Leczenie rekonstrukcyjne braków uzębienia z wykorzystaniem tytanowych wszczepów ulegających osteointegracji staje się coraz powszechniejsze w praktyce lekarzy dentystów. Implantologia stomatologiczna rozwija się i ewoluuje niezwykle dynamicznie. Coraz więcej pacjentów decyduje się na leczenie implantoprotetyczne, oczekując długotrwałych efektów funkcjonalnych i estetycznych, jednak ogromna liczba wykonywanych zabiegów w kraju i na świecie potencjalnie obciążona jest możliwością występowania w pewnym odsetku powikłań, głównie pod postacią szeroko rozumianego periimplantitis.
Jest to rodzaj miejscowego zapalenia tkanek wokół szyjki implantu prowadzący do powstania ubytków okołowszczepowych. Stan taki może być wynikiem nieprawidłowo przeprowadzonych procedur chirurgicznych, niewłaściwej higieny, obecności zjadliwych szczepów bakterii lub też nierzadko przeciążeń funkcjonalnych, a także osłabienia układu immunologicznego organizmu w wyniku chorób ogólnoustrojowych. Utrata kości wokół implantu wymaga postępowania chirurgicznego lub niekiedy prowadzi do konieczności reimplantacji.
Czasami powikłania zapalne mogą mieć niecharakterystyczny i podstępny przebieg, co autorzy prezentują w opisywanym przypadku. Dotyczy on leczenia implantoprotetycznego żuchwy u 54-letniej kobiety. Nietypowa liza tkanki kostnej wystąpiła po kilku tygodniach gojenia zamkniętego. Zmiany zostały stwierdzone przypadkowo w badaniu fizykalnym i radiologicznym.
Opis przypadku
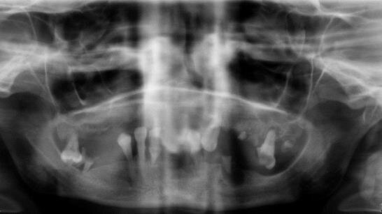
54-letnia pacjentka, ogólnie zdrowa, zgłosiła się do poradni chirurgii stomatologicznej i implantologii celem sanacji jamy ustnej oraz leczenia implantologicznego żuchwy. W badaniu fizykalnym stwierdzono obecność pozostawionych korzeni oraz zębów paradontalnych i zmian zapalnych. (Ryc. 1). Po rozmowie z pacjentką uzgodniono zastosowanie w żuchwie 2 implantów w pozycjach kłów i konstrukcję protezy całkowitej opartej na łącznikach typu „locator”. Ze względów ekonomicznych pacjentka zgodziła się na użytkowanie klasycznej protezy całkowitej osiadającej w szczęce. Przed wykonaniem zabiegu przygotowano protezy całkowite górną i dolną.
Zabieg wykonano w znieczuleniu miejscowym 4% chlorowodorkiem artykainy z dodatkiem noradrenaliny. Usunięto wszystkie zęby i korzenie oraz wyłuszczono z okolicy 34-35 zmianę makroskopowo mającą wygląd torbieli korzeniowej, co potwierdzono w badaniu histopatologicznym. Następnie, po przecięciu i odwarstwieniu błony śluzowej wraz z okostną, wykonano preparację kości części zębodołowej żuchwy w pozycjach 33 i 43. W prowadzono wszczepy o Ø 4,0 mm i długości 14 mm w okolicy 33 oraz Ø 3,5 mm i długości 14 mm w pozycji 43. Rany zszyto szwami pojedynczymi nylon 5-0. Po zabiegu zalecono doustną antybiotykoterapię z amoksycylliny w dawce 2 g na dobę, w 2 dawkach podzielonych przez 7 dni. W celu zmniejszenia dyskomfortu pooperacyjnego, stosowano nimesulid w dawce 0,1 g doustnie 2 razy na dobę. Gojenie przebiegało bez powikłań, szwy usunięto w 7. dobie. Odciążono płytę protezy w miejscach położenia implantów oraz nieznacznie zwiększono jej zasięg w wymiarze przedsionkowym i językowym celem poprawy retencji.
Przyjęto 12-tygodniowy protokół gojenia zamkniętego. W tym czasie wykonano 3 wizyty kontrolne w odstępach 4-tygodniowych. Pierwsza wizyta nie wykazała żadnych nieprawidłowości w osteointegracji, pacjentka nie zgłaszała dolegliwości (Ryc. 2). Utrzymanie protezy górnej pacjentka określiła jako wystarczająco komfortowe, ale zgłaszała trudności w użytkowaniu protezy dolnej.
Kolejna kontrola została wykonana po następnych 4 tygodniach. Także i tym razem pacjentka nie zgłaszała bólu, jedynie dyskomfort w utrzymaniu dolnej protezy oraz utrudnione spożywanie posiłków. W badaniu wewnątrzustnym stwierdzono odleżynę po stronie językowej w okolicy 33. Ponadto, podczas palpacji tego fragmentu części zębodołowej, na granicy dziąsła i dna jamy ustnej stwierdzono miejsce poddające się uciskowi, który wywoływał niewielką tkliwość. W rtg pantomograficznym i TK stwierdzono w okolicy wierzchołka implantu 33 obecność ogniska lizy tkanki kostnej z uszkodzeniem blaszki językowej. Zmiany przypominały „zapalenie okołowierzchołkowe”. Ognisko powyższe osiągnęło rozmiar 6 mm w wymiarze przedsionkowo-językowym oraz 7 mm mezjalno-dystalnie. Blaszka kostna przedsionkowa nie została zniszczona, tkanka kostna przedsionkowo miała szerokość 4 mm w rzucie zapalenia. Co ciekawe, kość i tkanka miękka wokół szyjek implantów nie wykazywały żadnych zmian patologicznych (Ryc. 3-6).
W takiej sytuacji podjęto decyzję o leczeniu chirurgicznym zapalenia z jednoczasową rekonstrukcją ubytku kostnego. Zabieg wykonano w takim samym znieczuleniu miejscowym, jakie zastosowano podczas implantacji. W przedsionku jamy ustnej wykonano cięcie trapezowate w okolicy 33 ok. 4 mm poniżej szczytu części zębodołowej. Następnie wykonano otwór trepanacyjny w blaszce przedsionkowej, docierając do zmiany mającej makroskopowo charakter ziarniny. Zmianę usunięto w całości, uwidaczniając odsłoniętą powierzchnię wszczepu i ubytek kostny. Nie stwierdzono przerwania ciągłości okostnej po stronie językowej. Usunięty materiał przesłano do badania histopatologicznego.
Ostrożnie oczyszczono powierzchnię implantu za pomocą kirety tytanowej. Do jamy kostnej wprowadzono roztwór klindamycyny na kilka minut celem jej odkażenia. Do augmentacji użyto materiał Tigran Natix™ White. Zawiera on porowate granulki czystego tytanu, które zwiększają retencję materiału do powierzchni implantu4. Producent rekomenduje jego zastosowanie w wypełnianiu ubytków kostnych spowodowanych m.in. periimplantitis. Materiał ten znajduje również zastosowanie w innych procedurach augmentacyjnych, np. po zabiegach podniesienia dna zatoki szczękowej, w poszerzaniu wymiaru wyrostka zębodołowego, a także w wypełnianiu jam kostnych po cystektomiach.
Po dokładnym wypełnieniu ubytku materiałem nasączonym dodatkowo roztworem klindamycyny, otwór trepanacyjny zamknięto membraną kolagenową Evolution (Osteobiol®Tecnoss®). Ranę zaopatrzono szwami nylon 5-0. Wykonano rtg kontrolne (Ryc. 7). Nie stosowano antybiotykoterapii doustnej, nimesulid był zalecony do użycia doraźnego. Pacjentka zgłaszała dolegliwości bólowe jedynie w pierwszej dobie po zabiegu. Szwy usunięto w 7. dobie. Wykonano także dokładną korektę płyty protezy dolnej.
Po kolejnych 4 tygodniach odsłonięto wszczepy i umocowano protezę całkowitą dolną na łącznikach typu „locator”. Na wizytę kontrolną pacjentka zgłosiła się po 2 tygodniach. W badaniu nie stwierdzono nieprawidłowości, retencja protezy została określona przez badaną jako bardzo dobra.
W badaniu histopatologicznym uzyskano wynik: inflammatio chronica granulomatosa. W okresie 2 lat po rekonstrukcji odnotowano prawidłową przebudowę i konsolidację ubytku (Ryc. 8), nie stwierdzono ponadto innych ognisk litycznych w okolicy wszczepów, pacjentka nie zgłaszała żadnych dolegliwości. Kobieta pozostaje pod kontrolą poradni chirurgii stomatologicznej.
Dyskusja
Powikłania zapalne w postaci periimplantitis są niejako wkalkulowane w ryzyko zabiegów implantologicznych i późniejszego funkcjonowania implantów. Występują w różnym odsetku i mogą doprowadzić do utraty wszczepu. Oprócz typowych objawów w postaci zapalenia tkanek miękkich wokół szyjki implantu oraz widocznych radiologicznie ubytków kostnych, mogą wystąpić także zapalenia niecharakterystyczne, jak w zaprezentowanym przypadku. Dzięki m.in. prostemu badaniu fizykalnemu, które przeprowadzono podczas wizyty kontrolnej zdiagnozowano nietypowe powikłanie o wysoce prawdopodobnej etiologii jatrogennej. Potwierdzono je następnie w obrazach radiologicznych. Zapalenie zostało wywołane najprawdopodobniej punktowym uciskiem płyty protezy w okolicy wierzchołka implantu 33 po stronie językowej. Dodatkowym czynnikiem mogło być nieco dojęzykowe położenie wszczepu i stosunkowo cienka otaczająca blaszka językowa. Oczywiście, nie można także wykluczyć miejscowego występowania agresywnych szczepów bakterii.
Opisany przypadek nie jest odosobniony. W literaturze przedmiotu znajdują się interesujące obserwacje podobnych zmian patologicznych. I tak, Flanagan opisał powstanie zapalenia wokół wierzchołka implantu w pozycji pierwszego przedtrzonowca szczęki. 46-letnia pacjentka zdecydowała się na rekonstrukcję implantologiczną po nieudanym leczeniu endodontyczno-periodontologicznym zęba 14. Pacjentka była ponadto leczona z powodu uogólnionej paradontozy. Natychmiastowa implantacja po ekstrakcji zęba przebiegła pomyślnie. Po 10 tygodniach gojenia zamkniętego pacjentka zgłosiła się z bólem w okolicy implantu. Radiologicznie stwierdzono defekt tkanki kostnej wokół wierzchołka wszczepu. Wykonano chirurgiczne leczenie rekonstrukcyjne z zastosowaniem hydroksyapatytu w postaci pasty wodnej zawierającej ponadto siarczan baru jako znacznik radiologiczny. W okresie 11 miesięcy obserwacji po obciążeniu funkcjonalnym nie odnotowano nieprawidłowości w konsolidacji materiału, a pacjentka nie zgłaszała żadnych dolegliwości.
Także Mohamed i wsp. przedstawili przypadek „okołowierzchołkowego” periimplantitis u 27-letniego pacjenta, który został poddany natychmiastowej implantacji po ekstrakcji złamanego korzenia zęba 22. Zęby 21 i 22 wykazywały ponadto obecność zmian okołowierzchołkowych po leczeniu endodontycznym i protetycznym z powodu wcześniejszego urazu. Implantacja została prawidłowo przeprowadzona po dokładnym oczyszczeniu zębodołu 22. Po 4 miesiącach od zabiegu podczas kontroli radiologicznej stwierdzono obecność zapalenia wokół implantu 22, przy jednoczesnym braku objawów klinicznych i ruchomości wszczepu. Przeprowadzono leczenie regeneracyjne z zastosowaniem ksenograftu i membrany z osocza bogatopłytkowego. Wcześniej odsłonięta powierzchnia tytanowa została zdezynfekowana. W okresie 12 miesięcy od wykonania augmentacji nie odnotowano żadnych zmian patologicznych – zarówno implant, jak i sąsiednie zęby funkcjonowały prawidłowo. Autorzy skłaniają się ku twierdzeniu, iż główną przyczyną tego typu powikłań mogą być bakterie pozostające w tkance zębodołu. Mogą one być aktywowane i zakażać powierzchnię wszczepu podczas jego wprowadzania po ekstrakcji.
Ciekawe doniesienie na temat nietypowego periimplantitis i równie ciekawego sposobu jego leczenia przedstawili Thompson-Sloan i wsp. 61-letni mężczyzna został poddany 10 lat wcześniej implantacji wyrostka zębodołowego szczęki w okolicy zębów 12, 11 i 21. W badaniu fizykalnym w miejscu implantu 11 stwierdzono przetokę ropną, a w badaniu radiologicznym rozrzedzenie struktury kostnej przy wierzchołkach 11 i 21. Zmiany przypominały ziarniniaki. W obrazach TK potwierdzono perforację blaszki przedsionkowej w okolicy 11. Wykonano operację płatową. Po usunięciu ziarniny zapalnej wykonano „resekcję” wierzchołków implantów 11 i 21 w celu eliminacji zakażonych części ich powierzchni. Ubytki kostne odkażono roztworem klindamycyny przez 3 min. Od strony podniebiennej umieszczono membranę kolagenową. Do wypełnienia ubytków użyto zdemineralizowanej kości i przedsionkowo także zastosowano membranę z kolagenu. Po 12 miesiącach potwierdzono radiologicznie i histopatologicznie prawidłową regenerację kości oraz klinicznie prawidłowy stan miejscowy.
W podsumowaniu należy podkreślić konieczność regularnych kontroli klinicznych i radiologicznych pacjentów poddanych zabiegom z zakresu implantologii. Zarówno zaprezentowany przez autorów przypadek, jak i obserwacje innych klinicystów potwierdzają, iż diagnostyka i leczenie nietypowych powikłań zapalnych na wczesnym etapie skutkuje długotrwałymi efektami leczniczymi, które znacząco podnoszą zadowolenie i zaufanie pacjentów.
embedImagecenter("Imagecenter_1_1070",1070, "large");
Leczenie rekonstrukcyjne braków uzębienia z wykorzystaniem tytanowych wszczepów ulegających osteointegracji staje się coraz powszechniejsze...
GOTHENBURG, Szwecja: Mimo że odnotowano wysokie wskaźniki przeżycia implantów stomatologicznych, mogą wystąpić powikłania biologiczne lub techniczne...
Użytkowanie protez ruchomych w żuchwie często stwarza pacjentom duży dyskomfort. Praca przedstawia częściową realizację kompleksowego planu leczenia...
Braki zębowe powodują zaburzenia funkcji układu stomatognatycznego. W przypadku występowania odpowiedniej liczby własnych zębów można wykonać...
Dzięki pojawieniu się nowych protokołów implantacji, różnorodności materiałów stomatologicznych i dynamicznie rozwijającej się ...
Wprowadzenie implantów w odcinku estetycznym nadal stanowi wyzwanie terapeutyczne. Optymalne wyniki leczenia możemy osiągnąć nie tylko poprzez ...
Wprowadzenie implantów w odcinku estetycznym nadal stanowi wyzwanie terapeutyczne. Optymalne wyniki leczenia możemy osiągnąć nie tylko poprzez ...
Zaprezentowany przypadek pokazuje sposób wykonania stałego uzupełnienia protetycznego w sytuacji znacznego zaniku tkanki kostnej żuchwy. Użycie ...
Zaprezentowany przypadek pokazuje sposób wykonania stałego uzupełnienia protetycznego w sytuacji znacznego zaniku tkanki kostnej żuchwy. Użycie ...
23 września br. kurs w ramach Akademii Implant Dental, który odbędzie się w Warszawskim Uniwersytecie Medycznym, poprowadzi dr Krzysztof ...
Webinarium na żywo
czw. 30 kwietnia 2026
1:00 (CET) Warsaw
Dr. Renato Leonardo D.M.D.
Webinarium na żywo
czw. 30 kwietnia 2026
7:00 (CET) Warsaw
Webinarium na żywo
nie. 3 maja 2026
6:00 (CET) Warsaw
Dr. Rickard Brånemark MSc, MD, PhD, Dr. Robert Gottlander DDS
Webinarium na żywo
pon. 4 maja 2026
2:00 (CET) Warsaw
Webinarium na żywo
wto. 5 maja 2026
4:00 (CET) Warsaw
Webinarium na żywo
wto. 5 maja 2026
6:00 (CET) Warsaw
Webinarium na żywo
wto. 5 maja 2026
7:00 (CET) Warsaw
Dr. Maximilian Dobbertin M.Sc
To post a reply please login or register