Rehabilitacja pacjentów bezzębnych jest często trudna ze względu na rozległe zaniki podłoża protetycznego, które skutkują złą retencją i stabilizacją nawet najlepiej wykonanych protez całkowitych, a zwłaszcza protezy dolnej. W takich przypadkach jedyną możliwością poprawy utrzymania dolnej protezy jest wsparcie jej o wszczepy śródkostne.
W 2002 r. na konferencji w Montrealu leczenie pacjenta z bezzębną żuchwą z zastosowaniem protezy overdenture wspartej o wszczepy śródkostne uznane zostało za standard leczenia w tego typu przypadkach klinicznych1. Opublikowano również wiele prac prezentujących wyższość protezy typu overdenture wspartej o 2 lub 4 implanty w bezzębnej żuchwie w porównaniu do konwencjonalnych protez całkowitych w aspektach takich jak: retencja, stabilizacja i satysfakcja pacjenta2,3,4,5. Często osadzenie 4 lub nawet 2 implantów w żuchwie jest niemożliwe z powodu deficytu tkanki kostnej lub zbyt wysokich kosztów takiego leczenia.
Opis przypadku
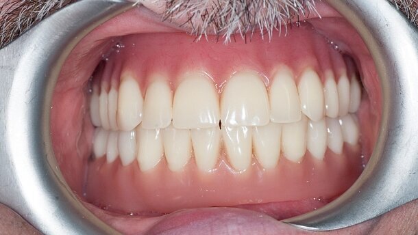
56-letni pacjent zgłosił się w celu zaplanowania i przeprowadzenia leczenia protetycznego (Ryc. 1). W badaniu podmiotowym pacjent zgłaszał przebytą w 2009 r. chorobę nowotworową z rozpoznaniem: rak płaskonabłonkowy migdałka prawego T1 N3 M0. Leczenie onkologiczne obejmowało selektywne wycięcie prawostronne układu chłonnego na poziomie 1b, 2-5 z wycięciem żyły szyjnej wewnętrznej, chemio- i radioterapię zakończoną w 2009 r. w dawce sumacyjnej 66 Gy (6600 cGy) w 33 frakcjach z dodatkiem cisplatyny przez 2 dni 1. i 4. tygodnia. Leczenie chirurgiczne i uzupełniające przeprowadzono w University College London Hospitals NHS Foundation Trust, Head and Neck Center. Obecnie pacjent znajduje się pod opieką Kliniki Laryngologii Centrum Onkologii-Instytutu im. M. Curie-Skłodowskiej w Warszawie. Dotychczas pacjent użytkował protezę całkowitą górną i protezę częściową osiadającą dolną, wymagającą naprawy z powodu braku zębów 33, 34 35.
W pierwszym etapie dokonano naprawy protezy częściowej osiadającej dolnej poprzez dostawienie brakujących zębów. W wyniku konsultacji protetycznej i implantoprotetycznej zdecydowano o wykonaniu konwencjonalnej protezy całkowitej górnej i protezy całkowitej dolnej typu overdenture (OVD), wspartej o 2 wszczepy o długości 13 mm wprowadzone pomiędzy otworami bródkowymi. Nie stwierdzono przeciwwskazań do leczenia implantoprotetycznego ze względu na wcześniejsze leczenie onkologiczne.
W znieczuleniu miejscowym nacięto płat śluzówkowo-okostnowy i wykonano plastykę części zębodołowej żuchwy w odcinku przednim. W trakcie procedury zabiegowej, pierwotnie zakładającej wprowadzenie wszczepów w pozycjach odpowiadających zębom 33 i 43, z powodu obecności ziarniny zapalnej w miejscu po ekstrakcji zębów 43 i 42, zdecydowano o umiejscowieniu 1 implantu (Branemark System MK III o średnicy 3,75 i długości 15 mm ) w linii pośrodkowej żuchwy. Ziarninę zapalną wyłyżeczkowano (Ryc. 2). Stabilizacja pierwotna badana urządzeniem Osstell Mentor (Osstell, Sweden) w dniu implantacji wyniosła odpowiednio 76, 76, 75, 75 w 4 kolejnych pomiarach. Zastosowano klasyczny dwuetapowy protokół postępowania. W okresie pozabiegowym pacjent użytkował stary komplet protez całkowitych. Na okres gojenia i w czasie procesu osteointegracji dotychczas użytkowana proteza dolna została podścielona materiałem elastycznym Mollosil (Detax, Germany). Ustalono terminy wizyt kontrolnych. Po 6-miesięcznym okresie osteointegracji implant odsłonięto, zamocowano śrubę gojącą o wysokości 5 mm (Healing Abutment 5 mm, Ryc. 3). Po 2-tygodniowym procesie gojenia umocowano łącznik protetyczny typu Locator (Locator Abutment 5 mm, Zest Anchors) o wysokości 5 mm (Ryc. 4). Procedura wykonania nowych protez całkowitych przeprowadzona została w sposób konwencjonalny. Montaż matrycy (kolor biały) w protezie dolnej (Ryc. 5) wykonano w laboratorium na podstawie wycisku z poziomu łącznika, masą polieterową Impregum (3M Espe, USA).
Dyskusja
W czasie prowadzonego leczenia protetycznego niejednokrotnie aktualny stan kliniczny dyktuje konieczność zmiany wcześniej ustalonego protokołu postępowania. W opisywanym przypadku w trakcie przeprowadzanej procedury zabiegowej, z powodu niedostatecznej jakości tkanki kostnej i obecności ziarniny zapalnej w miejscu wcześniej planowanej implantacji, zamiast klasycznego rozwiązania implantoprotetycznego obejmującego wykonanie protezy całkowitej dolnej typu overdenture wspartej o 2 wszczepy umiejscowione między otworami bródkowymi podjęto decyzję o wprowadzeniu 1 implantu w linii pośrodkowej żuchwy. Zastosowanie elementu retencyjnego (Locator Abutment) w znaczący sposób poprawiło retencję i stabilizację dolnej protezy całkowitej, mimo śródzabiegowej zmiany decyzji co do ilości wprowadzonych wszczepów. W opinii pacjenta wsparcie protezy o pojedynczy implant umiejscowiony w linii pośrodkowej żuchwy zwiększyło komfort użytkowania i funkcjonalność wykonanych uzupełnień protetycznych w porównaniu z protezami wcześniej użytkowanymi (Ryc. 6 i 7). Obserwacje własne poparte dowodami zawartymi w piśmiennictwie światowym dowodzą słuszności tej alternatywnej metody postępowania.
Cordioli i wsp.6 w 1997 r. oraz Krennmair i wsp.7 w 2001 r. zaproponowali wsparcie dolnej protezy całkowitej o pojedynczy implant wprowadzony w linii pośrodkowej żuchwy. Oba zespoły badaczy uzyskały satysfakcjonujące, długoterminowe wyniki badań klinicznych. Maeda i wsp.8 w 2006 r. przeprowadzili badania laboratoryjne dotyczące porównania biomechaniki protez overdenture wspartych o pojedynczy implant w linii pośrodkowej żuchwy oraz o 2 implanty w okolicy pomiędzy otworami bródkowymi. Analizowano siły poziome przenoszone na implanty podczas żucia poprzez wywieranie nacisku na powierzchnie żujące zębów w okolicy pierwszych trzonowców i kłów po stronie lewej i prawej oraz w okolicy linii pośrodkowej. Wyniki, jakie otrzymali, pozwoliły wysnuć wnioski, iż przy zastosowaniu kulowych elementów retencyjnych lub magnesów o kształcie kopuły, biomechanika protez overdenture wspartych o pojedynczy implant w linii pośrodkowej lub 2 w okolicy pomiędzy otworami bródkowymi jest podobna w aspekcie poziomych sił, jakie wywierane są na wszczepy podczas aktu żucia. Ruchomość płyty protezy w obu przypadkach również okazała się podobna.
Żmudzki i wsp., dokonując analizy biomechaniki protezy OVD wspartej o 2 i 1 implant stwierdzili, że biomechanika protez OVD mocowanych do pojedynczego implantu wykazuje pełną swobodę przemieszczeń obrotowych, w odróżnieniu od zamocowania do 2 implantów, gdzie swoboda rotacji w płaszczyźnie poziomej zostaje zablokowana i ograniczona do ruchu zawiasowego. Autorzy podają również, że obciążenie implantów protezą wspartą o pojedynczy implant pozwala nie tylko na mniejsze obciążenie tkanki kostnej, ale także zmniejsza siłę destabilizacji złącza. Szczególnie jest to istotne w czasie jednostronnego kontaktu z kęsem pokarmowym, kiedy proteza może ulegać destabilizacji. W ocenie pacjentów walory użytkowe protezy wspartej o pojedynczy implant nie ustępują znacząco protezie wspartej o 2 implanty.
Badania kliniczne wskazują, że protezy wsparte o pojedynczy implant oddziałują mniej urazowo na tkanki podłoża w porównaniu z protezami wspartymi o 2 implanty. Wytłumaczeniem tego zjawiska jest obserwacja, że w protezie wspartej o pojedynczy implant podłoże zostaje wykorzystane w sposób bardziej równomierny, podczas gdy w drugim przypadku, ze względu na wymuszony ruch zawiasowy, zostają stale obciążone te same obszary podłoża.
Harder i wsp.12 opublikowali wyniki swoich 3-letnich badań dotyczących poprawy jakości życia oraz wzrostu wydolności żucia u pacjentów użytkujących dolną protezę całkowitą wspartą o pojedynczy implant zaopatrzony w element retencyjny, wprowadzony w linii pośrodkowej w żuchwie. Badana grupa składała się z 11 pacjentów z bezzębiem w żuchwie użytkujących protezy całkowite. Na podstawie kwestionariusza określono subiektywne odczucia pacjenta związane z użytkowaniem dolnej protezy całkowitej zarówno przed, jak i po połączeniu protezy z implantem. Przeprowadzono również testy wydolności żucia porównujące efektywność czynnościową protez przed i po wsparciu o wszczep. Po 3-letnim okresie obserwacji nie odnotowano powikłań ze strony implantów, a jedynym utrudnieniem, jakie występowało były złamania protezy w linii pośrodkowej. Jak sądzą badacze, było to skutkiem zbyt dużego osłabienia płyty uzupełnienia protetycznego w okolicy linii pośrodkowej, spowodowanego osadzeniem w tym miejscu matrycy zaczepu kulowego. Autorzy sugerują wykonanie w takim przypadku lanego wzmocnienia protezy lub zastosowanie elementu retencyjnego typu Locator (Zest Anchors, USA), który ze względu na niewielką wysokość zajmuje mało miejsca w płycie protezy i nie osłabia jej w znaczący sposób w porównaniu do zaczepu kulowego. Z badań tych wynika, że zarówno subiektywna ocena komfortu życia pacjenta, jak i wydolność żucia ulega znaczącej poprawie.
Alsabeeha i wsp.13 dokonali zestawienia aktualnych danych dotyczących rehabilitacji protetycznej pacjentów bezzębnych poprzez wykonanie protezy całkowitej OVD wspartej o pojedynczy implant w żuchwie. Badania prowadzono na różnych ilościowo grupach pacjentów bezzębnych, stosując implanty o średnicy 3.75 i większej oraz o długości 10 mm i większej, umiejscowione w odcinku przednim żuchwy w linii pośrodkowej. Stosowano model postępowania zarówno dwu-, jak i jednoetapowy z natychmiastowym obciążeniem. Nadbudowę protetyczną połączono z implantem za pomocą kulistego elementu retencyjnego. Uzyskano wysoki stopień powodzenia w tego typu rozwiązaniach sięgający 82-100%.
Carlsson14 przewiduje zmianę paradygmatu leczenia bezzębia w żuchwie w kierunku redukcji liczby implantów z 2 do 1 i wsparciu na nim protezy całkowitej dolnej. Zarb15 podaje, że będzie to kolejna opcja rehabilitacji protetycznej pacjentów bezzębnych, rozwiązująca problem adaptacji w trudnych przypadkach klinicznych. Wielu autorów zwraca uwagę na aspekt ekonomiczny leczenia implantoprotetycznego. Redukcja kosztów odgrywa coraz większą rolę w ustalaniu planu leczenia16,17. Minimalna interwencja chirurgiczna, która przynosi poprawę stabilizacji i retencji protezy całkowitej oraz redukcja implantologicznych elementów protetycznych w przypadku protezy typu OVD wspartej o pojedynczy implant to dalsze korzyści, które sprawiają, że leczenie takie ze względów ekonomicznych staje się bardziej osiągalne dla bezzębnych pacjentów18,19,20,21. Doświadczenia kliniczne wskazują, że nawet jednoimplantowa mechaniczna retencja częściej wydaje się skuteczniejsza aniżeli stabilizacja tradycyjnej czynnościowo przyssanej protezy całkowitej w żuchwie22.
W opisywanym przypadku śródzabiegowa zmiana wcześniej ustalonego planu leczenia determinowała zastosowanie alternatywnego rozwiązania implantoprotetycznego. Okazało się, że zastosowanie nawet pojedynczego implantu jako systemu kotwiczącego protezę całkowitą dolną może przynieść oczekiwany sukces terapeutyczny w postaci poprawy stabilizacji i retencji wykonanego uzupełnienia. Wyjątkowo dobra akceptacja protezy przez pacjenta potwierdza te spostrzeżenia. Wydaje się istotnym kontynuowanie dalszych badań i obserwacji w celu wprowadzenia takiego protokołu jako jednej z metod postępowania standardowego w rehabilitacji protetycznej pacjentów z bezzębną żuchwą.
Autorzy:
Bartosz Bujak, Wiktor Lisiakiewicz, Dariusz Rolski, Elżbieta Mierzwińska-Nastalska – Katedra Protetyki Stomatologicznej Warszawskiego Uniwersytetu Medycznego. Kierownik: prof. dr hab. E. Mierzwińska- Nastalska.
Dariusz Mateńko – Zakład Chirurgii Stomatologicznej Warszawskiego Uniwersytetu Medycznego. Kierownik: prof. dr hab. A. Wojtowicz.
Kontakt:
Warszawski Uniwersytet Medyczny
ul. Nowogrodzka 59
02-006 Warszawa
embedImagecenter("Imagecenter_1_1133",1133, "large");
Rehabilitacja pacjentów bezzębnych jest często trudna ze względu na rozległe zaniki podłoża protetycznego, które skutkują złą ...
Rehabilitacja protetyczna pacjentów bezzębnych z pomocą protez opartych na implantach staje się standardem postępowania w takich przypadkach. ...
W przypadku znacznej atrofii żuchwy możliwe jest zastosowanie krótkich implantów i wykonanie zadawalającego estetycznie i funkcjonalnie ...
Od kilku lat możemy obserwować bardzo dynamiczny rozwój implantologii. Wraz z postępem technologicznym i nieustającymi badaniami otrzymujemy ...
Możliwość wykorzystania pojedynczego implantu jako elementu kotwiczącego dla dolnej protezy całkowitej wydaje się być alternatywą dla postępowania ...
Możliwość wykorzystania pojedynczego implantu jako elementu kotwiczącego dla dolnej protezy całkowitej wydaje się być alternatywą dla postępowania ...
Dzięki pojawieniu się nowych protokołów implantacji, różnorodności materiałów stomatologicznych i dynamicznie rozwijającej się ...
Celem pracy było określenie siły potrzebnej do rozłączenia precyzyjnych elementów retencyjnych służących do mocowania protezy typu ...
Celem pracy było określenie siły potrzebnej do rozłączenia precyzyjnych elementów retencyjnych służących do mocowania protezy typu ...
Artykuł prezentuje zastosowanie nowoczesnych urządzeń diagnostycznych w procesie diagnostycznym i leczniczym. Dodatkowo, przedstawia ich udział w ...
Webinarium na żywo
wto. 19 maja 2026
5:00 (CET) Warsaw
Webinarium na żywo
wto. 19 maja 2026
7:00 (CET) Warsaw
Prof. Dr. med. dent. Ivo Krejci
Webinarium na żywo
śro. 20 maja 2026
1:00 (CET) Warsaw
Dr. Graham Carmichael BDSc (Hons), DClinDent (Pros), FRACDS, Dr. Robert Gottlander DDS
Webinarium na żywo
śro. 20 maja 2026
3:00 (CET) Warsaw
Webinarium na żywo
śro. 20 maja 2026
5:00 (CET) Warsaw
Webinarium na żywo
śro. 20 maja 2026
7:00 (CET) Warsaw
Prof. Dr. med. dent. Tim Joda PhD, MSc, eMBA
Webinarium na żywo
czw. 21 maja 2026
6:00 (CET) Warsaw
Dr. Leonardo Muniz DDS, MSC
To post a reply please login or register