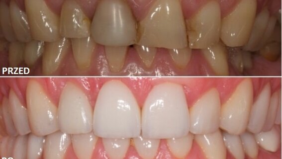
Autor prezentuje opis przypadku leczenia kompleksowego z planowaniem w centralnej relacji. Wykonano zabieg przeszczepienia pełnego bloku kostnego i autogenne wióry kostne w zabiegu sinus lift metodą otwartym. Estetyka w odcinku przednim: implantacja bezpłatowa, pokrycie recesji dziąsła tunelowo z przeszczepem tkanki łącznej. Ostateczny efekt uzyskano licówkami i nakładami e-max w CR.
36-letni pacjent zgłosił się w celu leczenia torbieli korzeniowej, której zębem przyczynowym był ząb 11. Badanie wewnątrzustne oraz diagnostyka rtg wykazały potrzebę multidyscyplinarnego leczenia kompleksowego (Ryc. 1). Korzeń prawego przyśrodkowego siekacza (ząb przyczynowy torbieli) był w dużej części zresorbowany (Ryc. 1), przesunięty doprzedsionkowo, a na powierzchni podniebiennej korony, w miejscu cingulum był wytarty przez dolne zęby sieczne bardzo głęboki próg (Ryc. 2). Wszystkie te czynniki zadecydowały o potrzebie usunięcia korzenia, a próg dodatkowo świadczył o tym, że w aktualnym położeniu zwarciowym leczenie implantologiczne po usunięciu zęba nie było możliwe. Stwierdzono również bardzo duże starcie zębów przednich, będące wynikiem bruksizmu i dużej aktywności mięśniowej.
Pierwszym etapem powinno być leczenie ortodontyczne, mające na celu uszeregowanie uzębienia tak, aby przywrócić przestrzeń na prawidłową odbudowę siekaczy i kłów. Po fazie wstępnej obejmującej: wizyty higienizacyjne, leczenie zachowawcze i endodontyczne oraz konsultację ortodontyczną, przystąpiono do pierwszego etapu chirurgicznego.
Etap ten obejmował 3 jednoczasowe zabiegi:
_usunięcie zęba 11 z równoczesnym wyłyżeczkowaniem jamy torbieli oraz założeniem tymczasowego mostu Rochete metal-akryl przyklejonego do podniebiennej powierzchni zębów 12 i 21,
_wszczepienie implantu 36 z równoczesnym pobraniem bloku kostnego mikropiłą z końcowego odcinka kresy skośnej poniżej implantu oraz pobraniem wiórków kostnych skrobaczką SafeScraper (META) z okolic (Ryc. 3 i 4),
_wszczepienie implantu 26 z równoczesnym wykonaniem zabiegu sinus lift metodą otwartą i jednoczesnej stabilizacji implantu blokiem kostnym włożonym do wnętrzna zatoki szczękowej.
Stan wyjściowy to 2 mm wymiaru pionowego kości w miejscu 26. Przy tradycyjnej procedurze należałoby wykonać najpierw zabieg sinus lift i po 6 miesiącach dopiero implantację. Dzięki zastosowanemu postępowaniu skrócono znacznie czas leczenia w tym miejscu (po 4 miesiącach założono koronę tymczasową), ograniczono liczbę zabiegów do jednego i polepszono jakość kości otaczającej implant – autogenne wióry kostne vs syntetyczny granulat kostny (Ryc. 5). Należy zwrócić uwagę na piękne beleczkowanie kostne w kości otaczającej implant na ostatnich zdjęciach wtedy kiedy blok kostny uległ już resorpcji i dokonała się przebudowa kostna (Ryc. 6 i 7).
Pobrany przy pomocy mikropiły blok kostny miał przybliżone wymiary 10 x 10 x 4 mm. Zabieg w szczęce rozpoczęto od wycięcie okienka bocznego do zatoki szczękowej, odwarstwienia i uniesienia membrany Schneidera oraz zniesienia przegrody w zatoce. Następnie zewnątrzustnie wykonano nawiercenie otworu w bloku kostnym zgodnie z procedurą i wykonano łoże dla implantu na szczycie grzbietu wyrostka w pozycji 26. Jako pierwszą warstwę w górnym piętrze tuż pod śluzówką zatoki, użyto materiału 4Bone MIS. Następnie wprowadzono część autogennych wiórów kostnych oraz spozycjonowano w zatoce blok kostny. Następnym etapem było wprowadzenie implantu, któremu stabilność pierwotną zapewniały 2 mm kości grzbietu wyrostka oraz 4 mm grubości bloku kostnego (Ryc. 5). Resztę przestrzeni wypełniono autogennymi wiórami kostnymi. W okienku położono na to pojedyńczą warstwę granulek 4Bone i przykryto resorbowalną membraną kolagenową firmy MIS. Całość zeszyto na głucho.
Po zdjęciu szwów pacjent został skierowany na wspomniane leczenie ortodontyczne. Pod koniec leczenia, w fazie stabilizacji, przystąpiono do drugiego zabiegu chirurgicznego (12 miesięcy od pierwszego zabiegu). Zabieg w celu utrzymania estetyki różowej – zachowanie brodawek międzyzębowych, dzięki sprzyjającym warunkom kostnym, mógł być wykonany bezpłatowo. Dziąsło w miejscu implantacji zostało usunięte ręcznie przy pomocy puncha. Następnie wykonano standardową procedurę w celu opracowania łoża dla implantu MIS C1. Wszczepiono implant i umieszczono śrubę gojącą (Ryc. 8). Następnie ponownie założono most tymczasowy Rochete – przyczepiony do sąsiadujących zębów oraz aparatu ortodontycznego (Ryc. 9).
Po zakończeniu leczenia ortodontycznego, jako fazę wstępną, wykonano wybielanie nakładkowe wszystkich zębów.
Następnie przeprowadzono planowanie leczenia kompleksowego w 3D. Wykonano modele z gipsu kl IV, a także zarejestrowano relację centralną (CR) i dokonano pomiaru łukiem twarzowym.
Wykonano wax-up na modelach oprawionych w artykulator w CR, a potem na jego podstawie mock-up w ustach pacjenta. Nieznaczne zwiększenie pionowego wymiaru zwarcia (VDO) na podstawie badań McAdrewsa1 spowodowało przesunięcie brzegów siecznych zębów dolnych do tyłu i uzyskanie prawidłowego kontaktu zębów przednich. Zmiana VDO będzie podlegać adaptacji aż do momentu dojścia do poziomu pozostającego w harmonii2,3 z długością mięśni. Na podstawie analizy na modelach oszlifowano i pobrano wyciski: 37 – nakład na powierzchnię żującą, 36 (ząb po leczeniu endodontycznym) – pod koronę cerkon; 35, 34, 44, 45 – pod licówki połączone z nakładami; 33, 32, 31, 41, 42, 43 – pod licówki; 46 – korona na implancie; 47 – nakład na powierzchnię żującą. Wszystkie uzupełnienia zostały wykonane z materiału e-max i zacementowane na Variolink Veneer (Ivoclar Vivadent), (Ryc. 10).
Kolejnym etapem leczenia było wykonanie licówek e-max na zębach 15, 14, 13, 22, 23, 24, 25; koron e-max na zębach 12 i 21 i korony metalowo-porcelanowej na implancie 26. Na obu przyśrodkowych siekaczach wykonano kompozytowe korony tymczasowe. Na implancie 11 korona była zacementowana na indywidualnym łączniku z e-max wykonanym w oparciu o fabryczną bazę tytanową z e-max (Ryc. 10). Następnie: krytyczna ocena równowagi poziomu dziąsła4 przednich zębów górnych. Zauważalne były 2 nieprawidłowości: spowodowany zanikiem kości na szerokość deficyt tkanek nad planowaną koroną zęba 11 (wgłębienie dziąsła w kształcie litery U nad koroną przy wysokiej linii powoduje cień i wrażenie szarości w tym rejonie, Ryc. 8) oraz recesja dziąsła nad zębem 21 (Ryc. 10).
Od dawna udowodnione jest, że przeszczepy bloków kostnych nie zachowują swoich pierwotnych rozmiarów długoterminowo. Techniką z wyboru do likwidacji estetycznych skutków zaników kości jest zatem przeszczep tkanki łącznej. Zucchelli i współpracownicy w swoich badaniach5 i książce twierdzą, że lepszej jakości CTG możemy uzyskać techniką deepitelializacji nabłonka DGG wolnego przeszczepu dziąsła w porównaniu do tradycyjnych starszych technik (envelope technique, trapdoor technique i L-technique). Wytworzono więc płat dzielony na przedsionkowej stronie wyrostka nad implantem 11 i umieszczono tam CTG pobrany techniką deepitelializacji nabłonka.
Po 4 miesiącach wykonano zabieg pokrycia miejscowej recesji dziąsła nad zębem 21 zmodyfikowaną techniką tunelową6 z autoprzeszczepem tkanki łącznej z podniebienia. Tkankę łączną pobrano techniką koperty. Do stabilizacji i kompresji przeszczepu użyto szwu podwójnie skrzyżowanego pionowego (Ryc. 11 i 12).
Po kolejnych 5 miesiącach wykonano ostateczne korony z materiału e-max na obu przyśrodkowych siekaczach (Ryc. 13 i 14). Po ostatecznej ekwilibracji w celu uzyskania zbliżonych kontaktów na wszystkich zębach pacjent jest stabilny zwarciowo, biologicznie i estetycznie – obecnie 2 lata od zakończenia leczenia (Ryc. 15, 16, 17).
embedImagecenter("Imagecenter_1_1898",1898, "large");
Piśmiennictwo dostępne u wydawcy.
Autor:
Lek. stom. Michał Szczutkowski ukończył Akademię Medyczną w Łodzi. Specjalizuje się w dziedzinie implantologii, chirurgii periodontologicznej i stomatologii estetycznej. Pracuje w powiększeniu z mikroskopem. Jest członkiem aktywnym PASE, PSSM, ITI. Ukończył programy i cykle kursów szkoleniowych u największych światowych autorytetów zagranicą: Dennis Tarnow, Stephen Chu, Marcus Hurzeler, Otto Zuhr, Fouad Khoury, Pascal Magne, Cobi Landsberg. Jest absolwentem The Dawson Academy – USA. Głównym celem w pracy dr. Szczutkowskiego jest harmonia estetyki różowej i białej wykonywanych prac.
Kontakt:
„Aquarius”CSE w Bełchatowie
www.implanty.in
Autor prezentuje opis przypadku leczenia kompleksowego z planowaniem w centralnej relacji. Wykonano zabieg przeszczepienia pełnego bloku kostnego i ...
Można wiele zrobić, aby sterowana regeneracja kości była bardziej przewidywalna. Jedno z pewnością jest niezmiernie ważne: aby spowodować wrastanie ...
18-19. maja br. w Ustroniu odbędzie się konferencja poświęcona zaburzeniom metabolizmu kostnego, które mają wpływ na postępowanie lekarzy ...
Naukowcy pracują nad biomateriałem z nanowłókien, który można wstrzykiwać bezpośrednio w miejsce złamania i ubytków kostnych. Docelowo pomoże on ...
Już w nabliższy weekend (14.01.2012) firma Garmed organizuje w Poznaniu konferencję implantologiczną pt.: „Bez bólu i powikłań – ...
W połowie stycznia (14.01.2012) firma Garmed organizuje w Poznaniu konferencję implantologiczną pt.: „Bez bólu i powikłań – ...
W połowie stycznia przyszłego roku (14.01.2012) firma Garmed organizuje w Poznaniu konferencję implantologiczną pt.: „Bez bólu i powikłań...
Leczenie rekonstrukcyjne braków uzębienia z wykorzystaniem tytanowych wszczepów ulegających osteointegracji staje się coraz powszechniejsze...
Leczenie rekonstrukcyjne braków uzębienia z wykorzystaniem tytanowych wszczepów ulegających osteointegracji staje się coraz powszechniejsze...
Kruszone lub sproszkowane skorupki jaj mają wiele praktycznych zastosowań. Można je stosować jako naturalny suplement wapnia, słodzik do kawy, lek na ...
Webinarium na żywo
czw. 30 kwietnia 2026
1:00 (CET) Warsaw
Dr. Renato Leonardo D.M.D.
Webinarium na żywo
czw. 30 kwietnia 2026
7:00 (CET) Warsaw
Webinarium na żywo
nie. 3 maja 2026
6:00 (CET) Warsaw
Dr. Rickard Brånemark MSc, MD, PhD, Dr. Robert Gottlander DDS
Webinarium na żywo
pon. 4 maja 2026
2:00 (CET) Warsaw
Webinarium na żywo
wto. 5 maja 2026
4:00 (CET) Warsaw
Webinarium na żywo
wto. 5 maja 2026
6:00 (CET) Warsaw
Webinarium na żywo
wto. 5 maja 2026
7:00 (CET) Warsaw
Dr. Maximilian Dobbertin M.Sc
To post a reply please login or register