Kiedy istnieją wskazania do leczenia implantami stomatologicznymi, konieczne jest postawienie odpowiedniej diagnozy w celu określenia parametrów fizycznych i ustalenia optymalnego terminu natychmiastowego lub opóźnionego (wczesnego lub późnego) wszczepienia implantów i ich obciążenia po ekstrakcji zęba. Istotne jest także ustalenie możliwych powikłań oraz ich wpływu na rezultaty estetyczne1.
W niniejszym artykule wyjaśniono zachowanie się tkanki twardej i miękkiej wokół implantu, oceniono termin wszczepienia implantów po ekstrakcji oraz przeanalizowano różne parametry mające wpływ na remodelowanie brzegów tkanek. Omówiono znaczenie stanu tkanki twardej i miękkiej otaczającej miejsce wszczepu oraz wpływ, jaki na ten stan może mieć czas dokonania ekstrakcji. Po przeczytaniu artykułu czytelnik powinien:
- rozumieć, w jaki sposób wysokość brodawki, szerokość biologiczna i sąsiadujące zęby mogą wpływać na powodzenie wszczepu,
- zdawać sobie sprawę, dlaczego implanty natychmiastowe mogą być bardziej zachowawcze i są techniką, która może okazać się najbardziej skuteczna.
Procedury praktyczne a stomatologia estetyczna
W przednim odcinku szczęki wymiary wyrostka zębodołowego mają wpływ na położenie implantu, położenie wargi oraz strukturę dziąsła brzeżnego z powodu resorpcji blaszki wargowej.2 Uzyskanie pięknego efektu estetycznego przy implantach w przednim odcinku szczęki jest bez wątpienia trudne.3 Zarówno wyrównanie dziąsła brzeżnego, jak i obecność brodawek są niezbędnymi elementami, które rozwiązują problemy estetyczne z implantami w tym odcinku szczęki. Obie te struktury zbudowane z tkanki miękkiej są bezpośrednio związane z fenotypem oraz jakością i ilością leżącej pod nimi kości zębodołowej.
Błona śluzowa otaczająca implant, szczególnie jeśli jest wąska, o cienkim, postrzępionym fenotypie, cofa się w ciągu 5 miesięcy od przykręcenia filaru protetycznego i odbudowy ze względu na przekształcenie przestrzeni biologicznej.4 Kość otaczająca implant oraz tkanki dziąsła są podobne do tkanek przyzębia i praktycznie tak samo reagują na brak higieny, gromadzenie się płytki nazębnej i na przeciążenie w zwarciu. Zrozumienie mechanizmów biologicznych, mikrobiologicznych, immunologicznych oraz innych mechanizmów, które decydują o stanie przyzębia ułatwia radzenie sobie z problemami związanymi z tkankami otaczającymi implanty.5
Niniejszy artykuł ma na celu objaśnienie uwarunkowań biologicznych tkanek twardych i miękkich otaczających implant, ocenę znaczenia terminu wszczepienia implantu po ekstrakcji oraz analizę wpływu różnych parametrów implantu na remodelowanie krawędzi tkanek.
Uwarunkowania biologiczne
Przewidywalność skutków estetycznych wokół implantu zależy ostatecznie od szczególnych warunków anatomicznych pacjenta oraz od zdolności lekarza do przeprowadzania różnych zabiegów bez uszkadzania miejsca wszczepu lub stosowania chirurgii inwazyjnej. W zdrowym uzębieniu zarysy zębów i struktura kości decydują o wysokości i kształcie dziąseł. Z tego powodu istnieje związek między tymi elementami a kształtowaniem się szerokości biologicznej. O ile w przypadku zębów przestrzeń biologiczna położona jest nad krawędzią kości, o tyle w przypadku implantów znajduje się ona zazwyczaj pod jej krawędzią.
Szerokość biologiczna wokół zębów i szerokość biologiczna wokół implantu różnią się pod kilkoma względami takimi, jak: długość (tzn. odpowiednio 2 mm w porównaniu do 4 mm), skład histologiczny oraz unaczynienie. Pod względem histologicznym równolegle do powierzchni implantu biegnie więcej włókien kolagenowych, które pełnią rolę tkanki bliznowatej śluzówki i mają słabe właściwości przylegające. Bogactwo włókien kolagenowych umożliwia ich rozciąganie i ściskanie w sposób, którego nie można stosować w przypadku zębów bez naruszenia szerokości biologicznej. Tkanka miękka otaczająca implant jest mniej unaczyniona, przez co inwazje bakteryjne wokół implantu mają poważniejsze skutki niż w przypadku zęba.6
W implantologii krawędź kości jest kluczem do estetycznego zarysu tkanki miękkiej. Nawet po ekstrakcji zęba należy zadbać o zachowanie blaszek kostnych w jamie ustnej.7 Przy odbudowie kości implantolodzy coraz częściej korzystają z wolnoresorbujących się substytutów kości. Ich zadaniem jest zapewnienie zachowania rezultatów uzyskanych w ramach odbudowy kości i tkanek miękkich przez długi czas po wszczepieniu implantu.
Aby uzyskać idealną estetykę implantu, należy przywrócić wysokość i kształt brodawek obserwowany pierwotnie przy naturalnych zębach pacjenta. W przypadku umieszczenia pojedynczego implantu w sąsiedztwie zębów naturalnych można uzyskać przewidywalny rezultat estetyczny – pod warunkiem, że tkanki podporowe naturalnego uzębienia są zdrowe i zachowana jest optymalna odległość między zębami a implantem. Dlatego właśnie implanty wszczepiane w sąsiedztwie naturalnych korzeni przy normalnym poziomie kości mają normalne szczyty brodawek, ponieważ sąsiadujące korzenie przyczyniają się do zachowania stabilności kości i brodawek dziąsłowych.
Kiedy jednak w przedniej części szczęki wszczepiane są 2 sąsiadujące ze sobą implanty (lub więcej), wówczas przewidywalny efekt estetyczny jest często trudny do osiągnięcia. W przypadku sąsiadujących ze sobą implantów, tkanka otaczająca implant istotnie zmienia ich cechy histologiczne i fizjologię, zwiększając tym samym liczbę ograniczeń związanych z uzyskaniem efektów estetycznych. Wyzwaniem estetycznym w implantologii pozostaje zatem odbudowa sąsiadujących implantów w sytuacji, gdy między implantami zazwyczaj powstaje brodawka położona bardziej wierzchołkowo niż brodawki międzyzębowe w sąsiadujących zębach.8 Ponieważ szerokość biologiczna zostaje określona przy sąsiadujących implantach, dochodzi do spłaszczenia kości między implantami i do zmiany poziomu tkanki miękkiej. Skutkuje to utratą normalnego przejścia brodawki z brakującego zęba na sąsiadujący implant. Strefy kontaktu z sąsiednimi koronami są generalnie dłuższe i położone bardziej wierzchołkowo, zaś brodawki między implantami znajdują się bliżej wierzchołka niż poziom brodawek między sąsiadującymi zębami naturalnymi.9
Ponadto nawet przy 3 mm przestrzeni między implantami konwencjonalnymi dochodzi do spłaszczenia w pewnym stopniu poziomu kości pomiędzy nimi, czemu towarzyszy utrata naturalnego kształtu brodawek.10 Za pomocą implantów w odcinku przednim można zachować i odbudować wysokość brodawek równą 4-5 mm, jeżeli:
- odległości między implantami są większe niż 3 mm,
- objętość kości między implantami zostanie odbudowana w celu zapobieżenia resorpcji kości11,
- grubość blaszek kostnych jest większa niż 3 mm dla zapewnienia optymalnego podparcia tkanek miękkich.
Najtrudniejszym do osiągnięcia tego efektu odcinkiem jest odcinek między siekaczem bocznym i centralnym szczęki oraz między siekaczem bocznym a kłem z powodu ograniczonej ilości miejsca. Niemniej jednak, w sytuacji, gdy w wyniku urazu lub choroby przyzębia brakuje jednego lub kilku zębów albo w miejscu wygojonym lub w przypadku istniejących wad tkanek miękkich albo twardych, rezultat estetyczny staje się coraz mniej przewidywalny ze względu na nowe, niesprzyjające warunki anatomiczne.
Czas wszczepienia implantu
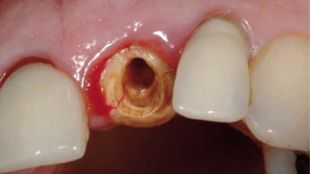
W przednim odcinku szczęki objętość kości i grubość blaszki korowej mają decydujące znaczenie dla rezultatów estetycznych odbudowy implantologicznej. Z tego względu wszczepienie implantu po ekstrakcji wiąże się dla lekarza z wieloma trudnościami.12 Do wybrania odpowiedniego sposobu wszczepienia implantu konieczna jest dokładna diagnoza przed zabiegiem, której celem jest ustalenie parametrów dziąsłowych i kostnych dla ustalenia najlepszego momentu ekstrakcji zęba i wszczepienia implantu, a także dla podjęcia decyzji, czy obciążenie implantu powinno być natychmiastowe, czy opóźnione (Ryc. 1-5).13
Implantacja natychmiastowa
Implantacja natychmiastowa po każdej ekstrakcji sprzyja zachowaniu kości i dziąsła, skraca czas leczenia pacjenta, a przez to ma bardziej zachowawczy charakter (Ryc. 6 i 7).14,15 Kiedy ząb ze złymi rokowaniami pozostaje w łuku, dobór terminu ekstrakcji, natychmiastowa implantacja i zaopatrzenie wszczepu mogą nie zachować ściany zębodołu, a w szczególności zewnętrznej ściany korowej, która jest najbardziej wrażliwa w przednim odcinku szczęki przy cienkim przyzębiu i bardziej narażona na recesję dziąseł. Implantacja natychmiastowa z koroną tymczasową może jednak zachować objętość i profil zarysu tkanki miękkiej przy grubym przyzębiu.16
Wczesna implantacja
Ząb powinien zostać usunięty bardzo delikatnie w celu zachowania kości i dziąsła. Następnie należy natychmiast założyć most tymczasowy lub zdejmowaną protezę akrylową, by kontrolować gojenie tkanek miękkich. Implantację kończy się 6-8 tygodni po ekstrakcji zęba. W przypadku wczesnej implantacji sytuacja tkanki miękkiej jest dojrzała, a na tym etapie resorpcja kości jest zazwyczaj ograniczona. Zabieg ten zapewnia bardziej zadowalający efekt estetyczny u pacjentów z cienkim fenotypem dziąsła. Należy unikać preparowania płatu oszczędzającego sąsiadującą brodawkę, by nie dopuścić do zbliznowacenia nacięcia pionowego. Przed umieszczeniem implantu17 lub w momencie jego umieszczenia18 można zastosować przeszczep autogeniczny kości lub przeszczep ksenogeniczny z membraną i przeszczep tkanki łącznej w celu zachowania i zwiększenia grubości blaszki kostnej. To pomaga zapobiegać resorpcji kości oraz recesji tkanki miękkiej, która zachodzi zawsze po ekstrakcji. Membranę można umieścić także na ścianie wewnętrznej zębodołu po usunięciu zęba w celu przykrycia wady, wypełnienia zębodołu skutecznym przeszczepem kości i wyeliminowania konieczności unoszenia płata.19
Implantacja późna
Implantacji późnej dokonuje się po więcej niż 16 tygodniach od ekstrakcji. Jeśli przedni grzebień zębodołowy jest wąski, konieczne będzie przeprowadzenie zabiegu dwuetapowego z zastosowaniem sterowanej regeneracji kości za pomocą przeszczepu autogennego i/lub przeszczepu tkanki łącznej przed wszczepieniem implantu lub w momencie jego wszczepienia w celu odtworzenia ogólnego zarysu kości i dziąsła. Przycementowana odbudowa tymczasowa zapobiegnie utracie wysokości brodawki i zarysu tkanki miękkiej. Może także umożliwić wygojenie implantu bez mikroruchów i przy zachowaniu komfortu pacjenta.
Zapobieganie recesji wokół implantu
Wśród kryteriów udanego wszczepu wymienia się utratę krawędzi kości wynoszącą 1 mm w pierwszym roku po zamocowaniu filaru, a następnie 0,2 mm rocznie.20 Ostatnio zebrane dane dotyczące utraty krawędzi kości i dodatkowe badania na temat zachowania kości i tkanki miękkiej wokół szyjki implantu i samego implantu wykazały, że kryteria te są nieodpowiednie dla szerokiej gamy systemów implantów.21 Zaoszczędzenie kilku dziesiątych części milimetra kości wokół implantu nie wydłuża jego żywotności i zalecane jest wyłącznie dla celów estetycznych.22 W celu zapobieżenia lub zmniejszenia resorpcji kości wokół implantu oraz recesji dziąsła po odbudowie implantologicznej w odcinku przednim, zasugerowano szereg możliwości dotyczących koncepcji implantu, czasu dokonania ekstrakcji, wyglądu płata, metod przeszczepiania i innych powiązanych czynników.
Koncepcja implantu, średnica i kołnierz
Wokół wszystkich implantów po 2. etapie zabiegu i ostatecznej odbudowie, recesja tkanki miękkiej wykazuje wyraźny trend. Recesja tkanki miękkiej wokół implantu o szerokiej średnicy wynosiła średnio 1,58 mm w porównaniu do 0,57 mm wokół implantu o standardowej średnicy. Choć platforma o szerszej średnicy powinna zapewnić poprawny anatomicznie profil wyłaniania, bardziej rozważne może być zastosowanie w strefie estetycznej implantów o średnicy standardowej w celu uniknięcia ścieńczenia kości korowej i nadmiernej recesji tkanki miękkiej.23
W badaniu klinicznym nie stwierdzono istotnego statystycznie ubytku kości wokół polerowanego kołnierza w różnych grupach implantów (tzn. implantów opracowanych maszynowo lub implantów o powierzchni chropowatej) lub w różnych odcinkach jamy ustnej.24 Ponieważ koncepcje implantów ewoluują, zmiany, które w największym stopniu wpływają na recesję tkanek, umiejscowione są przede wszystkim w strefie szyjki i kołnierza:
- koncepcja implantu w strefie kołnierza powinna stabilizować wyrostek poprzez jak największe zbliżenie chropowatości i gwintu do platformy,
- budowa kołnierza implantu zmienia się z szyjki rozbieżnej i podąża w stronę ścian równoległych lub zbieżnych,
- kołnierz staje się ostatnim gwintem umożliwiającym biomechaniczne zablokowanie w 3 wymiarach wyrostka zębodołowego i przekształcenie szkodliwych sił w siły ściskające,
- wypolerowana szyjka ma chropowatą powierzchnię.
W badaniu dotyczącym wpływu kołnierza opracowanego maszynowo/chropowatego na tkankę twardą korony wykazano, że do najmniejszej utraty kości krawędzi dochodziło wtedy, gdy kołnierz implantu znajdował się ponad wyrostkiem zębodołowym.25 Zmiana koncepcji implantu zmierzająca w stronę wprowadzenia ząbkowanego kołnierza, który imituje topografię kości i tkanki miękkiej, posiadającego powierzchnie chropowate i rowki może pomóc w zachowaniu architektury tkanek poprzez minimalizację remodelowania kości wywołanego umieszczeniem głowy implantu pod kością, co poprawia podparcie brodawki.26
Umieszczenie gwintu implantu decyduje o skutecznym poziomie remodelowania po obciążeniu, co jest prawdopodobnie nawet ważniejsze niż umiejscowienie implantu/mikroprzestrzeń filaru.27 Dostępność różnego rodzaju implantów z mikrogwintami sięgającymi do kołnierza wydaje się zgodna z tym zaleceniem i ma na celu zapobieganie resorpcji kości. Skuteczność takiej koncepcji nadal wymaga jednak potwierdzenia badaniami.
Czas wszczepienia implantu i ekstrakcji zęba
Moment natychmiastowego, opóźnionego lub późnego wszczepienia implantu po ekstrakcji zęba jest ważnym elementem planu leczenia,28 szczególnie jako sposób na zapobieganie recesji dziąseł. Umieszczenie proksymalnej platformy implantu 1,5 mm nad kością pomoże ograniczyć utratę kości do minimum, ponieważ wokół implantu powstaje przestrzeń biologiczna.9
Kiedy 2 usunięte zęby są zastępowane 2 sąsiadującymi implantami, zaleca się chirurgom maksymalizację podparcia brodawki w toku zabiegów chirurgicznych i odbudowujących poprzez stopniową ekstrakcję zębów i natychmiastowe wszczepienie implantu.29 Wymaga to ekstrakcji jednego zęba oraz jego zastąpienia i odbudowy za pomocą implantu, zanim rozpoczęte zostanie leczenie sąsiedniego zęba. Założenie to polega na utrzymaniu kości zęba sąsiadującej ze zintegrowanym implantem, która ma duże szanse zadziałać jako stabilne rusztowanie dla szczytu brodawki między implantami. Nie dojdzie do tego w przypadku jednoczesnego wszczepienia sąsiadujących ze sobą implantów, w przypadku których remodelowanie kości bocznej pomiędzy implantami skutkuje utratą kości dla danej brodawki, szczególnie jeśli przestrzeń międzystyczna między sąsiadującymi centralnymi siekaczami szczęki jest mniejsza niż 4,5 mm.
Wymuszona ekstruzja
Leczenie ortodontyczne jest najlepszym rozwiązaniem dla pacjentów o cienkim fenotypie, którzy chcieliby ograniczyć liczbę zabiegów chirurgicznych do jednej operacji koniecznej do wszczepienia implantów oraz do wzmocnienia profilu tkanki twardej i miękkiej przed ekstrakcją i wszczepieniem implantu.30 Podczas kontrolowanego ruchu ortodontycznego zęby i otaczające je przyzębie (tzn. kość zębodołowa i dziąsło) zostaną przemieszczone w stronę korony – o ile uda się zapanować nad zapaleniem przyzębia. Po 8 tygodniach krawędź dziąsła i brodawka międzyzębowa znajdą się na poziomie zgodnym z morfologią przyszłych koron implantów. Po kolejnych 3 miesiącach szynowania w celu zapewnienia dojrzewania kości i stabilizacji dziąseł wykonywany jest jeden zabieg chirurgiczny – siekacze zostają usunięte i natychmiast zastąpione implantami z tymczasowymi koronami. Zachowanie zębów do momentu wszczepienia implantów stabilizuje kość korową i umożliwia utrzymanie wypukłego kształtu tkanki miękkiej na poziomie przedsionka, imitując w ten sposób naturalne korzenie zębów.
Koncepcja płata
Implantacja natychmiastowa to zasadniczo zabieg niewymagający preparacji płatów. Ekstrakcji dokonuje się za pomocą periotomu w celu atraumatycznego usunięcia zęba oraz zapobieżenia uszkodzeniom tkanek miękkich i twardych w jamie ustnej.
Badanie porównawcze przeprowadzone na wygojonych implantach wszczepionych z wykorzystaniem ruchomego szerokiego płata z brodawką międzyzębową oraz ograniczonego płata z co najmniej 1 mm brodawki międzyzębowej wykazało, że do większej utraty kości międzystycznej i kości wyrostka (1,2 mm) dochodzi w przypadku płata szerokiego niż ograniczonego.31 Zastosowanie ograniczonego płata, który chroni brodawkę minimalizuje utratę kości międzystycznej oraz ryzyko utraty brodawki w miejscu wygojonym, a przez to zapewnia lepszy efekt estetyczny przestrzeni międzystycznej przy mniejszej recesji brodawki. Po nacięciu może pozostać jednak widoczna blizna, dlatego ważne jest, by nacięcie zostało wykonane w bruździe po stronie przedsionka jamy ustnej.
Wnioski
Choć estetyka jest ważnym elementem leczenia stomatologicznego, wartość rezultatów, przewidywalność różnych czynników terapeutycznych oraz długofalowe rokowania wymagają naukowego podejścia we wszystkich podejmowanych działaniach klinicznych.
W celu uzyskania optymalnej pod względem estetycznym odbudowy opartej na implantach oraz dla osiągnięcia pożądanych wyników, niezbędnymi warunkami powinny zawsze być: dokładna, wszechstronna diagnoza biologiczna i protetyczna, a także dobór najbardziej zachowawczego, odpowiedniego i najmniej traumatycznego leczenia dla pacjenta. Warunki te mają na celu zapobieżenie urazom struktur zębów i przyzębia i umożliwienie odpowiedniego umiejscowienia/położenia implantu w 3 wymiarach. Ostatecznym celem jest uzyskanie optymalnego estetycznie implantu otoczonego naturalnym środowiskiem dziąseł, współgrającego z sąsiadującymi zębami, z zastosowaniem delikatnej chirurgii estetycznej kości i/lub śluzówkowo-dziąsłowej.
W kolejnej części niniejszej prezentacji omówione zostanie umiejscowienie implantu w 3 wymiarach oraz wykorzystanie przeszczepów tkanki łącznej w celu uzupełnienia odbudowy estetycznej.
Autorzy oświadczają, że nie mają interesu majątkowego w rekomendowaniu produktów wspomnianych w niniejszej pracy. Autorzy dziekują dr. Alberto Pinto za przekazanie opisów przypadków klinicznych wykorzystanych w treści artykułu.
embedImagecenter("Imagecenter_1_1561",1561, "large");
Piśmiennictwo:
1. Saadoun AP, LeGall MG, Touati B: Selection and ideal tridimensional implant position for soft tissue aesthetics. Pract Periodont
Aesthet Dent 1999; 11(9): 1063-1072.
2. Salama H, Salama MA, Li TF, et al: Treatment planning 2000: An esthetically oriented revision of the original implant protocol. J
Esthet Dent 1997; 9(2): 55-67.
3. Jundslalys G. Immediate implantation and soft tissue reaction. Clin Oral Implants Res 2003; 14(2): 144-149.
4. Small PN, Tarnow DP: Gingival recession around implants: A 1- year longitudinal prospective study. Int J Oral Maxillofac Impl 2000; 15(4): 527-532.
5. Touati B, Guez G: Immediate implantation with provisionalization: From literature to clinical implications. Pract Proced Aesthet Dent 2002; 14(9): 699-707.
6. Petersson A, Rangert B, Randow K, Ericsson I: Marginal bone resorption at different treatment concepts using Bränemark dental implants in anterior mandibles. Clin Implant Dent Relat Res 2001; 3(3): 142-7.
7. Spear FM: Maintenance of the interdental papilla following anterior tooth removal. Pract Periodont Aesthet Dent 1999; 11(1): 21-28.
8. Elian N, Jalbout ZN, Cho SC, et al: Realities and limitations in the management of the interdental papilla between implants: Three case reports. Pract Proced Aesthet Dent 2003; 15(10): 737-744.
9. Leziy S, Miller B: Replacement of adjacent missing anterior teeth with scalloped implants: A case report. Pract Proced Aesthet Dent 2005; 17(5): 331-338.
10. Saadoun AP, Le Gall MG, Touati B: Current trends in implantology: Part II–Treatment planning, aesthetic considerations, and tissue regeneration. Pract Proced Aesthet Pract Proced Aesthet Dent 2004; 16(10): 707-714.
11. Azzi R, Etienne D, Takei H, Fenech P: Surgical thickening of the existing gingiva and reconstruction of interdental papillae around implant-supported restorations. Int J Periodont Rest Dent 2000; 22(1): 71-77.
12. Wöhrle PS. Single-tooth replacement in the aesthetic zone with immediate provisionalization: Fourteen consecutive case reports. Pract Periodont Aesthet Dent 1998; 10(9): 1107-1114.
13. Saadoun AP, Landsberg CJ: Treatment classifications and sequencing for postextraction implant therapy: A review. Pract Periodont Aesthet Dent 1997; 9(8): 933-941.
14. Schwartz-Arad D, Chaushu G: Placement of implants into fresh extraction sites: 4 to 7 years retrospective evaluation of 95 immediate implants. J Periodont 1997; 68(11): 1110-1116.
15. Schwartz-Arad D, Levin L, Ashkenazi M: Treatment options of untreatable traumatized anterior maxillary teeth for future use of dental implantation. Impl Dent 2004; 13(1): 11-19.
16. Garber DA, Salama MA, Salama H: Immediate total tooth replacement. Compend Contin Educ Dent 2001; 22(3): 210-218.
17. Hämmerle C: Augmenting bone plus soft tissue. News Geistlich 2005; 1: 10-11.
18. Buser D: Good Prognosis with early implantation. News Geistlich 2005; 1: 12-14.
19. Vilardi MA: Regenerating lost alveolar socket anatomy: The internal barrier membrane technique. Pract Proced Aesthet Dent 2005; 17(5): 350-354.
20. Albrektsson T, Zarb G, Worthington P, Eriksson AR: The longterm efficacy of currently used dental implants: A review and proposed criteria of success. Int J Oral Maxillofac Impl 1986; 1(1): 11-25.
21. Schwartz-Arad D, Herzberg R, Levin L: Evaluation of long-term implant success. J Periodont 2005; 76(10): 1623-1628.
22. Chiche F: L’égression orthodontique pré-implantaire: Une alternative à la greffe osseuse. Inf Dent 2005; 21: 1285-1239.
23. Small PN, Tarnow DP, Cho SC: Gingival recession around wide-diameter versus standard-diameter implants: A 3- to 5-year longitudinal prospective study. Pract Proced Aesthet Dent 2001; 13(2): 143-146.
24. Aalam AA, Nowzari H: Clinical evaluation of dental implants with surfaces roughened by anodic oxidation, dual acid-etched implants, and machined implants. Int J Oral Maxillofac Impl 2005; 20(5): 793-798.
25. Alomrami A, Hermann J, Jones A, et al: The effect of a machined collar on coronal hard tissue around titanium implants: A radiographic study in the canine mandible. Int J Oral Maxillofac Impl 2005; 20(5): 677-686.
26. Wöhrle PS: NobelPerfect esthetic scalloped implant: Rationale for a new design. Clin Implant Dent Relat Res 2003; 5(Suppl 1): 64-73.
27. Rompen E, Touati B, Van Dooren E: Factors influencing marginal tissue remodeling around implants. Pract Proced Aesthet Dent 2003; 15(10): 754-761.
28. Garber DA, Salama H, Salama MA: Two-stage versus onestage– Is there really a controversy? J Periodontol 2001; 72(3): 417-421.
29. Rungcharassaeng K, Kan JY: Aesthetic implant management of multiple adjacent failing anterior teeth. Pract Proced Aesthet Dent 2004; 16(5): 365-369.
30. Salama H, Salama MA: The role of orthodontic extrusive remodeling in the enhancement of soft and hard tissue profiles prior to implant placement: A systematic approach to the management of extraction site defects. Int J Periodont Rest Dent 1993; 13(4): 312-333.
31. Gomez-Roman G. Influence of flap design on peri-implant interproximal crestal bone loss around single tooth implant. Int J Oral Maxillofac Impl 2001; 16(1): 61-67
W tej części artykułu autorzy skupili się na czynnikach chirurgicznych (np. na umiejscowieniu implantu w 3 wymiarach, zastosowaniu fibryny ...
W tej części artykułu autorzy skupili się na czynnikach chirurgicznych (np. na umiejscowieniu implantu w 3 wymiarach, zastosowaniu fibryny ...
ANN ARBOR, Michigan, USA: Wraz ze wzrostem liczby wszczepianych implantów dentystycznych, rośnie także kliniczne znaczenie zrozumienia chorób około ...
Polska transplantologia powoli wychodzi na prostą po gwałtownym spadku liczby przeszczepów w 2007 r. Do końca sierpnia br. przeprowadzono już ok....
Starzenie dentalne występuje wtedy, kiedy uśmiech wygląda na zdecydowanie więcej lat niż ma w rzeczywistości jego właściciel. Wpływa na wygląd ...
TRIESTE, Włochy: Większość pacjentów z COVID-19 zgłasza samodzielnie zaburzenia węchowe i smakowe, co czyni je jednymi z najczęstszych objawów ...
Amalgamat jest jednym ze sposobów zabezpieczenia ubytków próchnicowych. Wypełnienia amalgamatowe mają ostatecznie zniknąć z ...
Po tym, jak kilka lat temu Polacy masowo wyjeżdżali do pracy za granicą zaczyna zaznaczać się kolejny trend w emigracji zarobkowej. Obywatele naszego ...
MONTREAL, Kanada: Hipnoza, od dawna kojarzona z występami scenicznymi i rozrywką, przyciąga również uwagę ze względu na jej zastosowania w medycynie,...
Zapalenie tkanek wokół implantu staje się chorobą coraz częściej występującą (Ryc. 1). Jej przyczyny są zróżnicowane i często ze ...
Webinarium na żywo
wto. 19 maja 2026
5:00 (CET) Warsaw
Webinarium na żywo
wto. 19 maja 2026
7:00 (CET) Warsaw
Prof. Dr. med. dent. Ivo Krejci
Webinarium na żywo
śro. 20 maja 2026
1:00 (CET) Warsaw
Dr. Graham Carmichael BDSc (Hons), DClinDent (Pros), FRACDS, Dr. Robert Gottlander DDS
Webinarium na żywo
śro. 20 maja 2026
3:00 (CET) Warsaw
Webinarium na żywo
śro. 20 maja 2026
5:00 (CET) Warsaw
Webinarium na żywo
śro. 20 maja 2026
7:00 (CET) Warsaw
Prof. Dr. med. dent. Tim Joda PhD, MSc, eMBA
Webinarium na żywo
czw. 21 maja 2026
6:00 (CET) Warsaw
Dr. Leonardo Muniz DDS, MSC
To post a reply please login or register