Wśród propozycji zmian organizacji i finansowania świadczeń z zakresu AOS znalazły się m. in.: wzrost liczby procedur wykonywanych w gabinetach zabiegowych bez konieczności pobytu w szpitalu i zwiększenie przez poradnie liczby zgłoszeń pacjentów do przeszczepu nerki.
Prezes Narodowego Funduszu Zdrowia przekazała do konsultacji projekt nowelizacji zarządzenia dotyczącego ambulatoryjnej opieki specjalistycznej. Zaproponowano w nim zmianę mechanizmu rozdziału środków na finansowanie zabiegów, które mogą być wykonywane w poradni specjalistycznej bez konieczności hospitalizacji.
Każdy z dyrektorów oddziałów wojewódzkich NFZ zaproponuje określoną pulę środków na realizację zabiegów w ambulatoriach oraz na kwalifikację do przeszczepów. Prezes NFZ poinformowała także, że dokonano modyfikacji wyceny punktowej niektórych kilku świadczeń z AOS.
NFZ podkreśla, że proponowane zmiany to kontynuacja przesuwania części procedur medycznych wykonywanych w szpitalach do ambulatoryjnej opieki specjalistycznej. Zdaniem Funduszu powinno się to przyczynić do skrócenia kolejek do świadczeń szpitalnych.
Projekt zarządzenia spełnia także postulat Naczelnej Rady Lekarskiej i wprowadza w rankingu ofert dodatkową wycenę punktową parametru „jakość”. Polega ona na przyznaniu świadczeniodawcom dodatkowych punktów za realizację świadczeń przez lekarzy z I stopniem specjalizacji. Fundusz chce premiować szczególnie stałość i stabilność personelu lekarskiego udzielającego świadczeń w poradniach specjalistycznych.
Na podst.: PAP
W 2014 r. Narodowy Fundusz Zdrowia przeznaczy ponad 63,3 mld zł na finansowanie świadczeń zdrowotnych – jest to kwota o prawie 412 mln zł ...
W wywiadzie udzielonym „Gazecie Prawnej” na początku listopada, prezes Narodowego Funduszu Zdrowia Jacek Paszkiewicz, przyznał, że procedura ...
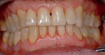
Opis przypadku
56-letni pacjent zgłosił się do leczenia ze zmianami szkliwa w siekaczu bocznym. Badanie jamy ustnej wykazało zdrowe przyzębie i zdrowy...
Rozpoczynając kolejny etap reformy systemu opieki zdrowotnej w Polsce, rząd proponuje wiele zmian w dotychczasowym porządku prawnym.
Ministerialne programy na rzecz popularyzacji zdrowia i higieny jamy ustnej są mało skuteczne. 92% polskich nastolatków cierpi z powodu ...
Ministerstwo Obrony Narodowej przedstawiło sejmowej komisji obrony narodowej informację na temat funkcjonowania wojskowej ochrony zdrowia.
Parlament Europejski przyjął unijną dyrektywę w sprawie praw pacjenta w transgranicznej opiece zdrowotnej.
Sejm znowelizował zmienił ustawy o inspekcji sanitarnej i o zapobieganiu zakażeniom. Teraz ustawa trafi pod obrady Senatu. Wprowadzone zmiany, ...
Sejm znowelizował zmienił ustawy o inspekcji sanitarnej i o zapobieganiu zakażeniom. Teraz ustawa trafi pod obrady Senatu. Wprowadzone zmiany, ...
Projekt nowelizacji ustawy o świadczeniach opieki zdrowotnej, dotyczący zmian w zasadach wyboru lekarzy, pielęgniarek i położnych podstawowej opieki ...
Webinarium na żywo
czw. 30 kwietnia 2026
1:00 (CET) Warsaw
Dr. Renato Leonardo D.M.D.
Webinarium na żywo
czw. 30 kwietnia 2026
7:00 (CET) Warsaw
Webinarium na żywo
nie. 3 maja 2026
6:00 (CET) Warsaw
Dr. Rickard Brånemark MSc, MD, PhD, Dr. Robert Gottlander DDS
Webinarium na żywo
pon. 4 maja 2026
2:00 (CET) Warsaw
Webinarium na żywo
wto. 5 maja 2026
4:00 (CET) Warsaw
Webinarium na żywo
wto. 5 maja 2026
6:00 (CET) Warsaw
Webinarium na żywo
wto. 5 maja 2026
7:00 (CET) Warsaw
Dr. Maximilian Dobbertin M.Sc
To post a reply please login or register