Search Dental Tribune

Artykuły

Filtr

Lekarz dentysta powinien leczyć nie tylko zęby

Staw skroniowo-żuchwowy jest jednym z najbardziej obciążonych stawów w całym organizmie. Coraz częściej dolegliwości z jego strony spowodowane...

zapisz

„Najnowsze technologie komputerowe w leczeniu implantoprotetycznym”

Firma Amadar serdecznie zaprasza na konferencję pt.:  " „Najnowsze technologie komputerowe w leczeniu implantoprotetycznym”, ...

zapisz

7. Sympozjum Środkowoeuropejskiej Akademii Implantologii (CEIA)

Już za 2 tygodnie, w dniach 28-29 października br. w Krakowie odbędzie się 7. Sympozjum Środkowoeuropejskiej Akademii Implantologii (CEIA). W tym roku ...

zapisz

Zęby "na baczność"

Nierówne zęby czy przerwy między nimi to nie problem. Dzięki aparatowi ortodontycznemu wadę zgryzu można wyeliminować w każdym wieku.

zapisz

Różnice płci a szanse przeżycia nowotworu jamy ustnej

Nowe badania pokazują, że mężczyźni są prawdopodobnie w grupie większego niż kobiety ryzyka śmierci z powodu chorób nowotworowych.

zapisz

Pasta Colgate Total – ochrona przed bakteriami przez cały czas

Wiadomo, że każdego dnia w jamie ustnej gromadzą się miliony bakterii. Tworzenie się płytki nazębnej i kamienia może prowadzić do poważniejszych ...

zapisz
advertisement

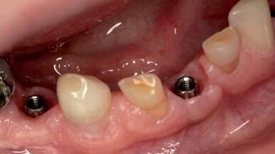
Implantacja natychmiastowa implantu NanoTite™ PREVAIL® z jednoczesnym przeszczepem kostnym

Stan pacjenta w chwili zgłoszenia Pacjent lat 61 zgłosił się z powodu pionowego złamania pierwszego dolnego zęba trzonowego po prawej stronie (ząb ...

zapisz

Młodzi ludzie narażają zdrowie swoich zębów

Najnowsze z opublikowanych danych sugerują, że młodzi ludzie w wieku 11-15 lat poważnie narażają zdrowie swoich zębów i jamy ustnej przez ...

zapisz

VIII Kurs Warszawski

Już 8. raz, z inicjatywy Zofii Konopnickiej i Pawła Waszkiewicza (S+M DENTAL FIRM) i przy aktywnej współpracy firmy KERR, odbędzie się Kurs ...

zapisz

Rewolucja w medycynie

Współczesna medycyna stoi przed ogromnymi wyzwaniami. Jak podaje Harvard  Business Review, groźba zapaści ekonomicznej zablokowała drogę do...

zapisz

Zdrowie warunkowane genetycznie

Szacuje się, że każdego roku w Polsce choroby nowotworowe zabijają 2 miasta wielkości Gdańska. Duża część z tych osób traci swoją szansę ...

zapisz

Zdrowe nawyki od najmłodszych lat

Pierwsza wizyta u dentysty ma decydujący wpływ na kolejne. Rodzice często odkładają ją w czasie, gdy coś w uzębieniu dziecka nas zaniepokoi. Jeśli ...

zapisz
advertisement

CEDE 2011 już za nami!

W dniach 22-24. września br. aż 14 494 lekarzy, techników dentystycznych, asystentek i osób związanych z rynkiem stomatologicznym ...

zapisz

„Five-a-day” najlepszą rekomendacją zdrowego odżywiania

Brytyjskie Ministerstwo Zdrowia opublikowało wyniki najnowszych badań przedstawiających nawyki żywieniowe mieszkańców Wielkiej Brytanii.

zapisz

7. Sympozjum Środkowo-Europejskiej Akademii Implantologii (CEIA)

W dniach 28-29 października br. w Krakowie odbędzie się 7. Sympozjum Środkowo-Europejskiej Akademii Implantologii (CEIA). W tym roku organizatorzy ...

zapisz

Kształcenie podyplomowe z endodoncji – Curriculum Endodontyczne PTE

Curriculum Endodontyczne PTE (Polskie Towazystwo Endodontyczne) jest formą kształcenia podyplomowego obejmującego cykl 6 szkoleń, ma na celu ...

zapisz
advertisement

Wyniki sesji jesiennej LEP

W sesji jesiennej do Lekarskiego Egzaminu Państwowego przystąpiło 4 083 lekarzy stażystów z całej Polski. Średni wynik wynosił 132,1 pkt., a ...

zapisz

Sześć kroków do skomputeryzowanej praktyki

Nie ulega wątpliwości, że nowoczesna praktyka stomatologiczna zmieniła się znacznie w przeciągu ostatnich 15 lat. Dentyści zdali sobie sprawę z ...

zapisz

DT Award po raz pierwszy w Polsce!

Podczas uroczystej Gali CEDE 2011 po raz pierwszy w Polsce zostało wręczone wyróżnienie Dental Tribune Award.

zapisz

Dental Tribune Study Club – Speakers Corner na CEDE 2011!

Tylko dwa dni zostały do największych w Polsce targów stomatologicznych CEDE 2011. Już od czwartku wszyscy zwiedzający będą mogli wziąć ...

zapisz
advertisement

25 lat sprawdzonej klinicznej wydajności

W 1985 r. prof. Werner Mőrmann i dr Marco Brandestini z zespołem stworzyli podstawy nowego systemu leczenia, na który składa się pobieranie ...

zapisz

Konferencja w Polańczyku Nowe technologie i metody leczenia w stomatologii

Na przełomie września i października (30.09-1.10) br. w Bieszczadach odbędzie się Międzynarodowa Konferencja pt.: „Innowacje, nowe technologie i...

zapisz
advertisement

CEDE 2011 – 21 lat tradycji

Już w przyszłym tygodniu, w czwartek 22. września rozpocznie się XXI wystawa produktów stomatologicznych CEDE. To największe wydarzenie ...

zapisz

Carestream Health podwyższa ceny filmów do badań radiologicznych

Firma Carestream Health ogłosiła ogólnoświatową podwyżkę cen wszystkich swoich filmów przeznaczonych do obrazowania medycznego, ...

zapisz

Hi-Tech w Stomatologii

Podczas CEDE 2011 na Dental Tribune Study Club dr Jan Dethloff przedstawi możliwości terapeutyczne, jakie dają najnowsze rozwiązania technologiczne w ...

zapisz

Wolontariusze żyją dłużej

Z badań opublikowanych przez Amerykańskie Towarzystwo Psychologiczne w magazynie "Health Psychology" wynika, że osoby zmotywowane chęcią ...

zapisz
advertisement

Poszukiwany uśmiech

Wybielanie zębów jest niekwestionowanym przebojem wśród pacjentów i według badań przeprowadzonych wśród dentystów ...

zapisz

Sztuczny nos wyczuje raka jamy ustnej?

Wg izraelskich naukowców, sztuczny nos mógłby grać istotną rolę w diagnozowaniu nowotworów głowy i szyi.

zapisz

Chorwacja 2011 – morski rejs na pokładzie Air Flow

W połowie czerwca kilkoro fanów wody, słońca i żagli udało się na niezapomnianą wyprawę po Adriatyku. Na specjalne zaproszenie firmy EMS ...

zapisz

Stomatologia zachowawcza – rozwiązania KaVo i Kerr

W piątek 23. września na Dental Tribune Study Club podczas targów CEDE 2011 (22-24. września) odbędzie się wykład dr. Macieja Mikołajczyka nt....

zapisz
advertisement