Ponad 30% dorosłej populacji to osoby, które nie są zadowolone z koloru i/albo kształtu swoich naturalnych zębów. Związane jest to ze zwiększonym społecznie naciskiem dbania o zewnętrzny wizerunek, istotnym psychologicznym aspektem lęku i narastającego zjawiska braku samoakceptacji, rozwijających się wśród hipochondryków dysmorfofobii, częściej występującej depresji, a także z postępem technologicznym i nowymi możliwościami współczesnej medycyny.
Zabiegi rozjaśniania koloru zębów i w konsekwencji poprawy jakości uśmiechu, dają pacjentowi istotny dziś element zadowolenia oraz poprawy atrakcyjności wyglądu zewnętrznego. Stąd tak często są one integralną częścią całościowych stomatologicznych planów leczenia. Jednocześnie, wraz ze wzrostem żądań i roszczeń pacjentów w stosunku do działań stomatologii estetycznej, zabiegi profesjonalnego wybielania zębów są minimalnie inwazyjnymi działaniami, dającymi wysoki efekt poprawy barwy zęba.
Nadwrażliwość zębów jest wielokrotnie subiektywnym przeciwwskazaniem do zabiegów wybielania zębów, również częstym problemem i możliwym czasowym powikłaniem po zakończonym zabiegu. Nadwrażliwość pozabiegowa może mieć związek ze stężeniem zastosowanych środków utleniających, czasem trwania zabiegu wybielania i pH środków wybielających.1,2
Wybielanie to proces chemiczny, który wykorzystuje środki działające jako utleniacze. Reakcja utleniania to powolna transformacja substancji organicznych, których produkt ma jaśniejszy kolor od wyjściowego. Nadtlenek wodoru to popularny utleniacz, używany w produktach do wybielania, który dyfunduje przez organiczną część szkliwa do zębiny. Występuje w różnych preparatach w formie wolnej lub w połączeniu z mocznikiem – jako nadtlenek mocznika. Jest substancją wysoce reaktywną. Zobowiązani jesteśmy do zachowania ostrożności podczas zabiegu ze względu na możliwość podrażnienia chemicznego tkanek miękkich jamy ustnej. Należy kontrolować ilość materiału i czas aplikacji. Podniesienie temperatury nadtlenku wodoru skutkuje przyspieszeniem jego rozpadu i powstaniem wolnych rodników utleniających.3,4
Zabieg wybielania zębów można przyspieszyć przy pomocy dodatkowej aktywacji cieplnej i świetlnej. Jedną z tego typu metod jest wykorzystanie wysokointensywnego światła laserowego1,5,6,7, które przyspiesza proces wybielania. Jako pierwsze wykorzystywane były długości fali lasera argonowego (480 nm) oraz lasery CO2 (10,600 nm). Dzisiaj główne zastosowanie znajdują lasery Nd:Yag (1,064 nm), KTP potasowo-tytanowo-fosforanowe (535 nm) i diodowe (810 i 980 nm).7,8,9,10 Skuteczność tej procedury na zębach żywych została potwierdzona w badaniach na modelach zwierzęcych, badaniach klinicznych i licznych opisanych przypadkach klinicznych.11-14
Potencjalnie negatywny wpływ reaktywnych pochodnych tlenowych na tkanki zęba opisano i przebadano in vitro.9,10,12,13,15,16 Z jednej strony opisano zmiany mikrotwardości szkliwa, obecność porowatości, chropowatość powierzchni, zmniejszenie odporności na pękanie, zmianę stosunku wapń/fosforany, erozje, spadek odporności na ścieranie. Z drugiej – ponowne utwardzenie porowatego szkliwa w wyniku wytrącania się jonów ze śliny. Mimo, iż remineralizacja z udziałem śliny powoduje stopniową odbudowę mineralną, nie można osiągnąć całkowitej naprawy szkliwa ze względu na degradację organicznej.16 W badaniach in vivo nie stwierdzono cytotoksycznej właściwości preparatów wybielających obserwowanej in vitro. Od 1979 r. 10 i 15% nadtlenek mocznika oraz 3% nadtlenek wodoru są sklasyfikowane przez amerykański nadzór farmaceutyczny (FDA) jako bezpieczne stężenia do antyseptycznego stosowania w jamie ustnej.17,18 Leonard podaje, że podczas jednego seansu wybielania w jamie ustnej znajduje się ok. 3,5 mg nadtlenku wodoru, co stanowi 0,054% nadtlenku wytwarzanego przez wątrobę i jest on neutralizowany w całości przez peroksydazę śliny.19
Do tej pory klinicznie nie stwierdzono niekorzystnego wpływu wybielania laserowego na szkliwo. Udowodniono, że laser jest najbardziej wartościowym źródłem energii do aktywacji w sposób prosty i szybki substancji wybielającej podczas profesjonalnego wybielania zębów.1,15 Specjalistyczne wybielanie przy użyciu nadtlenku wodoru aktywowanego laserem diodowym nie tylko poprawia efekt końcowy wybielania, ale również chroni szkliwo przed zmianą struktury w porównaniu do zastosowania samego środka wybielającego. Zapobiega utracie związków mineralnych i utrzymuje strukturę.20 Użycie lasera diodowego skraca czas procedury wybielania i nie powoduje powierzchownych zmian w szkliwie w porównaniu z użyciem światła LED lub samej substancji wybielającej.1,6,21 W badaniach Wettera, Domingueza i Gomeza pokazano, że dla efektywnego wybielania zębów źródło promieniowania jest bardziej istotne niż środek wybielający. Ponadto fotoaktywacja laserowa okazała się najlepszym wyborem: tu uzyskano znaczące zmiany barwy z tylko niewielkim wzrostem temperatury miazgi.8,10
Nadwrażliwość pozabiegowa podczas techniki wybielania laserem diodowym jest mniejsza w porównaniu z innymi systemami wybielającymi.22 Przy termicznej aktywacji nadtlenku wodoru wrażliwość po wybielaniu wzrasta.12-16,23 Wzrost temperatury miazgi o 5,5˚ C jest obecnie uważany za wartość progową, która nie powinna być przekroczona, aby uniknąć nieodwracalnego uszkodzenia miazgi. Podczas wybielania laserowego temperatura jest pod kontrolą, w szczególności ze względu na obecność środka wybielającego, który działa jak bufor, absorbując energię światła laserowego.24 Poza tym, warto wykonać procedurę podniesienie progu bólowego pacjenta przez wykonanie terapii przeciwbólowej laserem biostymulacyjnym. Podniesienie progu bólowego przed zabiegiem pozwoli na bezbolesne wykonanie procedury, wykonanie leczenia nadwrażliwości po zabiegu zwiększy komfort i satysfakcję pacjenta.
Wybielanie w gabinecie stomatologicznym poprzedza wywiad dotyczący etiologii czynników odpowiedzialnych za przebarwienia. Obejmuje on procedurę badania lekarskiego, podczas którego powinno się ocenić rodzaj przebarwień, ich rozległość i głębokość. Przed zabiegiem zmieniającym kolor zębów należy uzupełnić dokumentację medyczną o zdjęcia fotograficzne uwidaczniające pierwotny kolor. Proces wybielania rozpoczynamy od wypolerowania powierzchni zęba, założenia retraktora policzków i języka oraz zabezpieczenia dziąseł koferdamem. Ważne jest zwrócenie szczególnej uwagi na szczyty brodawek międzyzębowych i odsłonięte powierzchnie korzenia (powyżej połączenia szkliwno-cementowego CEJ), które należy umiejętnie zabezpieczyć. Po zakończonej procedurze wybielania należy powtórnie wykonać zdjęcia fotograficzne zębów (najlepiej z kolornikiem). Pacjent zostaje poinstruowany w zakresie spożywania płynów i posiłków koloryzujących zęby przez 72 godz. (tzw. biała dieta, wykluczająca czerwone wino, kawę czy herbatę). Palenie również jest zabronione. Kolejna kontrola powinna odbyć się po upływie 7 i 14 dni.
Główne czynniki, które wpływają na skuteczność wybielania zębów produktami z nadtlenkiem wodoru to stężenie substancji utleniającej i czas jej aplikacji.11 Środki o wyższym stężeniu działają szybciej, ale aby zwiększyć skuteczność substancji o niższym stężeniu można wydłużyć czas aplikacji. Również aktywacja substancji światłem lasera zapewnia szybsze i bardziej intensywne wybielanie niż użycie samego środka wybielającego. Regresję koloru obserwuje się zwykle po 12 mięsiącach.25 Inne czynniki, które mają wpływ na wynik końcowy wybielania to: rodzaj przebarwień, wyjściowy kolor zębów i wiek pacjenta. Analiza wyników klinicznych u ponad 600 pacjentów poddanych zabiegom wybielania zębów wskazuje, że bardziej żółte wyjściowo zęby lepiej reagują na wybielanie.26 Wykazano również istotny związek między wiekiem pacjenta i jego reakcją na wybielanie – młodsi pacjenci mają lepsze wyniki. Starsi pacjenci z wyjściowo mniej żółtym kolorem zębów wykazywali najmniejszą różnicę zmiany koloru po wybielaniu. U młodszych osób z wyjściowo bardziej żółtym kolorem zębów wykazano największą różnicę zmiany koloru po wybielaniu.26 Ponadto ani płeć, ani spożywanie kawy i herbaty nie miały znaczącego wpływu na odpowiedź zębów na wybielanie.26 Na efekt wybielania ma również wpływ rodzaj barwnika i zastosowana długość fali światła laserowego, użytego do aktywacji środka wybielającego.7,27
Opis przypadku
Do gabinetu zgłosiła się 58-letnia pacjentka, niepaląca, ogólnie zdrowa. Przed wymianą pracy protetycznej ustalono chęć poprawy koloru zębów. Stwierdzono obecność silnej nadwrażliwości na zmiany temperatury.
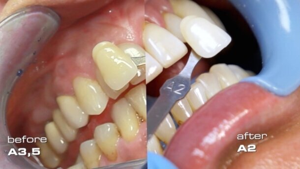
Leczenie wstępne to przeprowadzona faza higienizacyjna, następnie faza niechirurgicznego leczenia kieszeni przyzębnych, również z zastosowaniem metod laserowych. Dopiero po zakończonym leczeniu periodontologicznym wyznaczono termin zabiegu wybielania zębów techniką laserową. Zastosowano wybielanie laserem diodowym, o długości fali 980nm. W pierwszej części zabiegu wykonano pełną dokumentację fotograficzną, ustalono kolor wyjściowy (Ryc. 3), wykonano skaling uzupełniający i polerowanie zębów (Ryc. 4a-c), a następnie zabieg znoszenia nadwrażliwości zębiny laserem biostymulacyjnym o długości fali 635nm, mocy 60mW, zastosowano aplikator soczewkowy 14mm i dawkę energii 4 J/cm2 (na wybraną powierzchnię aplikatura), czas zabiegu dla tego apliatora został automatycznie wyliczony na 1.07 s. (Ryc. 5). Po dokładnym założeniu płynnego koferdamu nałożono preparat Power Bleaching, Heydent (Ryc. 6) i aktywowano polskim laserem diodowym o długości fali 980nm, moc 4W/aplikator łukowy, czas 30 s/kwadrant. Po zakończonym zabiegu i zdjęciu koferdamu powtórnie wykonano procedurę leczenia nadwrażliwości zębiny poprzez naświetlanie laserem o długości 635nm i naświetlano okolice szyjek zębów górnych i dolnych. Pacjentka nie podawała objawów bólowych w czasie procedury wybielania ani po zabiegu. Była zadowolona z efektów bezpośrednich i trwających przez ponad 3 miesiące. Po 3 miesiącach kolor ustabilizował się na poziomie koloru A2, który i tak pozostał przez kolejne 6 miesięcy stabilny i jaśniejszy od koloru wyjściowego (A3,5).
Niewątpliwie wybielanie zębów jest najmniej inwazyjnym z zabiegów estetycznych. Przygotowanie pacjenta, analiza przypadku klinicznego i prognoza efektu końcowego, przestrzeganie protokołu zabiegowego, użycie specjalnych dedykowanych środków wybielających i odpowiednie parametry wiązki światła laserowego pozwolą przeprowadzić zabieg wybielania w sposób efektywny, przewidywalny i bezpieczny. W kwestii nadwrażliwości pozabiegowej, samo wybielanie techniką laserową nie daje gwarancji wyeliminowania bólu,6 jednak zastosowanie lasera w procedurach znoszących nadwrażliwość zębiny w znacznym stopniu znacznie zabezpiecza ząb i często daje pełną satysfakcję i zadowolenie pacjenta.
embedImagecenter("Imagecenter_1_1830",1830, "large");
Piśmiennictwo dostępne u wydawcy.
Kontakt:
Kinga Grzech-Leśniak, Sviatlana Kozachuk
Specjalistyczne Centrum Periodontologiczne „PerioCare”
ul. Poznańska 8 Kraków
E-mail: kgl@periocare.pl
Nadwrażliwość zęba (ang. tooth hypersensitivity), a dokładniej nadwrażliwość zębiny (ang. dentine hypersensitivity) opisywana jest jako ostry ...
W trzech badaniach naukowcy odkryli, że nadtlenek wodoru, nawet w stężeniu stosowanym w wybielających paskach, może uszkadzać bogatą w białko ...
Nagły przeszywający ból zębów podczas jedzenia i picia zimnych, gorących, słodkich i kwaśnych napojów to pierwsza i najczęściej...
Osobom cierpiącym na nadwrażliwość zębów do tej pory lekarze zazwyczaj odradzali wybielanie, które dodatkowo podrażniało zęby. Dziś, ...
Amerykańscy naukowcy odkryli nowy sposób leczenia nadwrażliwości zębów, który zatrzymuje również niszczące działanie ...
Czy każde zęby można wybielić? Kiedy wybielanie szkodzi i czy można się od niego uzależnić? Na pytania o śnieżnobiały uśmiech odpowiada dr Iwona...
Philips wprowadza na rynek wysokiej jakości innowacje w dziedzinie pielęgnacji jamy ustnej zapewniające lepsze zdrowie. Działając w obszarach ...
The British Dental Association (BDA) apeluje o natychmiastowe ustalenie standardów handlowych dotyczących produktów do wybielania ...
Do rodziny produktów blend-a-med dołącza nowa pasta o działaniu bakteriostatycznym.
Systematycznie używana pasta PRO-EXPERT OCHRONA DZIĄSEŁ ...
Nadwrażliwość zębiny stanowi często występujący problem kliniczny. Wielu pacjentów nie oczekuje podjęcia terapii znoszącej nadwrażliwość,...
Webinarium na żywo
wto. 19 maja 2026
5:00 (CET) Warsaw
Webinarium na żywo
wto. 19 maja 2026
7:00 (CET) Warsaw
Prof. Dr. med. dent. Ivo Krejci
Webinarium na żywo
śro. 20 maja 2026
1:00 (CET) Warsaw
Dr. Graham Carmichael BDSc (Hons), DClinDent (Pros), FRACDS, Dr. Robert Gottlander DDS
Webinarium na żywo
śro. 20 maja 2026
3:00 (CET) Warsaw
Webinarium na żywo
śro. 20 maja 2026
5:00 (CET) Warsaw
Webinarium na żywo
śro. 20 maja 2026
7:00 (CET) Warsaw
Prof. Dr. med. dent. Tim Joda PhD, MSc, eMBA
Webinarium na żywo
czw. 21 maja 2026
6:00 (CET) Warsaw
Dr. Leonardo Muniz DDS, MSC
To post a reply please login or register