„Zły stan zdrowia jamy ustnej wiąże się z ryzykiem wielu chorób przewlekłych, takich jak choroby serca, udar mózgu i cukrzyca” - powiedziała główna autorka dr Haydée Jordão z Centrum Zdrowia Publicznego na uniwersytecie Queen's University Belfast w Irlandii Północnej. „Istnieją jednak niespójne dowody na związek między złym stanem zdrowia jamy ustnej a konkretnymi rodzajami nowotworów żołądkowo-jelitowych, a to właśnie nasze badania miały na celu zbadać”.
Uczestnicy samodzielnie wypełnili kwestionariusz zawierający informacje o nawykach dot. palenia, spożycia alkoholu i diecie. Do celów badania uczestnicy zostali zaklasyfikowani jako mający zły stan zdrowia jamy ustnej, jeśli zgłosili krwawiące i bolesne dziąsła lub rozchwiane zęby. W badaniu wzięło udział 469 628 uczestników, z których 4 069 zachorowało na raka żołądka i jelit podczas trwającego średnio sześć lat okresu obserwacji. U 13% tych przypadków pacjenci zgłaszali zły stan zdrowia jamy ustnej. Chociaż nie zaobserwowano znaczących związków z ryzykiem występowania większości nowotworów żołądkowo-jelitowych i złego stanu zdrowia jamy ustnej, stwierdzono istotny związek z rakiem wątroby i dróg żółciowych, szczególnie rakiem wątrobowokomórkowym. W przypadku tego typu raka naukowcy stwierdzili 75% podwyższone ryzyko związane ze złym stanem zdrowia jamy ustnej.
Mechanizmy biologiczne, dzięki którym zły stan zdrowia jamy ustnej może być silniej związany z rakiem wątroby, a nie z innymi nowotworami przewodu pokarmowego, są obecnie niejasne. Jednym z wyjaśnień jest potencjalna rola mikrobiomu jamy ustnej i jelit w rozwoju choroby. „Wątroba przyczynia się do eliminacji bakterii z ludzkiego ciała”, stwierdziła Jordão. „Gdy na wątrobę oddziałują inne choroby, takie jak zapalenie wątroby, marskość wątroby lub rak, jej funkcja będzie coraz słabsza, a bakterie znajdujące się w niej przeżyją dłużej, przez co mogą wyrządzić więcej szkód”.
Inna teoria wyjaśniająca wyższe ryzyko raka z powodu złego stanu zdrowia jamy ustnej sugeruje, że uczestnicy z dużą liczbą brakujących zębów mogą zmienić dietę i spożywać bardziej miękkie i potencjalnie mniej odżywcze pokarmy, co z kolei wpływa na ryzyko występowania raka wątroby.
Badanie zatytułowane „The association between self-reported poor oral health and gastrointestinal cancer risk in the UK Biobank: A large prospective cohort study" zostało opublikowane w United European Gastroenterology Journal.
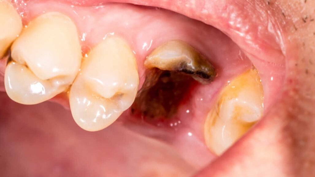
Zły stan zdrowia jamy ustnej lekarze nieraz wiązali z ogólnym stanem zdrowia pacjenta. Jak dowodzą jednak ostatnie badania, bakterie rozwijające ...
Wg nowych badań przeprowadzonych w Japonii, osoby starsze o słabym zdrowiu jamy ustnej są narażone na stałą ekspozycję różnych populacji ...
W jednym z największych dotychczas tego typu badań brytyjscy naukowcy odkryli, że choroba dziąseł wiąże się ze zwiększonym ryzykiem rozwoju chorób...
W nowym badaniu naukowcy z Uniwersytetu L'Aquila we Włoszech podkreślili znaczenie stanu zdrowia jamy ustnej dla pacjentów z nadciśnieniem. Wnioski z ...
27-letnie badania wykazują, że dzieci matek, których stan zdrowia jamy ustnej jest zły, cierpią z powodu tych samych problemów.
Naukowcy już wcześniej zidentyfikowali otyłość i starzenie się jako czynniki ryzyka cukrzycy ciążowej (GDM). Niektórzy uczeni uważają, że ...
Naukowcy twierdzą, że niewystarczające dbanie o higienę i zdrowie jamy ustnej może sprzyjać cięższemu przebiegowi Covid-19, szczególnie u osób z ...
SYDNEY, Australia: Przyczyny zaburzeń czucia ośrodkowego, takie jak fibromialgia czy migrena, nie są do końca jasne. Oś jelitowo-mózgową powiązano z...
CAIRO, Egipt: Wcześniejsze badania łączyły słabą higienę jamy ustnej z nadmiernym stanem zapalnym i chorobami układu krążenia. Podobnie ...
Najnowsze badania, przeprowadzone w Ameryce pozwoliły odkryć narzędzie diagnostyczne umożliwiające wykrycie raka jamy ustnej w bardzo wczesnym stadium....
Webinarium na żywo
wto. 19 maja 2026
5:00 (CET) Warsaw
Webinarium na żywo
wto. 19 maja 2026
7:00 (CET) Warsaw
Prof. Dr. med. dent. Ivo Krejci
Webinarium na żywo
śro. 20 maja 2026
1:00 (CET) Warsaw
Dr. Graham Carmichael BDSc (Hons), DClinDent (Pros), FRACDS, Dr. Robert Gottlander DDS
Webinarium na żywo
śro. 20 maja 2026
3:00 (CET) Warsaw
Webinarium na żywo
śro. 20 maja 2026
5:00 (CET) Warsaw
Webinarium na żywo
śro. 20 maja 2026
7:00 (CET) Warsaw
Prof. Dr. med. dent. Tim Joda PhD, MSc, eMBA
Webinarium na żywo
czw. 21 maja 2026
6:00 (CET) Warsaw
Dr. Leonardo Muniz DDS, MSC
To post a reply please login or register