Wprowadzenie implantów w odcinku estetycznym nadal stanowi wyzwanie terapeutyczne. Optymalne wyniki leczenia możemy osiągnąć nie tylko poprzez wprowadzenie implantu w odpowiedniej pozycji, ale także poprzez zapewnienie odpowiedniego konturu tkanek twardych i miękkich wyrostka zębodołowego wokół implantu1. Zarówno przed implantacją, jak i w jej trakcie, najczęściej wykonywana jest augmentacja tkanek twardych jako rutynowe i uznane postępowanie zabiegowe, natomiast szerokość (HKT) i grubość (TKT) dziąsła zrogowaciałego, jak wykazano w ocenie długofalowej, ma równie istotną rolę funkcjonalną, jak i estetyczną.
Zasadniczą kwestią jest zapewnienie stabilnego, nieruchomego położenia brzegu dziąsła wokół implantu. Przeciwdziała to powstawaniu recesji dziąsłowych i odsłanianiu szyjek implantów (Ryc. 1a i b). Zapobiega także rozwojowi zapalenia dziąsła i przyzębia wokół implantów w postaci mucositis i periimplantitis. Często zapalenie dziąsła nie wynika z niewłaściwej współpracy pacjenta w zakresie higieny jamy ustnej, lecz jest konsekwencją warunków anatomicznych wokół wszczepu, czyli następstwem braku odpowiedniej grubości i szerokości dziąsła zrogowaciałego. Wyniki różnych badań naukowych dotyczące niezbędnej obecności dziąsła zrogowaciałego wokół implantów pozostają wciąż kontrowersyjne2, jednak niewątpliwie obecność dziąsła zrogowaciałego ułatwia higienę jamy ustnej i zapobiega zapaleniom okołowszczepowym.
W badaniu Jung3 ocenił, iż HKT i TKT powinna być większa niż 2 mm. Dziąsło zrogowaciałe zapewnia także korzystną morfologię brodawek dziąsłowych poprzez odpowiedni profil wyłaniania implantów, kontur łuku wyrostka zębodołowego w wymiarze pionowym i poziomym oraz często odpowiednie położenie granicy śluzówkowo-dziąsłowej. To są charakterystyczne cechy profilu tkanek miękkich zapewniających estetykę czerwono-białą ocenianą w różnych wskaźnikach estetycznych leczenia implantologicznego, np. wskaźnik PES wg Fürhausera4.
Istotny jest również wpływ grubości dziąsła zrogowaciałego na poziom resorpcji kości brzeżnej wokół implantów podczas wytwarzania nowej szerokości biologicznej przy odsłanianiu implantu. Na prawidłową szerokość biologiczną składa się wartość przyczepu nabłonkowego i łącznotkankowego o średniej wartości 2 mm plus głębokość szczeliny dziąsłowej ok. 1 mm. Stąd w przypadku cienkiego biotypu dziąsła, o wartości mniejszej niż 2 mm, dochodzić będzie do resorpcji kości wokół szyjki implantu dla stworzenia ok. 3 mm miejsca na wymienione elementy tworzące przyczep dziąsłowy wokół szyjki implantu5,6. Stąd rolą augmentacji dziąsła w chirurgii śluzówko-dziąsłowej okołoimplantacyjnej jest zwiększenie wymiaru wierzchołowo-koronowego i wargowo-językowego tkanek dziąsła i – tam, gdzie potrzeba – poprawa głębokości szczeliny dziąsłowej. Nowowytworzone dziąsło zrogowaciałe powinno zapewnić odpowiednią objętość i integralność szczeliny dziąsłowej7.
Istnieje kilka metod augmentacji dziąsła zrogowaciałego. Dzielą się one na dwie zasadnicze grupy ze względu na pochodzenie metody z zastosowaniem tkanki autogennej, jak i jej substytutów8. Można je podzielić następująco:
1. Siatki pochodzenia naturalnego (naturally derivied scaffolds):
- alloprzeszczepy, np. skóry ludzkiej (acelluar dermal scaffolds), np. Alloderm® (postać sucha) lub powięzi szerokiej uda, np. Fascioderm® (postać uwodniona),
- ksenoprzeszczepy, np. skóry świńskiej Mucoderm® lub błony podśluzowej jelit świń, np. DynaMatrix®
2. Substytuty skóry zasiedlane fibroblastami (Fibroblast-populated skin substitutes), np. Dermograft®, Apligraf®.
3. Siatki pochodzenia kolagenowego (Collagen based scaffolds) czyste (żel, gąbka, matryca), np. Mucograft® lub złożone.
4. Siatki pochodzenia fibrynowego (Fibryn-based scaffolds).
5. Siatki pochodzenia syntetycznego (Synthetic based scaffolds).
6. Siatki hybrydowe (Hybrid scaffolds).
Największą wadą autogennej transplantacji była i nadal jest konieczność powstania drugiego pola zabiegowego i związane z tym dolegliwości, wydłużony czas zabiegu, czy też martwica przeszczepu (9,10). W ciągu ostatnich lat badano kilka różnych substytutów, jednak żaden z nich nie był tak skuteczne jak tkanka autogenna. Nowością jest obecnie ksenogenna dwuwarstwowa matryca kolagenowa (CM, Mucograft®, Geistlich®). Matryca składa się z czystego kolagenu typu I i III, powstała bez obróbki chemicznej. Została opracowana jako resorbowalny zrąb kolagenowy, mający na celu podtrzymanie wzrastania tkanek, tzn. CM wspiera migrację komórek śluzówki i jej regenerację. Matryca została zastosowana do augmentacji dziąsła zrogowaciałego i leczenia recesji dziąsłowych zarówno pojedynczych, jak i mnogich10-12.
Z klinicznego punktu widzenia interesujący jest nie tylko rodzaj materiału augmentacyjnego, ale także kolejność wykonania zabiegów augmentacyjnych. Powszechnie procedura ta stosowana jest przed implantacja, jednak wydłuża czas przygotowania zabiegowego. Wymagany jest bowiem minimalny 3-miesięczny okres międzyzabiegowy, związany z dojrzewaniem tkanki łącznej. Można procedurę wykonać w trakcie wgajania implantu lub na etapie odsłaniania. W tym ostatnim przypadku, wydłuża to czas do wykonania pracy protetycznej o okres potrzebny dla dojrzenia nowej tkanki, zapewniającej optymalny profil wyłaniania. Najbardziej odpowiednim powinien być czas wgajania implantów. Na tym etapie niezbędne jest jednak zastosowania takich procedur, które nie spowodują utrudnionego gojenia mogącego wpłynąć negatywnie nie tylko na proces gojenia tkanek miękkich, ale i na sam proces osteointegracji.
Ciekawym rozwiązaniem może być zastosowaniem matrycy kolagenowej, w przypadku której nie odnotowano powikłań zapalnych i bólowych, a czas gojenia jest skrócony do minimum. Poza tym zapewniają optymalny wzrost grubości dziąsła zrogowaciałego o charakterze mniej hipertroficznym jak tkanka łączna13.
Celem niniejszej pracy jest przedstawienie zastosowania nowej matrycy kolagenowej jako alternatywy dla przeszczepu tkanki łącznej w pogrubieniu dziąsła zrogowaciałego w leczeniu implantologicznym.
Przypadek 1: Pogrubienie dziąsła zrogowaciałego materiałem Mucograft® 3 miesiące po implantacji w odcinku estetycznym
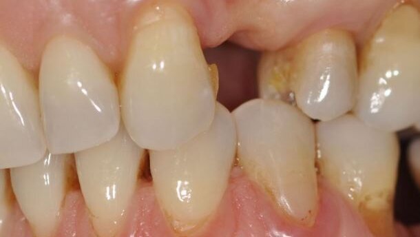
Pacjentka A.B., lat 44, zgłosiła się w celu uzupełnienia pojedynczego braku zębowego, górnego prawego pierwszego zęba przedtrzonowego (Ryc. 2), usuniętego wiele lat temu. Spowodowało to utratę nie tylko szerokości wyrostka zębodołowego w wymiarze pionowym, ale także poprzecznym, powodującym brak prawidłowej krzywizny wyrostka. Wynikiem utraty zęba była także utrata dziąsła zrogowaciałego jako struktury tzw. zależnej od zęba (tooth dependent structure).
Rekonstrukcję braku zębowego zaplanowano od zabiegu implantacji. Ze względu na ograniczenie wysokości wyrostka przez wpuklający się zachyłek zębodołowy zatoki szczękowej, implantacja wykonana została wraz z wewnętrznym podniesieniem zatoki przy pomocy osteotomów. Wszczepiono implant Conelog® ø3,8 11 mm (Camlog® Biotechnologies AG, Switzerland, Ryc. 3 i 4). Stabilizacja pierwotna mierzona z wykorzystaniem analizy częstotliwości rezonansowej (RFA) (Ostell® Mentor, Integration Diagnostics AB, Gamlestadsvägen, Göteborg, Sweden) wynosiła 67 ISQ. Po 3 miesiącach od implantacji wykonano zabieg pogrubienia dziąsła zrogowaciałego Mucograftem® (Geistlich® Pharma AG, Wolhusen, Switzerland). W pierwszym etapie wykonano kieszonką nadokostnową, czyli utworzono kopertowy płat śluzówkowy (Ryc. 5). Następnie wprowadzono Mucograft® (Ryc. 6) i ustabilizowano go w okolicy brzeżnej wyrostka za pomocą szwów resorbowalnych. Z kolei podcięto okostną u podstawy płata, zreponowano i szczelnie zaszyto bez napięcia tkanek z wykorzystaniem nici nieresorobowalnych 5-0 (Geistlich®, Pharma AG, Wolhusen, Switzerland, Ryc. 7).
Kontrolne badanie klinicznie wykonano 1, 3 i 6 miesięcy po implantacji. Oceniano HKT, TKT, wysokość i szerokość recesji (RD i RW), poziom przyczepu łącznotkankowego (CAL), zgłębnikowanie kieszonek dziąsłowych (probing pocket depth-PPD) zębów sąsiednich. Wartości większości parametrów klinicznych nie zmieniły się w czasie. Jedynie TKT wzrósł o 1 mm, osiągając wartość 2 mm w pomiarze na wyrostku (Ryc. 8 i 9). Pomiar ten wykonano ultrasnograficznie (USG) z wykorzystaniem biometru ultrasonograficznego Pirop® (Echo-Son®, Puławy, Poland)14. Przeprowadzano go przed zabiegiem oraz 3 miesiące po augmentacji, czyli 6 miesięcy po implantacji. USG badano w projekcji implantu w 3 punktach:
1. na linii łączącej CEJ (cemento-enamel junction) zębów sąsiednich,
2. na linii połączenia śluzówkowo-dziąsłowego (muco-gingival junction-MGJ)
3. na wyrostku, w połowie odległości pomiędzy brzegiem wyrostka a MGJ.
W punkcie pierwszym wartość zwiększyła się o 0,30 mm, w punkcie drugim o 1,07 mm, a w trzecim – o 0,79 mm. W 2 tygodnie po zabiegu augmentacji ocena gojenia wg wskaźnika Wachtela wynosiła 1, a odczucia bólowe pacjenta wg skali VAS – 1. Ocena estetyki wg Boucharda odnotowana była na poziomie 0, czyli „good” (estetyka lepsza po zabiegu). Również wskaźnik PES wg Fürhausera2 wzrósł z 5 do 8 po 3 miesiącach od augmentacji tkanki miękkiej.
Po 3 miesiącach od augmentacji odsłonięto implant techniką kopertową. Wprowadzono śrubę gojącą. Po 2 tygodniach, po uzyskaniu prawidłowego profilu wyłaniania, wykonano koronę porcelanową na metalu na łączniku standardowym (Ryc. 10-13).
Przypadek 2: Implantacja w odcinku estetycznym bez augmentacji tkanek miękkich
Pacjentka E.M., lat 62, zgłosiła się w celu uzupełnienia braku zębowego górnego lewego pierwszego zęba przedtrzonowego (Ryc. 14). Ekstrakcja zęba wykonana była wiele lat temu, co spowodowało podobną jak w przypadku opisanym poprzednio, utratę szerokości i wysokości wyrostka zębodołowego i dziąsła zrogowaciałego.
Zabieg implantacji przeprowadzono po wytworzeniu płata kopertowego bez nacięć pionowych. Wszczepiono implant Conelog® ø3,8 11 mm (Camlog® Camlog Biotechnologies AG, Switzerland, Ryc. 15). Stabilizacja oceniana Ostellem (Ostell® Mentor; Integration Diagnostics AB, Gamlestadsvägen, Göteborg, Sweden wynosiła 67 ISQ, Ryc. 16). Jednocześnie uzyskano pełne pokrycie implantu kością na całej jego długości i szerokości, zwłaszcza w obszarze okołoszyjkowym. Pomimo zmniejszonej szerokości wyrostka, ale ze względu na uzyskany minimalny 1-2 mm margines kości brzeżnej, nie wykonywano augmentacji biomateriałem tego obszaru. Następnie płat zreponowano i zeszyto z zastosowaniem nici nieresorbowalnych 5-0 (Seralon®, Serag Wiessner, Germany).
Badania klinicznie wykonano po 1, 3 i 6 miesiącach po implantacji. Oceniano HKT, TKT, RD, RW, CAL, PPD zębów sąsiednich. Wartości nie zmieniły się w czasie (Ryc. 17-19). Badanie ultrasonograficzne (Pirop® Ultrasonic Biometer, Echo-Son®, Pulawy, Poland) przeprowadzono przed zabiegiem i 6 miesięcy po implantacji. USG badano w tych samych punktach co w przypadku pierwszym. W punkcie 1. wartość zwiększyła się o 0,28 mm, w miejscu 2. o 0,33 mm, a w 3. o 0,37 mm.
W badaniu 2 tygodnie po zabiegu implantacji gojenie wg wskaźnika Wachtela wynosiło 1, a odczucia bólowe pacjenta wg skali VAS – 1. Ocena estetyki wg Boucharda wynosiła 0, czyli „good” (estetyka lepsza po zabiegu). Również wskaźnik PES wg Fürhausera2 wzrósł z 6 przed zabiegiem do 8 po 6 miesiącach od implantacji.
Mimo, iż estetyka poprawiła się już ze względu na samo podparcie tkanek miękkich, to z powodu cienkiego biotypu i recesji dziąseł przy zębach sąsiednich, dla uzyskania podobnej estetyki, jak w przypadku pierwszym, wykonano łącznik indywidualny cyrkonowy z koroną porcelanową na cyrkonie (Ryc. 20-22).
Podsumowanie:
Poprawa estetyki i przewidywalności implantacji poprzez zabiegi minimalnie inwazyjne, np. w postaci augmentacji tkanek miękkich matrycą kolagenową wydają się być wskazane terapeutycznie. Obecnie, pomimo braku informacji na temat wpływu grubości i szerokości dziąsła zrogowaciałego na poziom kości brzeżnej wokół implantu, wpływ na tkanki miękkie pozostaje bezsporny. Potrzebna jest jedynie odległa porównawcza ocena metod augmentacji dziąsła zrogowaciałego przeszczepami i substytutami tkanek miękkich.
embedImagecenter("Imagecenter_1_1280",1280, "large");
Autorki:
Monika Puzio i Marzena Dominiak – Katedra i Zakład Chirurgii Stomatologicznej UM we Wrocławiu
Kontakt:
Marzena Dominiak
ul. Krakowska 26
50-423 Wrocław
Tel.: (71) 784 02 54
E-mail: marzena.dominiak@wp.pl
Wprowadzenie implantów w odcinku estetycznym nadal stanowi wyzwanie terapeutyczne. Optymalne wyniki leczenia możemy osiągnąć nie tylko poprzez ...
W poniedziałek 13 czerwca o godz. 20.00. DT Study Club zaprasza do udziału w webinarium na temat implantacji natychmiastowej w odcinku estetycznym. ...
Leczenie rekonstrukcyjne braków uzębienia z wykorzystaniem tytanowych wszczepów ulegających osteointegracji staje się coraz powszechniejsze...
Leczenie rekonstrukcyjne braków uzębienia z wykorzystaniem tytanowych wszczepów ulegających osteointegracji staje się coraz powszechniejsze...
Leczeniu protetycznemu braków zębowych w odcinku przednim stawianych jest wiele wymagań nie tylko funkcjonalno-czynnościowych, ale także ...
Leczeniu protetycznemu braków zębowych w odcinku przednim stawianych jest wiele wymagań nie tylko funkcjonalno-czynnościowych, ale także ...
Autor prezentuje opis przypadku leczenia kompleksowego z planowaniem w centralnej relacji. Wykonano zabieg przeszczepienia pełnego bloku kostnego i ...
Autor prezentuje opis przypadku leczenia kompleksowego z planowaniem w centralnej relacji. Wykonano zabieg przeszczepienia pełnego bloku kostnego i ...
Już w nabliższy weekend (14.01.2012) firma Garmed organizuje w Poznaniu konferencję implantologiczną pt.: „Bez bólu i powikłań – ...
W połowie stycznia (14.01.2012) firma Garmed organizuje w Poznaniu konferencję implantologiczną pt.: „Bez bólu i powikłań – ...
Webinarium na żywo
czw. 30 kwietnia 2026
1:00 (CET) Warsaw
Dr. Renato Leonardo D.M.D.
Webinarium na żywo
czw. 30 kwietnia 2026
7:00 (CET) Warsaw
Webinarium na żywo
nie. 3 maja 2026
6:00 (CET) Warsaw
Dr. Rickard Brånemark MSc, MD, PhD, Dr. Robert Gottlander DDS
Webinarium na żywo
pon. 4 maja 2026
2:00 (CET) Warsaw
Webinarium na żywo
wto. 5 maja 2026
4:00 (CET) Warsaw
Webinarium na żywo
wto. 5 maja 2026
6:00 (CET) Warsaw
Webinarium na żywo
wto. 5 maja 2026
7:00 (CET) Warsaw
Dr. Maximilian Dobbertin M.Sc
To post a reply please login or register