Torbiel naskórkowa zaliczana jest do grupy torbieli dermoidalnych, wspólnie z torbielą skórzastą oraz potworniakową (3-7). Grupa omawianych schorzeń nie jest charakterystyczna dla obszaru głowy i szyi, ponieważ w tej okolicy rozwija się jedynie około 7%, zdecydowanie częściej zmiana może pojawiać się w śródpiersiu i w okolicy krzyżowo-lędźwiowej (7).
W obrębie jamy ustnej rozwija się jedynie 1,6% tych torbieli (5,7), w obrębie głowy i szyi najczęściej rozwija się w oczodole (4). Zazwyczaj jest wykrywana w 2-3. dekadzie życia (5), przypadkowo podczas badań obrazowych.
Wszystkie wymienione schorzenia mają podobną manifestację kliniczną, różnią się jednak szczegółami morfologicznymi. Torbiel naskórkowa (cystis epidermalis) nie zawiera przydatków skóry, torbiel skórzasta (cystis dermoidalis) zawiera przydatki skóry, takie jak mieszki włosowe i gruczoły oraz torbiel potworniakowa (cystis teratoides), która zawiera również tkankę chrzęstną, kostną, mięśniową i zęby. Zarówno pierwszy, jak i drugi wymieniony typ torbieli dermoidalnej jest wyścielony nabłonkiem wielowarstwowym płaskim (1,5-7), torbiel potworniakowa może być również dodatkowo wyścielona nabłonkiem przewodu pokarmowego lub dróg oddechowych (5).
W kwestii etiopatogenezy rozważane są obecnie dwie koncepcje. Wg pierwszej, torbiele te mają charakter wrodzony i powstają na skutek uwięźnięcia tkanki ektodermalnej pomiędzy zlewającymi się pierwszym i drugim łukiem skrzelowym w 3-4. tygodniu życia zarodkowego (5-7). Wg drugiej – są zmianami nabytymi związanymi z urazem, w wyniku którego doszło do wszczepienia komórek nabłonkowych w głębsze warstwy tkanek (6-7).
W zakresie badań obrazowych, w diagnostyce torbieli dermoidalnych dużą rolę odgrywa MRI jak również USG i TK (3). Postacie śródkostne są wykrywane przypadkowo podczas przeglądowo wykonywanych zdjęć pantomograficznych (1). Manifestują się jako owalny lub okrągły ubytek struktury kostnej, niemający żadnych cech szczególnych pozwalających odróżnić go od torbieli zębopochodnej, dlatego zawsze w przypadku wykrycia takiej zmiany należy zweryfikować ją badaniem histopatologicznym (1). Nadmienić warto, iż odnotowano w literaturze kazuistyczne przypadki rozwoju raka płaskonabłonkowego na podłożu torbieli dermoidalnej (6-7). Leczenie polega na doszczętnym wyłuszczeniu zmiany. Nawrotowość jest niezwykle rzadka i związana z pozostawieniem resztek torebki (1,6).
Opis przypadku
32-letni pacjent zgłosił się celem sanacji jamy ustnej przed planowanym leczeniem zachowawczym i protetycznym. Pacjent dotychczas nie skarżył się na żadne dolegliwości ze strony uzębienia. W stanie ogólnym bez obciążeń, neguje alergie i uczulenia, nie przyjmuje na stałe leków.
W badaniu wewnątrzustnym stwierdzono niewłaściwą higienę jamy ustnej i obfite złogi nazębne, próchnicową destrukcję koron zębów 27, 28, 47, głęboki ubytek próchnicowy zęba 48 z obnażeniem miazgi, złamanie korony zęba 22, braki międzyzębowe w szczęce i żuchwie oraz niewielkie, dyskretne wygórowanie tkanek miękkich pomiędzy zębami 32 i 33 niebolesne palpacyjnie.
Wykonano CBCT szczęki i żuchwy (Ryc. 1), w którym stwierdzono zmiany okołowierzchołkowe przy zębach 27, 28 i 47, stan po leczeniu kanałowym zębów 22 i 45, zatrzymany ząb 18 w położeniu mezjalno-kątowym, pogrubienie błony śluzowej w zachyłku zębodołowym zatoki szczękowej lewej, w badaniu widoczny był również ubytek osteolityczny kości z destrukcją przedsionkowej blaszki kostnej, owalnego kształtu o wymiarach 7 x 4mm, zlokalizowany pomiędzy zębami 32 i 33.
Zaproponowany plan leczenia uwzględniał: higienizację, leczenie zachowawcze, usunięcie zębów 27, 28 i 46 oraz wyłuszczenie zmiany osteolitycznej w żuchwie.
Po wykonaniu higienizacji, zakończeniu leczenia zachowawczego oraz usunięciu zębów 27, 28 i 46 pacjent zgłosił się celem usunięcia zmiany w żuchwie. W znieczuleniu miejscowym 4% artykainą z noradrenaliną 1:200.000. poprowadzono cięcie wewnątrzrowkowe od zęba 34 do 31, a następnie dwa cięcia uwalniające w przedsionku jamy ustnej mezjalnie i dystalnie, odwarstwiono trapezowaty płat śluzówkowo-okostnowy, odsłaniając ścieńczałą wargową blaszkę kostną otaczającą cienkościenną otorebkowaną zmianę. Zmianę wyłuszczono, podłoże dokładnie wyłyżeczkowano. Śródzabiegowo widoczne były kaszowate, białawo-żółte złogi wypełniające wnętrze zmiany. Ranę zszyto szwem nieresorbowalnym 5.0, materiał przesłano do badania histopatologicznego. Gojenie rany przebiegało prawidłowo. Szwy usunięto w 7. dobie po zabiegu.
Po 4 tygodniach od zabiegu otrzymano wynik badania histopatologicznego, opisujący ścianę torbieli wyścieloną nabłonkiem wielowarstwowym płaskim, bez cech atypii, bez przydatków skóry (Ryc. 2). Na podstawie tego wyniku w zestawieniu z danymi klinicznymi postawiono rozpoznanie: torbiel naskórkowa zlokalizowana śródkostnie.
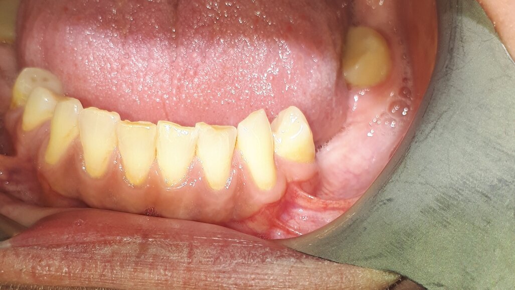
Pacjent zgłosił się na wizytę kontrolną w maju br., tj. 1,5 roku po zabiegu. Badanie kliniczne nie wykazało nieprawidłowości, widoczne była jedynie dyskretna blizna pozabiegowa (Ryc. 3). Wykonane badanie CBCT ujawniło prawidłową strukturę i ubeleczkowanie wygojonej loży po torbieli (Ryc. 4).
Ryc. 1: CBCT wykonane przed leczeniem.
Ryc. 2: Preparat histopatologiczny, powiększenie x10, barwienie hematoksylina i eozyna.
Ryc. 3: Stan 18 miesięcy po zabiegu.
Ryc. 4: CBCT wykonane 18 miesięcy po zabiegu.
Wnioski
Pomimo, że torbiele dermoidalne nie są zmianami charakterystycznymi dla obszaru czaszkowo-twarzowego, to pewien ich odsetek lokalizuje się w tej okolicy. W przypadku podejrzenia takiej torbieli o lokalizacji śródkostnej konieczna jest weryfikacja histopatologiczna po jej usunięciu. Powyższe zalecenie wydaje się szczególnie istotne, zwłaszcza że opisywana zmiana nie ma charakterystycznych cech w obrazie radiologicznym, wobec tego jej różnicowanie z torbielami zębopochodnymi jest utrudnione.
Leczenie jest chirurgiczne i polega na wyłuszczeniu zmiany (1-8). W kwestii technik operacyjnych, najlepszy wgląd w pole zabiegowe zapewnia trapezowaty płat śluzówkowo-okostnowy. Należy jednak pamiętać, że do jego wad należy konieczność wykonania dwóch cięć uwalniających, co może wiązać się z powstaniem blizny w przedsionku jamy ustnej, jak również recesji w okolicy przyszyjkowej. Nawrotowość jest bardzo rzadko spotykana i wiąże się głównie z niedoszczętnością zabiegu (1,9), dlatego też istotne jest delikatne i dokładne wyłuszczenie torebki. Każdorazowo po zabiegu zalecany jest 12-miesięczny okres klinicznej obserwacji oraz wykonanie kontrolnego badania rtg lub MRI w celu wykluczenia wznowy i potwierdzenia wyleczenia (9).
Uwaga redakcyjna:
Autorzy:
Lek. dent. Michał Klepka – w trakcie specjalizacji z chirurgii stomatologicznej, Centralne Ambulatorium Kliniczne, Uniwersytecka Klinika Stomatologiczna w Krakowie, ul. Montelupich 4.
Lek. dent. Andrzej Kiencało – specjalista chirurgii stomatologicznej oraz stomatologii zachowawczej z endodoncją, Centralne Ambulatorium Kliniczne, Uniwersytecka Klinika Stomatologiczna w Krakowie, ul. Montelupich 4.
Bibliografia:
1. Singh V, Gupta S, Jaiswal R, Malkunje L. Intra osseous dermoid cyst of mandible – a rare case report. Open Journal of Stomatology. 2012;2:153-6.
2. Ertem SY, Uckan S, Ozdemir H. An unusual presentation of an intraosseous epidermoid cyst of the anterior maxilla: a case report. Journal of Medical Case Reports. 2014;8:262. doi:10.1186/1752-1947-8-262.
3. Prekazi M, Loxha et al. Epidermoid Cyst of Mandible Ramus: Case Report,. Med Arch. 2016 Jun; 70(3): 238-240.
4. Pushker N, Meel R, Kumar A, Kashyap S, Sen S, Bajaj MS. Orbital and periorbital dermoid/epidermoid cyst: a series of 280 cases and a brief review. Can J Ophthalmol. 2020 Apr;55(2):167-171.
5. Noblitt B, Wilson H, Iverson K. Transoral approach to excision of massive dermoid cysts in pediatric patients: A case series, Otolaryngology Case Reports 18 (2021) 100265.
6. Oluleke OO, Akau KS, Godwin AI, Kene AI, Sunday AO. Sublingual dermoid cyst: Review of 14 cases. Ann Maxillofac Surg 2020;10:279-83.
7. Blagova B, Malinova L, Ivanova V. Intraosseous Epidermoid Cyst: a Case Report. J Oral Maxillofac Res 2022; 13(4):e4.
8. Bandeira de Pontes Santos H. Dermoid and epidermoid cysts of the oral cavity: a 48-year retrospective study with focus on clinical and morphological features and review of main topics, et al., Med Oral Patol Oral Cir Bucal. 2020 May 1; 25 (3):e364-9.
9. Kaczmarzyk T, Stypułkowska J, Tomaszewska R. Torbiele obszaru szczękowo-twarzowego, wyd. Kwintesencja, ISBN 978-83-85-700-89-0.
Autorzy prezentują 2 przypadki wystąpienia torbieli korzeniowych u 27-letniego mężczyzny i 26-letniej kobiety. Powolny i rozprężający wzrost zmian ...
Pacjentka (ogólnie zdrowa) została skierowana na zabieg wyrównania warunków okluzyjnych. W wyniku przeprowadzonego badania ...
W pracy zaproponowano zastosowanie nowoczesnych metod obrazowania, przetwarzania uzyskanych obrazów oraz wytwarzania do projektowania i wykonania ...
W pracy zaproponowano zastosowanie nowoczesnych metod obrazowania, przetwarzania uzyskanych obrazów oraz wytwarzania do projektowania i wykonania ...
Od kilku lat możemy obserwować bardzo dynamiczny rozwój implantologii. Wraz z postępem technologicznym i nieustającymi badaniami otrzymujemy ...
Dzięki pojawieniu się nowych protokołów implantacji, różnorodności materiałów stomatologicznych i dynamicznie rozwijającej się ...
Mucocele to rodzaj obrzęku śluzówki spowodowanego przerwaniem przewodu gruczołu ślinowego i nagromadzeniem mucyny w otaczających tkankach ...
Autorzy przedstawiają przypadek wyrośla kostnego szczęki zlokalizowanego w obrębie wyrostka zębodołowego. Zmiana znacznych rozmiarów została ...
Celem niniejszej pracy jest przedstawienie na podstawie jednego przykładu możliwości leczenia implantologicznego bezzębia w szczęce i żuchwie z ...
Ciało obce pozostawione w tkankach pacjenta jest rzadkim powikłaniem jatrogennym, trudnym w leczeniu i diagnostyce. Diagnostyka przedzabiegowa z ...
Webinarium na żywo
wto. 19 maja 2026
5:00 (CET) Warsaw
Webinarium na żywo
wto. 19 maja 2026
7:00 (CET) Warsaw
Prof. Dr. med. dent. Ivo Krejci
Webinarium na żywo
śro. 20 maja 2026
1:00 (CET) Warsaw
Dr. Graham Carmichael BDSc (Hons), DClinDent (Pros), FRACDS, Dr. Robert Gottlander DDS
Webinarium na żywo
śro. 20 maja 2026
3:00 (CET) Warsaw
Webinarium na żywo
śro. 20 maja 2026
5:00 (CET) Warsaw
Webinarium na żywo
śro. 20 maja 2026
7:00 (CET) Warsaw
Prof. Dr. med. dent. Tim Joda PhD, MSc, eMBA
Webinarium na żywo
czw. 21 maja 2026
6:00 (CET) Warsaw
Dr. Leonardo Muniz DDS, MSC
To post a reply please login or register