_Wprowadzenie
Pojęcie dysplazji ektodermalnej obejmuje grupę ok. 170 jednostek chorobowych charakteryzujących się zaburzeniami rozwojowymi tkanek i narządów wywodzących się z ektodermy. Są one uwarunkowane genetycznie, dziedziczone recesywnie lub autosomalnie dominująco. Mogą również powstawać na skutek spontanicznych mutacji genetycznych lub embriopatii. Występują z częstością 5-7 przypadków na 10.000 urodzeń, częściej u chłopców.
Zaburzenia o różnym stopniu nasilenia
dotyczą głównie zębów mlecznych i stałych, włosów, paznokci oraz gruczołów (w przypadku postaci anhydrotycznej również gruczołów potowych i śluzowych). Skóra jest cienka, gładka, ciepła, sucha, łuszcząca się. Występują zaburzenia termoregulacji i wrażliwość na temperaturę otoczenia. Włosy są jasne, krótkie i rzadkie. Liczba zębów jest zredukowana do kilkunastu, a niekiedy nawet do kilku. Są również opisywane przypadki anodoncji. Zęby mają często zmieniony kształt (stożkowe zęby sieczne). Występuje również skłonność do zanikowego zapalenia błony śluzowej jamy ustnej, nosa i gardła. W budowie kości dochodzi m. in. do zmniejszenia wysokości, szerokości i jakości tkanki kostnej wyrostka zębodołowego. Jest on w przebiegu dysplazji ektodermalnej, zwłaszcza w żuchwie, sklerotyczny, silnie zmineralizowany, słabo unaczyniony, ma małą ilość szpiku i w związku z tym możliwości odbudowy z wykorzystaniem procedur GBR są ograniczone. W prezentowanym przypadku dysplazji ektodermalnej mieliśmy do czynienia zarówno z oligodoncją, jak i atrofią kości części zębodołowej żuchwy. Przetrwałe zęby mleczne miały nietypowy, świadczący o zaburzeniach organogenezy kształt, zresorbowane korzenie, były jednak mocno związane z tkanką kostną i dlatego stabilne.
_Cel pracy i metody
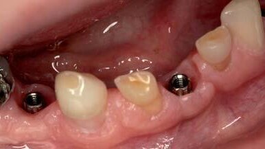
Ze względu na aspekty etyczno-prawne zdecydowano się na zastosowanie leczenia chirurgicznego po osiągnięciu przez pacjentkę pełnoletności. W badaniu zewnątrzustnym stwierdzono zęby stałe:16, 13, 11, 21, 23, 26, 36, 32, 46 oraz zęby mleczne: 55, 62, 63, 75, 71, 82, 83, 85. Pacjentka użytkowała górną protezę częściową osiadającą, była leczona ortodontycznie poprzez wytworzenie i utrzymanie miejsca na wszczepy po utraconych zębach mlecznych. Celem niniejszej pracy jest wykorzystanie metodologii leczenia implantoprotetycznego u pacjentki z użyciem mikroimplantów o średnicy 2,85 firmy Bredent. Ze względu na wymiar językowo-przedsionkowy wyrostka nie byłoby możliwe wykorzystanie implantów szerszych. Uwzględniając budowę kości w przebiegu dysplazji a także brak danych w piśmiennictwie na ten temat, nie poleca się stosowania procedur augmentacji w celu zwiększenia szerokości wyrostka. W żuchwie zastosowano 4 dwuczęściowe implanty MiniSky w pozycjach: 33, 34, 41, 44. Na czas integracji zastosowano gojenie przezśluzówkowe z wykorzystaniem łączników czasowych (mini1SKY MD-Abutment BioXS) z kompozytem typu flow (Kerr Revolution ). Odbudowa czasowa była wyłączona ze zgryzu. Po standardowym okresie gojenia wszczepu w żuchwie (3 miesiące) wykonano wyciski z poziomu stałego łącznika protetycznego z wykorzystaniem czapek typu Snap A i zastosowano odbudowę protetyczną na implantach za pomocą koron metalowych licowanych porcelaną na implantach 41, 44 i mostu metalowego licowanego porcelaną na implantach 33, 34 z dowieszonym do tyłu punktem.
_Wyniki
Planowana odbudowa na implantach miała z założenia nie wykorzystywać zębów mlecznych przetrwałych jako elementów kotwiczących czy też koron ze względu na konieczność
szlifowania i możliwość zwiększenia ruchomości, ponadto zęby te mają częściowo zoobliterowane
jamy. Dlatego nie byłoby możliwe jakiekolwiek leczenie endodontyczne. Części koronowe tych zębów odbudowano kompozytem typu flow (Kerr Revolution).
U pacjentów z niedoborem jakościowym i ilościowym tkanki kostnej w przebiegu chorób o podłożu genetycznym, u których augmentacja kości nie jest wskazana lub może okazać się nieefektywna,
implanty o wąskiej średnicy mogą być z powodzeniem wykorzystywane do odbudowy ciągłości łuku zębowego.
embedImagecenter("Imagecenter_1_353",353, "large"); script>
Dysplazja ektodermalna (dysplasia ectodermalis, ectodermal dysplasia, ED) jest chorobą genetyczną, w której dochodzi do nieprawidłowego rozwoju ...
Dysplazja ektodermalna (dysplasia ectodermalis, ectodermal dysplasia, ED) jest chorobą genetyczną, w której dochodzi do nieprawidłowego rozwoju ...
U 50-letniej pacjentki stwierdzono brak uzębienia w odcinku przednim szczeki w strefie estetycznej przy istniejącej wadzie zgryzu kl. II wg Angle’a....
U 50-letniej pacjentki stwierdzono brak uzębienia w odcinku przednim szczeki w strefie estetycznej przy istniejącej wadzie zgryzu kl. II wg Angle’a....
Dysplazja ektodermalna (dysplasia ectodermalis, ectodermal dysplasia, ED, defectus ectodermalis) jest wrodzonym zespołem zaburzeń rozwojowych tkanek ...
Leczeniu protetycznemu braków zębowych w odcinku przednim stawianych jest wiele wymagań nie tylko funkcjonalno-czynnościowych, ale także ...
Leczeniu protetycznemu braków zębowych w odcinku przednim stawianych jest wiele wymagań nie tylko funkcjonalno-czynnościowych, ale także ...
Zastosowanie preparatów pochodzenia syntetycznego, odzwierzęcego oraz ludzkich posiada poważne ograniczenia w dużych ubytkach kostnych z powodu ...
Zaprezentowany przypadek pokazuje sposób wykonania stałego uzupełnienia protetycznego w sytuacji znacznego zaniku tkanki kostnej żuchwy. Użycie ...
Zaprezentowany przypadek pokazuje sposób wykonania stałego uzupełnienia protetycznego w sytuacji znacznego zaniku tkanki kostnej żuchwy. Użycie ...
Webinarium na żywo
wto. 19 maja 2026
5:00 (CET) Warsaw
Webinarium na żywo
wto. 19 maja 2026
7:00 (CET) Warsaw
Prof. Dr. med. dent. Ivo Krejci
Webinarium na żywo
śro. 20 maja 2026
1:00 (CET) Warsaw
Dr. Graham Carmichael BDSc (Hons), DClinDent (Pros), FRACDS, Dr. Robert Gottlander DDS
Webinarium na żywo
śro. 20 maja 2026
3:00 (CET) Warsaw
Webinarium na żywo
śro. 20 maja 2026
5:00 (CET) Warsaw
Webinarium na żywo
śro. 20 maja 2026
7:00 (CET) Warsaw
Prof. Dr. med. dent. Tim Joda PhD, MSc, eMBA
Webinarium na żywo
czw. 21 maja 2026
6:00 (CET) Warsaw
Dr. Leonardo Muniz DDS, MSC
To post a reply please login or register