Biostymulacja od wielu lat jest powszechnie stosowana w medycynie. Ma ona także zastosowanie w stomatologii i dziedzinach jej pokrewnych. Wymaga jednak sprzętu i kompetencji, by dawała pozytywne rezultaty.
Już w połowie lat 60. XX w. dostrzeżono dobroczynne działanie promieniowania laserowego w wielu jednostkach chorobowych. Kiedy zaczęto to zagadnienie wnikliwiej analizować, okazało się, że światło lasera działa na organizmy żywe na wielu poziomach: molekularnym, biochemicznym, komórkowym, tkankowym i wreszcie narządowym.
Biostymulacją laserową – angielski skrót: LLLT (low level laser therapy) nazwano reakcję komórek i tkanek organizmu na nisko- i średnioenergetyczne promieniowanie laserowe. W tej terapii wykorzystuje się długość fali świetlnej głęboko wnikającej w tkanki organizmu. Światło lasera powoduje wzrost poziomu ATP w mitochondriach komórkowych, które dostarczają energię komórce, co przyśpiesza jej metabolizm. To przekład się na wiele pozytywnych efektów. Zaliczyć do nich można m.in.:
_zwiększenie potencjału regeneracyjnego tkanek i narządów,
_przyspieszenie gojenia ran chirurgicznych,
_szybszą rewaskularyzację,
_efekt przeciwbólowy i przeciwzapalny,
_zmniejszenie obrzęków pourazowych,
_podniesienie odporności,
_poprawę miejscowego krążenia,
_zwiększenie produkcji fibroblastów i włókien kolagenowych,
_pobudzenie osteoblastów i odontoblastów, co przekłada się na odbudowę kości i zębiny.
Wszystkie wymienione efekty są możliwe do osiągnięcia w codziennej terapii stomatologicznej, a szczególnie uzasadnione po zabiegach z zakresu chirurgii stomatologicznej i periodontologii.
Biorąc pod uwagę korzyści płynące z szybkiego gojenia się ran i minimalizowania dyskomfortu pozabiegowego pacjentów, zdecydowaliśmy się na doposażenie naszego lasera Fotona LightWalker w najbardziej zaawansowaną głowicę biostymulacyjną – Genova. Została ona zaprojektowana przez badaczy z Uniwersytetu Medycznego w Genui w celu indukowania wysokoefektywnego gojenia ran i zmniejszania dolegliwości bólowych. Jej wyjątkowa budowa pozwala generować dużą plamkę o średnicy 1,15 cm skolimowanej i homogennej wiązki lasera. Dzięki tak ukształtowanej wiązce światła laserowego, do tkanek naświetlanych dostarczana jest energia o odpowiedniej gęstości, co przekłada się na efekty biologiczne.
Jak dowodzi dr Wayne Selting – twórca Dynamic Concepts of Flat top Hand-piece, średnica wiązki laserowej, jej rozbieżność, profil, a nawet pozycja konkretnych komórek w masie tkanki ma znaczenie w uzyskiwaniu efektu biomodulacji. W badaniach z użyciem głębokopenetrującej fali lasera Nd:YAG przeprowadzonych przez Usunez uzyskano dwukrotnie większą ekspresję czynników wzrostowych w tkankach naświetlanych w porównaniu z najbardziej popularnymi diodowymi laserami biostymulacyjnymi.
Biomodulacja generowana przez laser Nd:YAG wraz z głowicą Genova wydaje się zatem idealnym rozwiązaniem, zważywszy na nieskomplikowaną obsługę tego urządzenia. Terapia przy użyciu głowicy Genova może być przeprowadzaną niezależnie, a także nadaje się jako uzupełnienie wielu zabiegów, szczególnie z zakresu chirurgii stomatologicznej. Zastosowanie głowicy powoduje stymulację zasklepiania się ran na skórze, błonie śluzowej i tkance kostnej. Zabiegi wykonane głowicą zmniejszają dolegliwości bólowe i działają przeciwzapalnie.
Zgodnie z sugestiami naukowców i badaczy zawartymi w pracy naukowej pt.: „Atlas of laser therapy fourth edition – state of the art” autorstwa Alberto Benedicenti i Stefano Benedicenti, dla uzyskania efektu biostymulacji oraz działania przeciwbólowego należy zastosować następujące ustawienia lasera Nd:YAG: 0,5 W w trybie MSP 10-20 Hz przez 60 s na punkt. Dysponując odpowiednim sprzętem w postaci lasera Fotona LightWalker wraz z głowicą Genova można wykonywać skuteczne i bezpieczne zabiegi biomodulacji, co z przekonaniem proponuję moim pacjentom, szczególnie po zabiegach chirurgicznych.
Opis przypadku
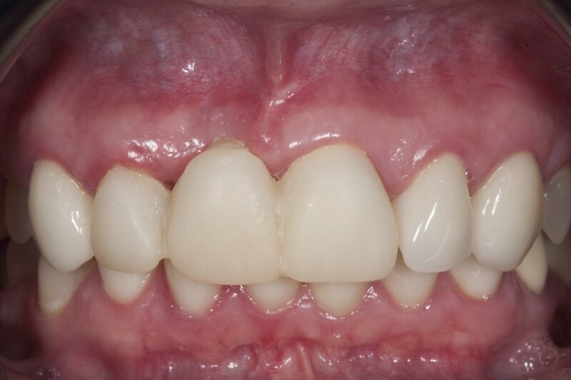
43-letnia pacjentka zgłosiła się do gabinetu w celu uzupełnienia brakującego zęba 11 usuniętego kilka miesięcy temu w innym gabinecie. Brak zostało zaopatrzony czasowym mostem wspartym na zębach 12 i 21. Pacjentka była ogólnie zdrowa. Badanie przedmiotowe wykazało duży zanik kostny przedsionkowo, płytki przedsionek jamy ustnej i niski przyczep wędzidełka wargi górnej (Ryc. 1 i 2). Badanie CBCT wykazało znaczny zanik pionowy wyrostka (Ryc. 3).
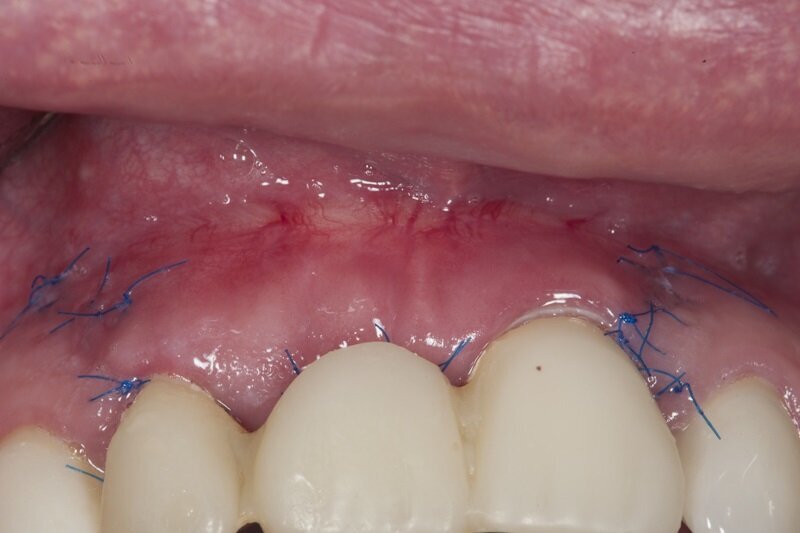
Na podstawie uzyskanych danych zasugerowano pacjentce etapowe rozwiązanie zaistniałej sytuacji, na co uzyskano zgodę. Pierwszy etap obejmował frenulotomię i westibiloplastykę w celu uzyskania poprawy zastanych warunków pod względem tkanek miękkich. Zaplanowano dowierzchołkowe przesunięcie płata śluzówkowego z pozostawieniem okostnej. Zabieg przecięcia błony śluzowej przeprowadzono przy użyciu lasera Er:YAG przy następujących ustawieniach: VLP 120 mJ, 20 Hz, a następnie przesunięty dowierzchołkowo płat błony śluzowej wraz z przyczepami mięśni przyszyto szwami materacowymi Prolene 5.0 do okostnej (Ryc. 4). Następnie, przy użyciu głowicy Genova i lasera Nd:YAG o parametrach: MSP, 0,5 W, 20 Hz dokonano naświetlenia rany w 4 miejscach po 60 s na punkt (Ryc. 5-7).
Po zabiegu pacjentka nie przyjmowała żadnych leków, także przeciwbólowych. Zgłosiła się na wizytę kontrolną 7 dni później. Badanie wewnątrzustne wykazało pokrycie nabłonkiem odsłoniętej w czasie zabiegu okostnej i znaczny stopień wygojenia rany (Ryc. 8), co umożliwiło usunięcie szwów.
Po kolejnych 4 tygodniach wykonano zabieg bocznej regeneracji kostnej wyrostka zębodołowego w okolicy utraconego zęba 11 w przygotowaniu do przyszłej implantacji (Ryc. 9-11). Zastosowano biomodulację przy użyciu głowicy Genova, na rycinie 12 pokazano stan tkanek 3 tygodnie po zabiegu.
Podsumowanie
Biomodulacja laserowa przyspiesza gojenie ran i zmniejsza poziom dolegliwości pozabiegowych. Zastosowanie głowicy Genova wraz z laserem Nd:YAG daje wyjątkowo dobre efekty, podnosząc komfort i zadowolenie pacjentów, szczególnie po zabiegach chirurgicznych przeprowadzonych w jamie ustnej.
Ryc. 5_Zabieg westibuloplastyki.
Ryc. 7_Zabieg biomodulacji w 4 punktach.
Ryc. 8_Ustawienia lasera do biomodulacji Genova®.
Ryc. 9_Stan 7 dni po zabiegu.
Ryc. 10_Zabieg regeneracji kostnej.
Ryc. 11_Zabieg regeneracji kostnej.
Ryc. 12_Zabieg regeneracji kostnej.
Ryc. 13_Stan 3 tygodnie po zabiegu regeneracyjnym.
Autor:
Lek. stom. Adam J. Wolniewicz – Diplomate PSI/ICOI, członek PTSL, PASE, PSI/ICOI, właściciel Orłowska Dental Clinic.
Kontakt:
www.wolniewicz.eu
Piśmiennictwo:
- Benedicenti S. Atlas of Laser therapy fourth edition – state of the art. Teamwork Media, 2016.
- Usumez et al. Effects of laser irradiation at different wavelengths (660, 810, 980 and 1064 nm) on mucositis in an animal model of wound healing. Laser Med Sci 2014 Nov;29(6):1807-13.
Tagi:
KILONIA, Niemcy: W listopadzie ubiegłego roku naukowcy z Uniwersytetu w Kilonii poinformowali o przełomowym osiągnięciu w obszarze druku addytywnego. Po...
Ponad 30% dorosłej populacji to osoby, które nie są zadowolone z koloru i/albo kształtu swoich naturalnych zębów. Związane jest to ze ...
W artykule przedstawiono przypadek pacjentki, która przez wiele lat nie mogła rozpocząć leczenia z obawy przed licznymi zabiegami. Decydującym ...
W artykule przedstawiono przypadek pacjentki, która przez wiele lat nie mogła rozpocząć leczenia z obawy przed licznymi zabiegami. Decydującym ...
Współczesne standardy postępowania terapeutycznego w stomatologii zachowawczej zmierzają w kierunku procedur małoinwazyjnych. Obecny stan wiedzy ...
Współczesne standardy postępowania terapeutycznego w stomatologii zachowawczej zmierzają w kierunku procedur małoinwazyjnych. Obecny stan wiedzy ...
Mucocele to rodzaj obrzęku śluzówki spowodowanego przerwaniem przewodu gruczołu ślinowego i nagromadzeniem mucyny w otaczających tkankach ...
Mucocele to rodzaj obrzęku śluzówki spowodowanego przerwaniem przewodu gruczołu ślinowego i nagromadzeniem mucyny w otaczających tkankach ...
Nadwrażliwość zęba (ang. tooth hypersensitivity), a dokładniej nadwrażliwość zębiny (ang. dentine hypersensitivity) opisywana jest jako ostry ...
Zintegrowane implanty są najlepszą alternatywą dla odtworzenia częściowo lub całkowicie utraconego uzębienia, ale w wielu przypadkach nie ma ...
Webinarium na żywo
śro. 15 kwietnia 2026
8:00 (CET) Warsaw
Webinarium na żywo
czw. 16 kwietnia 2026
2:00 (CET) Warsaw
Linda Hecker MS, BSDH, RDH
Webinarium na żywo
czw. 16 kwietnia 2026
6:00 (CET) Warsaw
Dr. Pär-Olov Östman, Dr. Robert Gottlander DDS
Webinarium na żywo
pią. 17 kwietnia 2026
6:00 (CET) Warsaw
Webinarium na żywo
pią. 17 kwietnia 2026
7:00 (CET) Warsaw
Dr. Stuart Yeaton BDentSc, MOrth
Webinarium na żywo
pon. 20 kwietnia 2026
7:00 (CET) Warsaw
Dr. Alberto Monje DDS, MS, PhD
Webinarium na żywo
śro. 22 kwietnia 2026
5:00 (CET) Warsaw
MDT Andreas Chatzimpatzakis
To post a reply please login or register