
Celem było odbudowanie zęba siekacza bocznego przy pomocy lasera Er:YAG w
następującej kolejności:
_preparacja ubytków zęba,
_odkażenie leczonej powierzchni,
_reparacja krawędzi zęba za pomocą wiertła w celu uzyskania odpowiedniej powierzchni o maksymalnych właściwościach adhezyjnych
_uzupełnienie ubytków hybrydową żywicą kompozytową.
Długość fali lasera Er:YAG jest pochłaniana przez tkankę twardą, dlatego konserwacja zdrowej struktury zęba jest wydajniejsza niż przy użyciu tradycyjnej kątnicy wysokoobrotowej. Co więcej, relatywny brak symulacji dotykowej przy leczeniu laserowym często umożliwia wykonanie zabiegu bez konieczności zastosowania środka znieczulającego.
Środki ostrożności
Podczas wykonywania zabiegu należy stosować odpowiednią ilość sprayu wodnego. Dobra widoczność oraz niskie zużycie energii podczas preparacji są konieczne, aby uniknąć efektu termicznego oraz usunięcia nadmiernej ilości
struktury zęba.
Alternatywne zabiegi
Podczas przygotowywania powierzchni zęba, alternatywą dla leczenia laserowego może być tradycyjny zabieg wykonany za pomocą wierteł. Należy jednak pamiętać, że może on powodować większą utratę tkanki twardej, mikropęknięcia szkliwa oraz uczucie nadwrażliwości.
embedImagecenter("Imagecenter_1_452",452, "large"); ">script>
Parametry lasera
Podczas zabiegu zastosowano laser Er:YAG (DElight, HOYA ConBio) o długości fali 2940 nm, wyposażony w system światłowodowy oraz końcówkę kwarcową o średnicy 600 μ. Laser pracuje w trybie pulsacyjnym, a długość trwania pulsu wynosi 300 ms. Ablację szkliwa wykonywano w trybie niekontaktowym przy użyciu końcówki kwarcowej 80° z chłodzeniem wodnym oraz ustawieniach mocy lasera na 5 W (energia wyjściowa 200 mJ, częstotliwość impulsów 25 Hz). Podczas ablacji zębiny zastosowano moc 3,2 W (160 mJ, 20 Hz), końcówkę kwarcową 80° z chłodzeniem wodnym oraz tryb niekontaktowy. Przed rozpoczęciem zabiegu pacjenta zapoznano z kolejnymi etapami procedury. Zastosowano wszelkie środki ostrożności. Pacjenta i operatorów wyposażono w specjalnie oznaczone okulary ochronne oraz sprawdzono stan mechanicznych komponentów urządzenia. Po wykonaniu procedur bezpieczeństwa, laser przetestowano pod kątem prawidłowego funkcjonowania wiązki oraz systemu chłodzącego sprayem. Podczas zabiegu tkanki zastosowano ssanie o dużej sile. Częstotliwość impulsów ustawiono na 25 Hz a energię wyjściową na 200 mJ, co dało moc o sile 5 W. Ablację szkliwa przeprowadzono przy użyciu kwarcowej końcówki 80° z chłodzeniem wodnym oraz zastosowaniem trybu niekontaktowego. Następnie zmniejszono częstotliwość impulsów na 20 Hz a energię wyjściową na 160 mJ, co dało moc o sile 3,2 W. Ablację szkliwa przeprowadzono przy użyciu kwarcowej końcówki 80° z chłodzeniem wodnym oraz zastosowaniem trybu niekontaktowego. Na powierzchnię szkliwa oraz zębiny nałożono cement Clearfil SE (Kuraray America, Inc.), a jako materiał uzupełniający wykorzystano nanokompozyt Adonis (Sweden et Martina S.p.A.). Wykończenie uzupełnienia wykonano przy użyciu gruboziarnistych wierteł diamentowych, wierteł wykończeniowych 12-nacięciowych oraz tarcz wykończeniowych (Ryc. 5-14).
Instrukcje pozabiegowe
Ponieważ nie zastosowano żadnego środka znieczulającego, u pacjenta nie wystąpił efekt odrętwienia. Pozwolono mu więc na kontynuowanie codziennych czynności.
Opieka kontrolna
Osiągnięto wyznaczone przed zabiegiem cele. Cała procedura została przeprowadzona efektywnie bez zastosowania środka znieczulającego. Co więcej, uzyskano satysfakcjonujące efekty estetyczne (Ryc. 14). Celem osiągnięcia długoterminowych efektów zabiegu jest utrwalenie założeń początkowego planu leczenia. Testy żywotności leczonego zęba wypadły pomyślnie.
Rozpoczynając kolejny etap reformy systemu opieki zdrowotnej w Polsce, rząd proponuje wiele zmian w dotychczasowym porządku prawnym.
Zakończone sukcesem leczenie ortodontyczne nie zawsze oznacza dla pacjenta uzyskanie satysfakcjonującego uśmiechu. Nieprawidłowości dotyczące ...
Sejm znowelizował zmienił ustawy o inspekcji sanitarnej i o zapobieganiu zakażeniom. Teraz ustawa trafi pod obrady Senatu. Wprowadzone zmiany, ...
Sejm znowelizował zmienił ustawy o inspekcji sanitarnej i o zapobieganiu zakażeniom. Teraz ustawa trafi pod obrady Senatu. Wprowadzone zmiany, ...
Wśród propozycji zmian organizacji i finansowania świadczeń z zakresu AOS znalazły się m. in.: wzrost liczby procedur wykonywanych w gabinetach ...
Projekt nowelizacji ustawy o świadczeniach opieki zdrowotnej, dotyczący zmian w zasadach wyboru lekarzy, pielęgniarek i położnych podstawowej opieki ...
Na przełomie września i października (30.09-1.10) br. w Bieszczadach odbędzie się Międzynarodowa Konferencja pt.: „Innowacje, nowe technologie i...
BERLIN, Niemcy: Pięć lat od wejścia w życie unijnego rozporządzenia dotyczącego wyrobów medycznych (EU Medical Device Regulation 2017/745, MDR) ...
O strategiach finansowych, celach działania i biznesowych wizjach w klinice stomatologicznej rozmawiamy z Tomaszem Nałęczem, ekspertem ds. finansów ...
Pacjentka (ogólnie zdrowa) została skierowana na zabieg wyrównania warunków okluzyjnych. W wyniku przeprowadzonego badania ...
Webinarium na żywo
wto. 19 maja 2026
5:00 (CET) Warsaw
Webinarium na żywo
wto. 19 maja 2026
7:00 (CET) Warsaw
Prof. Dr. med. dent. Ivo Krejci
Webinarium na żywo
śro. 20 maja 2026
1:00 (CET) Warsaw
Dr. Graham Carmichael BDSc (Hons), DClinDent (Pros), FRACDS, Dr. Robert Gottlander DDS
Webinarium na żywo
śro. 20 maja 2026
3:00 (CET) Warsaw
Webinarium na żywo
śro. 20 maja 2026
5:00 (CET) Warsaw
Webinarium na żywo
śro. 20 maja 2026
7:00 (CET) Warsaw
Prof. Dr. med. dent. Tim Joda PhD, MSc, eMBA
Webinarium na żywo
czw. 21 maja 2026
6:00 (CET) Warsaw
Dr. Leonardo Muniz DDS, MSC
To post a reply please login or register