Search Dental Tribune

Regeneracja kości i pokrycie recesji w leczeniu estetyczno-implantologicznym

Michał Szczutkowski

Michał Szczutkowski

czw. 30 lipca 2015

zapisz

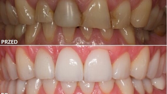
Autor prezentuje opis przypadku leczenia kompleksowego z planowaniem w centralnej relacji. Wykonano zabieg przeszczepienia pełnego bloku kostnego i autogenne wióry kostne w zabiegu sinus lift metodą otwartym. Estetyka w odcinku przednim: implantacja bezpłatowa, pokrycie recesji dziąsła tunelowo z przeszczepem tkanki łącznej. Ostateczny efekt uzyskano licówkami i nakładami e-max w CR.

36-letni pacjent zgłosił się w celu leczenia torbieli korzeniowej, której zębem przyczynowym był ząb 11. Badanie wewnątrzustne oraz diagnostyka rtg wykazały potrzebę multidyscyplinarnego leczenia kompleksowego (Ryc. 1). Korzeń prawego przyśrodkowego siekacza (ząb przyczynowy torbieli) był w dużej części zresorbowany (Ryc. 1), przesunięty doprzedsionkowo, a na powierzchni podniebiennej korony, w miejscu cingulum był wytarty przez dolne zęby sieczne bardzo głęboki próg (Ryc. 2). Wszystkie te czynniki zadecydowały o potrzebie usunięcia korzenia, a próg dodatkowo świadczył o tym, że w aktualnym położeniu zwarciowym leczenie implantologiczne po usunięciu zęba nie było możliwe. Stwierdzono również bardzo duże starcie zębów przednich, będące wynikiem bruksizmu i dużej aktywności mięśniowej.

Pierwszym etapem powinno być leczenie ortodontyczne, mające na celu uszeregowanie uzębienia tak, aby przywrócić przestrzeń na prawidłową odbudowę siekaczy i kłów. Po fazie wstępnej obejmującej: wizyty higienizacyjne, leczenie zachowawcze i endodontyczne oraz konsultację ortodontyczną, przystąpiono do pierwszego etapu chirurgicznego.

Etap ten obejmował 3 jednoczasowe zabiegi:
_usunięcie zęba 11 z równoczesnym wyłyżeczkowaniem jamy torbieli oraz założeniem tymczasowego mostu Rochete metal-akryl przyklejonego do podniebiennej powierzchni zębów 12 i 21,
_wszczepienie implantu 36 z równoczesnym pobraniem bloku kostnego mikropiłą z końcowego odcinka kresy skośnej poniżej implantu oraz pobraniem wiórków kostnych skrobaczką SafeScraper (META) z okolic (Ryc. 3 i 4),
_wszczepienie implantu 26 z równoczesnym wykonaniem zabiegu sinus lift metodą otwartą i jednoczesnej stabilizacji implantu blokiem kostnym włożonym do wnętrzna zatoki szczękowej.

Stan wyjściowy to 2 mm wymiaru pionowego kości w miejscu 26. Przy tradycyjnej procedurze należałoby wykonać najpierw zabieg sinus lift i po 6 miesiącach dopiero implantację. Dzięki zastosowanemu postępowaniu skrócono znacznie czas leczenia w tym miejscu (po 4 miesiącach założono koronę tymczasową), ograniczono liczbę zabiegów do jednego i polepszono jakość kości otaczającej implant – autogenne wióry kostne vs syntetyczny granulat kostny (Ryc. 5). Należy zwrócić uwagę na piękne beleczkowanie kostne w kości otaczającej implant na ostatnich zdjęciach wtedy kiedy blok kostny uległ już resorpcji i dokonała się przebudowa kostna (Ryc. 6 i 7).

Pobrany przy pomocy mikropiły blok kostny miał przybliżone wymiary 10 x 10 x 4 mm. Zabieg w szczęce rozpoczęto od wycięcie okienka bocznego do zatoki szczękowej, odwarstwienia i uniesienia membrany Schneidera oraz zniesienia przegrody w zatoce. Następnie zewnątrzustnie wykonano nawiercenie otworu w bloku kostnym zgodnie z procedurą i wykonano łoże dla implantu na szczycie grzbietu wyrostka w pozycji 26. Jako pierwszą warstwę w górnym piętrze tuż pod śluzówką zatoki, użyto materiału 4Bone MIS. Następnie wprowadzono część autogennych wiórów kostnych oraz spozycjonowano w zatoce blok kostny. Następnym etapem było wprowadzenie implantu, któremu stabilność pierwotną zapewniały 2 mm kości grzbietu wyrostka oraz 4 mm grubości bloku kostnego (Ryc. 5). Resztę przestrzeni wypełniono autogennymi wiórami kostnymi. W okienku położono na to pojedyńczą warstwę granulek 4Bone i przykryto resorbowalną membraną kolagenową firmy MIS. Całość zeszyto na głucho.

Po zdjęciu szwów pacjent został skierowany na wspomniane leczenie ortodontyczne. Pod koniec leczenia, w fazie stabilizacji, przystąpiono do drugiego zabiegu chirurgicznego (12 miesięcy od pierwszego zabiegu). Zabieg w celu utrzymania estetyki różowej – zachowanie brodawek międzyzębowych, dzięki sprzyjającym warunkom kostnym, mógł być wykonany bezpłatowo. Dziąsło w miejscu implantacji zostało usunięte ręcznie przy pomocy puncha. Następnie wykonano standardową procedurę w celu opracowania łoża dla implantu MIS C1. Wszczepiono implant i umieszczono śrubę gojącą (Ryc. 8). Następnie ponownie założono most tymczasowy Rochete – przyczepiony do sąsiadujących zębów oraz aparatu ortodontycznego (Ryc. 9).

Po zakończeniu leczenia ortodontycznego, jako fazę wstępną, wykonano wybielanie nakładkowe wszystkich zębów.

Następnie przeprowadzono planowanie leczenia kompleksowego w 3D. Wykonano modele z gipsu kl IV, a także zarejestrowano relację centralną (CR) i dokonano pomiaru łukiem twarzowym.
Wykonano wax-up na modelach oprawionych w artykulator w CR, a potem na jego podstawie mock-up w ustach pacjenta. Nieznaczne zwiększenie pionowego wymiaru zwarcia (VDO) na podstawie badań McAdrewsa1 spowodowało przesunięcie brzegów siecznych zębów dolnych do tyłu i uzyskanie prawidłowego kontaktu zębów przednich. Zmiana VDO będzie podlegać adaptacji aż do momentu dojścia do poziomu pozostającego w harmonii2,3 z długością mięśni. Na podstawie analizy na modelach oszlifowano i pobrano wyciski: 37 – nakład na powierzchnię żującą, 36 (ząb po leczeniu endodontycznym) – pod koronę cerkon; 35, 34, 44, 45 – pod licówki połączone z nakładami; 33, 32, 31, 41, 42, 43 – pod licówki; 46 – korona na implancie; 47 – nakład na powierzchnię żującą. Wszystkie uzupełnienia zostały wykonane z materiału e-max i zacementowane na Variolink Veneer (Ivoclar Vivadent), (Ryc. 10).

Kolejnym etapem leczenia było wykonanie licówek e-max na zębach 15, 14, 13, 22, 23, 24, 25; koron e-max na zębach 12 i 21 i korony metalowo-porcelanowej na implancie 26. Na obu przyśrodkowych siekaczach wykonano kompozytowe korony tymczasowe. Na implancie 11 korona była zacementowana na indywidualnym łączniku z e-max wykonanym w oparciu o fabryczną bazę tytanową z e-max (Ryc. 10). Następnie: krytyczna ocena równowagi poziomu dziąsła4 przednich zębów górnych. Zauważalne były 2 nieprawidłowości: spowodowany zanikiem kości na szerokość deficyt tkanek nad planowaną koroną zęba 11 (wgłębienie dziąsła w kształcie litery U nad koroną przy wysokiej linii powoduje cień i wrażenie szarości w tym rejonie, Ryc. 8) oraz recesja dziąsła nad zębem 21 (Ryc. 10).

Od dawna udowodnione jest, że przeszczepy bloków kostnych nie zachowują swoich pierwotnych rozmiarów długoterminowo. Techniką z wyboru do likwidacji estetycznych skutków zaników kości jest zatem przeszczep tkanki łącznej. Zucchelli i współpracownicy w swoich badaniach5 i książce twierdzą, że lepszej jakości CTG możemy uzyskać techniką deepitelializacji nabłonka DGG wolnego przeszczepu dziąsła w porównaniu do tradycyjnych starszych technik (envelope technique, trapdoor technique i L-technique). Wytworzono więc płat dzielony na przedsionkowej stronie wyrostka nad implantem 11 i umieszczono tam CTG pobrany techniką deepitelializacji nabłonka.

Po 4 miesiącach wykonano zabieg pokrycia miejscowej recesji dziąsła nad zębem 21 zmodyfikowaną techniką tunelową6 z autoprzeszczepem tkanki łącznej z podniebienia. Tkankę łączną pobrano techniką koperty. Do stabilizacji i kompresji przeszczepu użyto szwu podwójnie skrzyżowanego pionowego (Ryc. 11 i 12).

Po kolejnych 5 miesiącach wykonano ostateczne korony z materiału e-max na obu przyśrodkowych siekaczach (Ryc. 13 i 14). Po ostatecznej ekwilibracji w celu uzyskania zbliżonych kontaktów na wszystkich zębach pacjent jest stabilny zwarciowo, biologicznie i estetycznie – obecnie 2 lata od zakończenia leczenia (Ryc. 15, 16, 17).

embedImagecenter("Imagecenter_1_1898",1898, "large");

Piśmiennictwo dostępne u wydawcy.

Autor:
Lek. stom. Michał Szczutkowski ukończył Akademię Medyczną w Łodzi. Specjalizuje się w dziedzinie implantologii, chirurgii periodontologicznej i stomatologii estetycznej. Pracuje w powiększeniu z mikroskopem. Jest członkiem aktywnym PASE, PSSM, ITI. Ukończył programy i cykle kursów szkoleniowych u największych światowych autorytetów zagranicą: Dennis Tarnow, Stephen Chu, Marcus Hurzeler, Otto Zuhr, Fouad Khoury, Pascal Magne, Cobi Landsberg. Jest absolwentem The Dawson Academy – USA. Głównym celem w pracy dr. Szczutkowskiego jest harmonia estetyki różowej i białej wykonywanych prac.
Kontakt:
„Aquarius”CSE w Bełchatowie
www.implanty.in
 

To post a reply please login or register
advertisement
advertisement