Do rodziny produktów blend-a-med dołącza nowa pasta o działaniu bakteriostatycznym.
Systematycznie używana pasta PRO-EXPERT OCHRONA DZIĄSEŁ redukuje płytkę nazębną, chroni dziąsła, a także zapobiega i leczy nadwrażliwość zębów.
Pasta zapewnia znaczną redukcję płytki nazębnej, redukując liczbę bakterii o 33% w 12 godz. po szczotkowaniu zębów (w porównaniu z grupą kontrolną). Znacznie zmniejsza częstość występowania problemów z dziąsłami poprzez redukcję zapaleń dziąseł do 21% (po 6 miesiącach) oraz redukcję krwawień dziąseł do 57% (po 6 miesiącach). Pomaga w prewencji i leczeniu nadwrażliwości, zmniejszjąc recesję dziąseł powodujących obnażanie kanalików zębinowych, co prowadzi do nadwrażliwości zębów, powoduje redukcję nadwrażliwości termicznej nawet o 44% i zwiększa prawie dwukrotnie tolerancję na bodźce dotykowe.
Dodatkowe korzyści:
- skuteczna ochrona przed ubytkami próchniczymi – zaawansowana formuła oparta na antybakteryjnym działaniu fluorku cyny zwalcza bakterie Streptococcus mutans wytwarzające kwasy odpowiedzialne za powstawanie ubytków,
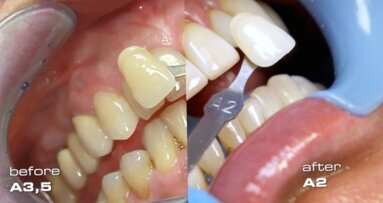
- wysoki poziom prewencji przebarwień – sięgająca 96% redukcja przebarwień w ciągu 2 tygodni w stosunku do sytuacji wyjściowej,
- znacząca inhibicja powstawania kamienia nazębnego – o 56% większy zakres inhibicji powstawania kamienia nazębnego w porównaniu z dodatnią grupą kontrolną stosującą 0,3% triklosan (po 6 miesiącach).
Nowa pasta blend-a-med to połączone w efektywnym współdziałaniu siły 2 składników :
- fluorek cyny – substancja o silnym działaniu bakteriostatycznym, zapobiegająca zapaleniom dziąseł, wywiera działanie inhibitujące metabolizm bakterii kojarzonych z powstawaniem płytki i stanami zapalnymi dziąseł, zmniejsza nadwrażliwość zębiny związaną z chorobami dziąseł, pomaga zapobiegać powstawaniu ubytków i wzmacnia szkliwo zębów, a także poprawia nieświeży oddech.
- 6-metafosforan sodu – efektywna substancja chemiczna o udowodnionym działaniu zapobiegającym przebarwieniom i powstawaniu kamienia nazębnego, chroni zęby przed powstawaniem nowych przebarwień, przeciwdziała w efektywny sposób akumulacji kamienia.
Skuteczność i zalety pasty zostały poparte obszernymi 12-letnimi badaniami klinicznymi z udziałem tysięcy osób. Ich efektem jest ponad 70 publikacji i prezentacji wyników badań nad fluorkiem cyny i 6-metafosforanem sodu. Produkt jest chroniony międzynarodowymi patentami.
Badania przeprowadzono z zastosowaniem dostępnej w Ameryce Płn. formuły pasty Crest® HEALTH™, która zawiera fluor w ilości 1.100 ppm. Formuła blend-a-med Pro-Expert zawiera fluor w ilości 1.450 ppm.
Irygator PANASONIC EW1211 to nowoczesne urządzenie czyszczące stanowiące uzupełnienie potrzeb związanych z profesjonalną higieną jamy ustnej. ...
LIPSK, Niemcy: Sztuczna inteligencja (AI) zmienia opiekę zdrowotną, a stomatologia nie jest wyjątkiem. Chociaż jej zastosowania kliniczne są wciąż ...
Eksperci ostrzegają, że spożywanie przekąsek w godzinach nocnych może uszkadzać zęby i dziąsła.
Amerykańscy naukowcy odkryli nowy sposób leczenia nadwrażliwości zębów, który zatrzymuje również niszczące działanie ...
„How to...” to najnowsza strategia komunikacyjna firmy Kerr, której celem jest ułatwianie dentystom codziennej pracy poprzez wskazywanie...
Pacjenci cierpiący na nadwrażliwość zębów mają do dyspozycji szereg produktów pomagających im zwalczać objawy tej przypadłości, ...
Ponad 30% dorosłej populacji to osoby, które nie są zadowolone z koloru i/albo kształtu swoich naturalnych zębów. Związane jest to ze ...
Nagły przeszywający ból zębów podczas jedzenia i picia zimnych, gorących, słodkich i kwaśnych napojów to pierwsza i najczęściej...
Wprowadzenie
Implantologia jest jedną z nowoczesnych metod zaopatrzenia protetycznego po częściowej utracie zębów naturalnych. Wraz z ...
Zastosowanie naturalnej wody mineralnej o specjalnych właściwościach do profilaktyki, higieny jamy ustnej, a także leczenia schorzeń zębów i ...
Webinarium na żywo
czw. 30 kwietnia 2026
1:00 (CET) Warsaw
Dr. Renato Leonardo D.M.D.
Webinarium na żywo
czw. 30 kwietnia 2026
7:00 (CET) Warsaw
Webinarium na żywo
nie. 3 maja 2026
6:00 (CET) Warsaw
Dr. Rickard Brånemark MSc, MD, PhD, Dr. Robert Gottlander DDS
Webinarium na żywo
pon. 4 maja 2026
2:00 (CET) Warsaw
Webinarium na żywo
wto. 5 maja 2026
4:00 (CET) Warsaw
Webinarium na żywo
wto. 5 maja 2026
6:00 (CET) Warsaw
Webinarium na żywo
wto. 5 maja 2026
7:00 (CET) Warsaw
Dr. Maximilian Dobbertin M.Sc
To post a reply please login or register