Przez wiele lat w codziennej praktyce stomatologicznej dominował jeden trend w odbudowie zębów: wypełnienia kompozytowe z jednego lub dwóch odcieni materiału. Trudno jednak w ten sposób osiągnąć satysfakcjonujący efekt w obrębie zębów przednich. W zależności od wieku pacjenta i grubości szkliwa mamy do czynienia ze znaczną zmiennością jasności tkanek, co wpływa na ogólny kolor zęba.
Udowodniono, że wykonanie estetycznej odbudowy jest możliwe tylko pod warunkiem odtworzenia różnego stopnia jasności koloru naturalnego szkliwa za pomocą materiału kompozytowego o podobnym stopniu przezierności.
W ostatnich latach wielu lekarzy praktyków promowało anatomiczną technikę warstwową jako metodę uzyskiwania wypełnień o bardziej naturalnym wyglądzie. Istota tych technik jest zbliżona: chodzi o odtwarzanie struktury zęba warstwa po warstwie za pomocą materiałów kompozytowych o różnym stopniu przezierności. Niektóre z tych technik są dość skomplikowane, wymagają użycia wielu odcieni i warstw, a w związku z tym są trudne do opanowania i do stosowania w codziennej praktyce.
W niniejszym artykule opisano prostą i niezawodną technikę odbudowy, która koncentruje się na odbudowie tkanek zęba w ich naturalnej grubości, warstwa po warstwie. Nie ma wątpliwości, że szczególną uwagę należy poświęcić odbudowie warstwy szkliwnej. Opisany schemat, przedstawiający przekrój naturalnego zęba siecznego pozwala zrozumieć, dlaczego tak ważne jest skoncentrowanie się na tej najbardziej zewnętrznej warstwie.
Łatwo zauważyć, że jeśli opracujemy ząb, tworząc szerokie zukośnienie na powierzchni wargowej i podniebiennej (Ryc. 1, czarna linia teoretycznej preparacji), ok. 2/3 objętości odbudowy odpowiada tkance szkliwnej. Szkliwo odpowiada za jasność koloru zęba (kolor jaśniejszy lub ciemniejszy). Warstwa zębiny rzutuje z kolei na nasycenie i odcień koloru zęba. Ponadto, z wiekiem szkliwo ciemnieje, dlatego konieczne jest posiadanie różnych odcieni przeziernego kompozytu, aby możliwe było odtworzenie efektu starzenia się szkliwa.
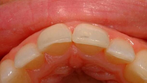
Jeśli chcemy uzyskać naturalnie wyglądające wypełnienie w odcinku przednim, najważniejsze jest odtworzenie warstwy szkliwnej. Dlatego najlepiej rozpocząć od określenia poziomu jasności zęba. Całe postępowanie kliniczne podczas pracy tą techniką opisano krok po kroku na przykładzie zaprezentowanego przypadku. W zębie 21 jest nieestetycznie odbudowany brzeg sieczny. Odbudowa ta zostanie wymieniona w opisany sposób.
Etap 1
Zaleca się, aby na czas określania jasności zęba zmniejszyć oświetlenie w gabinecie oraz skoncentrować się na brzegu siecznym i środkowej części sąsiedniego zęba, gdzie warstwa szkliwa jest dostatecznie gruba i łatwiej można określić jej kolor (Ryc. 2).
Etap 2
Nasycenie i odcień dobiera się do okolicy przydziąsłowej korony zęba, gdzie szkliwo jest cienkie i prześwituje przez nie kolor zębiny (Ryc. 3).
Etap 3
Usunięto stare wypełnienie, preparując szerokie zukośnienie na powierzchni przedsionkowej i podniebiennej przy pomocy wiertła w kształcie płomyka (Ryc. 4 i 5).
Etap 4
Założono koferdam i przezroczyste paseczki (Ryc. 6).
Etap 5
Odbudowę rozpoczyna się nałożeniem warstwy przeziernego materiału kompozytowego Gænial IE przy użyciu indeksu silikonowego albo po prostu wyginając pasek celuloidowy i modelując powierzchnię podniebienną z wolnej ręki. W celu zamaskowania granicy pomiędzy tkankami zęba i przeziernym materiałem kompozytowym nałożono cienką warstwę opakerowego materiału Gænial w specjalnym odcieniu AO2. Nie należy zbyt mocno wydłużać tej warstwy w kierunku brzegu siecznego ani dodziąsłowej granicy preparacji, aby uniknąć prześwitywania nieprzeziernego materiału (Ryc. 7).
Etap 6
Pozostałą część warstwy zębinowej oraz mamelony uformowano z materiału Gænial w kolorze A2. Ta warstwa również powinna być cienka, szczególnie w okolicy brzegu siecznego, aby nie blokowała naturalnej przezierności zęba (Ryc. 8).
Etap 7
Następnie nakłada się cienką warstwę bardzo przeziernego koloru Gænial TE aż do brzegu siecznego – naśladuje ona warstwę zębiny sklerotycznej (Ryc. 9). Warstwa ta pozwala stworzyć efekt głębi, a dzięki temu brzeg sieczny wygląda bardziej naturalnie. Należy zwrócić uwagę, że na tym etapie pozostawia się dostatecznie dużo miejsca na zewnętrzną warstwę przeziernego odcienia materiału.
Etap 8
Najbardziej zewnętrzną, przezierną warstwę odbudowy modeluje się z tego samego odcienia Gænial IE, który wykorzystano do uformowania pierwszej, podniebiennej warstwy szkliwnej (Ryc. 10).
Etap 9
Wypełnienie poleruje się przy użyciu narzędzi z nasypem diamentowym i krążków Sof-Lex, aby odtworzyć naturalne ukształtowanie powierzchni zęba. Ostateczny połysk uzyskano przy pomocy pasty Gradia Diapolisher. Widok ostateczny wypełnienia – właściwa przezierność i naturalnie wyglądający brzeg sieczny (Ryc. 11, 12).
W tej technice wykorzystuje się jedynie 4 lub 5 warstw materiału kompozytowego o 3 lub 4 stopniach przezierności, uzyskując niezawodnie właściwy efekt. Z tego względu można ją stosować w codziennej praktyce do odbudowy wszystkich ubytków klasy IV lub złamanych brzegów siecznych.
Materiał kompozytowy tak dobrze zlewa się z naturalnymi tkankami zęba, że linia preparacji jest niezauważalna, podobnie jak całe wypełnienie. Wykorzystanie anatomicznej techniki warstwowej zależy od klasy i wielkości ubytku. W przypadku niewielkich ubytków klasy III lub IV łatwiej jest uzyskać dobry efekt estetyczny przy użyciu jednej lub dwóch warstw materiału kompozytowego. Jednak w przypadkach dużych rekonstrukcji ubytków klasy IV należy rutynowo stosować przedstawioną technikę, używając systemów, w których występują różne odcienie o wysokim stopniu przezierności, cechujące się naturalną opalescencją i fluorescencją, pozwalające na odtworzenie naturalnego wyglądu.
embedImagecenter("Imagecenter_1_528",528, "large"); ">script>
Zakończone sukcesem leczenie ortodontyczne nie zawsze oznacza dla pacjenta uzyskanie satysfakcjonującego uśmiechu. Nieprawidłowości dotyczące ...
O strategiach finansowych, celach działania i biznesowych wizjach w klinice stomatologicznej rozmawiamy z Tomaszem Nałęczem, ekspertem ds. finansów ...
Leczenie endodontyczne składa się z trójwymiarowego wypełnienia systemu kanałowego gutaperką i uszczelniaczem, którego celem jest ...
W ramach programu edukacyjnego targów Dentamed, które odbędą się we Wrocławiu, 16 listopada o godz. 15.10 (sala nr 33) wykład na temat estetycznych...
W ramach programu edukacyjnego targów Dentamed, które odbędą się we Wrocławiu, 16 listopada o godz. 15.10 (sala nr 33) wykład na temat estetycznych ...
Trwa amerykański projekt badawczy poświęcony nowej technologii, która może zwiększyć trwałość wypełnień stomatologicznych. Dr Franklin Tay...
WARSZAWA, Polska: Od początku 2025 roku w Unii Europejskiej (UE) wejdą w życie nowe przepisy dotyczące stosowania amalgamatu stomatologicznego, na mocy ...
Prowadzenie gabinetu stomatologicznego to wieloaspektowe przedsięwzięcie, które wymaga nie tylko wiedzy klinicznej, ale także solidnego zrozumienia ...
Mechanizm działania ludzkiego układu odpornościowego, który działa czasem przeciwko organizmowi, np. w chorobach autoimmunologicznych, wciąż nie jest...
Istotą stomatologii zachowawczej jest zachowawcze, czyli oszczędzające, gospodarowanie tkankami – zarówno tkankami twardymi jak i ochrona ...
Webinarium na żywo
czw. 30 kwietnia 2026
1:00 (CET) Warsaw
Dr. Renato Leonardo D.M.D.
Webinarium na żywo
czw. 30 kwietnia 2026
7:00 (CET) Warsaw
Webinarium na żywo
nie. 3 maja 2026
6:00 (CET) Warsaw
Dr. Rickard Brånemark MSc, MD, PhD, Dr. Robert Gottlander DDS
Webinarium na żywo
pon. 4 maja 2026
2:00 (CET) Warsaw
Webinarium na żywo
wto. 5 maja 2026
4:00 (CET) Warsaw
Webinarium na żywo
wto. 5 maja 2026
6:00 (CET) Warsaw
Webinarium na żywo
wto. 5 maja 2026
7:00 (CET) Warsaw
Dr. Maximilian Dobbertin M.Sc
To post a reply please login or register